神经干细胞RNA结合蛋白Musashi1重组兔单抗

Rrmab?兔单抗
2026-03-02~2026-04-30,KXJ26032026-03-02~2026-04-30,促销赠品
神经干细胞RNA结合蛋白Musashi1重组兔单抗
货号:bsm-61142R
产品详情
相关标记
相关产品
相关文献
常见问题

概述

产品编号
bsm-61142R
产品类型
重组兔单抗
英文名称
Musashi 1 Recombinant Rabbit mAb
中文名称
神经干细胞RNA结合蛋白Musashi1重组兔单抗
英文别名
Msi1h; Musahi1; m-Msi-1; MSI1H_HUMAN; MSI1; Musashi-1; MSI1H_MOUSE; MSI1H_RAT;
抗体来源
Rabbit
免疫原
A synthesized peptide derived from human Musashi 1: 1-52/362
亚型
IgG
性状
Liquid
纯化方法
affinity purified by Protein A
克隆类型
Recombinant
克隆号
17A15
理论分子量
39 kDa
检测分子量
39 kDa
储存液
10mM phosphate buffered saline(pH 7.4) with 150mM sodium chloride, 0.05% BSA, 0.02% Proclin300 and 50% glycerol.
SWISS
Gene ID
保存条件
Store at 4℃ for short term. Store at -20℃ for long term. Avoid repeated freeze/thaw cycles.
注意事项
This product as supplied is intended for research use only, not for use in human, therapeutic or diagnostic applications.
产品介绍
Musashi1是一种进化保守的RNA结合蛋白,在维持干细胞状态、分化和肿瘤发生方面起着重要作用。Musashi1 选择性地表达在神经前体细胞上,包括神经干细胞上。在神经系统外,Musashi1还是肠干细胞的选择性标记。这些组织干细胞或未成熟细胞Musashi1的表达,表明Musashi1在转录后基因调节阶段维持这些细胞未分化状态起重要作用。Musashi1过度表达通过依赖RBP2Jk的旁路激活Notch1,而Notch信号途径功能为诱导哺乳动物神经干细胞自我更新。通过musashi1-P-小鼠培养脑细胞的Musashi蛋白产物反义去除研究,发现这些基因在维持神经干细胞未分化状态起着重要的作用。 Musashi抑制m-Numb转录的分子机制尚待进一步研究。Musashi1有可能除转录调控外还参与其他调控途径。另外,Musashi1还表达在一些脑肿瘤的特殊类型(这些肿瘤可能起源自非成熟脑细胞),并且表达水平和肿瘤的恶性程度及增殖能力相关。
背景资料
RNA binding protein that regulates the expression of target mRNAs at the translation level. Regulates expression of the NOTCH1 antagonist NUMB. Binds RNA containing the sequence 5'-GUUAGUUAGUUAGUU-3' and other sequences containing the pattern 5'-[GA]U(1-3)AGU-3'. May play a role in the proliferation and maintenance of stem cells in the central nervous system.
神经干细胞RNA结合蛋白Musashi1重组兔单抗神经干细胞RNA结合蛋白Musashi1重组兔单抗神经干细胞RNA结合蛋白Musashi1重组兔单抗神经干细胞RNA结合蛋白Musashi1重组兔单抗神经干细胞RNA结合蛋白Musashi1重组兔单抗

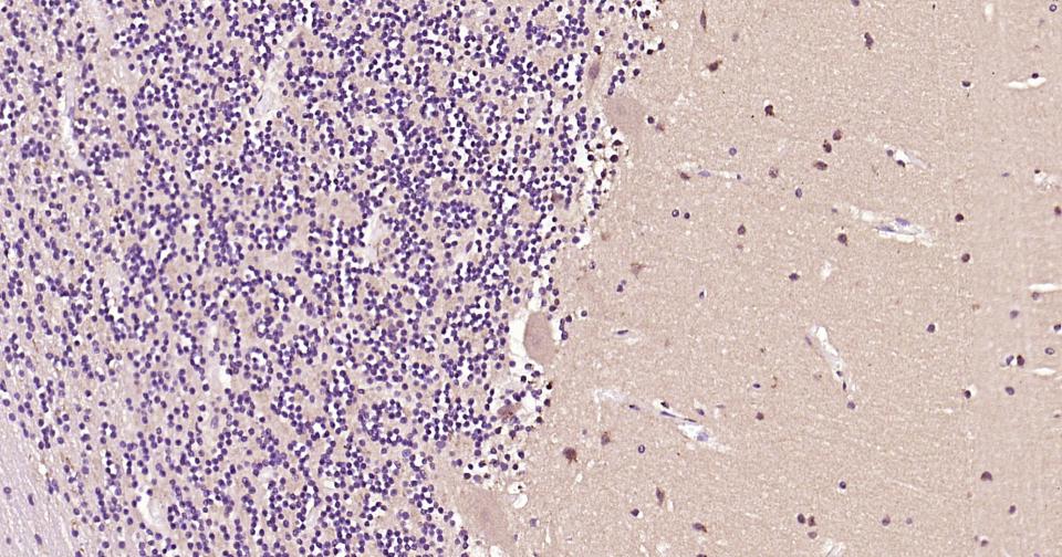
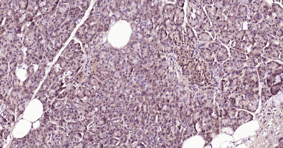
产品应用

应用已检合格种属预测种属推荐稀释比例
WBHuman1:500-2000
IHC-PHuman1:100-500
IHC-FHuman1:100-500
IFHuman1:100-500
Flow-CytHuman1:50-100
ICC/IFHuman1:50-200
IPHuman1:20-50

交叉反应

交叉反应: Human

相关产品

暂无相关产品

靶标

基因名
MSI1
蛋白名
RNA-binding protein Musashi homolog 1
亚细胞定位
Cytoplasm. Nucleus.
组织特异性
Detected in fetal kidney, brain, liver and lung, and in adult brain and pancreas. Detected in hepatoma cell lines.
相似性
Belongs to the Musashi family.
Contains 2 RRM (RNA recognition motif) domains.
功能
RNA binding protein that regulates the expression of target mRNAs at the translation level. Regulates expression of the NOTCH1 antagonist NUMB. Binds RNA containing the sequence 5'-GUUAGUUAGUUAGUU-3' and other sequences containing the pattern 5'-[GA]U(1-3)AGU-3'. May play a role in the proliferation and maintenance of stem cells in the central nervous system.

标记抗体

暂无标记数据

同靶标产品

暂无同靶标产品

相关文献

提示: 发表研究结果有使用 bsm-61142R 时请让我们知道,以便我们可以引用参考文章。作为回馈,资料提供者将获得我们送上的小礼品。

暂无相关文献

常见问题

暂无常见问题