Cancer > Cancer Metabolism > Metabolic signaling pathway > Metabolism of carbohydrates
Cardiovascular > Atherosclerosis > Apoptosis
Cardiovascular > Heart > Cardiac metabolism
Metabolism > Pathways and Processes > Metabolic signaling pathways > Carbohydrate metabolism
Metabolism > Types of disease > Cancer
Metabolism > Types of disease > Heart disease
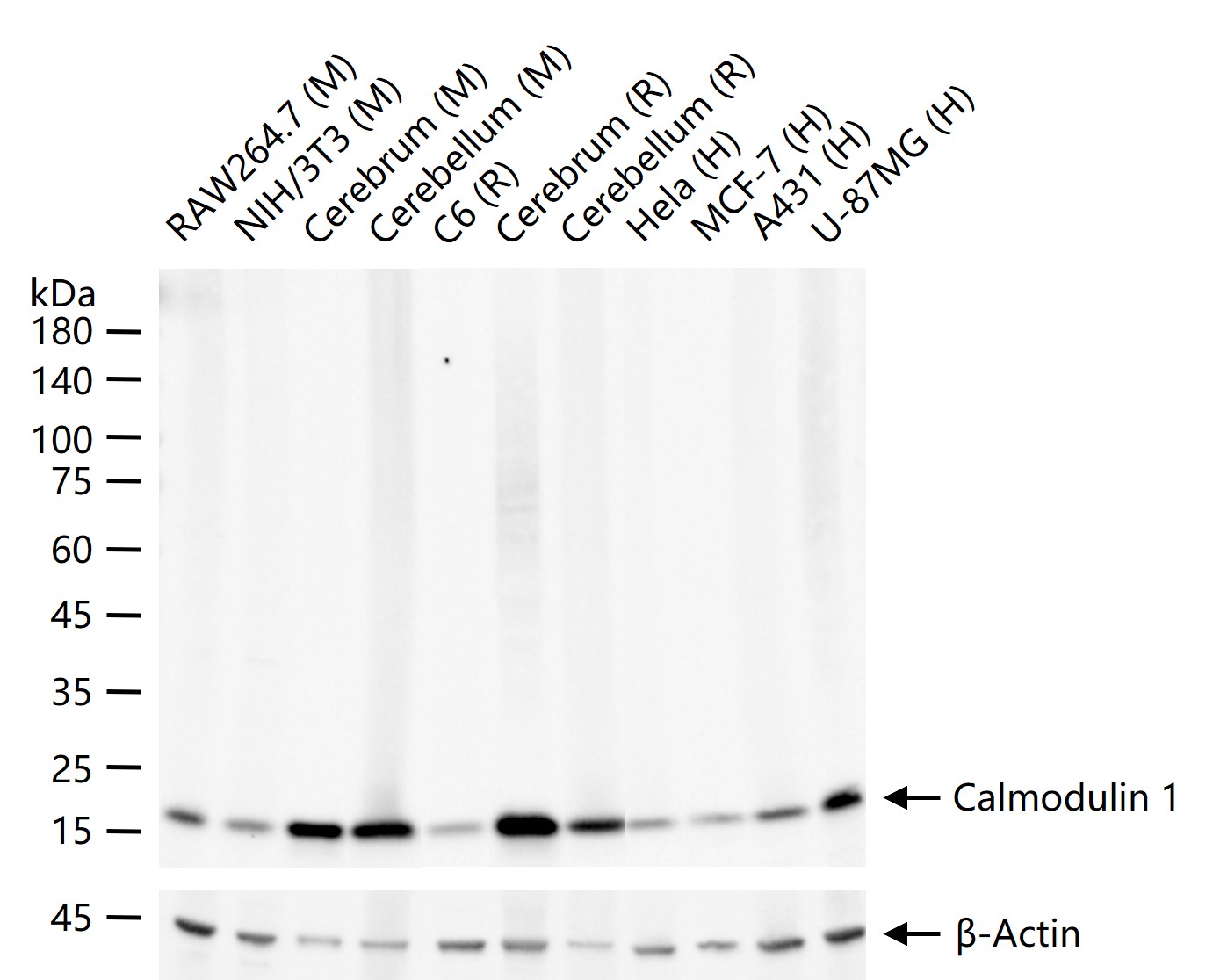
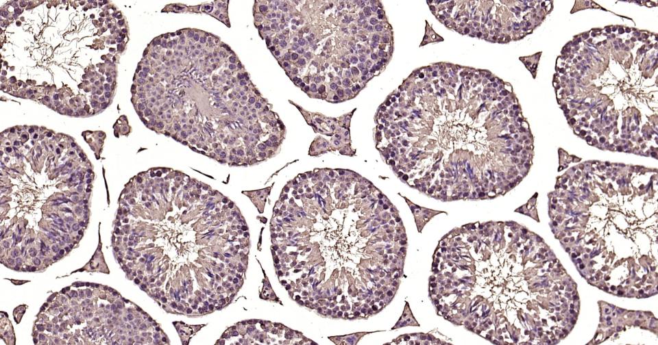
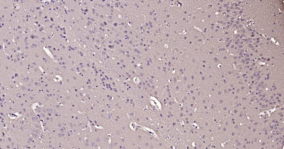
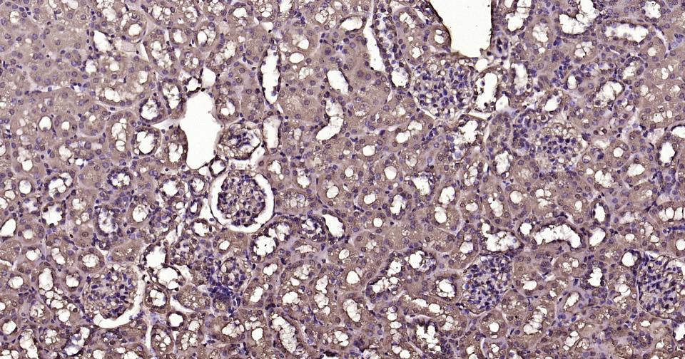
Signal Transduction > Signaling Pathway > Calcium Signaling > Calcium Binding Proteins
Signal Transduction > Signaling Pathway > Calcium Signaling > Calmodulin Pathway










| 应用 | 已检合格种属 | 预测种属 | 推荐稀释比例 |
|---|---|---|---|
| WB | Human, Mouse, Rat | 1:500-2000 | |
| IHC-P | Human, Mouse, Rat | 1:50-200 | |
| IHC-F | Human, Mouse, Rat | 1:50-200 | |
| IF | Human, Mouse, Rat | 1:50-200 | |
| Flow-Cyt | Human, Mouse, Rat | 1:50-100 | |
| ICC/IF | Human, Mouse, Rat | 1:50-200 | |
| IP | Human, Mouse, Rat | 1:20-50 |
交叉反应: Human, Mouse, Rat
暂无相关产品
暂无标记数据
暂无同靶标产品
暂无相关文献
暂无常见问题