丝/苏氨酸蛋白质激酶II α重组兔单抗

Rrmab?兔单抗
2026-03-02~2026-04-30,KXJ26032026-03-02~2026-04-30,促销赠品
丝/苏氨酸蛋白质激酶II α重组兔单抗
货号:bsm-61133R
产品详情
相关标记
相关产品
相关文献
常见问题

概述

产品编号
bsm-61133R
产品类型
重组兔单抗
英文名称
CK II alpha Recombinant Rabbit mAb
中文名称
丝/苏氨酸蛋白质激酶II α重组兔单抗
英文别名
CK2A1; CKII; Cka1; Cka2; OCNDS; CK II alpha; CK2; Csnk2a1-rs4; CSK21_HUMAN; CSNK2A1; 2.7.11.1; CSK21_MOUSE; Ckiia; CSK21_RAT;
抗体来源
Rabbit
免疫原
A synthesized peptide derived from human CK II alpha: 1-39
亚型
IgG
性状
Liquid
纯化方法
affinity purified by Protein A
克隆类型
Recombinant
克隆号
8G7
理论分子量
45 kDa
检测分子量
45 kDa
储存液
10mM phosphate buffered saline(pH 7.4) with 150mM sodium chloride, 0.05% BSA, 0.02% Proclin300 and 50% glycerol.
SWISS
Gene ID
保存条件
Store at 4℃ for short term. Store at -20℃ for long term. Avoid repeated freeze/thaw cycles.
注意事项
This product as supplied is intended for research use only, not for use in human, therapeutic or diagnostic applications.
产品介绍
Casein kinase Ⅱα是Rho家族中GTP酶的重要效应物,在细胞形态学和动力学以及细胞转化的调控方面起到了很重要的作用。
背景资料
Catalytic subunit of a constitutively active serine/threonine-protein kinase complex that phosphorylates a large number of substrates containing acidic residues C-terminal to the phosphorylated serine or threonine. Regulates numerous cellular processes, such as cell cycle progression, apoptosis and transcription, as well as viral infection. May act as a regulatory node which integrates and coordinates numerous signals leading to an appropriate cellular response.
丝/苏氨酸蛋白质激酶II α重组兔单抗丝/苏氨酸蛋白质激酶II α重组兔单抗丝/苏氨酸蛋白质激酶II α重组兔单抗丝/苏氨酸蛋白质激酶II α重组兔单抗丝/苏氨酸蛋白质激酶II α重组兔单抗丝/苏氨酸蛋白质激酶II α重组兔单抗丝/苏氨酸蛋白质激酶II α重组兔单抗丝/苏氨酸蛋白质激酶II α重组兔单抗丝/苏氨酸蛋白质激酶II α重组兔单抗

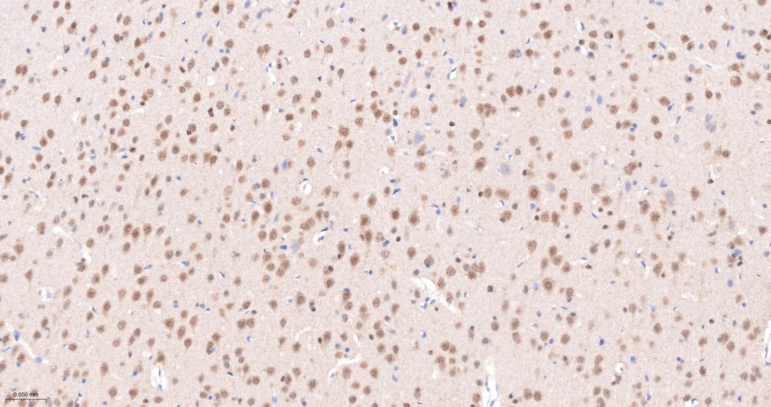
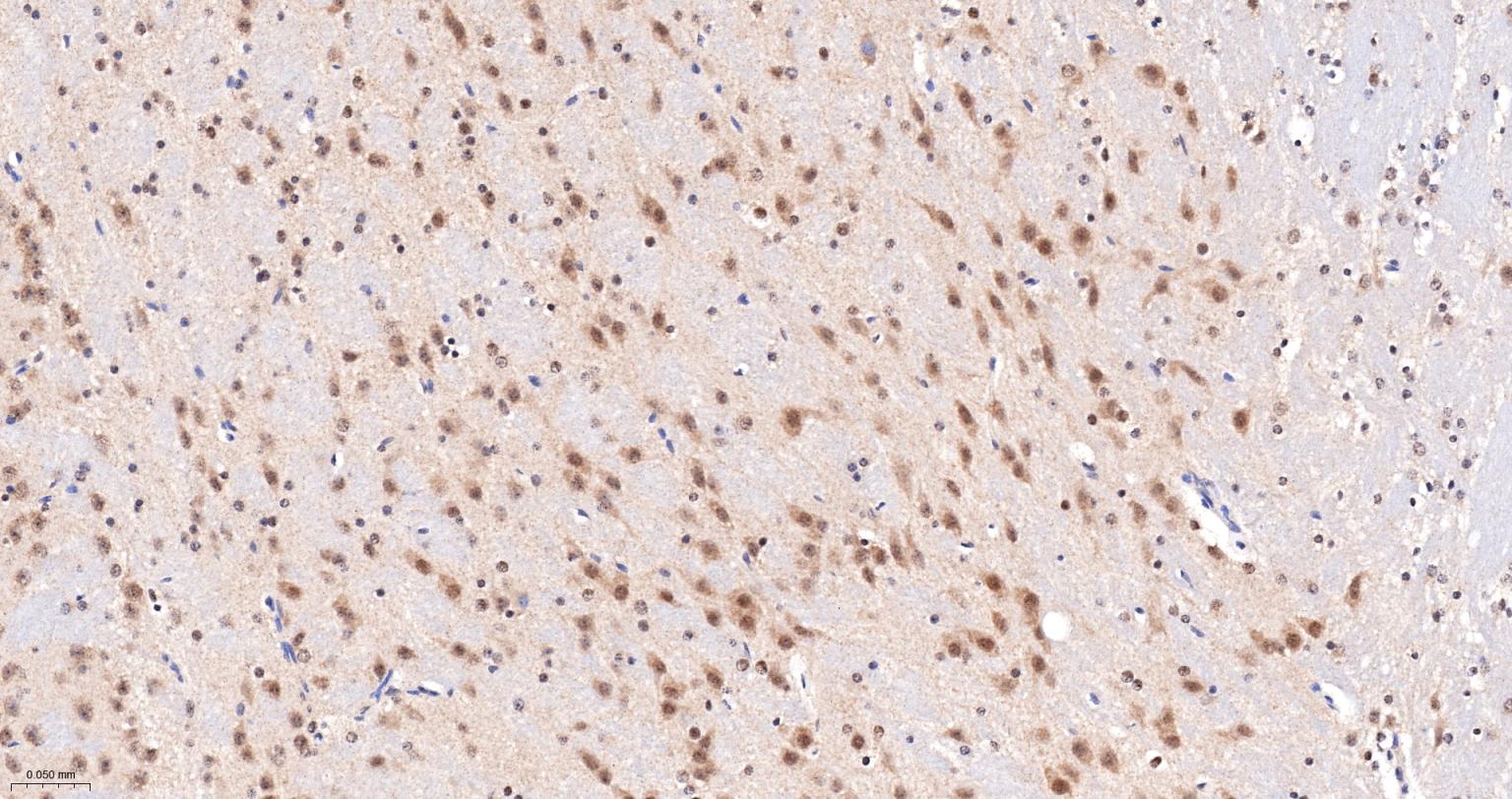
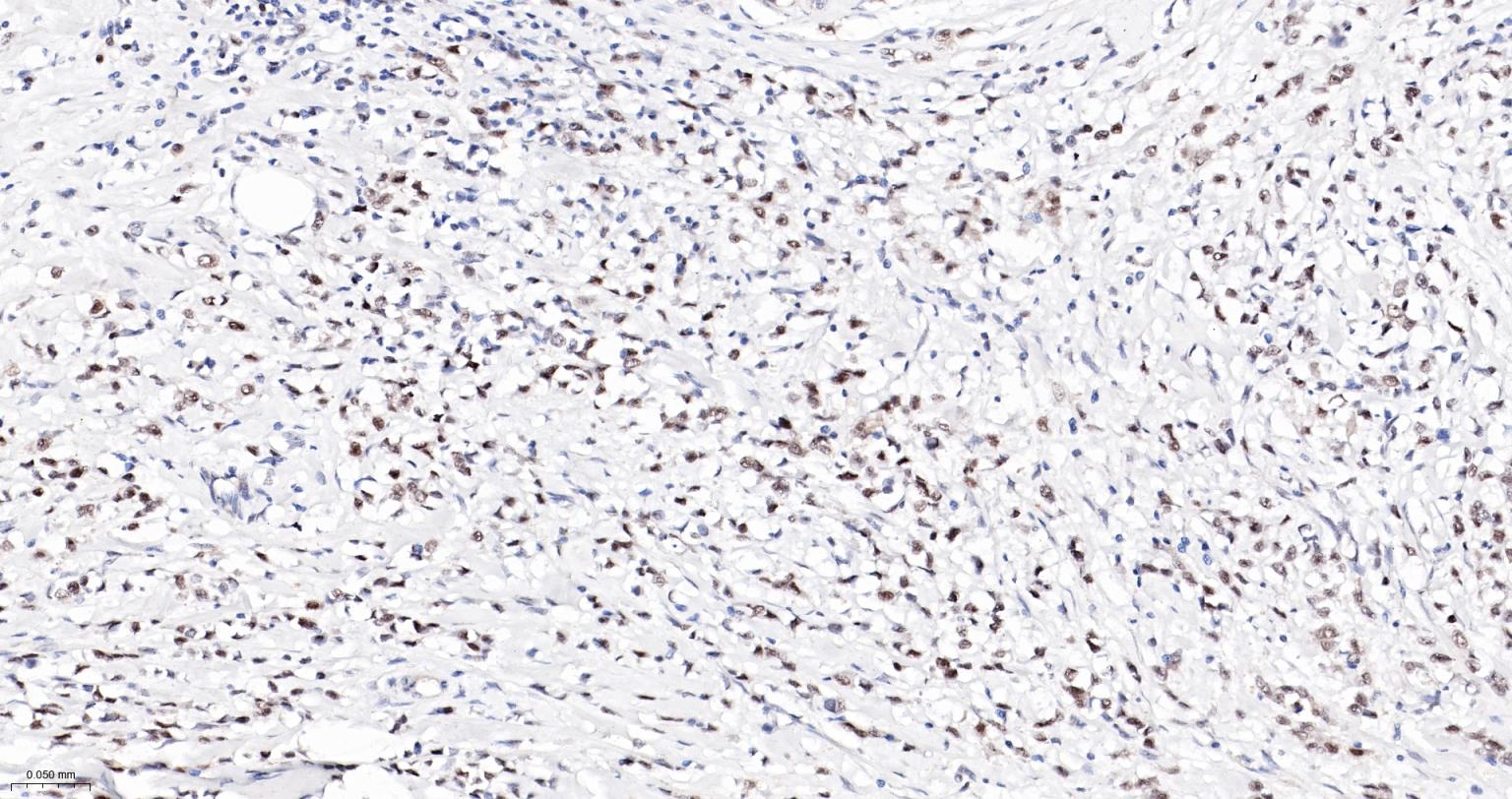
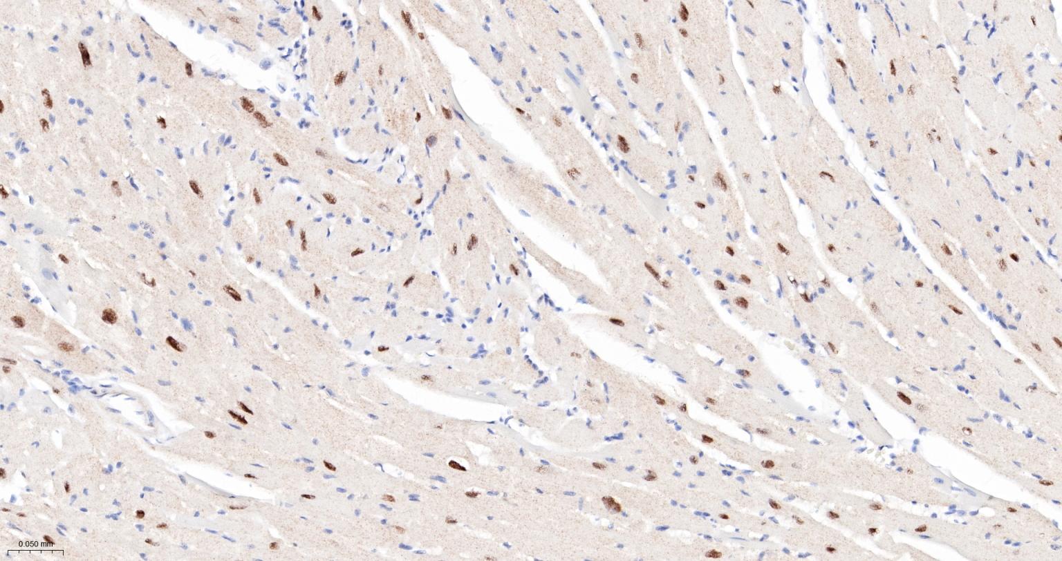
产品应用

应用已检合格种属预测种属推荐稀释比例
WBHuman, Mouse, Rat1:500-2000
IHC-PHuman, Mouse, Rat1:100-500
IHC-FHuman, Mouse, Rat1:100-500
IFHuman, Mouse, Rat1:100-500

交叉反应

交叉反应: Human, Mouse, Rat

相关产品

暂无相关产品

靶标

基因名
CSNK2A1
蛋白名
Casein kinase II subunit alpha
亚基
Heterotetramer composed of two catalytic subunits (alpha chain and/or alpha' chain) and two regulatory subunits (beta chains). The tetramer can exist as a combination of 2 alpha/2 beta, 2 alpha'/2 beta or 1 alpha/1 alpha'/2 beta subunits. Also part of a CK2-SPT16-SSRP1 complex composed of SSRP1, SUPT16H, CSNK2A1, CSNK2A2 and CSNK2B, which forms following UV irradiation. Interacts with RNPS1. Interacts with SNAI1. Interacts with PML (isoform PML-12).
翻译后修饰
Phosphorylated at Thr-344, Thr-360, Ser-362 and Ser-370 by CDK1 in prophase and metaphase and dephosphorylated during anaphase. Phosphorylation does not directly affect casein kinase 2 activity, but may contribute to its regulation by forming binding sites for interacting proteins and/or targeting it to different compartments.
相似性
Belongs to the protein kinase superfamily. Ser/Thr protein kinase family. CK2 subfamily.
Contains 1 protein kinase domain.
功能
Catalytic subunit of a constitutively active serine/threonine-protein kinase complex that phosphorylates a large number of substrates containing acidic residues C-terminal to the phosphorylated serine or threonine. Regulates numerous cellular processes, such as cell cycle progression, apoptosis and transcription, as well as viral infection. May act as a regulatory node which integrates and coordinates numerous signals leading to an appropriate cellular response. During mitosis, functions as a component of the p53/TP53-dependent spindle assembly checkpoint (SAC) that maintains cyclin-B-CDK1 activity and G2 arrest in response to spindle damage. Also required for p53/TP53-mediated apoptosis, phosphorylating 'Ser-392' of p53/TP53 following UV irradiation. Can also negatively regulate apoptosis. Phosphorylates the caspases CASP9 and CASP2 and the apoptotic regulator NOL3. Phosphorylation protects CASP9 from cleavage and activation by CASP8, and inhibits the dimerization of CASP2 and activation of CASP8. Regulates transcription by direct phosphorylation of RNA polymerases I, II, III and IV. Also phosphorylates and regulates numerous transcription factors including NF-kappa-B, STAT1, CREB1, IRF1, IRF2, ATF1, SRF, MAX, JUN, FOS, MYC and MYB. Phosphorylates Hsp90 and its co-chaperones FKBP4 and CDC37, which is essential for chaperone function. Regulates Wnt signaling by phosphorylating CTNNB1 and the transcription factor LEF1. Acts as an ectokinase that phosphorylates several extracellular proteins. During viral infection, phosphorylates various proteins involved in the viral life cycles of EBV, HSV, HBV, HCV, HIV, CMV and HPV. Phosphorylates PML at 'Ser-565' and primes it for ubiquitin-mediated degradation.

标记抗体

暂无标记数据

同靶标产品

暂无同靶标产品

相关文献

提示: 发表研究结果有使用 bsm-61133R 时请让我们知道,以便我们可以引用参考文章。作为回馈,资料提供者将获得我们送上的小礼品。

暂无相关文献

常见问题

暂无常见问题