Cancer > Cell Death > Apoptosis > Apoptosis Markers > Caspases
Cancer > Cell Death > Apoptosis > Metabolism
Cancer > Cell Death > Apoptosis > Receptors > Death receptors & ligands > IAPs
Cancer > Cell Death > Necroptosis
Cancer > Invasion/microenvironment > Apoptosis > Caspases
Cancer > Invasion/microenvironment > Apoptosis > Death receptors & ligands > IAPs
Cell Biology > Apoptosis > Intracellular > Survivin / IAPs
Metabolism > Pathways and Processes > Metabolism processes > Apoptosis







| 应用 | 已检合格种属 | 预测种属 | 推荐稀释比例 |
|---|---|---|---|
| WB | Human | 1:500-2000 | |
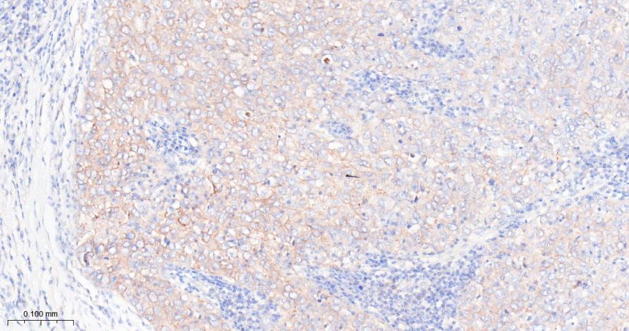
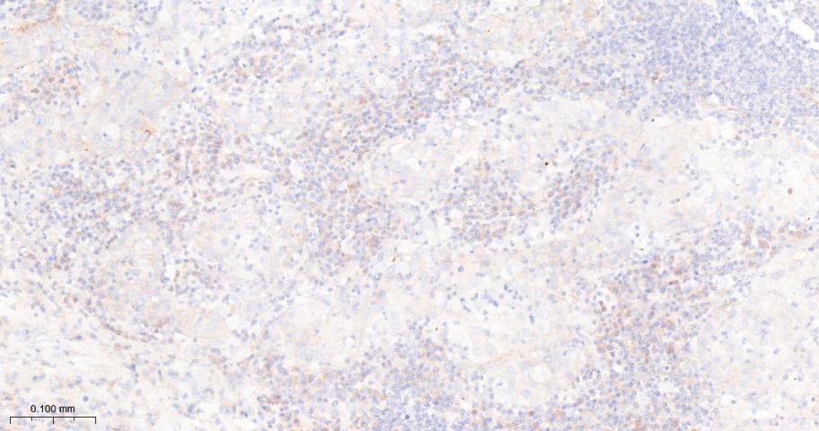
| IHC-P | Human | 1:50-200 | |
| IHC-F | Human | 1:50-200 | |
| IF | Human | 1:50-200 | |
| ICC/IF | Human | 1:50-100 | |
| IP | Human | 1:20-50 |
交叉反应: Human
暂无相关产品
暂无标记数据
暂无同靶标产品
暂无相关文献
暂无常见问题