酪氨酸激酶B重组兔单抗

Rrmab?兔单抗
2026-03-02~2026-04-30,KXJ26032026-03-02~2026-04-30,促销赠品
酪氨酸激酶B重组兔单抗
货号:bsm-61083R
产品详情
相关标记
相关产品
相关文献
常见问题

概述

产品编号
bsm-61083R
产品类型
重组兔单抗
英文名称
TrkB Recombinant Rabbit mAb
中文名称
酪氨酸激酶B重组兔单抗
英文别名
DEE58; EIEE58; GP145-TrkB; OBHD; TRKB; trk-B; GP145-TrkB/GP95-TrkB; Tkrb; RATTRKB1; TRKB1; NTRK2_HUMAN; NTRK2; GP145-TrkB (Trk-B); Neurotrophic tyrosine kinase receptor type 2; TrkB tyrosine kinase; Tropomyosin-related kinase B; 2.7.10.1; NTRK2_MOUSE; GP145-TrkB/GP95-TrkB (Trk-B); NTRK2_RAT; TrkB tyrosine kinase (Trk-B);
抗体来源
Rabbit
免疫原
A synthesized peptide derived from mouse Trk B: 120-430
亚型
IgG
性状
Liquid
纯化方法
affinity purified by Protein A
克隆类型
Recombinant
克隆号
13B3
理论分子量
92 kDa
浓度
1mg/ml
储存液
0.01M TBS(pH7.4) with 1% BSA, 0.02% Proclin300 and 50% Glycerol.
SWISS
Gene ID
保存条件
Shipped at 4℃. Store at -20 °C for one year. Avoid repeated freeze/thaw cycles.
注意事项
This product as supplied is intended for research use only, not for use in human, therapeutic or diagnostic applications.
产品介绍
神经生物学相关蛋白(Neurobiology)
此抗体针对NGF、BDNF、NT-3、NT-4等的受体包括trkA、trkB、trkC及NGFR。BDNF、NT-3能诱导trkB的酪氨酸磷酸化。(神经生长因子受体的一种)
背景资料
This gene encodes a member of the neurotrophic tyrosine receptor kinase (NTRK) family. This kinase is a membrane-bound receptor that, upon neurotrophin binding, phosphorylates itself and members of the MAPK pathway. Signalling through this kinase leads to cell differentiation. Mutations in this gene have been associated with obesity and mood disorders. Alternate transcriptional splice variants encoding different isoforms have been found for this gene. [provided by RefSeq, Jul 2008].
酪氨酸激酶B重组兔单抗酪氨酸激酶B重组兔单抗酪氨酸激酶B重组兔单抗酪氨酸激酶B重组兔单抗酪氨酸激酶B重组兔单抗

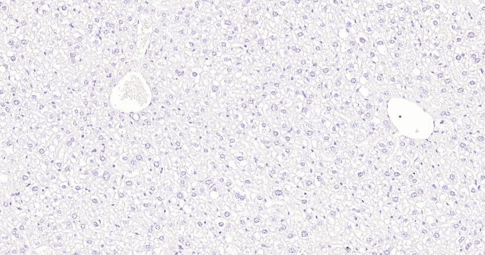
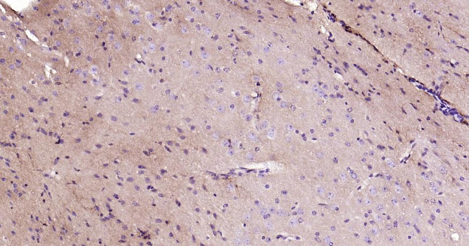
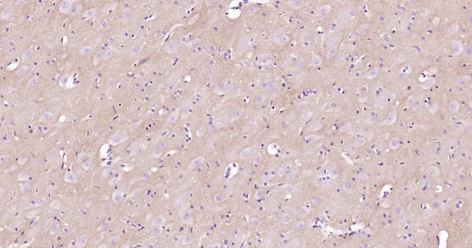
产品应用

应用已检合格种属预测种属推荐稀释比例
WBRatMouse1:500-2000
IHC-PMouse, Rat1:100-500
IHC-FMouse, Rat1:100-500
IFMouse, Rat1:100-500

交叉反应

交叉反应: Mouse, Rat

相关产品

暂无相关产品

靶标

基因名
NTRK2
蛋白名
BDNF/NT-3 growth factors receptor
亚基
Exists in a dynamic equilibrium between monomeric (low affinity) and dimeric (high affinity) structures. Interacts (phosphorylated upon activation by BDNF) with SHC1; mediates SHC1 phosphorylation and activation. Interacts (phosphorylated upon activation by BDNF) with PLCG1 and/or PLCG2; mediates PLCG1 phosphorylation and activation. Interacts with SH2B1 and SH2B2. Interacts with NGFR; may regulate the ligand specificity of the receptor. Interacts (phosphorylated upon ligand-binding) with SH2D1A; regulates NTRK2. Interacts with SQSTM1 and KIDINS220. Interacts (phosphorylated upon ligand-binding) with FRS2; activates the MAPK signaling pathway.
亚细胞定位
Isoform TrkB is expressed in the central and peripheral nervous system. In the central nervous system (CNS), expression is observed in the cerebral cortex, hippocampus, thalamus, choroid plexus, granular layer of the cerebellum, brain stem, and spinal cord. In the peripheral nervous system, it is expressed in many cranial ganglia, the ophtalmic nerve, the vestibular system, multiple facial structures, the submaxillary glands, and dorsal root ganglia. Isoform TrkB-T1 is mainly expressed in the brain but also detected in other tissues including pancreas, kidney and heart. Isoform TrkB-T-Shc is predominantly expressed in the brain.
组织特异性
TrkB-T1 is mainly expressed in the brain but also detected in other tissues including pancreas, kidney and heart. Isoform TrkB-T-Shc is predominantly expressed in the brain.
翻译后修饰
Phosphorylated. Undergoes ligand-mediated autophosphorylation that is required for interaction with SHC1 and PLCG1 and other downstream effectors. Isoform TrkB-T-Shc is not phosphorylated.
Ubiquitinated. Undergoes polyubiquitination upon activation; regulated by NGFR. Ubiquitination regulates the internalization of the receptor.
疾病
Defects in NTRK2 are the cause of obesity hyperphagia and developmental delay (OHPDD) [MIM:613886]. OHPDD is a disorder characterized by early-onset obesity, hyperphagia, and severe developmental delay in motor function, speech, and language.
相似性
Belongs to the protein kinase superfamily. Tyr protein kinase family. Insulin receptor subfamily.
Contains 2 Ig-like C2-type (immunoglobulin-like) domains.
Contains 2 LRR (leucine-rich) repeats.
Contains 1 LRRCT domain.
Contains 1 LRRNT domain.
Contains 1 protein kinase domain.
功能
Receptor tyrosine kinase involved in the development and the maturation of the central and the peripheral nervous systems through regulation of neuron survival, proliferation, migration, differentiation, and synapse formation and plasticity. Receptor for BDNF/brain-derived neurotrophic factor and NTF4/neurotrophin-4. Alternatively can also bind NTF3/neurotrophin-3 which is less efficient in activating the receptor but regulates neuron survival through NTRK2. Upon ligand-binding, undergoes homodimerization, autophosphorylation and activation. Recruits, phosphorylates and/or activates several downstream effectors including SHC1, FRS2, SH2B1, SH2B2 and PLCG1 that regulate distinct overlapping signaling cascades. Through SHC1, FRS2, SH2B1, SH2B2 activates the GRB2-Ras-MAPK cascade that regulates for instance neuronal differentiation including neurite outgrowth. Through the same effectors controls the Ras-PI3 kinase-AKT1 signaling cascade that mainly regulates growth and survival. Through PLCG1 and the downstream protein kinase C-regulated pathways controls synaptic plasticity. Thereby, plays a role in learning and memory by regulating both short term synaptic function and long-term potentiation. PLCG1 also leads to NF-Kappa-B activation and the transcription of genes involved in cell survival. Hence, it is able to suppress anoikis, the apoptosis resulting from loss of cell-matrix interactions. May also play a role in neutrophin-dependent calcium signaling in glial cells and mediate communication between neurons and glia.

标记抗体

暂无标记数据

同靶标产品

暂无同靶标产品

相关文献

提示: 发表研究结果有使用 bsm-61083R 时请让我们知道,以便我们可以引用参考文章。作为回馈,资料提供者将获得我们送上的小礼品。

暂无相关文献

常见问题

暂无常见问题