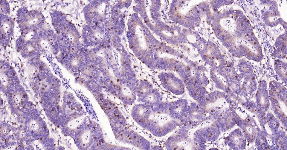
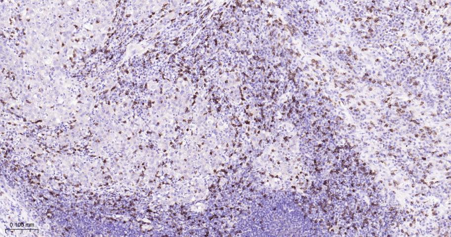
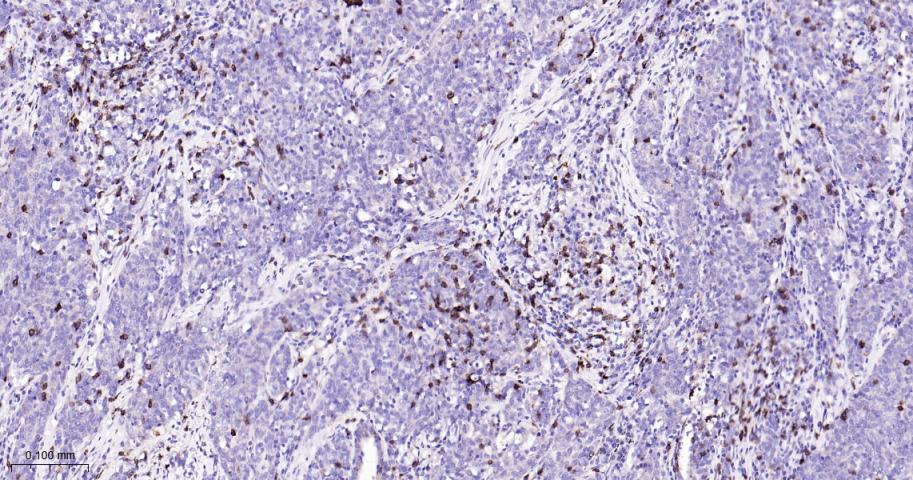
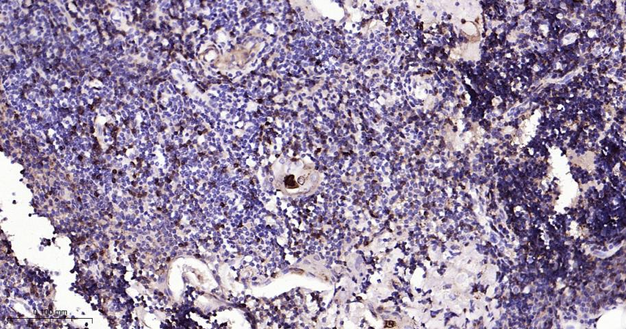
CD8 Recombinant Rabbit mAb (一抗) - IHC-P,IHC-F,IF | Bioss

Rrmab?兔单抗
2026-03-02~2026-04-30,KXJ26032026-03-02~2026-04-30,促销赠品
CD8 Recombinant Rabbit mAb (一抗) - IHC-P,IHC-F,IF | Bioss
货号:bsm-61078R
产品详情
相关标记
相关产品
相关文献
常见问题

概述

产品编号
bsm-61078R
产品类型
重组兔单抗
英文名称
CD8 Recombinant Rabbit mAb
中文名称
CD8重组兔单抗
英文别名
CD8; CD8alpha; IMD116; Leu2; p32; Ly-2; Ly-35; Ly-B; Lyt-2; CD8A_HUMAN; CD8A; T-lymphocyte differentiation antigen T8/Leu-2; MAL; CD8A_MOUSE; T-cell surface glycoprotein Lyt-2; Lyt2; G1SX34_RABIT;
抗体来源
Rabbit
免疫原
KLH conjugated synthetic peptide derived from human CD8
亚型
IgG
性状
Liquid
纯化方法
affinity purified by Protein A
克隆类型
Recombinant
克隆号
9A6
理论分子量
26 kDa
浓度
1mg/ml
储存液
0.01M TBS(pH7.4) with 1% BSA, 0.02% Proclin300 and 50% Glycerol.
SWISS
Gene ID
保存条件
Shipped at 4℃. Store at -20 °C for one year. Avoid repeated freeze/thaw cycles.
注意事项
This product as supplied is intended for research use only, not for use in human, therapeutic or diagnostic applications.
背景资料
The CD8 antigen is a cell surface glycoprotein found on most cytotoxic T lymphocytes that mediates efficient cell-cell interactions within the immune system. The CD8 antigen acts as a coreceptor with the T-cell receptor on the T lymphocyte to recognize antigens displayed by an antigen presenting cell in the context of class I MHC molecules. The coreceptor functions as either a homodimer composed of two alpha chains or as a heterodimer composed of one alpha and one beta chain. Both alpha and beta chains share significant homology to immunoglobulin variable light chains. This gene encodes the CD8 alpha chain. Multiple transcript variants encoding different isoforms have been found for this gene. The major protein isoforms of this gene differ by the presence or absence of a transmembrane domain and thus differ in being a membrane-anchored or secreted protein. [provided by RefSeq, May 2020]
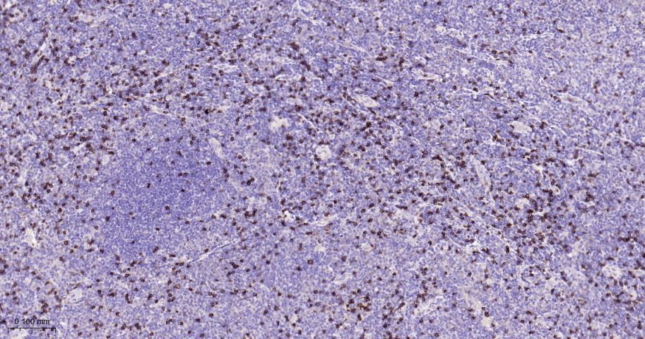
CD8重组兔单抗-bsm-61078RCD8重组兔单抗-bsm-61078RCD8重组兔单抗-bsm-61078RCD8重组兔单抗-bsm-61078RCD8重组兔单抗-bsm-61078RCD8重组兔单抗-bsm-61078RCD8重组兔单抗-bsm-61078RCD8重组兔单抗-bsm-61078RCD8重组兔单抗-bsm-61078RCD8重组兔单抗-bsm-61078R

产品应用

应用已检合格种属预测种属推荐稀释比例
IHC-PHuman1:200-1000
IHC-FHuman1:200-1000
IFHuman1:200-1000

交叉反应

交叉反应: Human

相关产品

暂无相关产品

靶标

基因名
CD8A
蛋白名
T-cell surface glycoprotein CD8 alpha chain
亚基
In general heterodimer of an alpha and a beta chain linked by two disulfide bonds. Can also form homodimers.
亚细胞定位
Membrane; Single-pass type I membrane protein.
组织特异性
Most prominently found in the gastrointestinal tract, skin, lung, and brain but not in liver.
相似性
Contains 1 Ig-like V-type (immunoglobulin-like) domain.
功能
Identifies cytotoxic/suppressor T-cells that interact with MHC class I bearing targets. CD8 is thought to play a role in the process of T-cell mediated killing. CD8 alpha chains binds to class I MHC molecules alpha-3 domains.

同靶标产品

相关文献

提示: 发表研究结果有使用 bsm-61078R 时请让我们知道,以便我们可以引用参考文章。作为回馈,资料提供者将获得我们送上的小礼品。

常见问题