Cancer > Cancer Metabolism > Cellular metabolic process
Cancer > Cancer Metabolism > Response to hypoxia
Cancer > Cell Death > Apoptosis > Apoptosis Markers > Bcl 2 family
Cancer > Cell Death > Apoptosis > Metabolism
Cancer > Invasion/microenvironment > Apoptosis > Bcl 2 family
Cancer > Oncoproteins/suppressors > Oncoproteins > Cell survival & death
Cancer > Tumor biomarkers > Oncoproteins
Cell Biology > Apoptosis > Intracellular > Bcl2 Family
Kits/ Lysates/ Other > Kits > ELISA Kits > ELISA Kits > Apoptosis marker and proteins ELISA kits
Metabolism > Pathways and Processes > Metabolism processes > Apoptosis
Metabolism > Pathways and Processes > Metabolism processes > Hypoxia
Metabolism > Pathways and Processes > Mitochondrial Metabolism > Mitochondrial markers










| 应用 | 已检合格种属 | 预测种属 | 推荐稀释比例 |
|---|---|---|---|
| WB | Human, Mouse | 1:500-2000 | |
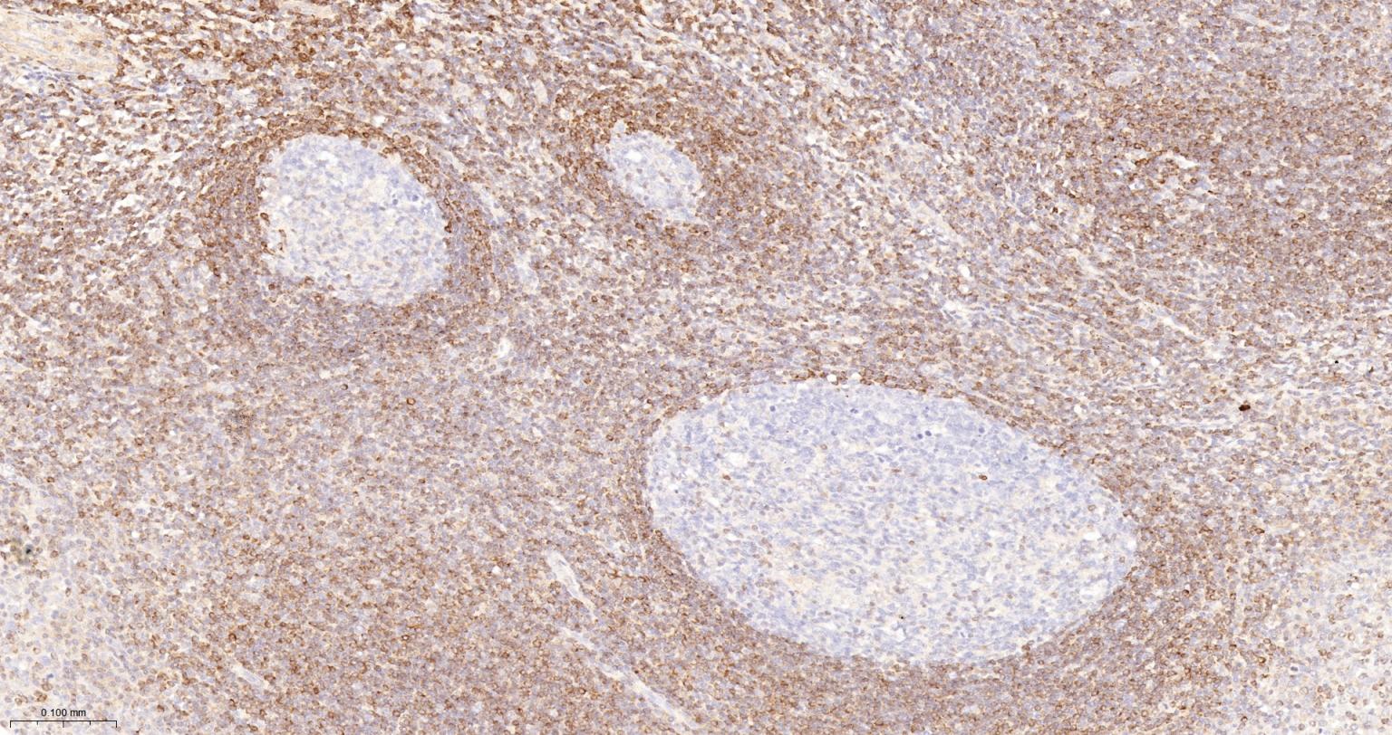
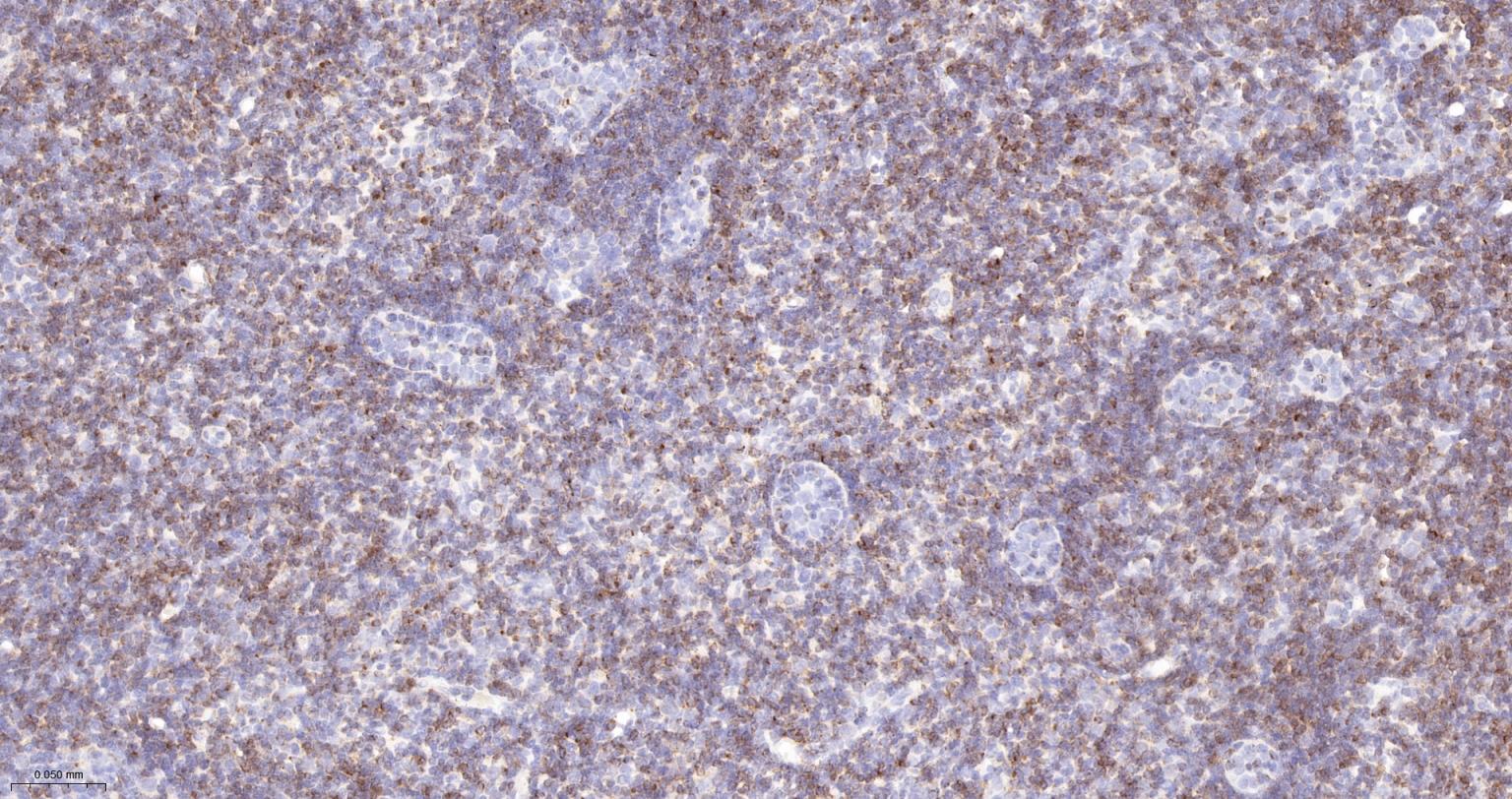
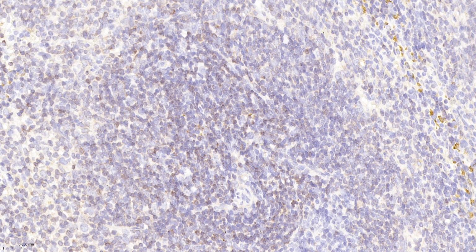
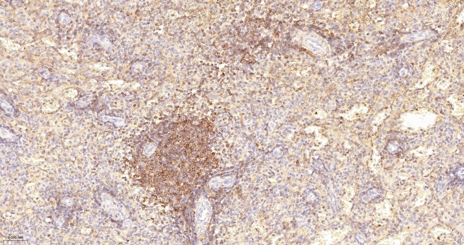
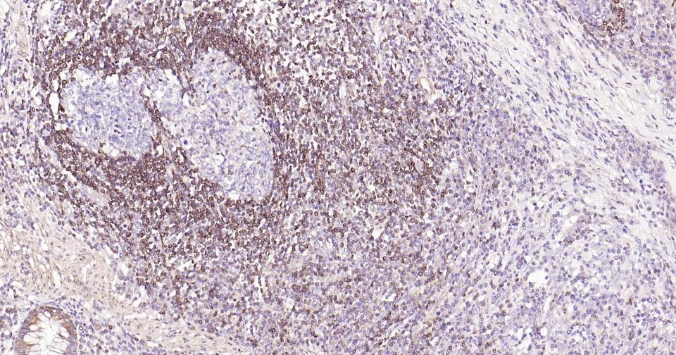
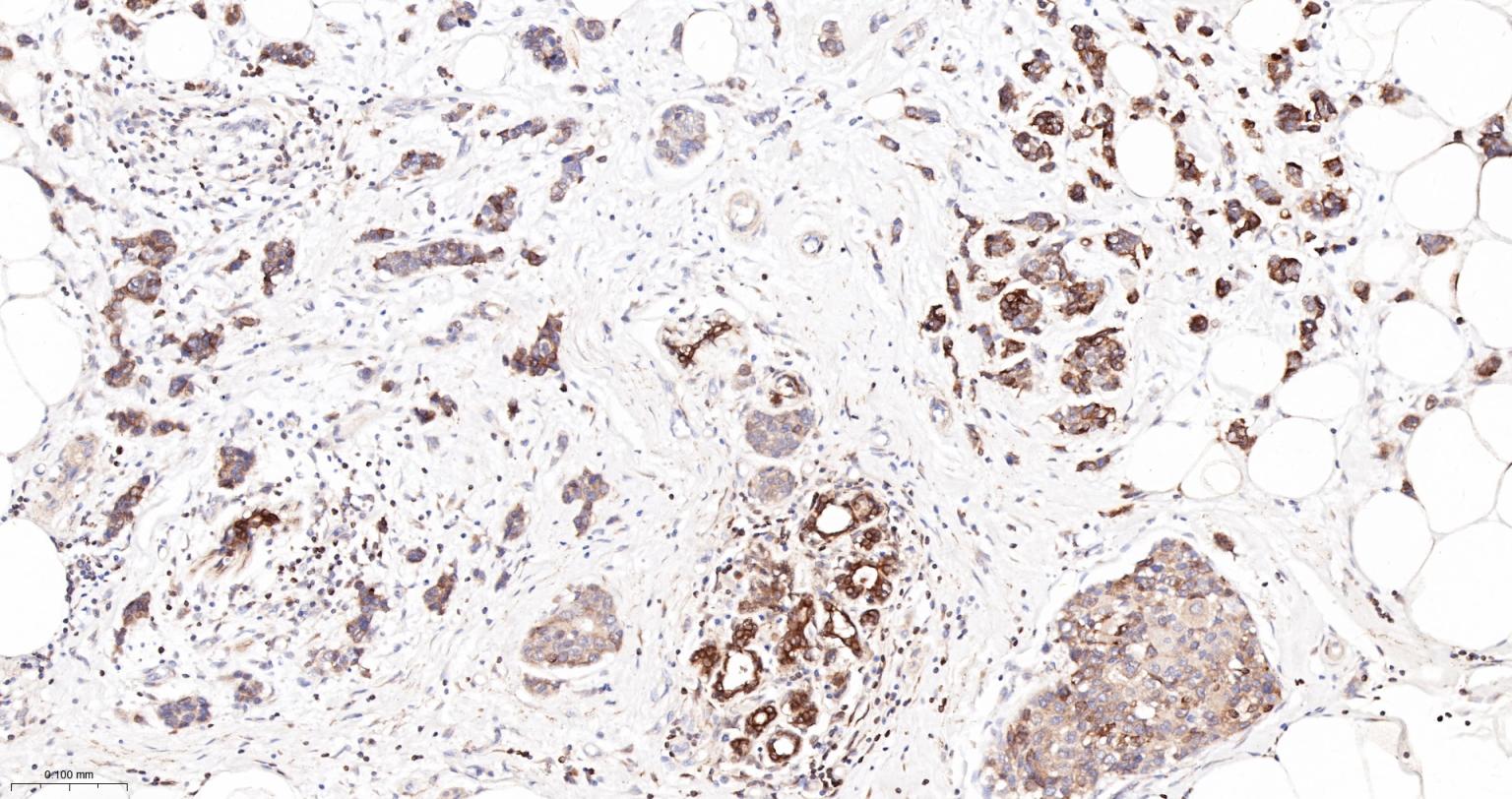
| IHC-P | Human, Mouse | 1:100-500 | |
| IHC-F | Human, Mouse | 1:100-500 | |
| IF | Human, Mouse | 1:100-500 |
交叉反应: Human, Mouse
暂无相关产品
暂无标记数据
暂无同靶标产品
暂无相关文献
暂无常见问题