


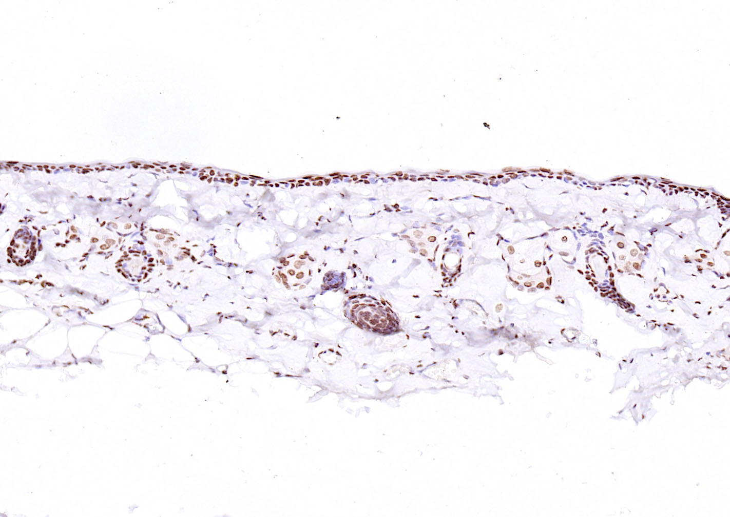
2688号盒-20230329-LXH_40.0x-C.jpg)
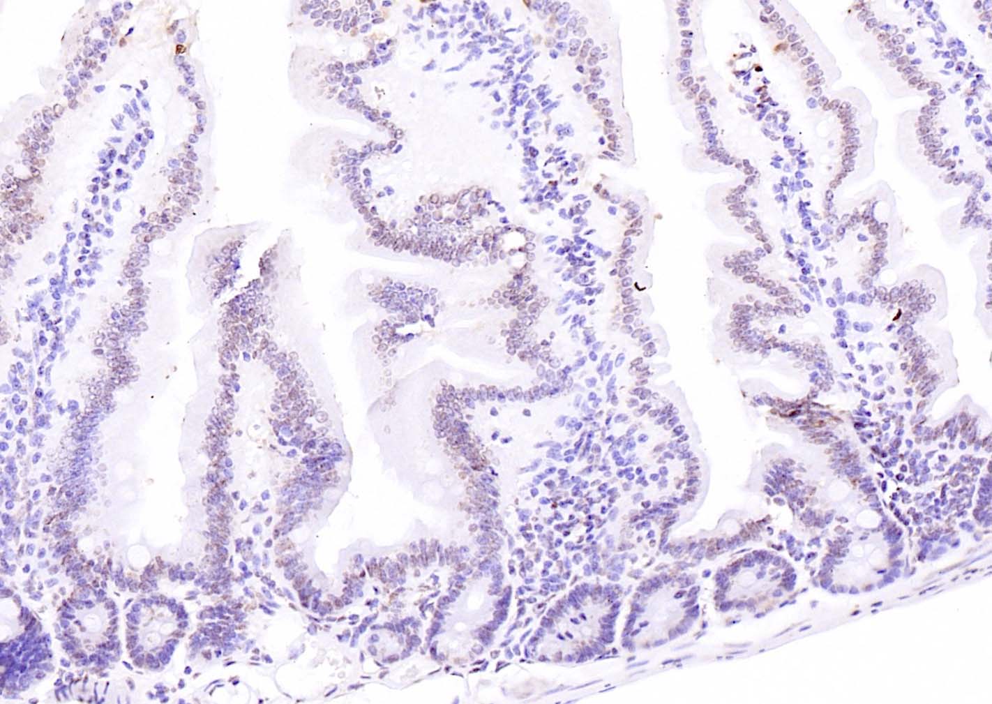
2688号盒-20230329-LXH_20.0x-C.jpg)










| 应用 | 已检合格种属 | 预测种属 | 推荐稀释比例 |
|---|---|---|---|
| WB | Human, Mouse, Rat | Rabbit, Pig, Sheep, Cow, Dog, Horse | 1:500-2000 |
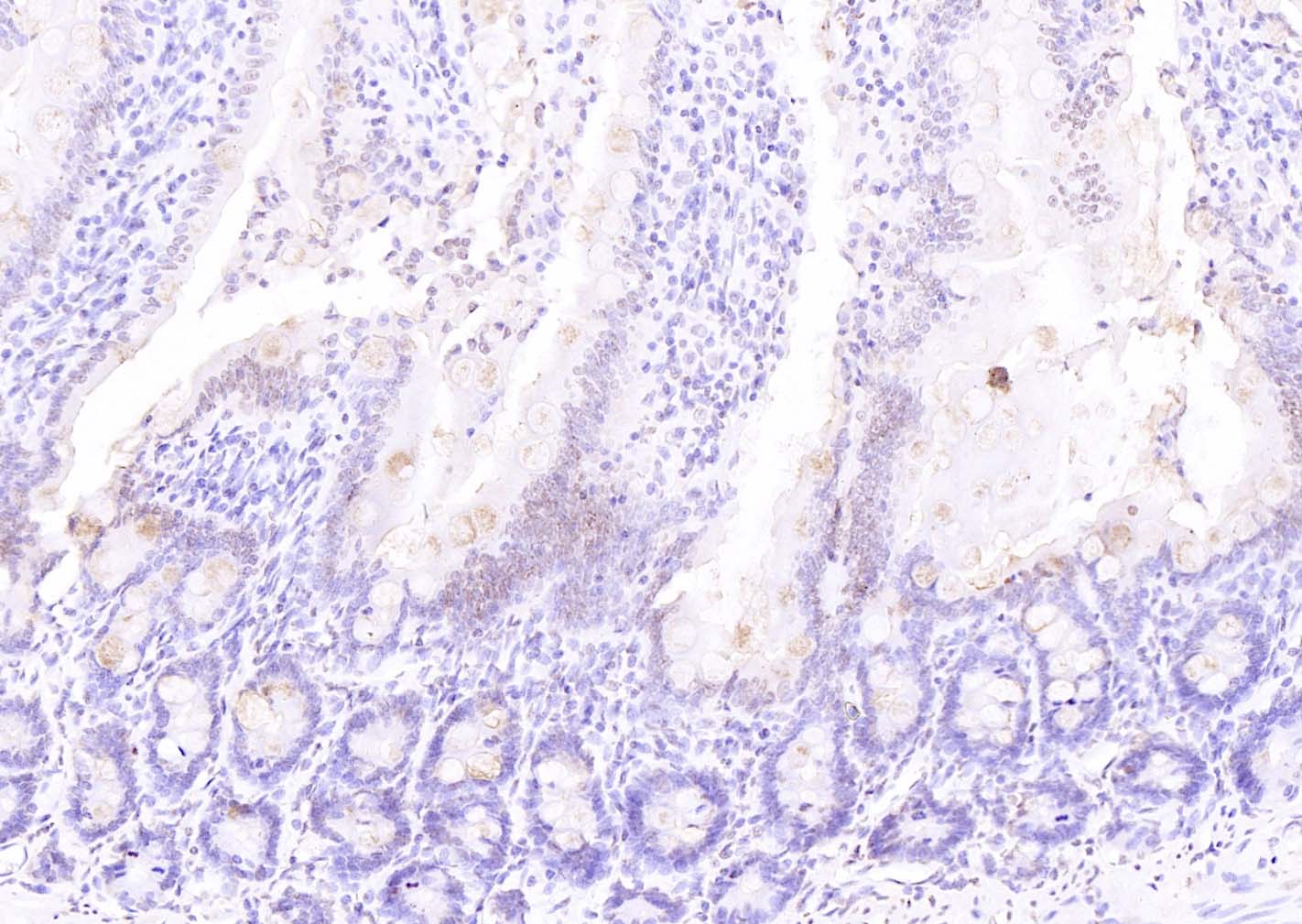
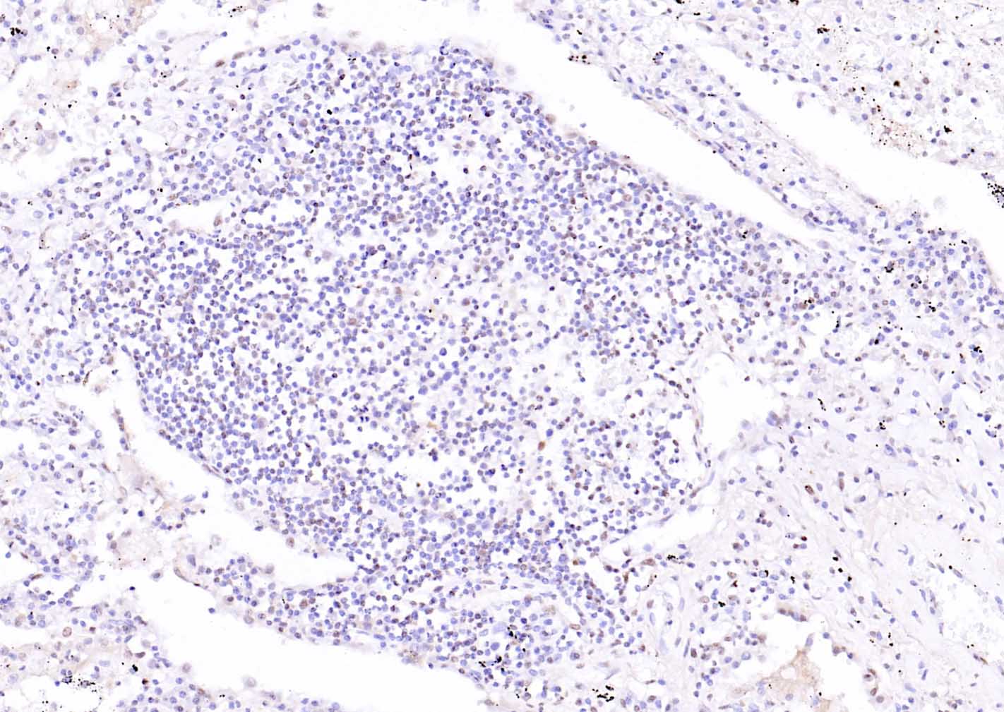
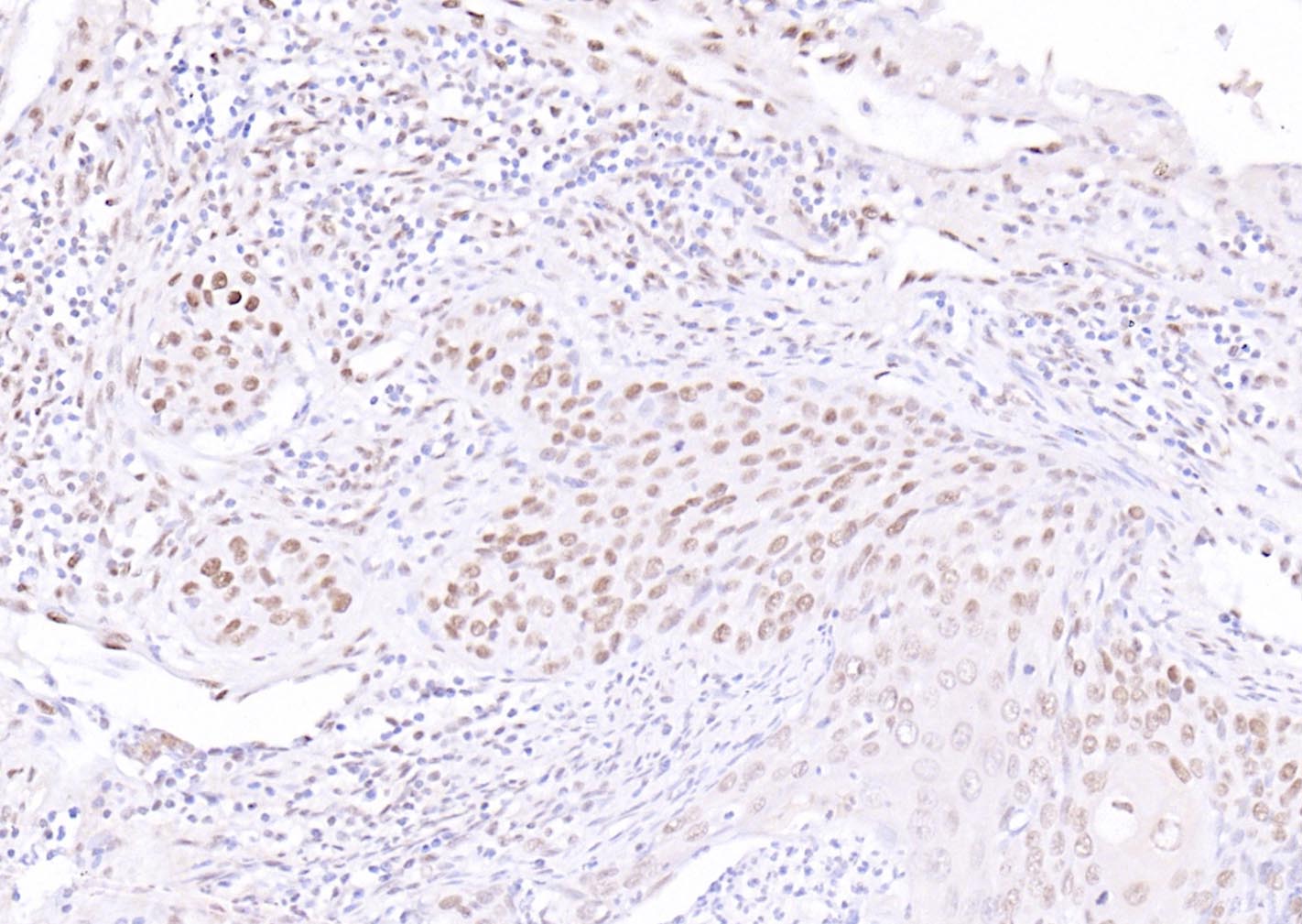
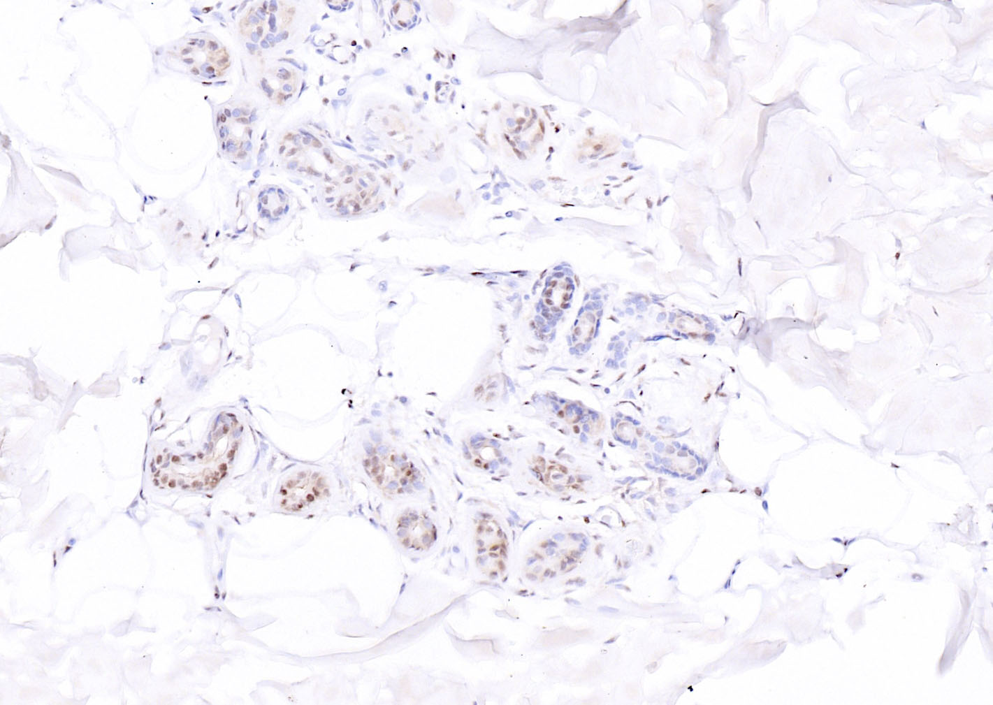
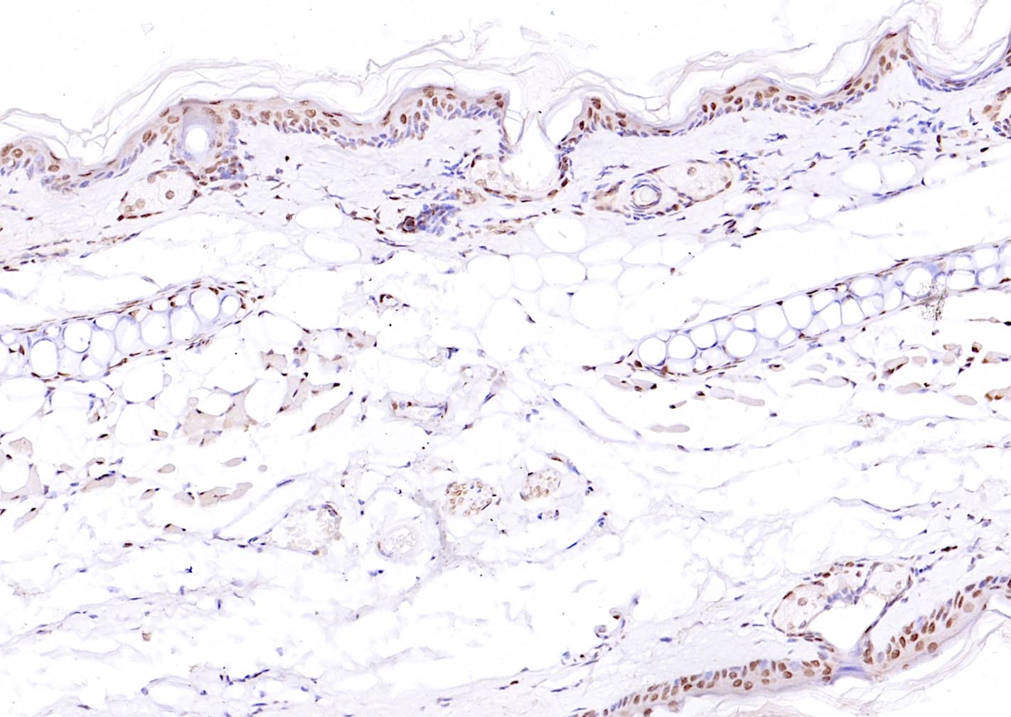
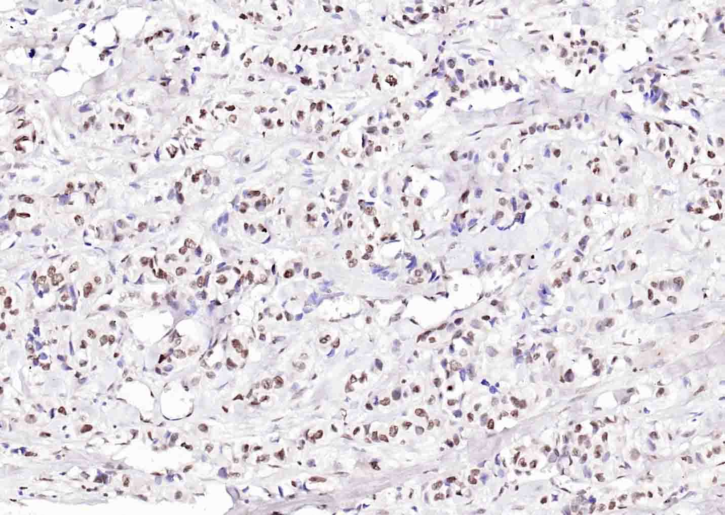
| IHC-P | Human, Mouse, Rat | Rabbit, Pig, Sheep, Cow, Dog, Horse | 1:100-500 |
| IHC-F | Mouse | Human, Rat, Rabbit, Pig, Sheep, Cow, Dog, Horse | 1:100-500 |
| IF | Human, Mouse, Rat | Rabbit, Pig, Sheep, Cow, Dog, Horse | 1:100-500 |
| Flow-Cyt | Human, Mouse | Rat, Rabbit, Pig, Sheep, Cow, Dog, Horse | 0.2μg /test |
| ICC/IF | Human | Mouse, Rat, Rabbit, Pig, Sheep, Cow, Dog, Horse | 1:100-500 |
交叉反应: Human, Mouse, Rat (predicted: Rabbit, Pig, Sheep, Cow, Dog, Horse)
暂无相关产品