Cytokeratin 5 Mouse mAb (一抗) | Bioss

2026-05-01~2026-06-30,AB2605
Cytokeratin 5 Mouse mAb (一抗) | Bioss
货号:bsm-34181M
产品详情
相关标记
相关产品
相关文献
常见问题

概述

产品编号
bsm-34181M
产品类型
mIHC精品抗体
英文名称
Cytokeratin 5 Mouse mAb
中文名称
细胞角蛋白5单克隆抗体
英文别名
CK5; DDD; DDD1; EBS1; EBS2; EBS2A; EBS2B; EBS2C; EBS2D; EBS2E; EBS2F; K5; KRT5A; 3300001P10Rik; Krt2-5; Tfip8; CK-5; Sak57; K2C5_HUMAN; KRT5; 58 kDa cytokeratin; Cytokeratin-5 (CK-5); Keratin-5 (K5); Type-II keratin Kb5; K2C5_MOUSE; K2C5_RAT; keratin 5; epidermolysis bullosa simplex 2 Dowling-Meara/Kobner/Weber-Cockayne types; keratin 5 (epidermolysis bullosa simplex, Dowling-Meara/Kobner/Weber-Cockayne types); keratin 5, type II
抗体来源
Mouse
免疫原
KLH conjugated synthetic peptide derived from human CK5
亚型
IgG
性状
Liquid
纯化方法
affinity purified by Protein A
克隆类型
Monoclonal
克隆号
12H10
理论分子量
64 kDa
浓度
1mg/ml
储存液
0.01M TBS(pH7.4) with 1% BSA, 0.02% Proclin300 and 50% Glycerol.
SWISS
Gene ID
保存条件
Shipped at 4℃. Store at -20 °C for one year. Avoid repeated freeze/thaw cycles.
注意事项
This product as supplied is intended for research use only, not for use in human, therapeutic or diagnostic applications.
产品介绍
结构蛋白(Structural Proteins)
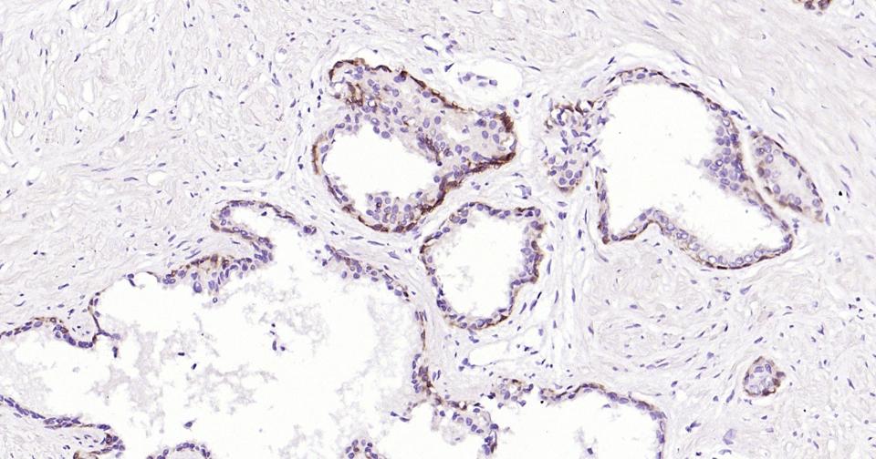
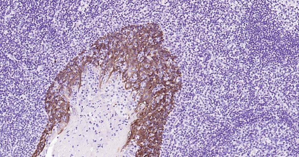
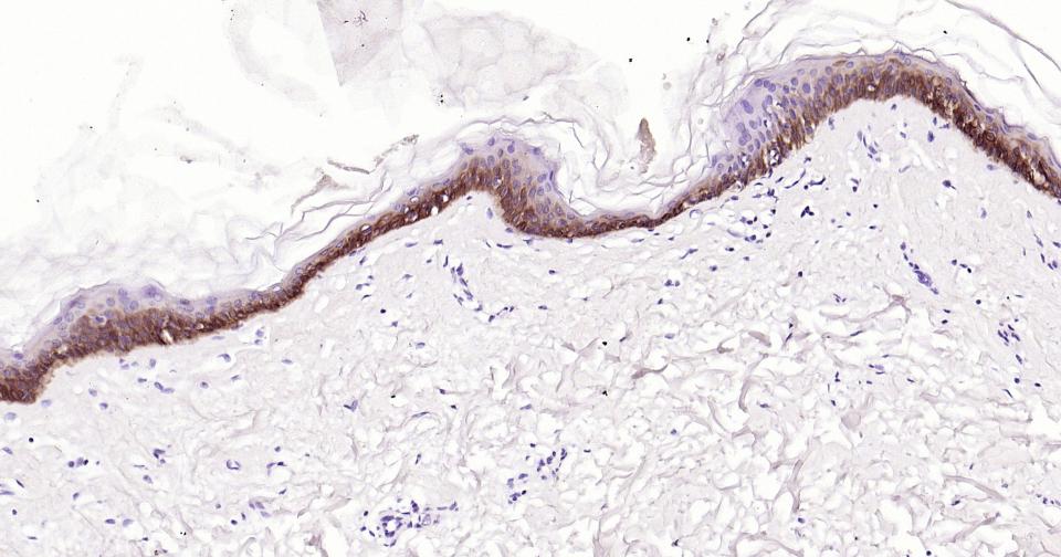
细胞角蛋白5,为高分子量细胞角蛋白 58 kDa ,表达在皮肤的基底细胞和棘层细胞,部分前列腺基底细胞,与其它单层腺上皮不表达。主要用于间皮瘤与腺癌的鉴别诊断。
细胞角蛋白是一类与结构相关的蛋白家族,其在上皮细胞中形成细胞骨架中间丝。CK5是在表皮角质化细胞中大量表达的4种角蛋白之一。CK5可用以区分正常细胞和肿瘤细胞。在基底细胞上皮瘤、多种鳞状细胞癌(皮肤和舌)、多种上皮细胞和间皮瘤都有CK5的表达。
背景资料
Cytokeratins (CK) are intermediate filaments of epithelial cells, both in keratinising tissue (ie., skin) and non keratinising cells (ie., mesothelial cells). Although not a traditional marker for endothelial cells, cytokeratins have also been found in some microvascular endothelial cells. At least 20 different cytokeratins (CK) in the molecular range of 40 to 70 kDa and isoelectric points of 5 to 8.5 can be identified using two dimensional gel electrophoresis. Biochemically, most members of the CK family fall into one of two classes, type I (acidic polypeptides) and type II (basic polypeptides). At least one member of the acidic family and one member of the basic family is expressed in all epithelial cells. Defects in KRT5 are a cause of epidermolysis bullosa simplex.
细胞角蛋白5单克隆抗体-bsm-34181M细胞角蛋白5单克隆抗体-bsm-34181M细胞角蛋白5单克隆抗体-bsm-34181M

产品应用

应用已检合格种属预测种属推荐稀释比例
IHC-PHuman1:200-500
IHC-FHuman1:200-500
IFHuman1:200-500

交叉反应

交叉反应: Human

相关产品

暂无相关产品

靶标

基因名
KRT5
蛋白名
Keratin, type II cytoskeletal 5
亚基
Heterotetramer of two type I and two type II keratins. Keratin-5 associates with keratin-14. Interacts with TCHP.
疾病
Defects in KRT5 are a cause of epidermolysis bullosa simplex Dowling-Meara type (DM-EBS) [MIM:131760]. DM-EBS is a severe form of intraepidermal epidermolysis bullosa characterized by generalized herpetiform blistering, milia formation, dystrophic nails, and mucous membrane involvement.
Defects in KRT5 are the cause of epidermolysis bullosa simplex with migratory circinate erythema (EBSMCE) [MIM:609352]. EBSMCE is a form of intraepidermal epidermolysis bullosa characterized by unusual migratory circinate erythema. Skin lesions appear from birth primarily on the hands, feet, and legs but spare nails, ocular epithelia and mucosae. Lesions heal with brown pigmentation but no scarring. Electron microscopy findings are distinct from those seen in the DM-EBS, with no evidence of tonofilament clumping.
Defects in KRT5 are a cause of epidermolysis bullosa simplex Weber-Cockayne type (WC-EBS) [MIM:131800]. WC-EBS is a form of intraepidermal epidermolysis bullosa characterized by blistering limited to palmar and plantar areas of the skin.
Defects in KRT5 are a cause of epidermolysis bullosa simplex Koebner type (K-EBS) [MIM:131900]. K-EBS is a form of intraepidermal epidermolysis bullosa characterized by generalized skin blistering. The phenotype is not fundamentally distinct from the Dowling-Meara type, althought it is less severe.
Defects in KRT5 are the cause of epidermolysis bullosa simplex with mottled pigmentation (MP-EBS) [MIM:131960]. MP-EBS is a form of intraepidermal epidermolysis bullosa characterized by blistering at acral sites and 'mottled' pigmentation of the trunk and proximal extremities with hyper- and hypopigmentation macules.
Defects in KRT5 are the cause of Dowling-Degos disease (DDD) [MIM:179850]; also known as Dowling-Degos-Kitamura disease or reticulate acropigmentation of Kitamura. DDD is an autosomal dominant genodermatosis. Affected individuals develop a postpubertal reticulate hyperpigmentation that is progressive and disfiguring, and small hyperkeratotic dark brown papules that affect mainly the flexures and great skin folds. Patients usually show no abnormalities of the hair or nails.
相似性
Belongs to the intermediate filament family.

同靶标产品

相关文献

提示: 发表研究结果有使用 bsm-34181M 时请让我们知道,以便我们可以引用参考文章。作为回馈,资料提供者将获得我们送上的小礼品。

常见问题