Cancer > Cancer Metabolism > Metabolic signaling pathway > Integration of energy metabolism
Cancer > Cancer Metabolism > Metabolic signaling pathway > Metabolism of lipids and lipoproteins
Cancer > Signal transduction > Protein phosphorylation > Serine/threonine kinases
Metabolism > Pathways and Processes > Metabolic signaling pathways > Energy transfer pathways > Integration of energy
Metabolism > Pathways and Processes > Metabolic signaling pathways > Lipid and lipoprotein metabolism > Lipid metabolism
Metabolism > Types of disease > Cancer
Neuroscience > Neurotransmission > Intracellular Signaling > Kinases
Signal Transduction > Protein Phosphorylation > Ser / Thr Kinases > PKA
Signal Transduction > Protein Phosphorylation > Ser / Thr Kinases > PKC



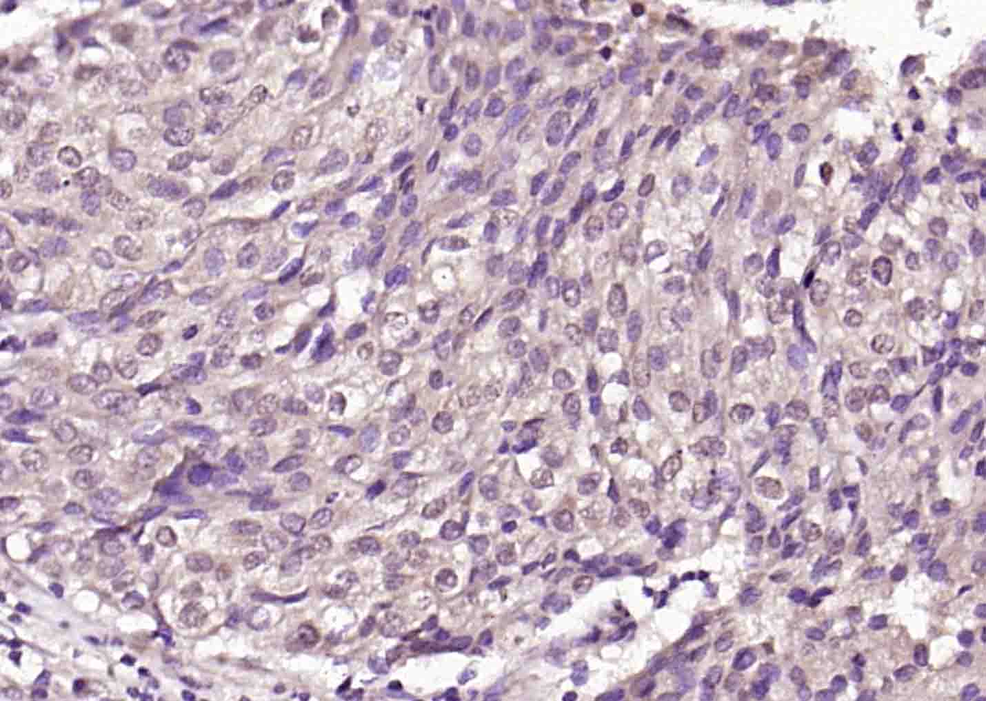
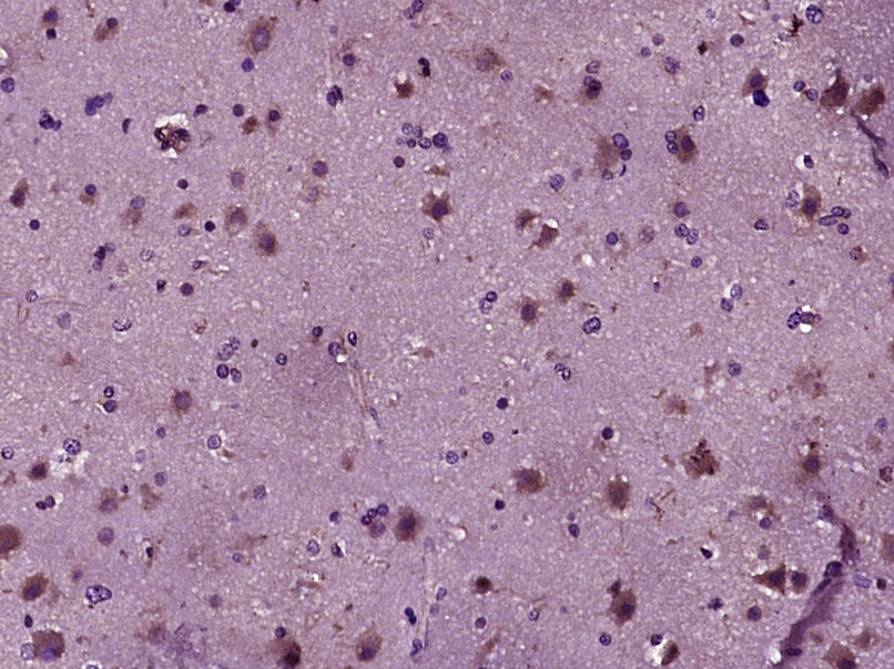
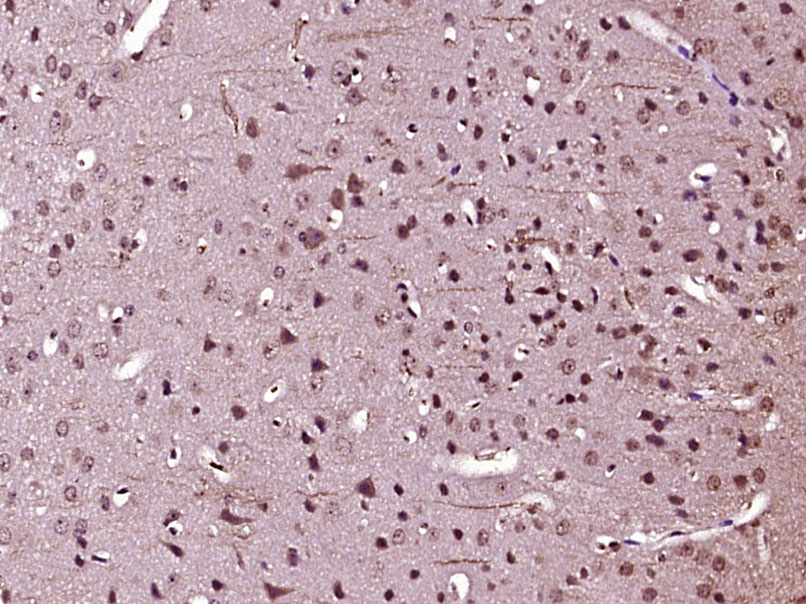
| 应用 | 已检合格种属 | 预测种属 | 推荐稀释比例 |
|---|---|---|---|
| IHC-P | Human, Mouse | Rat, Rabbit, Pig, Sheep, Cow, Dog | 1:100-500 |
| IHC-F | Human, Mouse | Rat, Rabbit, Pig, Sheep, Cow, Dog | 1:100-500 |
| IF | Human, Mouse | Rat, Rabbit, Pig, Sheep, Cow, Dog | 1:100-500 |
交叉反应: Human, Mouse (predicted: Rat, Rabbit, Pig, Sheep, Cow, Dog)
暂无相关产品