ATP1B1 Recombinant Rabbit mAb (一抗) - IHC-P,IHC-F,IF | Bioss

Rrmab?兔单抗
2026-03-02~2026-04-30,KXJ2603
ATP1B1 Recombinant Rabbit mAb (一抗) - IHC-P,IHC-F,IF | Bioss
货号:bsm-61065R
产品详情
相关标记
相关产品
相关文献
常见问题

概述

产品编号
bsm-61065R
产品类型
重组兔单抗
英文名称
ATP1B1 Recombinant Rabbit mAb
中文名称
钠钾ATP酶蛋白b1重组兔单抗
英文别名
ATP1B; Atp4b; Atpb; Atpb-1; NKbeta1; ATPBS; AT1B1_CANLF; ATP1B1; Sodium/potassium-dependent ATPase subunit beta-1; ATPB1_DROME; nrv1; Protein nervana 1; AT1B1_CAVPO; AT1B1_HUMAN; AT1B1_MOUSE; AT1B1_PIG; AT1B1_RABIT; AT1B1_RAT; AT1B1_SHEEP;
抗体来源
Rabbit
免疫原
A synthesized peptide derived from human ATP1B1: 261-303
亚型
IgG
性状
Liquid
纯化方法
affinity purified by Protein A
克隆类型
Recombinant
克隆号
2B9
理论分子量
35 kDa
浓度
1mg/ml
储存液
0.01M TBS(pH7.4) with 1% BSA, 0.02% Proclin300 and 50% Glycerol.
SWISS
Gene ID
保存条件
Shipped at 4℃. Store at -20 °C for one year. Avoid repeated freeze/thaw cycles.
注意事项
This product as supplied is intended for research use only, not for use in human, therapeutic or diagnostic applications.
背景资料
The protein encoded by this gene belongs to the family of Na+/K+ and H+/K+ ATPases beta chain proteins, and to the subfamily of Na+/K+ -ATPases. Na+/K+ -ATPase is an integral membrane protein responsible for establishing and maintaining the electrochemical gradients of Na and K ions across the plasma membrane. These gradients are essential for osmoregulation, for sodium-coupled transport of a variety of organic and inorganic molecules, and for electrical excitability of nerve and muscle. This enzyme is composed of two subunits, a large catalytic subunit (alpha) and a smaller glycoprotein subunit (beta). The beta subunit regulates, through assembly of alpha/beta heterodimers, the number of sodium pumps transported to the plasma membrane. The glycoprotein subunit of Na+/K+ -ATPase is encoded by multiple genes. This gene encodes a beta 1 subunit. Alternatively spliced transcript variants encoding different isoforms have been described, but their biological validity is not known. [provided by RefSeq, Mar 2010].
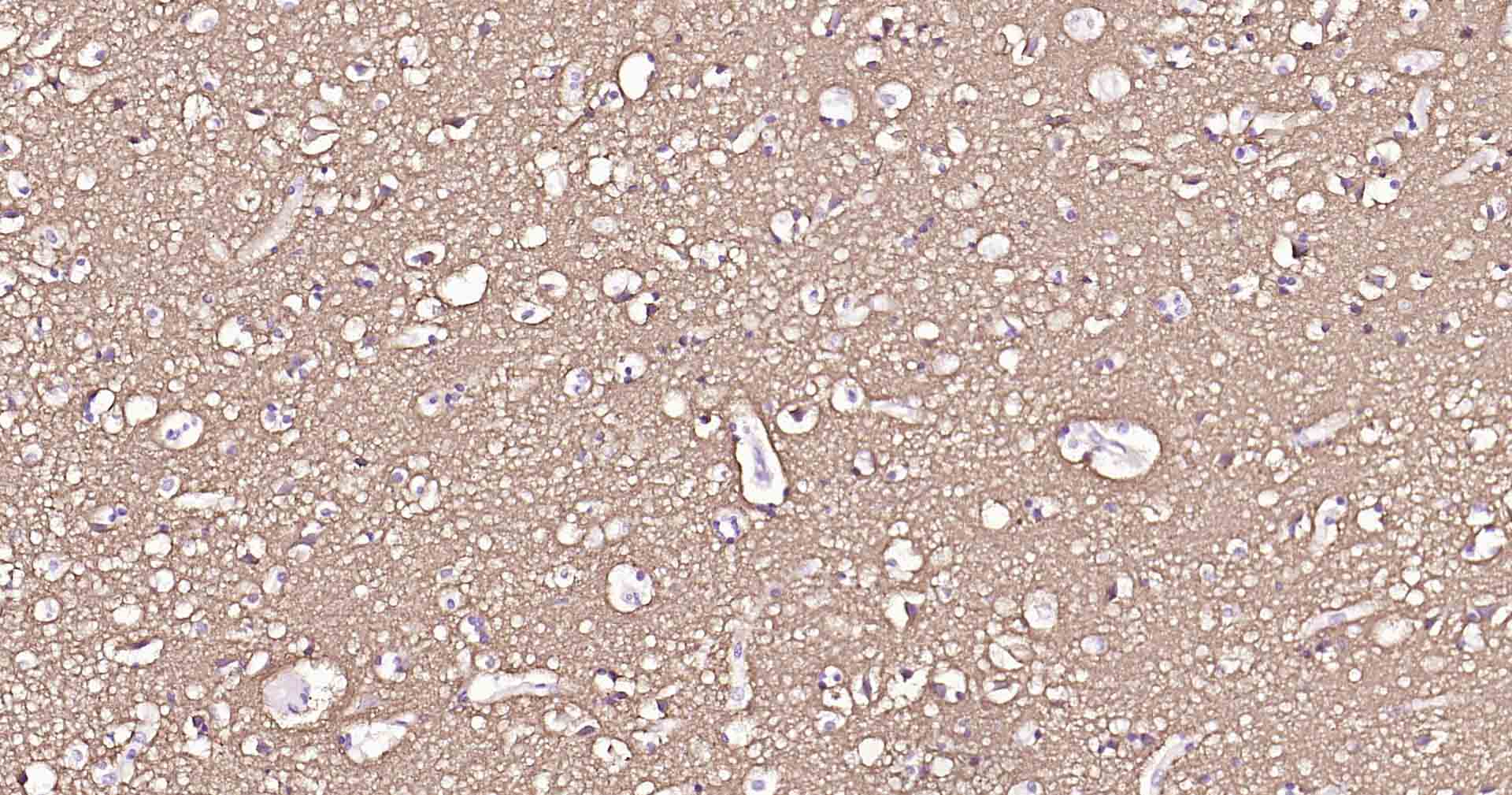
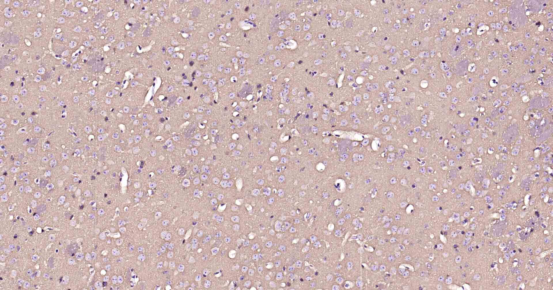
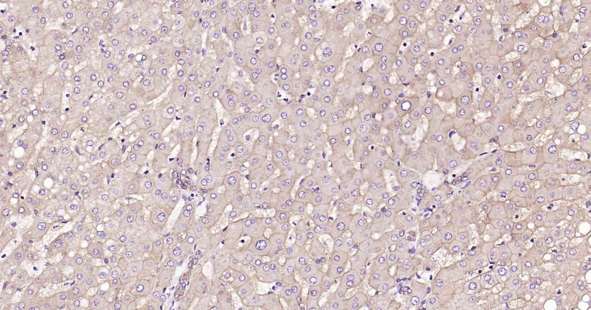
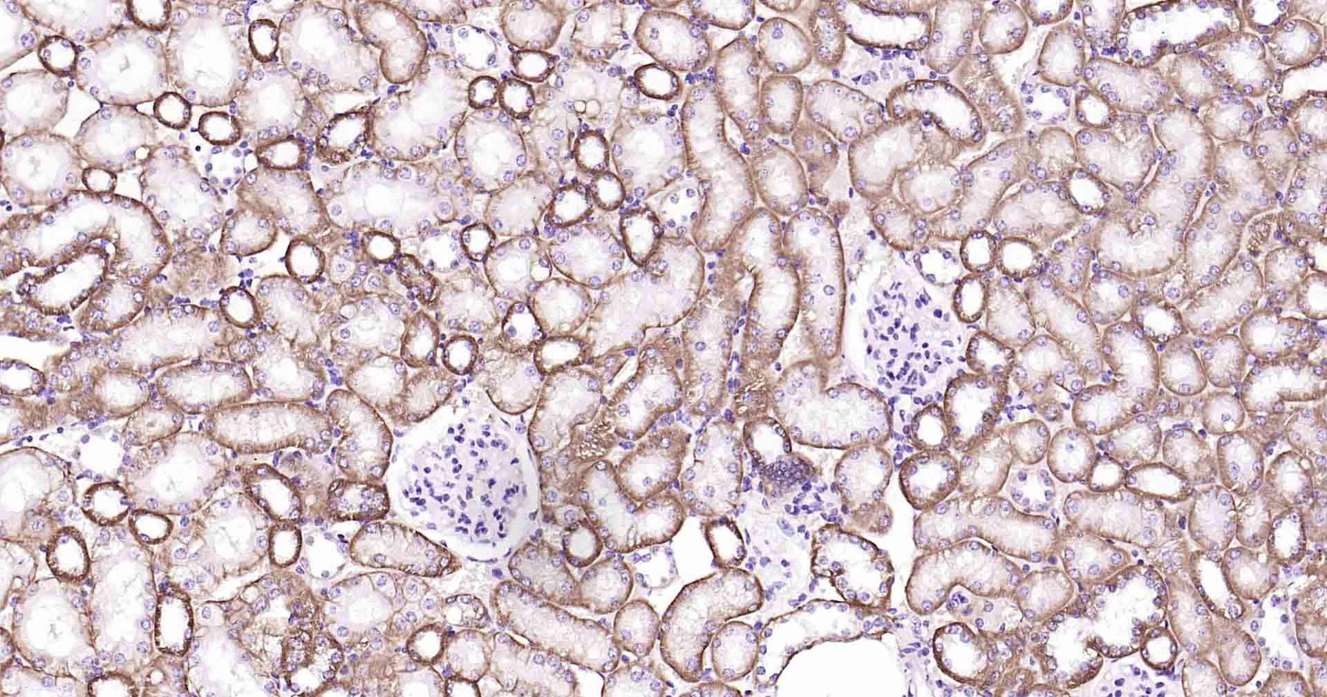
钠钾ATP酶蛋白b1重组兔单抗-bsm-61065R钠钾ATP酶蛋白b1重组兔单抗-bsm-61065R钠钾ATP酶蛋白b1重组兔单抗-bsm-61065R钠钾ATP酶蛋白b1重组兔单抗-bsm-61065R钠钾ATP酶蛋白b1重组兔单抗-bsm-61065R钠钾ATP酶蛋白b1重组兔单抗-bsm-61065R钠钾ATP酶蛋白b1重组兔单抗-bsm-61065R钠钾ATP酶蛋白b1重组兔单抗-bsm-61065R钠钾ATP酶蛋白b1重组兔单抗-bsm-61065R钠钾ATP酶蛋白b1重组兔单抗-bsm-61065R

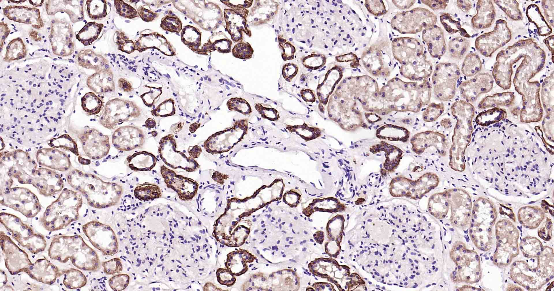
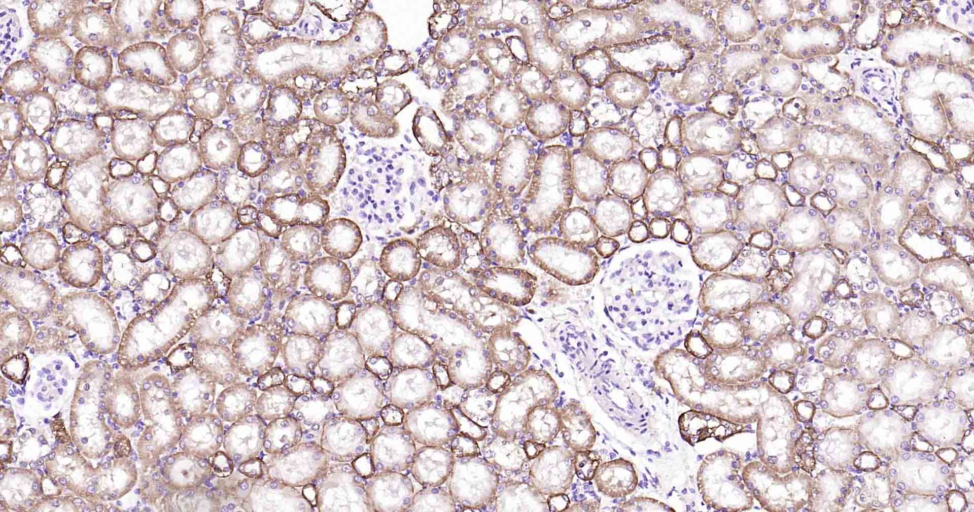
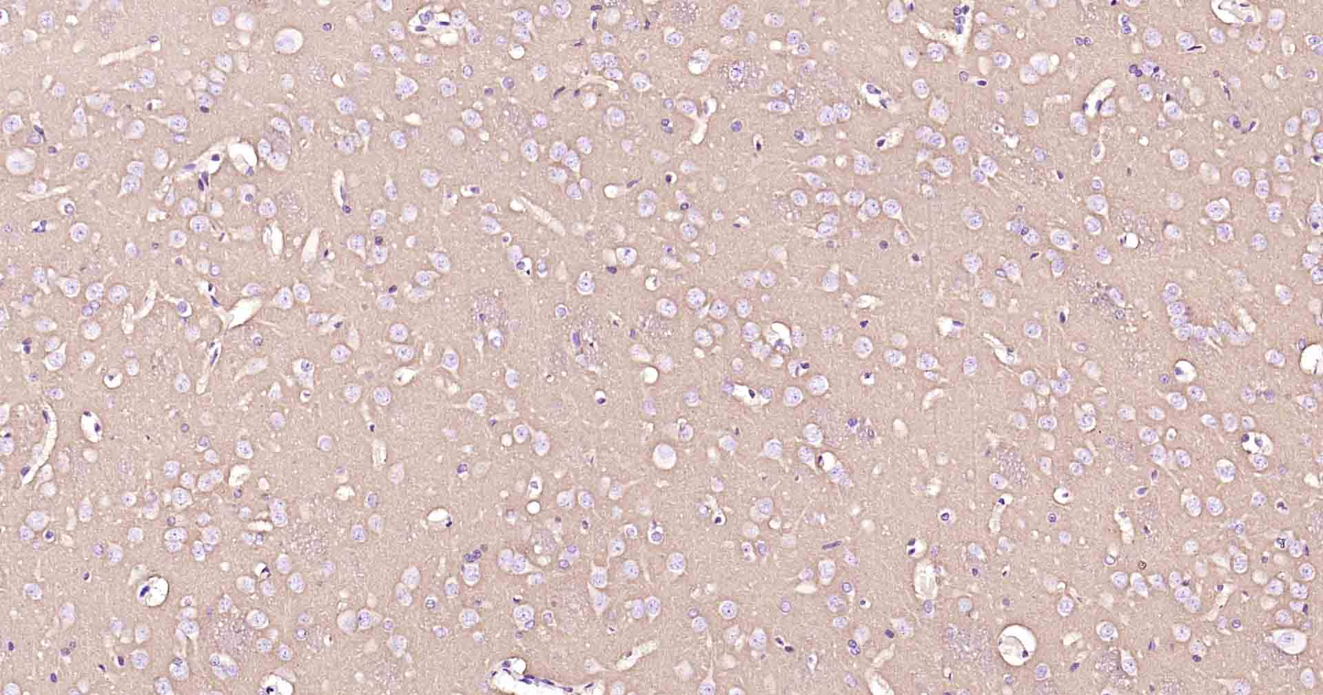
产品应用

应用已检合格种属预测种属推荐稀释比例
IHC-PHuman, Mouse, Rat1:50-200
IHC-FHuman, Mouse, Rat1:50-200
IFHuman, Mouse, Rat1:50-200

交叉反应

交叉反应: Human, Mouse, Rat

相关产品

暂无相关产品

靶标

基因名
ATP1B1
蛋白名
Sodium/potassium-transporting ATPase subunit beta-1
亚基
Composed of three subunits: alpha (catalytic), beta and gamma. Interacts with NKAIN1, NKAIN2 and NKAIN4. Interacts with MLC1 (PubMed:22328087). Part of a complex containing MLC1, TRPV4, AQP4 and HEPACAM. Interacts with KIRREL3.
亚细胞定位
Cell membrane; Single-pass type II membrane protein.
组织特异性
Found in most tissues.
相似性
Belongs to the X(+)/potassium ATPases subunit beta family.
功能
This is the non-catalytic component of the active enzyme, which catalyzes the hydrolysis of ATP coupled with the exchange of Na(+) and K(+) ions across the plasma membrane. The beta subunit regulates, through assembly of alpha/beta heterodimers, the number of sodium pumps transported to the plasma membrane.
Involved in cell adhesion and establishing epithelial cell polarity.

同靶标产品

相关文献

提示: 发表研究结果有使用 bsm-61065R 时请让我们知道,以便我们可以引用参考文章。作为回馈,资料提供者将获得我们送上的小礼品。

常见问题