列腺素E2受体2重组兔单抗

Rrmab?兔单抗
2026-03-02~2026-04-30,KXJ26032026-03-02~2026-04-30,促销赠品
列腺素E2受体2重组兔单抗
货号:bsm-61050R
产品详情
相关标记
相关产品
相关文献
常见问题

概述

产品编号
bsm-61050R
产品类型
重组兔单抗
英文名称
PTGER2 Recombinant Rabbit mAb
中文名称
列腺素E2受体2重组兔单抗
英文别名
COX-2; EP2; Ptgerep2; Ptger-ep2; PE2R2_HUMAN; PTGER2; PGE receptor EP2 subtype; PGE2 receptor EP2 subtype; Prostanoid EP2 receptor; PE2R2_MOUSE; PE2R2_RAT;
抗体来源
Rabbit
免疫原
A synthesized peptide derived from human PTGER2: 320-358/358
亚型
IgG
性状
Liquid
纯化方法
affinity purified by Protein A
克隆类型
Recombinant
克隆号
2F16
理论分子量
40 kDa
储存液
0.01M TBS(pH7.4) with 1% BSA, 0.02% Proclin300 and 50% Glycerol.
SWISS
Gene ID
保存条件
Shipped at 4℃. Store at -20 °C for one year. Avoid repeated freeze/thaw cycles.
注意事项
This product as supplied is intended for research use only, not for use in human, therapeutic or diagnostic applications.
背景资料
Prostaglandins are produced by the metabolism of arachidonic acid. Prostaglandin E2 is one of the five physiologically significant prostanoids known. Its wide spectrum of physiologic and pharmacologic effects in various tissues is mediated through binding to the Prostaglandin E2 receptors (EP1, EP2, EP3 & EP4). These include effects on the immune, endocrine, cardiovascular, renal and reproductive systems as well as smooth muscle. It is also one of the most abundant of the prostanoid family in the brain where it plays an important role in many neural functions, particularly in newborn babies, and as a mediator of inflammation. Prostaglandin E2 signals through a family of G-protein coupled receptors known as EP receptors. There are 4 subtypes of EP receptors, known as EP1, EP2, EP3 and EP4. EP2 receptors are 358 amino acid proteins with a short third intracellular loop. EP2 receptors stimulate adenylyl cyclase by their coupling to Gs and do not undergo Prostaglandin E2 induced internalization. The EP2 receptors is involved with the contration and relaxation of smooth muscle tissue. These receptors are mainly localized in lung and placental tissues and in smooth muscle.
列腺素E2受体2重组兔单抗列腺素E2受体2重组兔单抗列腺素E2受体2重组兔单抗列腺素E2受体2重组兔单抗列腺素E2受体2重组兔单抗列腺素E2受体2重组兔单抗列腺素E2受体2重组兔单抗列腺素E2受体2重组兔单抗列腺素E2受体2重组兔单抗列腺素E2受体2重组兔单抗列腺素E2受体2重组兔单抗列腺素E2受体2重组兔单抗列腺素E2受体2重组兔单抗列腺素E2受体2重组兔单抗

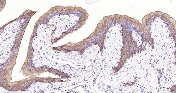
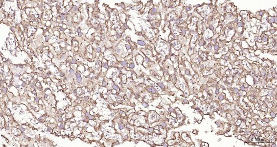
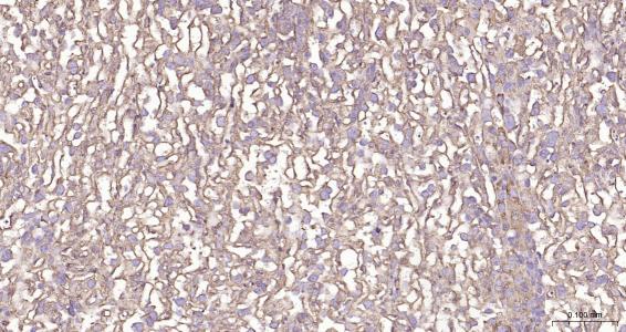
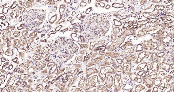
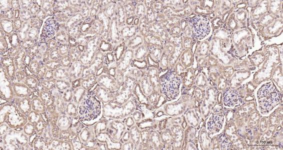
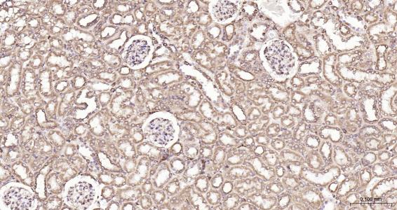
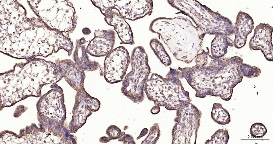
产品应用

应用已检合格种属预测种属推荐稀释比例
IHC-PHuman, Mouse, Rat1:100-500
IHC-FHuman, Mouse, Rat1:100-500
IFHuman, Mouse, Rat1:100-500

交叉反应

交叉反应: Human, Mouse, Rat

相关产品

暂无相关产品

靶标

基因名
PTGER2
蛋白名
Prostaglandin E2 receptor EP2 subtype
亚细胞定位
Cell membrane; Multi-pass membrane protein.
组织特异性
Placenta and lung.
相似性
Belongs to the G-protein coupled receptor 1 family.
功能
Receptor for prostaglandin E2 (PGE2). The activity of this receptor is mediated by G(s) proteins that stimulate adenylate cyclase. The subsequent raise in intracellular cAMP is responsible for the relaxing effect of this receptor on smooth muscle.

标记抗体

暂无标记数据

同靶标产品

暂无同靶标产品

相关文献

提示: 发表研究结果有使用 bsm-61050R 时请让我们知道,以便我们可以引用参考文章。作为回馈,资料提供者将获得我们送上的小礼品。

暂无相关文献

常见问题

暂无常见问题