Ras样蛋白A重组兔单抗

KO/KD Validated Rrmab?兔单抗
2026-03-02~2026-04-30,KXJ26032026-03-02~2026-04-30,促销赠品
Ras样蛋白A重组兔单抗
货号:bsm-61044R
产品详情
相关标记
相关产品
相关文献
常见问题

概述

产品编号
bsm-61044R
产品类型
重组兔单抗、KO/KD Validated
英文名称
RalA Recombinant Rabbit mAb
中文名称
Ras样蛋白A重组兔单抗
英文别名
HINCONS; RAL; 3010001O15Rik; Rasl1; RALA_HUMAN; RALA; 3.6.5.2; RALB_HUMAN; RALB; RALA_MOUSE;
抗体来源
Rabbit
免疫原
A synthesized peptide derived from human RALA: 120-206
亚型
IgG
性状
Liquid
纯化方法
affinity purified by Protein A
克隆类型
Recombinant
克隆号
1E16
理论分子量
24 kDa
储存液
0.01M TBS(pH7.4) with 1% BSA, 0.02% Proclin300 and 50% Glycerol.
SWISS
Gene ID
保存条件
Shipped at 4℃. Store at -20 °C for one year. Avoid repeated freeze/thaw cycles.
注意事项
This product as supplied is intended for research use only, not for use in human, therapeutic or diagnostic applications.
背景资料
Multifuntional GTPase involved in a variety of cellular processes including gene expression, cell migration, cell proliferation, oncogenic transformation and membrane trafficking. Accomplishes its multiple functions by interacting with distinct downstream effectors. Acts as a GTP sensor for GTP-dependent exocytosis of dense core vesicles. Plays a role in the early stages of cytokinesis and is required to tether the exocyst to the cytokinetic furrow. The RALA-exocyst complex regulates integrin-dependent membrane raft exocytosis and growth signaling. Key regulator of LPAR1 signaling and competes with ADRBK1 for binding to LPAR1 thus affecting the signaling properties of the receptor. Required for anchorage-independent proliferation of transformed cells.
Ras样蛋白A重组兔单抗Ras样蛋白A重组兔单抗Ras样蛋白A重组兔单抗Ras样蛋白A重组兔单抗Ras样蛋白A重组兔单抗Ras样蛋白A重组兔单抗Ras样蛋白A重组兔单抗

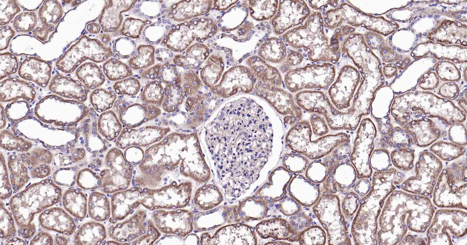
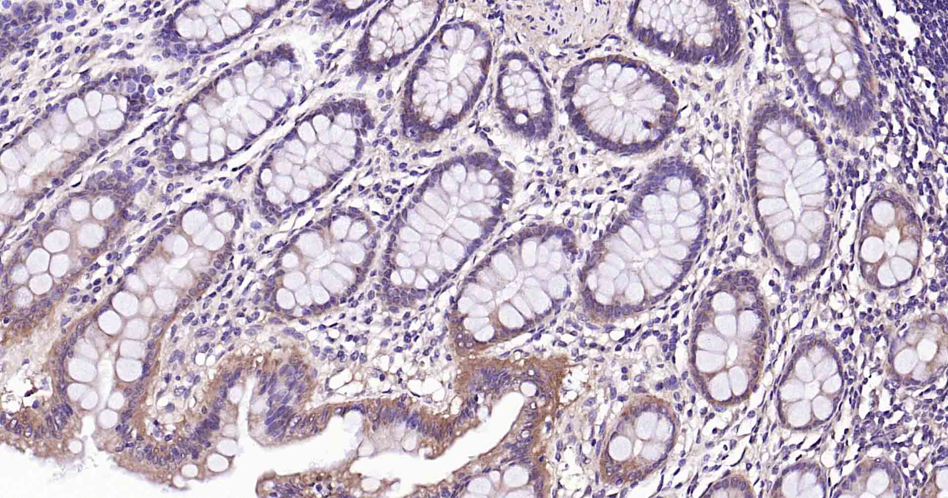
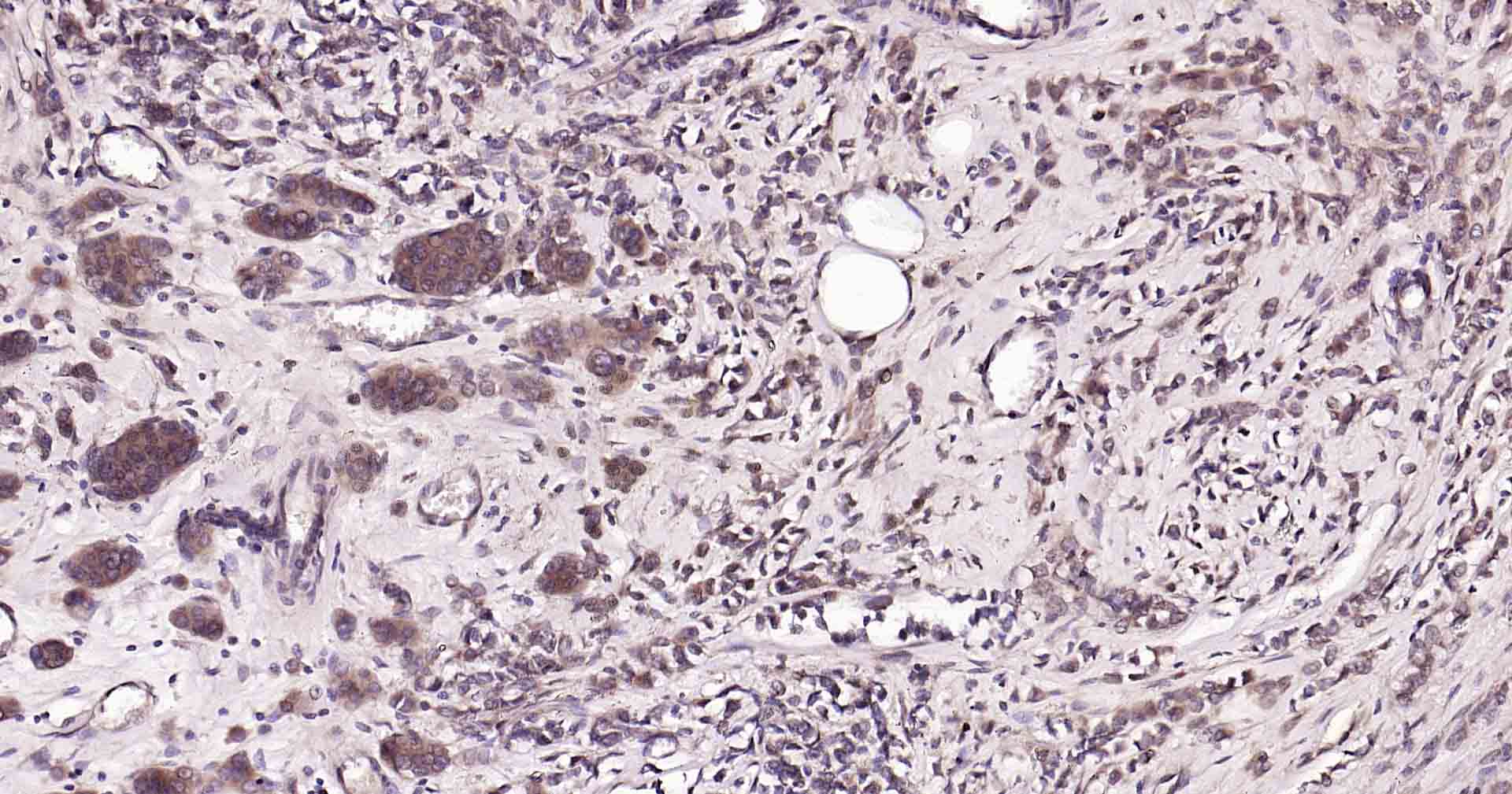
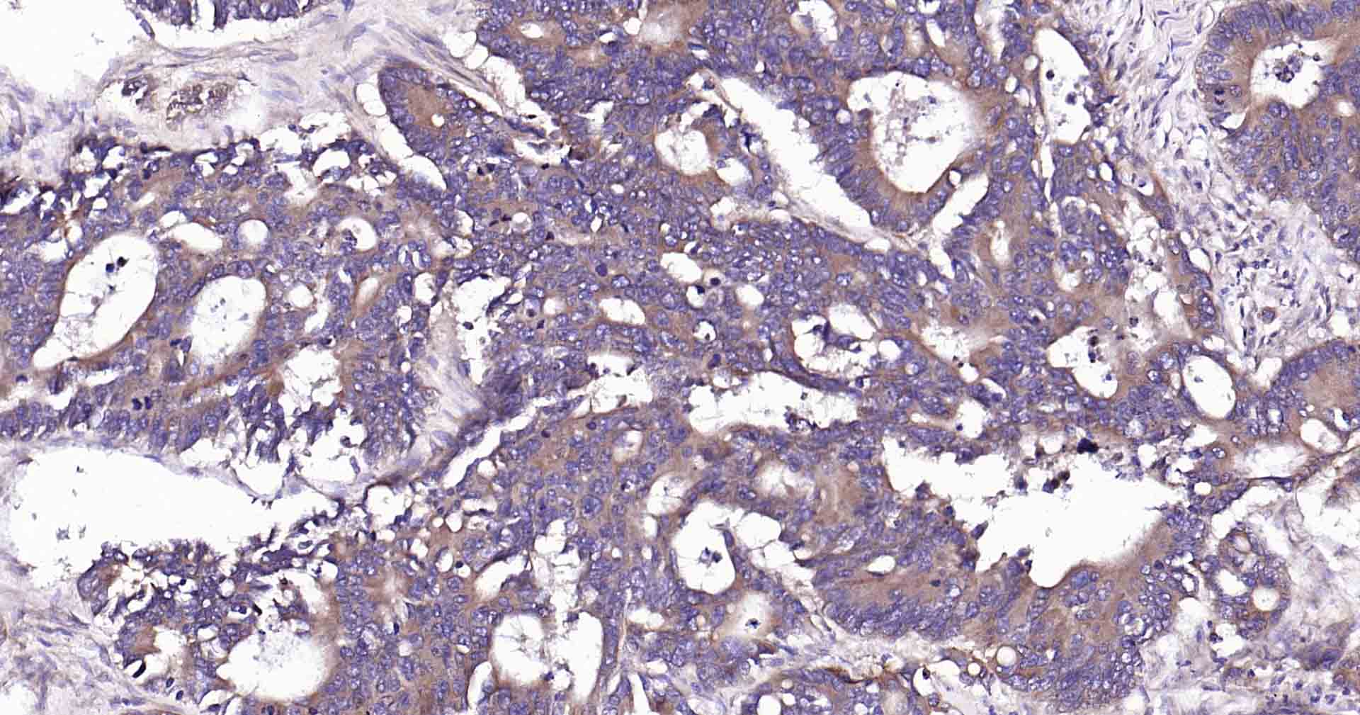
产品应用

应用已检合格种属预测种属推荐稀释比例
WBHuman1:500-2000
IHC-PHuman1:100-500
IHC-FHuman1:100-500
IFHuman1:100-500

交叉反应

交叉反应: Human

相关产品

暂无相关产品

靶标

基因名
RALA
蛋白名
Ras-related protein Ral-A
亚基
Interacts with RALBP1 via its effector domain. Interacts with EXOC8 and EXOC2. EXOC2 and EXOC8 have overlapping binding sites and compete for RALA binding. Interacts with Clostridium exoenzyme C3. Interacts with RALGPS1. Interacts with LPAR1 and LPAR2. Interacts with ADRBK1 in response to LPAR1 activation. RALA and ADRBK1 mutually inhibit each other's binding to LPAR1.
亚细胞定位
Cell surface. Cell membrane; Lipid-anchor; Cytoplasmic side. Cleavage furrow. Midbody. Note=Prior to LPA treatment found predominantly at the cell surface and in the presence of LPA co-localizes with LPAR1 and LPAR2 in the endocytic vesicles. During early cytokinesis localizes at the cleavage furrow membrane. Colocalizes with EXOC2 at the early midbody ring and persists there till maturation of the midbody
翻译后修饰
Prenylation is essential for membrane localization. The geranylgeranylated form and the farnesylated mutant does not undergo alternative prenylation in response to geranylgeranyltransferase I inhibitors (GGTIs) and farnesyltransferase I inhibitors (FTIs).
相似性
Belongs to the small GTPase superfamily. Ras family.
功能
Multifunctional GTPase involved in a variety of cellular processes including gene expression, cell migration, cell proliferation, oncogenic transformation and membrane trafficking. Accomplishes its multiple functions by interacting with distinct downstream effectors. Acts as a GTP sensor for GTP-dependent exocytosis of dense core vesicles. Plays a role in the early stages of cytokinesis and is required to tether the exocyst to the cytokinetic furrow. The RALA-exocyst complex regulates integrin-dependent membrane raft exocytosis and growth signaling. Key regulator of LPAR1 signaling and competes with ADRBK1 for binding to LPAR1 thus affecting the signaling properties of the receptor. Required for anchorage-independent proliferation of transformed cells.

标记抗体

暂无标记数据

同靶标产品

暂无同靶标产品

相关文献

提示: 发表研究结果有使用 bsm-61044R 时请让我们知道,以便我们可以引用参考文章。作为回馈,资料提供者将获得我们送上的小礼品。

暂无相关文献

常见问题

暂无常见问题