ULK1 Recombinant Rabbit mAb (一抗) | Bioss

Rrmab?兔单抗
2026-03-02~2026-04-30,KXJ2603
ULK1 Recombinant Rabbit mAb (一抗) | Bioss
货号:bsm-61039R
产品详情
相关标记
相关产品
相关文献
常见问题

概述

产品编号
bsm-61039R
产品类型
重组兔单抗
英文名称
ULK1 Recombinant Rabbit mAb
中文名称
自噬相关蛋白1重组兔单抗
英文别名
ATG1; ATG1A; UNC51; Unc51.1; hATG1; mKIAA0722; ULK1_HUMAN; ULK1; Autophagy-related protein 1 homolog (ATG1 | hATG1); Unc-51-like kinase 1; 2.7.11.1; KIAA0722; ULK1_MOUSE; Serine/threonine-protein kinase Unc51.1;
抗体来源
Rabbit
免疫原
A synthesized peptide derived from human ULK1: 950-1050
亚型
IgG
性状
Liquid
纯化方法
affinity purified by Protein A
克隆类型
Recombinant
克隆号
6F4
理论分子量
116 kDa
检测分子量
138 kDa
储存液
0.01M TBS(pH7.4) with 1% BSA, 0.02% Proclin300 and 50% Glycerol.
SWISS
Gene ID
保存条件
Shipped at 4℃. Store at -20 °C for one year. Avoid repeated freeze/thaw cycles.
注意事项
This product as supplied is intended for research use only, not for use in human, therapeutic or diagnostic applications.
产品介绍
Atg1是一种丝氨酸/苏氨酸蛋白激酶。Atg1的激脢活性是CVT信号传导通路以及細胞自噬所必須的。Atg1可以和一些执行细胞自噬的蛋白相互作用,而且有很多调控細胞自噬的信号传导通路汇集在Atg1。因此Atg1可能是一个可以调控細胞自噬很多步驟的一个调节关键点。但在较高等的真核生物中,Atg1的角色仍然不是很清楚。通过目前的研究已经比较了解细胞自噬可以导致细胞的死亡,但是如何导致死亡的分子机制还不清楚,有待于进一步研究。
背景资料
ULK1 belongs to the serine/threonine protein kinase family. It is involved in axon growth and plays an essential role in neurite branching during sensory axon outgrowth. Knockdown of ULK1 results in impaired endocytosis of nerve growth factor (NGF), excessive axon arborization, and severely stunted axon elongation indicating that ULK1 mediates a non clathrin coated endocytosis in sensory growth cones. Knockdown of ULK1 also inhibits the autophagic response. It appears to act as a convergence point for multiple signals that regulate autophagy, and in turn interacts with a large number of autophagy related (Atg) proteins.
自噬相关蛋白1重组兔单抗-bsm-61039R自噬相关蛋白1重组兔单抗-bsm-61039R自噬相关蛋白1重组兔单抗-bsm-61039R自噬相关蛋白1重组兔单抗-bsm-61039R自噬相关蛋白1重组兔单抗-bsm-61039R自噬相关蛋白1重组兔单抗-bsm-61039R自噬相关蛋白1重组兔单抗-bsm-61039R自噬相关蛋白1重组兔单抗-bsm-61039R自噬相关蛋白1重组兔单抗-bsm-61039R自噬相关蛋白1重组兔单抗-bsm-61039R自噬相关蛋白1重组兔单抗-bsm-61039R自噬相关蛋白1重组兔单抗-bsm-61039R

产品应用

应用已检合格种属预测种属推荐稀释比例
WBHuman, Mouse, Rat1:500-2000
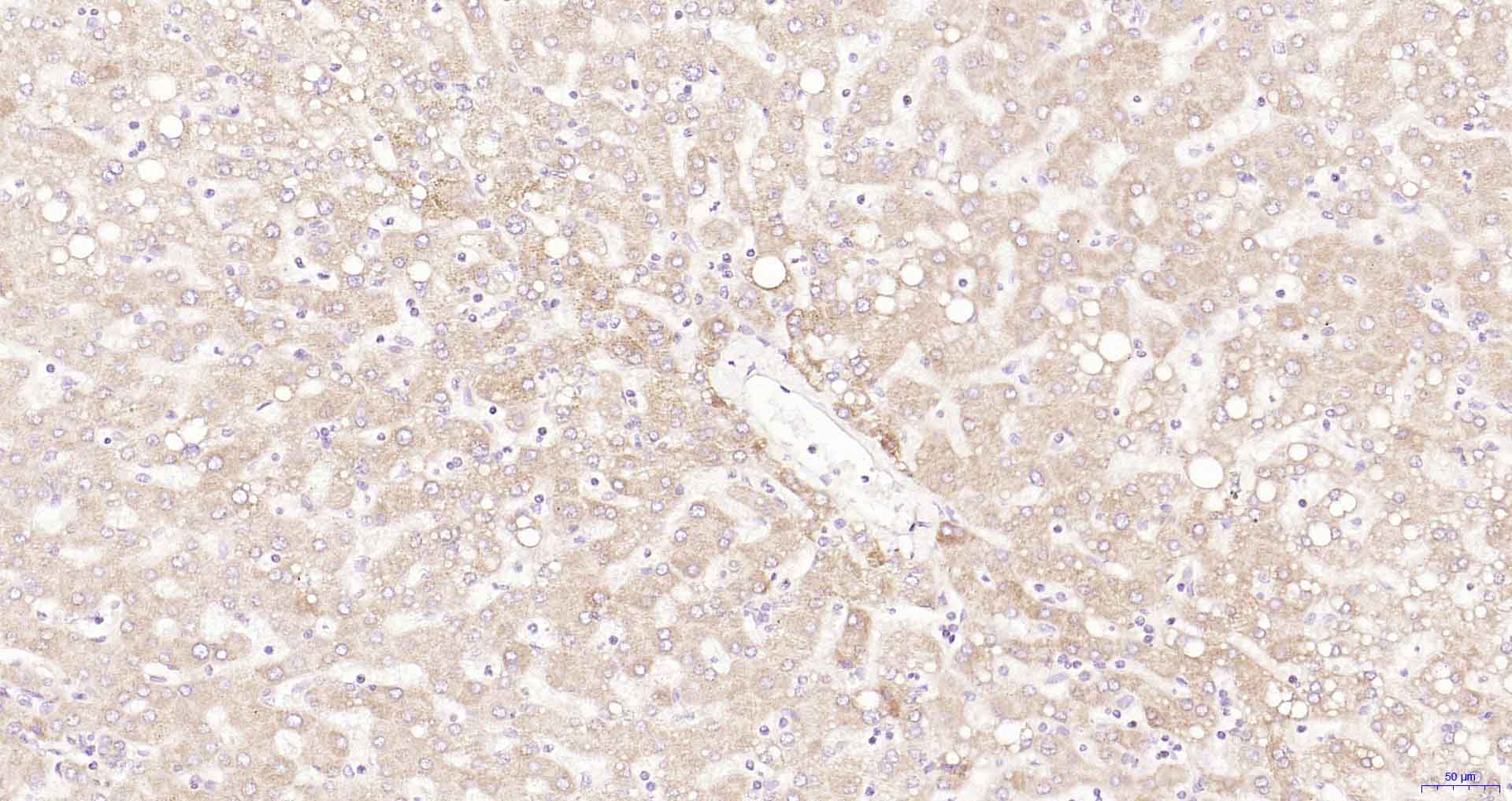
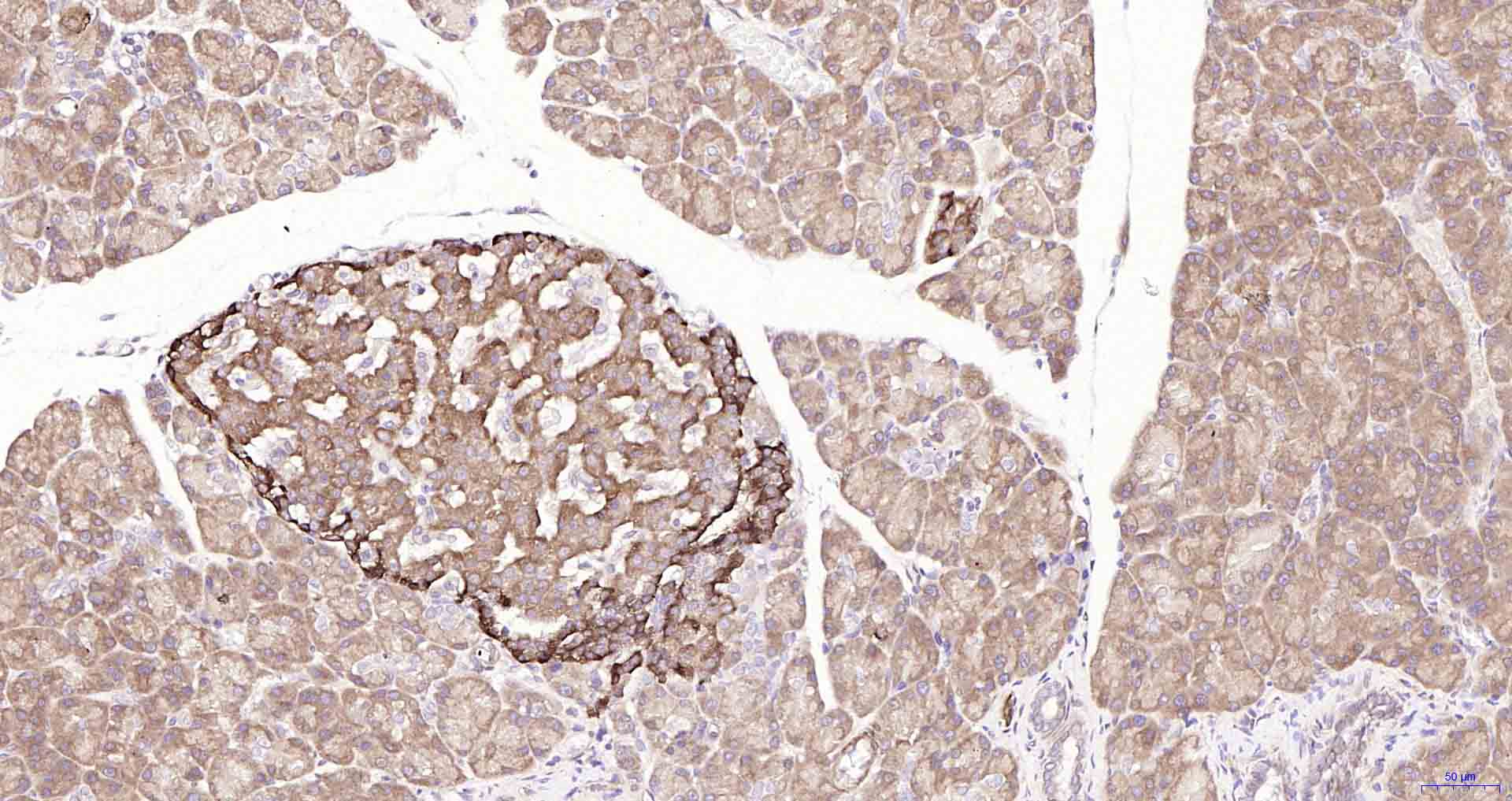
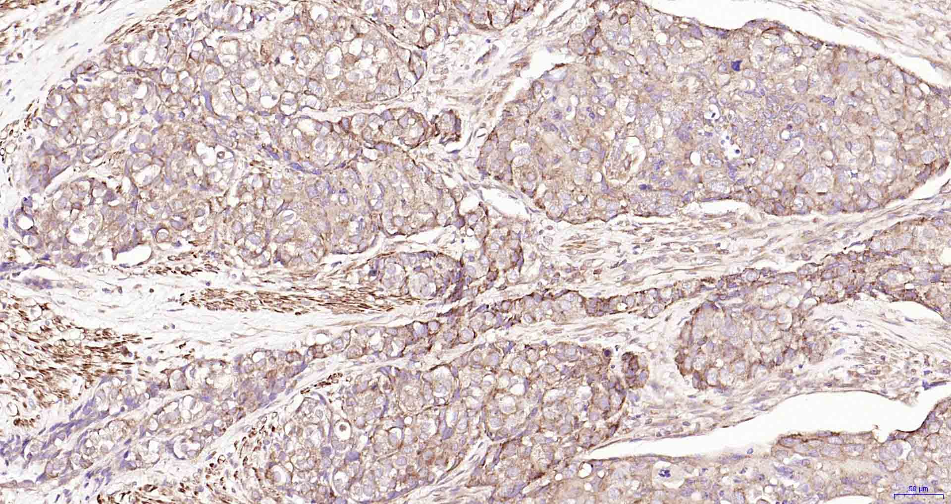
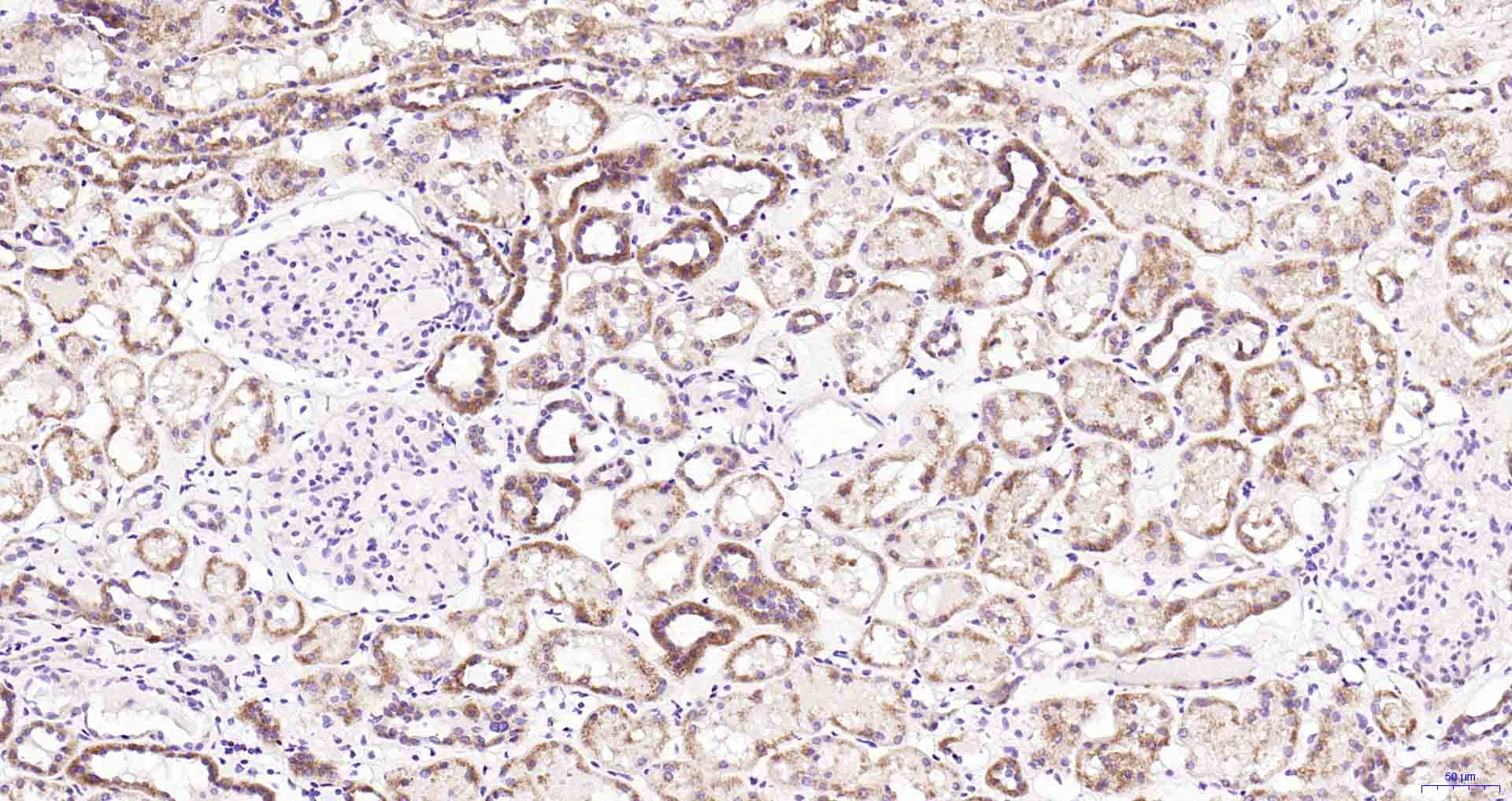
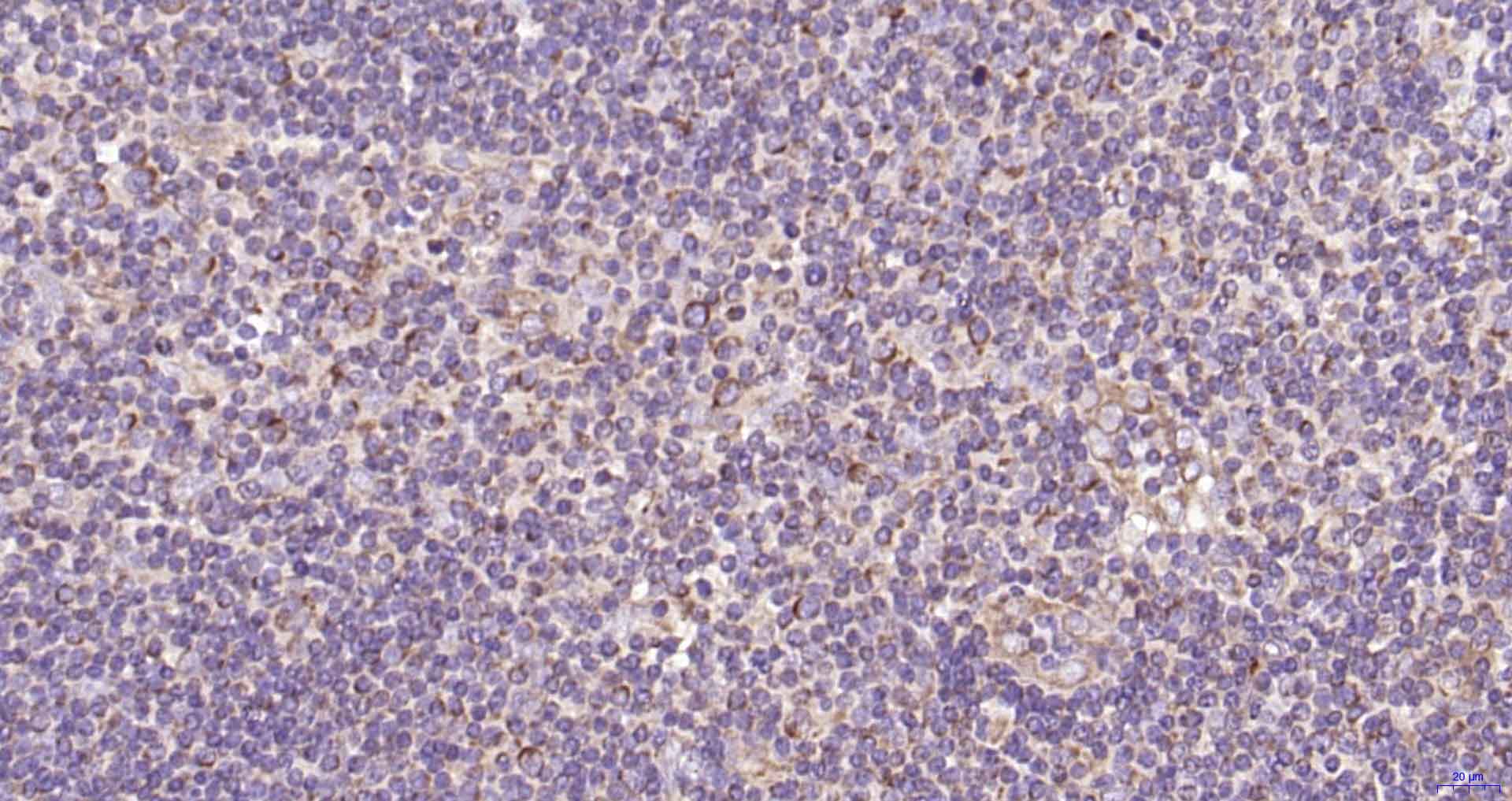
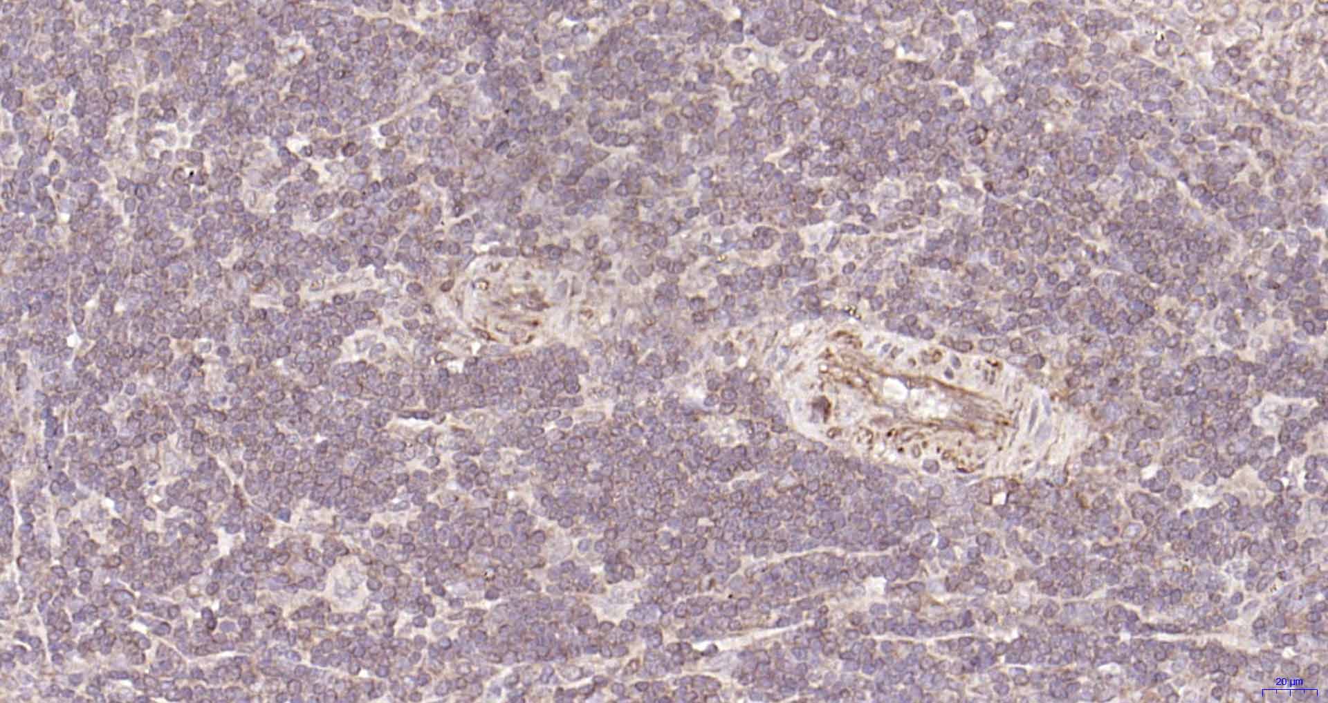
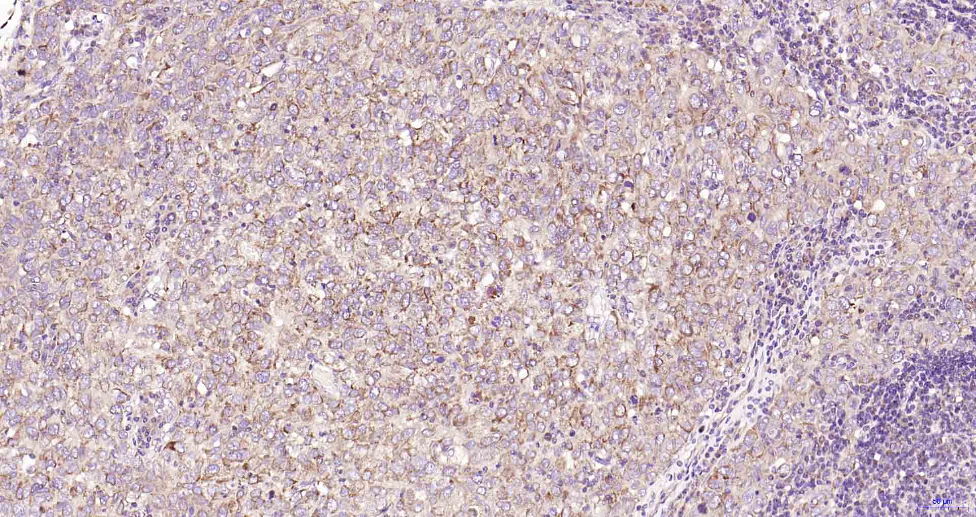
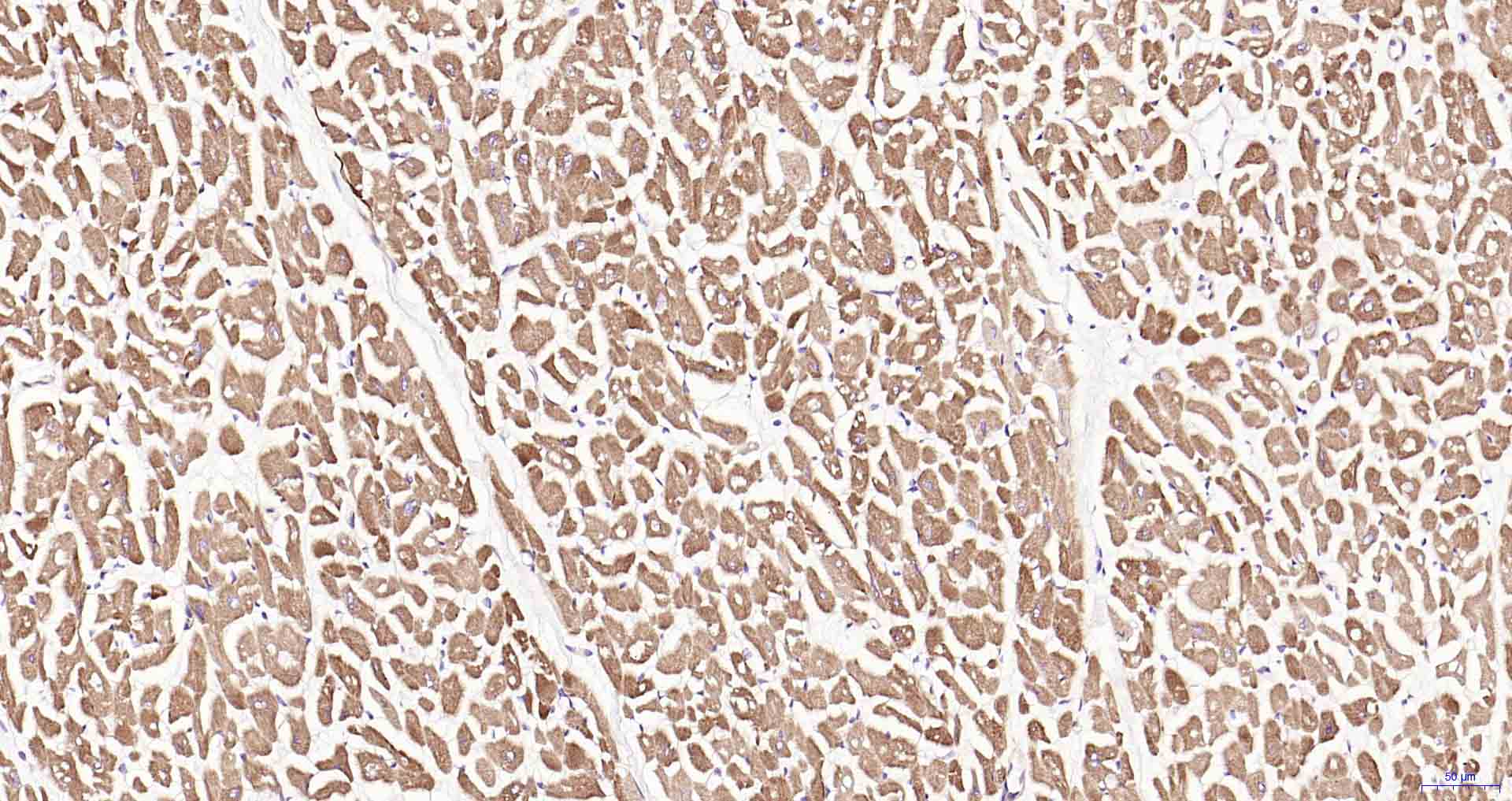
IHC-PHuman, Mouse, Rat1:100-500
IHC-FHuman, Mouse, Rat1:100-500
IFHuman, Mouse, Rat1:100-500

交叉反应

交叉反应: Human, Mouse, Rat

相关产品

暂无相关产品

靶标

基因名
ULK1
蛋白名
Serine/threonine-protein kinase ULK1
亚基
Interacts with GABARAP and GABARAPL2. Interacts (via C-terminus) with ATG13/KIAA0652. Part of a complex consisting of ATG13/KIAA0652, ULK1 and RB1CC1. Associates with the mammalian target of rapamycin complex 1 (mTORC1) through an interaction with RPTOR; the association depends on nutrient conditions and is reduced during starvation.
亚细胞定位
Cytoplasm, cytosol. Preautophagosomal structure. Note=Under starvation conditions, is localized to puncate structures primarily representing the isolation membrane that sequesters a portion of the cytoplasm resulting in the formation of an autophagosome.
组织特异性
Ubiquitously expressed. Detected in the following adult tissues: skeletal muscle, heart, pancreas, brain, placenta, liver, kidney, and lung.
翻译后修饰
Autophosphorylated. Phosphorylated under nutrient-rich conditions; dephosphorylated during starvation or following treatment with rapamycin. Under nutrient sufficiency phosphorylated by MTOR/mTOR, disrupting the interaction with AMPK and preventing activation of ULK1 (By similarity). In response to nutrient limitation, phosphorylated and activated by AMPK, leading to activate autophagy.
相似性
Belongs to the protein kinase superfamily. Ser/Thr protein kinase family. APG1/unc-51/ULK1 subfamily.
Contains 1 protein kinase domain.
功能
Serine/threonine-protein kinase involved in autophagy in response to starvation. Acts upstream of phosphatidylinositol 3-kinase PIK3C3 to regulate the formation of autophagophores, the precursors of autophagosomes. Part of regulatory feedback loops in autophagy: acts both as a downstream effector and negative regulator of mammalian target of rapamycin complex 1 (mTORC1) via interaction with RPTOR. Activated via phosphorylation by AMPK and also acts as a regulator of AMPK by mediating phosphorylation of AMPK subunits PRKAA1, PRKAB2 and PRKAG1, leading to negatively regulate AMPK activity. May phosphorylate ATG13/KIAA0652 and RPTOR; however such data need additional evidences. Plays a role early in neuronal differentiation and is required for granule cell axon formation.

同靶标产品

相关文献

提示: 发表研究结果有使用 bsm-61039R 时请让我们知道,以便我们可以引用参考文章。作为回馈,资料提供者将获得我们送上的小礼品。

常见问题