PDGF Receptor beta Recombinant Rabbit mAb (一抗) - WB,IHC-P,IHC-F,IF | Bioss

Rrmab?兔单抗
2026-03-02~2026-04-30,KXJ26032026-03-02~2026-04-30,促销赠品
PDGF Receptor beta Recombinant Rabbit mAb (一抗) - WB,IHC-P,IHC-F,IF | Bioss
货号:bsm-61037R
产品详情
相关标记
相关产品
相关文献
常见问题

概述

产品编号
bsm-61037R
产品类型
重组兔单抗
英文名称
PDGF Receptor beta Recombinant Rabbit mAb
中文名称
血小板源性生长因子受体B/PDGFRβ重组兔单抗
英文别名
CD140B; IBGC4; IMF1; JTK12; KOGS; OPDKD; PDGFR; PDGFR-1; PDGFR1; PENTT; PGFRB_HUMAN; PDGFRB; PDGF-R-beta; PDGFR-beta; Beta platelet-derived growth factor receptor; Beta-type platelet-derived growth factor receptor; CD140 antigen-like family member B; Platelet-derived growth factor receptor 1 (PDGFR-1); 2.7.10.1; PGFRB_MOUSE; PGFRB_RAT;
抗体来源
Rabbit
免疫原
A synthesized peptide derived from human PDGFR beta: 1051-1106
亚型
IgG
性状
Liquid
纯化方法
affinity purified by Protein A
克隆类型
Recombinant
克隆号
3A3
理论分子量
118 kDa
检测分子量
180 kDa
储存液
0.01M TBS(pH7.4) with 1% BSA, 0.02% Proclin300 and 50% Glycerol.
SWISS
Gene ID
保存条件
Shipped at 4℃. Store at -20 °C for one year. Avoid repeated freeze/thaw cycles.
注意事项
This product as supplied is intended for research use only, not for use in human, therapeutic or diagnostic applications.
背景资料
The PDGF Receptor Type A (Alpha platelet-derived growth factor receptor precursor, CD140a antigen), a 170kD protein, binds all three isoforms of PDGF with high affinity whereas the PDGF Receptor Type B, a 190kD protein, appears to bind only the PDGF BB homodimer with high affinity. Both receptors are transmembranous, ligand activated protein tyrosine kinases, which phosphorylate a number of important signal transduction proteins, which are bound with differential affinities via SH2 domains. The response of any given cell to PDGF will depend on the types of receptors displayed on the surface and isoforms of PDGF present in the extracellular environment.
血小板源性生长因子受体B/PDGFRβ重组兔单抗-bsm-61037R血小板源性生长因子受体B/PDGFRβ重组兔单抗-bsm-61037R血小板源性生长因子受体B/PDGFRβ重组兔单抗-bsm-61037R血小板源性生长因子受体B/PDGFRβ重组兔单抗-bsm-61037R血小板源性生长因子受体B/PDGFRβ重组兔单抗-bsm-61037R血小板源性生长因子受体B/PDGFRβ重组兔单抗-bsm-61037R

产品应用

应用已检合格种属预测种属推荐稀释比例
WBHuman, Mouse, Rat1:1000-5000
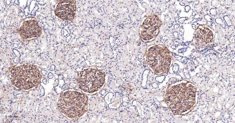
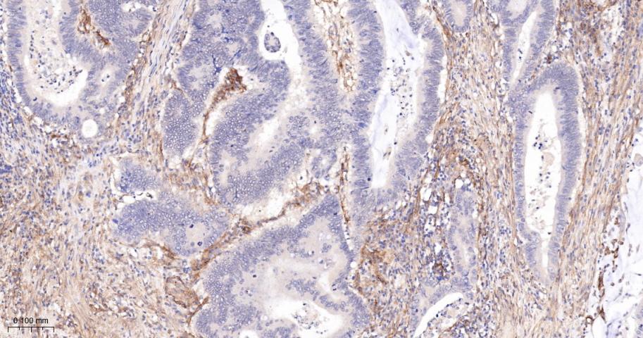
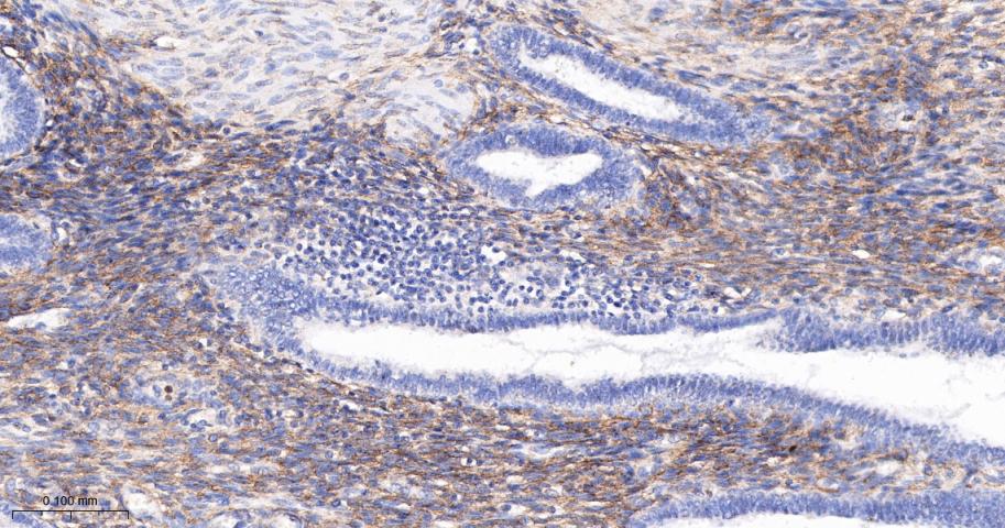
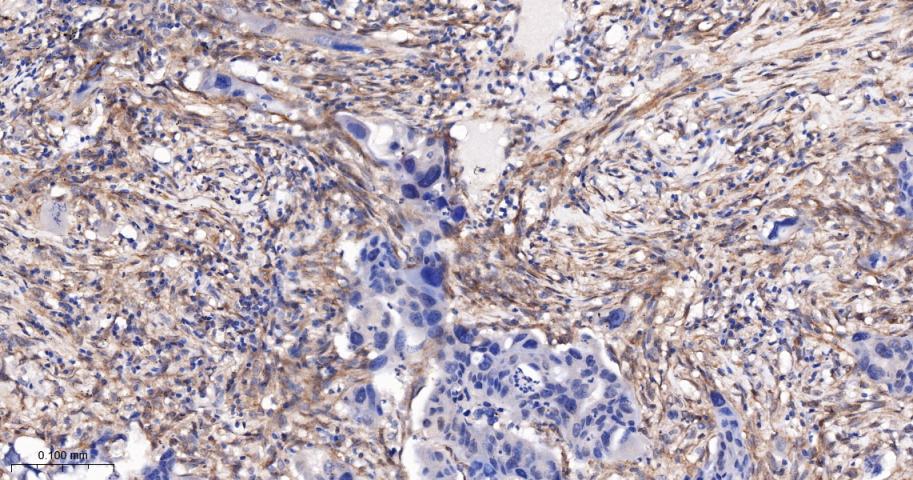
IHC-PHumanMouse, Rat1:200-800
IHC-FHumanMouse, Rat1:200-800
IFHumanMouse, Rat1:200-800

交叉反应

交叉反应: Human, Mouse, Rat

相关产品

暂无相关产品

靶标

基因名
PDGFRB
蛋白名
Platelet-derived growth factor receptor beta
亚基
Interacts with homodimeric PDGFB and PDGFD, and with heterodimers formed by PDGFA and PDGFB. May also interact with homodimeric PDGFC. Monomer in the absence of bound ligand. Interaction with homodimeric PDGFB, heterodimers formed by PDGFA and PDGFB or homodimeric PDGFD, leads to receptor dimerization, where both PDGFRA homodimers and heterodimers with PDGFRB are observed. Interacts with SH2B2/APS. Interacts directly (tyrosine phosphorylated) with SHB. Interacts (tyrosine phosphorylated) with PIK3R1. Interacts (tyrosine phosphorylated) with CBL. Interacts (tyrosine phosphorylated) with SRC and SRC family kinases. Interacts (tyrosine phosphorylated) with PIK3C2B, maybe indirectly. Interacts (tyrosine phosphorylated) with SHC1, GRB7, GRB10 and NCK1. Interaction with GRB2 is mediated by SHC1. Interacts (via C-terminus) with SLC9A3R1.
亚细胞定位
Cell membrane; Single-pass type I membrane protein. Cytoplasmic vesicle. Lysosome lumen. Note=After ligand binding, the autophosphorylated receptor is ubiquitinated and internalized, leading to its degradation
翻译后修饰
Autophosphorylated on tyrosine residues upon ligand binding. Autophosphorylation occurs in trans, i.e. one subunit of the dimeric receptor phosphorylates tyrosine residues on the other subunit. Phosphorylation at Tyr-579, and to a lesser degree, at Tyr-581, is important for interaction with SRC family kinases. Phosphorylation at Tyr-740 and Tyr-751 is important for interaction with PIK3R1. Phosphorylation at Tyr-751 is important for interaction with NCK1. Phosphorylation at Tyr-771 and Tyr-857 is important for interaction with RASA1/GAP. Phosphorylation at Tyr-857 is important for efficient phosphorylation of PLCG1 and PTPN11, resulting in increased phosphorylation of AKT1, MAPK1/ERK2 and/or MAPK3/ERK1, PDCD6IP/ALIX and STAM, and in increased cell proliferation. Phosphorylation at Tyr-1009 is important for interaction with PTPN11. Phosphorylation at Tyr-1009 and Tyr-1021 is important for interaction with PLCG1. Phosphorylation at Tyr-1021 is important for interaction with CBL; PLCG1 and CBL compete for the same binding site. Dephosphorylated by PTPRJ at Tyr-751, Tyr-857, Tyr-1009 and Tyr-1021.
N-glycosylated.
Ubiquitinated. After autophosphorylation, the receptor is polyubiquitinated, leading to its degradation.
疾病
Note=A chromosomal aberration involving PDGFRB is found in a form of chronic myelomonocytic leukemia (CMML). Translocation t(5;12)(q33;p13) with EVT6/TEL. It is characterized by abnormal clonal myeloid proliferation and by progression to acute myelogenous leukemia (AML).
Note=A chromosomal aberration involving PDGFRB may be a cause of acute myelogenous leukemia. Translocation t(5;14)(q33;q32) with TRIP11. The fusion protein may be involved in clonal evolution of leukemia and eosinophilia.
Note=A chromosomal aberration involving PDGFRB may be a cause of juvenile myelomonocytic leukemia. Translocation t(5;17)(q33;p11.2) with SPECC1.
Defects in PDGFRB are a cause of myeloproliferative disorder chronic with eosinophilia (MPE) [MIM:131440]. A hematologic disorder characterized by malignant eosinophils proliferation. Note=A chromosomal aberration involving PDGFRB is found in many instances of myeloproliferative disorder chronic with eosinophilia. Translocation t(5;12) with ETV6 on chromosome 12 creating an PDGFRB-ETV6 fusion protein. Translocation t(5;15)(q33;q22) with TP53BP1 creating a PDGFRB-TP53BP1 fusion protein.
Note=A chromosomal aberration involving PDGFRB may be the cause of a myeloproliferative disorder (MBD) associated with eosinophilia. Translocation t(1;5)(q23;q33) that forms a PDE4DIP-PDGFRB fusion protein.
Note=A chromosomal aberration involving PGFRB is found in a patient with T-lymphoblastic lymphoma (T-ALL) and an associated myeloproliferative neoplasm (MPN) with eosinophilia. Translocation t(5;6)(q33-34;q23) with CEP85L. The translocation fuses the 5'-end of CEP85L (isoform 4) to the 3'-end of PDGFRB.
相似性
Belongs to the protein kinase superfamily. Tyr protein kinase family. CSF-1/PDGF receptor subfamily.
Contains 5 Ig-like C2-type (immunoglobulin-like) domains.
Contains 1 protein kinase domain.
功能
Tyrosine-protein kinase that acts as cell-surface receptor for homodimeric PDGFB and PDGFD and for heterodimers formed by PDGFA and PDGFB, and plays an essential role in the regulation of embryonic development, cell proliferation, survival, differentiation, chemotaxis and migration. Plays an essential role in blood vessel development by promoting proliferation, migration and recruitment of pericytes and smooth muscle cells to endothelial cells. Plays a role in the migration of vascular smooth muscle cells and the formation of neointima at vascular injury sites. Required for normal development of the cardiovascular system. Required for normal recruitment of pericytes (mesangial cells) in the kidney glomerulus, and for normal formation of a branched network of capillaries in kidney glomeruli. Promotes rearrangement of the actin cytoskeleton and the formation of membrane ruffles. Binding of its cognate ligands - homodimeric PDGFB, heterodimers formed by PDGFA and PDGFB or homodimeric PDGFD -leads to the activation of several signaling cascades; the response depends on the nature of the bound ligand and is modulated by the formation of heterodimers between PDGFRA and PDGFRB. Phosphorylates PLCG1, PIK3R1, PTPN11, RASA1/GAP, CBL, SHC1 and NCK1. Activation of PLCG1 leads to the production of the cellular signaling molecules diacylglycerol and inositol 1,4,5-trisphosphate, mobilization of cytosolic Ca(2+) and the activation of protein kinase C. Phosphorylation of PIK3R1, the regulatory subunit of phosphatidylinositol 3-kinase, leads to the activation of the AKT1 signaling pathway. Phosphorylation of SHC1, or of the C-terminus of PTPN11, creates a binding site for GRB2, resulting in the activation of HRAS, RAF1 and down-stream MAP kinases, including MAPK1/ERK2 and/or MAPK3/ERK1. Promotes phosphorylation and activation of SRC family kinases. Promotes phosphorylation of PDCD6IP/ALIX and STAM. Receptor signaling is down-regulated by protein phosphatases that dephosphorylate the receptor and its down-stream effectors, and by rapid internalization of the activated receptor.

同靶标产品

相关文献

提示: 发表研究结果有使用 bsm-61037R 时请让我们知道,以便我们可以引用参考文章。作为回馈,资料提供者将获得我们送上的小礼品。

常见问题