6型胶原重组兔单抗

Rrmab?兔单抗
2026-03-02~2026-04-30,KXJ26032026-03-02~2026-04-30,促销赠品
6型胶原重组兔单抗
货号:bsm-61026R
产品详情
相关标记
相关产品
相关文献
常见问题

概述

产品编号
bsm-61026R
产品类型
重组兔单抗、mIHC精品抗体
英文名称
Collagen VI Recombinant Rabbit mAb
中文名称
6型胶原重组兔单抗
英文别名
BTHLM1; BTHLM1A; OPLL; UCHMD1; UCHMD1A; BTHLM1B; PP3610; UCMD1; UCMD1B; BTHLM1C; DYT27; UCMD1C; Col6a-1; Col6a-2; Col6a-3; RGD1565398; CO6A1_HUMAN; COL6A1; CO6A2_HUMAN; COL6A2; CO6A3_HUMAN; COL6A3; CO6A2_MOUSE; CO6A1_MOUSE;
抗体来源
Rabbit
免疫原
A synthesized peptide derived from human Collagen VI: 15-250
亚型
IgG
性状
Liquid
纯化方法
affinity purified by Protein A
克隆类型
Recombinant
克隆号
4D10
理论分子量
106 kDa
储存液
0.01M TBS(pH7.4) with 1% BSA, 0.02% Proclin300 and 50% Glycerol.
SWISS
Gene ID
保存条件
Shipped at 4℃. Store at -20 °C for one year. Avoid repeated freeze/thaw cycles.
注意事项
This product as supplied is intended for research use only, not for use in human, therapeutic or diagnostic applications.
背景资料
The collagens are a superfamily of proteins that play a role in maintaining the integrity of various tissues. Collagens are extracellular matrix proteins and have a triple-helical domain as their common structural element. Collagen VI is a major structural component of microfibrils. The basic structural unit of collagen VI is a heterotrimer of the alpha1(VI), alpha2(VI), and alpha3(VI) chains. The alpha2(VI) and alpha3(VI) chains are encoded by the COL6A2 and COL6A3 genes, respectively. The protein encoded by this gene is the alpha 1 subunit of type VI collagen (alpha1(VI) chain). Mutations in the genes that code for the collagen VI subunits result in the autosomal dominant disorder, Bethlem myopathy. [provided by RefSeq, Jul 2008]
6型胶原重组兔单抗6型胶原重组兔单抗6型胶原重组兔单抗6型胶原重组兔单抗6型胶原重组兔单抗6型胶原重组兔单抗6型胶原重组兔单抗6型胶原重组兔单抗6型胶原重组兔单抗6型胶原重组兔单抗6型胶原重组兔单抗6型胶原重组兔单抗6型胶原重组兔单抗

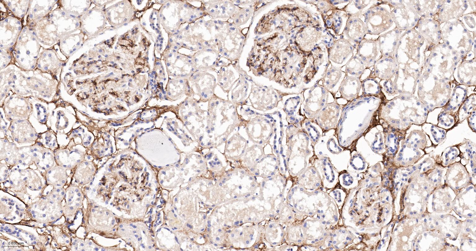
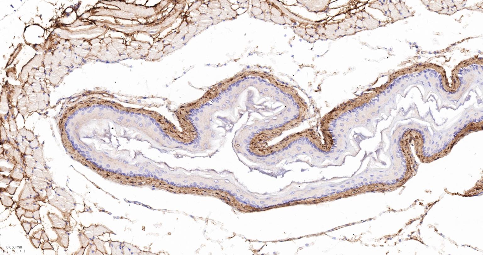
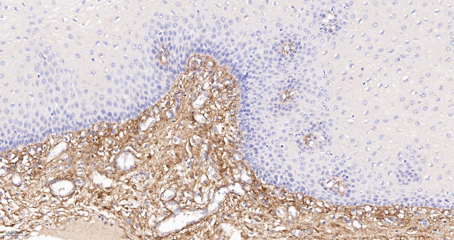
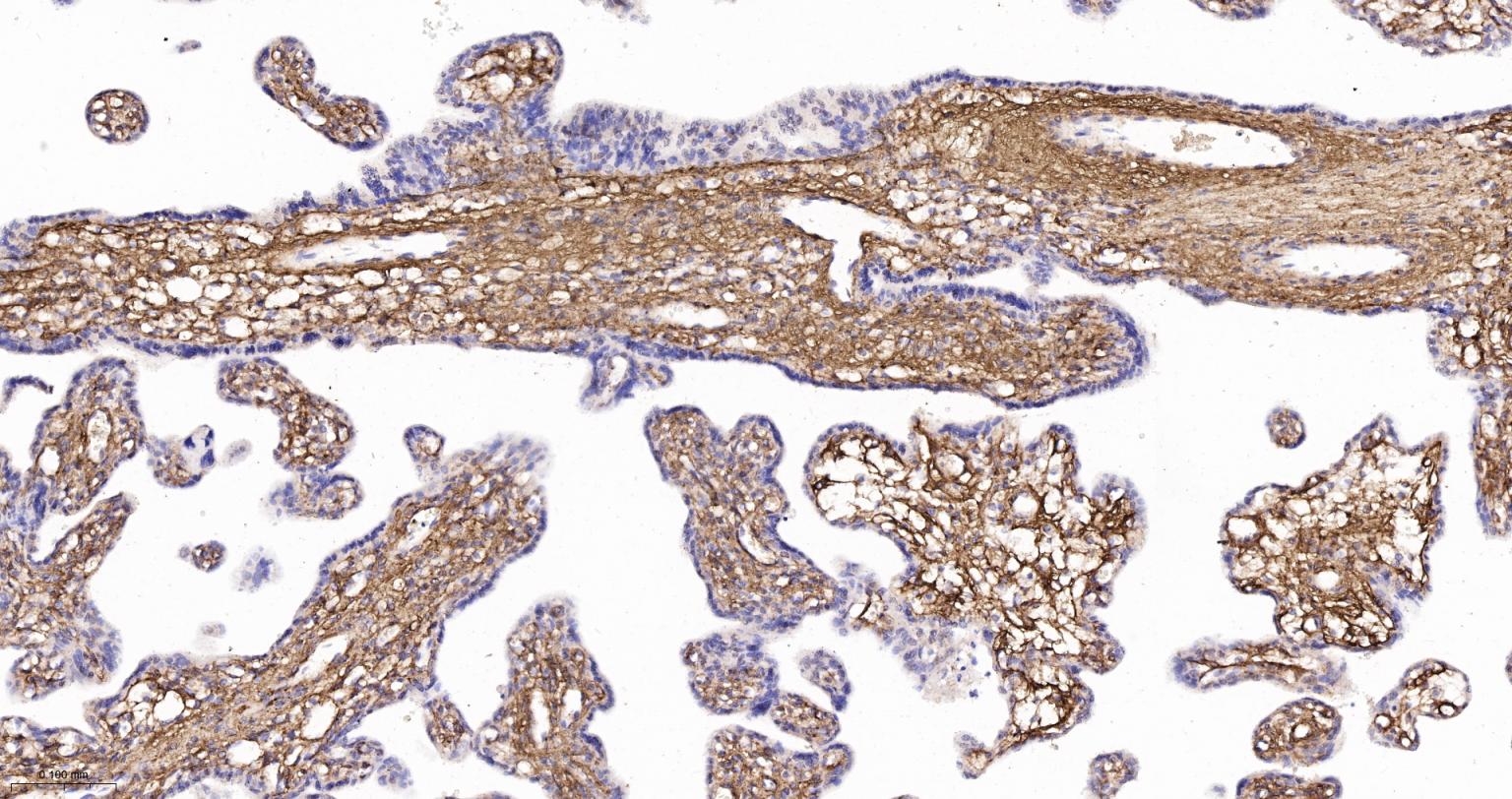
产品应用

应用已检合格种属预测种属推荐稀释比例
WBHuman, Mouse, Rat1:1000-5000
IHC-PHuman, Mouse, Rat1:200-800
IHC-FHuman, Mouse, Rat1:200-800
IFHuman, Mouse, Rat1:200-800

交叉反应

交叉反应: Human, Mouse, Rat

相关产品

暂无相关产品

靶标

基因名
COL6A1
蛋白名
Collagen alpha-1(VI) chain
亚基
Trimers composed of three different chains: alpha-1(VI), alpha-2(VI), and alpha-3(VI) or alpha-5(VI) or alpha-6(VI).
亚细胞定位
Secreted, extracellular space, extracellular matrix (By similarity).
组织特异性
Prolines at the third position of the tripeptide repeating unit (G-X-Y) are hydroxylated in some or all of the chains.
疾病
Bethlem myopathy (BM) [MIM:158810]: A benign autosomal dominant proximal myopathy characterized by early childhood onset and joint contractures most frequently affecting the elbows and ankles. Note=The disease is caused by mutations affecting the gene represented in this entry.
Ullrich congenital muscular dystrophy (UCMD) [MIM:254090]: UCMD is a congenital myopathy characterized by muscle weakness and multiple joint contractures, generally noted at birth or early infancy. The clinical course is more severe than in Bethlem myopathy. Note=The disease is caused by mutations affecting the gene represented in this entry.
相似性
Belongs to the type VI collagen family.
Contains 3 VWFA domains.
功能
Collagen VI acts as a cell-binding protein.

标记抗体

暂无标记数据

同靶标产品

暂无同靶标产品

相关文献

提示: 发表研究结果有使用 bsm-61026R 时请让我们知道,以便我们可以引用参考文章。作为回馈,资料提供者将获得我们送上的小礼品。

暂无相关文献

常见问题

暂无常见问题