GABARAP Recombinant Rabbit mAb (一抗) - WB,IHC-P,IHC-F,IF | Bioss

KO/KD Validated Rrmab?兔单抗
2026-05-01~2026-06-30,AB26052026-05-01~2026-06-30,WB精选(促销赠品)
GABARAP Recombinant Rabbit mAb (一抗) - WB,IHC-P,IHC-F,IF | Bioss
货号:bsm-61023R
产品详情
相关标记
相关产品
相关文献
常见问题

概述

产品编号
bsm-61023R
产品类型
重组兔单抗、KO/KD Validated
英文名称
GABARAP Recombinant Rabbit mAb
中文名称
γ-氨基丁酸受体相关蛋白重组兔单抗
英文别名
ATG8A; GABARAP-a; MM46; GBRAP_HUMAN; GABARAP; GABA(A) receptor-associated protein; FLC3B; GBRAP_MOUSE; GBRAP_RAT;
抗体来源
Rabbit
免疫原
A synthesized peptide derived from human GABARAP: 10-64
亚型
IgG
性状
Liquid
纯化方法
affinity purified by Protein A
克隆类型
Recombinant
克隆号
13C1
理论分子量
14 kDa
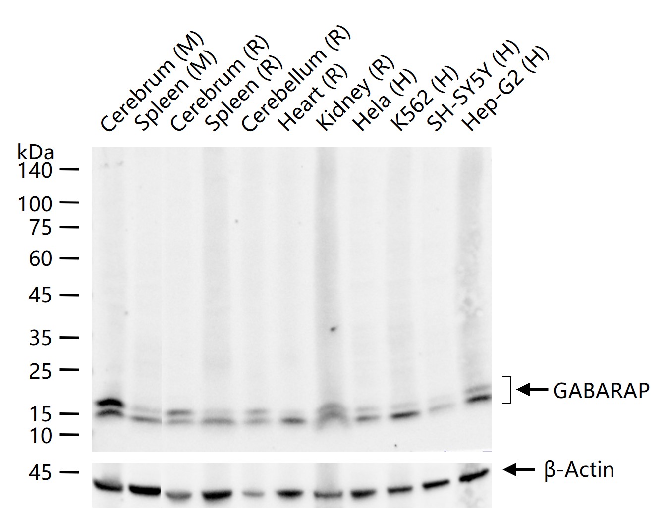
检测分子量
14,16 kDa
储存液
0.01M TBS(pH7.4) with 1% BSA, 0.02% Proclin300 and 50% Glycerol.
SWISS
Gene ID
保存条件
Shipped at 4℃. Store at -20 °C for one year. Avoid repeated freeze/thaw cycles.
注意事项
This product as supplied is intended for research use only, not for use in human, therapeutic or diagnostic applications.
背景资料
Gamma-aminobutyric acid A receptors [GABA(A) receptors] are ligand-gated chloride channels that mediate inhibitory neurotransmission. This gene encodes GABA(A) receptor-associated protein, which is highly positively charged in its N-terminus and shares sequence similarity with light chain-3 of microtubule-associated proteins 1A and 1B. This protein clusters neurotransmitter receptors by mediating interaction with the cytoskeleton. [provided by RefSeq, Jul 2008]
γ-氨基丁酸受体相关蛋白重组兔单抗-bsm-61023Rγ-氨基丁酸受体相关蛋白重组兔单抗-bsm-61023Rγ-氨基丁酸受体相关蛋白重组兔单抗-bsm-61023Rγ-氨基丁酸受体相关蛋白重组兔单抗-bsm-61023Rγ-氨基丁酸受体相关蛋白重组兔单抗-bsm-61023Rγ-氨基丁酸受体相关蛋白重组兔单抗-bsm-61023Rγ-氨基丁酸受体相关蛋白重组兔单抗-bsm-61023Rγ-氨基丁酸受体相关蛋白重组兔单抗-bsm-61023Rγ-氨基丁酸受体相关蛋白重组兔单抗-bsm-61023Rγ-氨基丁酸受体相关蛋白重组兔单抗-bsm-61023Rγ-氨基丁酸受体相关蛋白重组兔单抗-bsm-61023R

产品应用

应用已检合格种属预测种属推荐稀释比例
WBHuman, Mouse, Rat1:500-2000
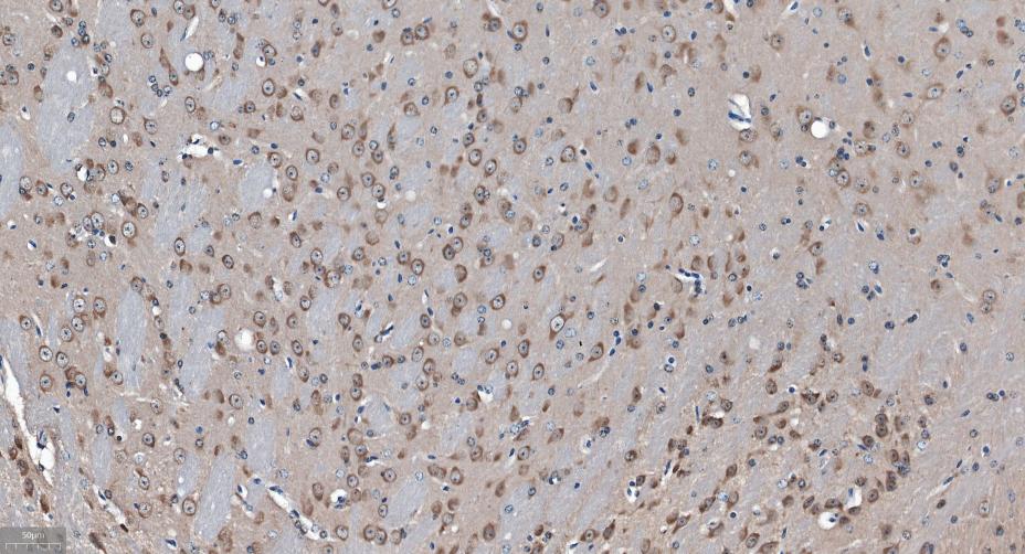
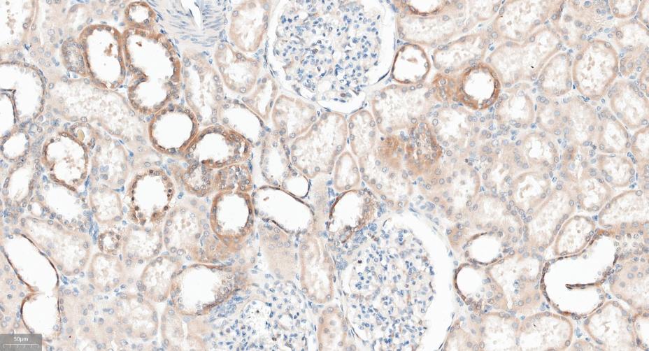
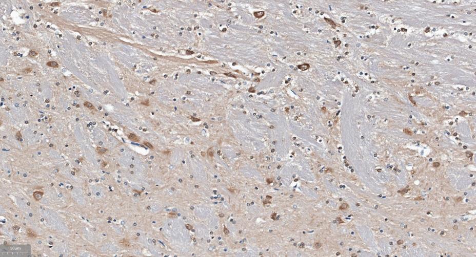
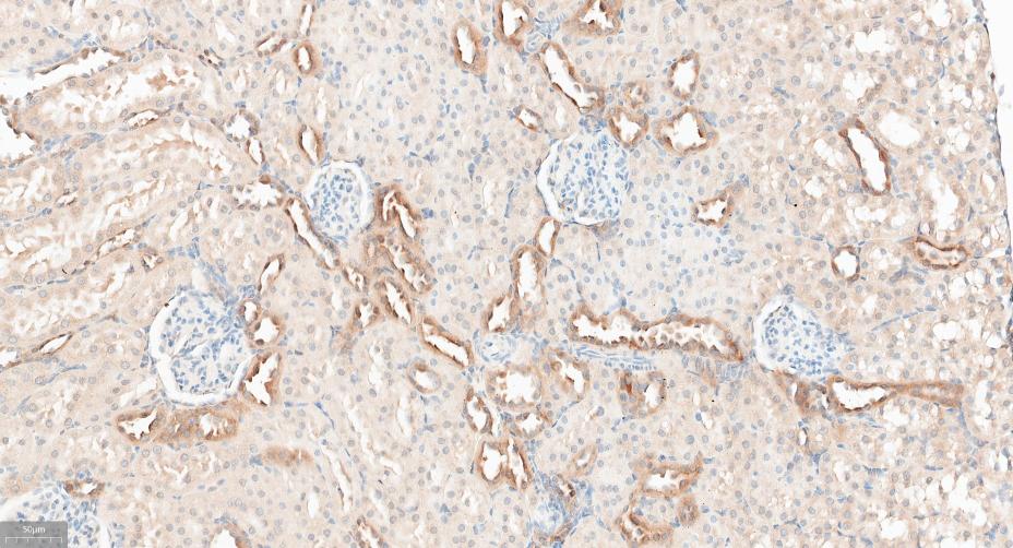
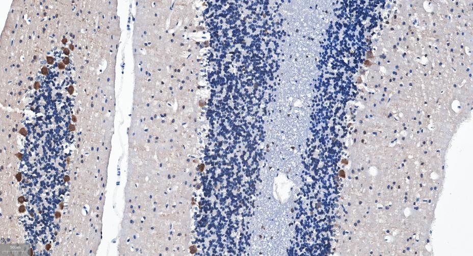
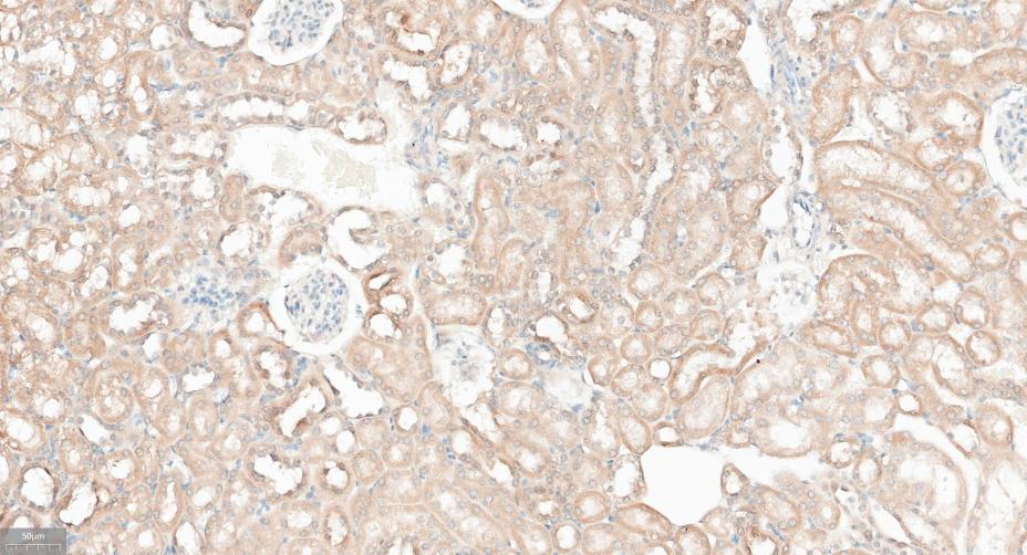
IHC-PHuman, Mouse, Rat1:100-500
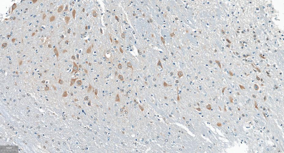
IHC-FHuman, Mouse, Rat1:100-500
IFHuman, Mouse, Rat1:100-500

交叉反应

交叉反应: Human, Mouse, Rat

相关产品

暂无相关产品

靶标

基因名
GABARAP
蛋白名
gamma-aminobutyric acid receptor-associated protein
亚基
Interacts with GPHN and NSF. Interacts with GABRG2, beta-tubulin and ULK1. Interacts with CALR. Interacts with DDX47. Interacts with TP53INP1 and TP53INP2. Interacts with TBC1D25.
亚细胞定位
Endomembrane system. Cytoplasm, cytoskeleton. Golgi apparatus membrane. Largely associated with intracellular membrane structures including the Golgi apparatus and post-synaptic cisternae. Colocalizes with microtubules.
组织特异性
Heart, brain, placenta, liver, skeletal muscle, kidney and pancreas.
相似性
Belongs to the MAP1 LC3 family.
功能
May play a role in intracellular transport of GABA(A) receptors and its interaction with the cytoskeleton.

同靶标产品

相关文献

提示: 发表研究结果有使用 bsm-61023R 时请让我们知道,以便我们可以引用参考文章。作为回馈,资料提供者将获得我们送上的小礼品。

常见问题