巨噬细胞克隆刺激因子重组兔单抗

Rrmab?兔单抗
2026-03-02~2026-04-30,KXJ26032026-03-02~2026-04-30,促销赠品
巨噬细胞克隆刺激因子重组兔单抗
货号:bsm-61014R
产品详情
相关标记
相关产品
相关文献
常见问题

概述

产品编号
bsm-61014R
产品类型
重组兔单抗
英文名称
MCSF Recombinant Rabbit mAb
中文名称
巨噬细胞克隆刺激因子重组兔单抗
英文别名
CSF-1; MCSF; PG-M-CSF; BAP025; Csfm; Mhdabap25; op; CSF1_HUMAN; CSF1; M-CSF; Lanimostim; Proteoglycan macrophage colony-stimulating factor (PG-M-CSF); CSF1_MOUSE; CSF1_RAT;
抗体来源
Rabbit
免疫原
A synthesized peptide derived from human CSF 1: 55-105/554
亚型
IgG
性状
Liquid
纯化方法
affinity purified by Protein A
克隆类型
Recombinant
克隆号
6D7
理论分子量
60 kDa
储存液
0.01M TBS(pH7.4) with 1% BSA, 0.02% Proclin300 and 50% Glycerol.
SWISS
Gene ID
保存条件
Shipped at 4℃. Store at -20 °C for one year. Avoid repeated freeze/thaw cycles.
注意事项
This product as supplied is intended for research use only, not for use in human, therapeutic or diagnostic applications.
产品介绍
M-CSF是促使造血细胞分化成粒细胞与巨噬细胞克隆的重要细胞因子,对正常血细胞的形成与造血细胞 的存活、分化、正常造血功能 的维持具有重要作用,直接与间接增加lak细胞的活性,在人体 的细胞因子网络中占有重要 的地位,目前广泛应用于化.放疗 的辅助治疗中。
目前研究主要应用在免疫缺陷性疾病及病毒性疾病:慢性肝病,尤其是与病毒相关的疾病,因其发病过程涉及免疫细胞与造血系统,有可能成为gm-csf(粒细胞-巨噬细胞克隆刺激因子)应用的新领域。人和小鼠天然M-CSF为糖蛋白,由二硫键连接的同源双体,分子量40~90kDa。人和小鼠M-CSF分子这个区域结构高度保守,其同源性达80%。
背景资料
The protein encoded by this gene is a cytokine that controls the production, differentiation, and function of macrophages. The active form of the protein is found extracellularly as a disulfide-linked homodimer, and is thought to be produced by proteolytic cleavage of membrane-bound precursors. The encoded protein may be involved in development of the placenta. Alternate splicing results in multiple transcript variants. [provided by RefSeq, Sep 2011]
巨噬细胞克隆刺激因子重组兔单抗巨噬细胞克隆刺激因子重组兔单抗巨噬细胞克隆刺激因子重组兔单抗巨噬细胞克隆刺激因子重组兔单抗巨噬细胞克隆刺激因子重组兔单抗

产品应用

应用已检合格种属预测种属推荐稀释比例
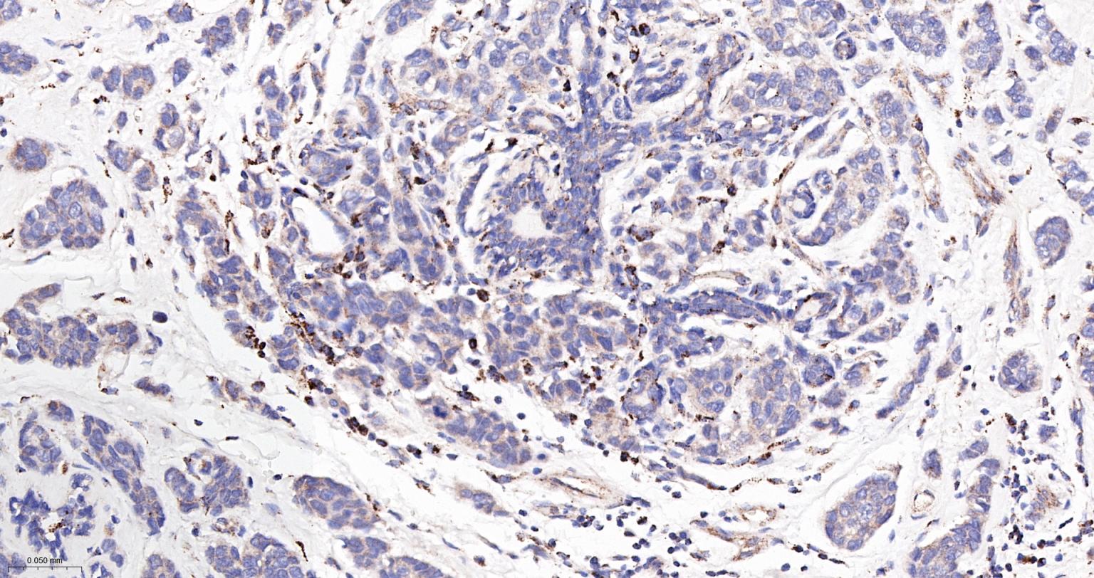
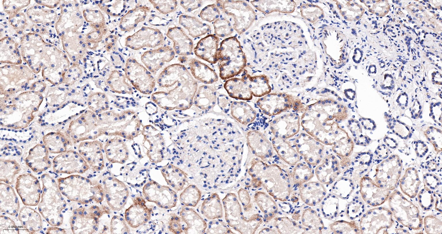
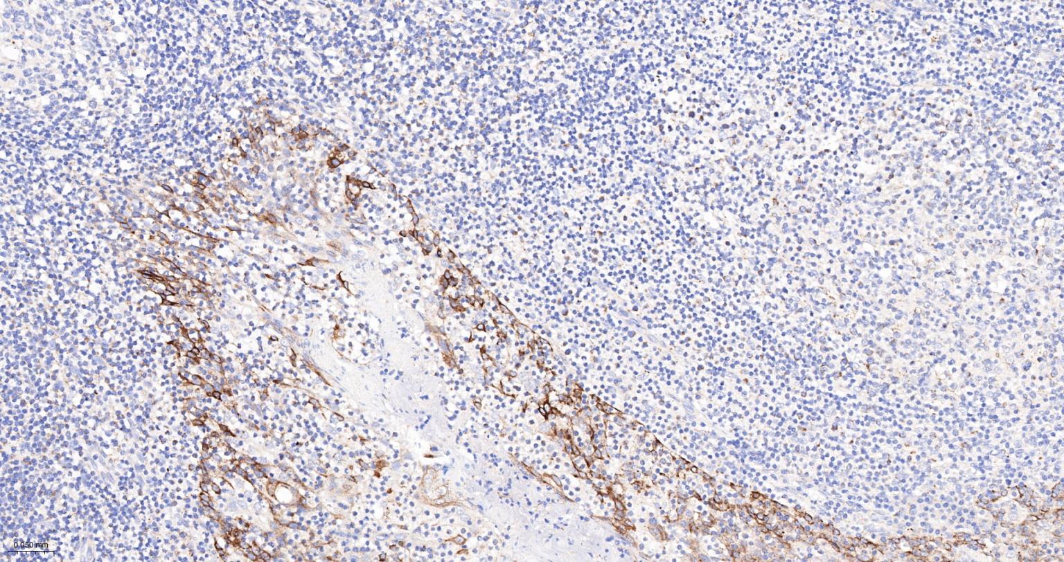
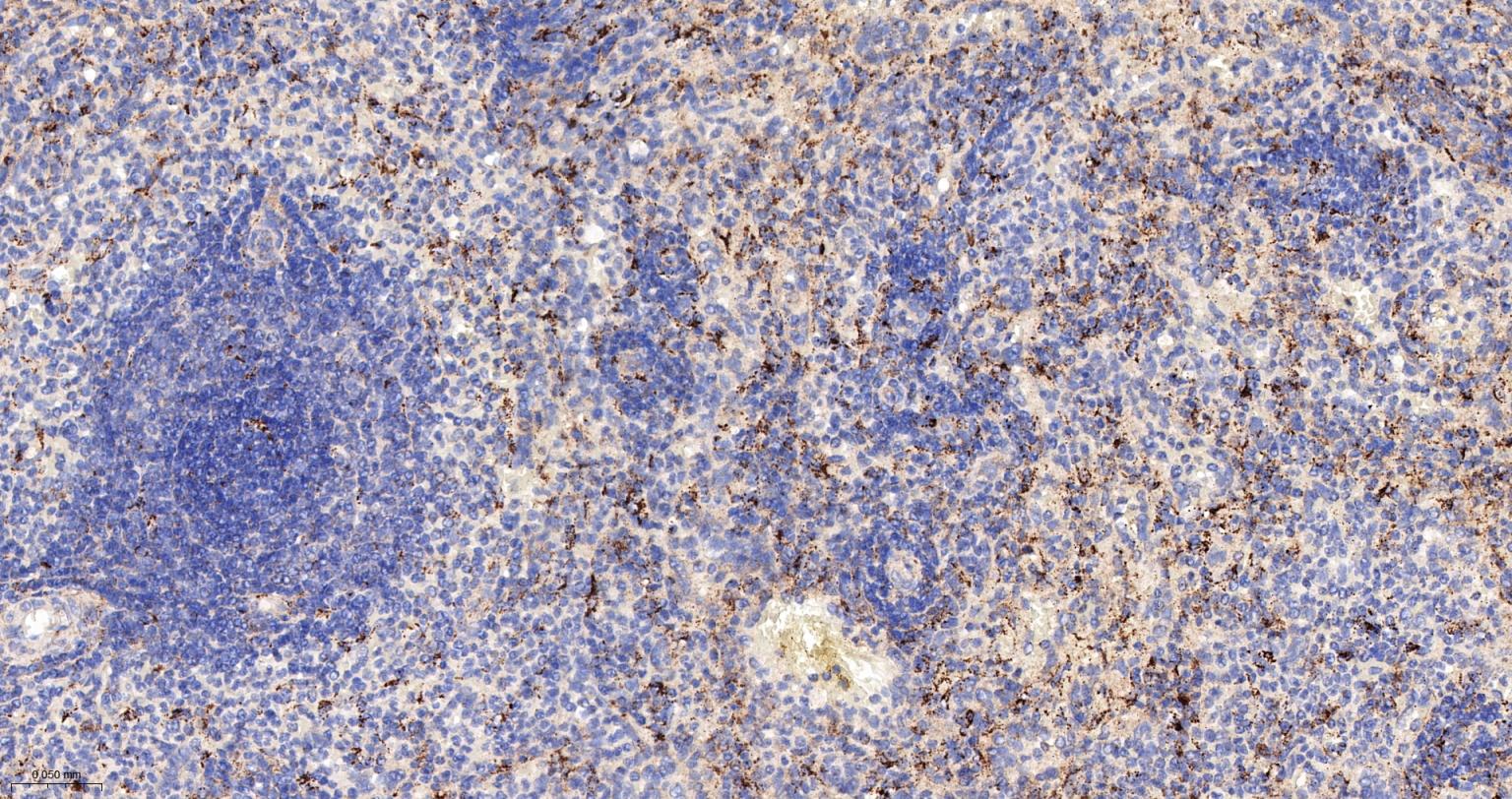
IHC-PHuman1:200-800
IHC-FHuman1:200-800
IFHuman1:200-800

交叉反应

交叉反应: Human

相关产品

暂无相关产品

靶标

基因名
CSF1
蛋白名
Macrophage colony-stimulating factor 1
亚基
Homodimer or heterodimer; disulfide-linked. Interacts with CSF1R.
亚细胞定位
Cell membrane; Single-pass membrane protein. Processed macrophage colony-stimulating factor 1: Secreted, extracellular space.
翻译后修饰
N-glycosylated. The predominant soluble form is a chondroitin sulfate-containing proteoglycan.
疾病
Note=A defect in Csf1 is the cause of osteopetrosis. Osteopetrotic mice (op/op) are severely deficient in mature macrophages and osteoclasts, display failed tooth eruption, and have a restricted capacity for bone remodeling.
功能
Cytokine that plays an essential role in the regulation of survival, proliferation and differentiation of hematopoietic precursor cells, especially mononuclear phagocytes, such as macrophages and monocytes. Promotes the release of proinflammatory chemokines, and thereby plays an important role in innate immunity and in inflammatory processes. Plays an important role in the regulation of osteoclast proliferation and differentiation, the regulation of bone resorption, and is required for normal bone development. Required for normal male and female fertility. Promotes reorganization of the actin cytoskeleton, regulates formation of membrane ruffles, cell adhesion and cell migration. Plays a role in lipoprotein clearance.

标记抗体

暂无标记数据

同靶标产品

暂无同靶标产品

相关文献

提示: 发表研究结果有使用 bsm-61014R 时请让我们知道,以便我们可以引用参考文章。作为回馈,资料提供者将获得我们送上的小礼品。

暂无相关文献

常见问题

暂无常见问题