CHAT Recombinant Rabbit mAb (一抗) - WB,IHC-P,IHC-F,IF | Bioss

Rrmab?兔单抗
2026-05-01~2026-06-30,AB26052026-05-01~2026-06-30,WB精选(促销赠品)
CHAT Recombinant Rabbit mAb (一抗) - WB,IHC-P,IHC-F,IF | Bioss
货号:bsm-54807R
产品详情
相关标记
相关产品
相关文献
常见问题

概述

产品编号
bsm-54807R
产品类型
重组兔单抗
英文名称
CHAT Recombinant Rabbit mAb
中文名称
ChAT胆碱乙酰转移酶重组兔单抗
英文别名
CHOACTASE; CMS1A; CMS1A2; CMS6; B230380D24Rik; CLAT_HUMAN; CHAT; Choline acetylase; 2.3.1.6; CLAT_MOUSE; CLAT_RAT; choline O-acetyltransferase; choline acetyltransferase
抗体来源
Rabbit
免疫原
KLH conjugated synthetic peptide derived from mouse CHAT
亚型
IgG
性状
Liquid
纯化方法
affinity purified by Protein A
克隆类型
Recombinant
克隆号
3G9
理论分子量
82 kDa
检测分子量
70 kDa
浓度
1mg/ml
储存液
0.01M TBS(pH7.4) with 1% BSA, 0.02% Proclin300 and 50% Glycerol.
SWISS
Gene ID
保存条件
Shipped at 4℃. Store at -20 °C for one year. Avoid repeated freeze/thaw cycles.
注意事项
This product as supplied is intended for research use only, not for use in human, therapeutic or diagnostic applications.
产品介绍
胆碱乙酰转移酶(Choline Acetyltransferase,ChAT 又称为:choline O-Acetyltransferase ,CHOACTase;)是催化胆碱和乙酰辅酶A转变为乙酰和辅酶A的一种酶。ChAT有M,S,R三个亚型,此抗体与三个亚型都反应。
背景资料
This gene encodes an enzyme which catalyzes the biosynthesis of the neurotransmitter acetylcholine. This gene product is a characteristic feature of cholinergic neurons, and changes in these neurons may explain some of the symptoms of Alzheimer's disease. Polymorphisms in this gene have been associated with Alzheimer's disease and mild cognitive impairment. Mutations in this gene are associated with congenital myasthenic syndrome associated with episodic apnea. Multiple transcript variants encoding different isoforms have been found for this gene, and some of these variants have been shown to encode more than one isoform. [provided by RefSeq, May 2010].
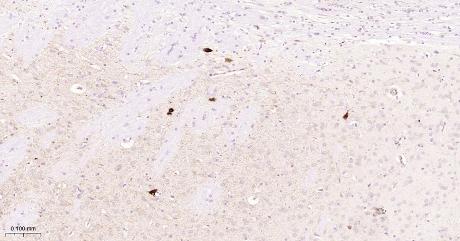
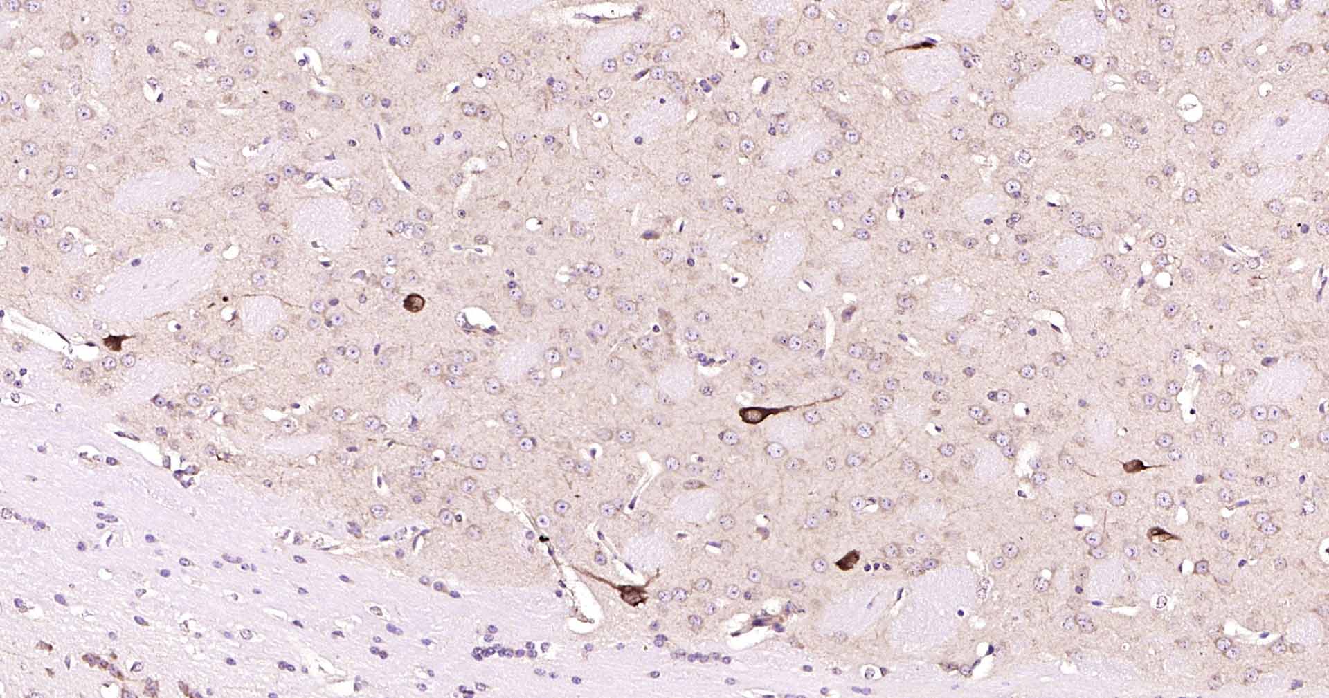
ChAT胆碱乙酰转移酶重组兔单抗-bsm-54807RChAT胆碱乙酰转移酶重组兔单抗-bsm-54807RChAT胆碱乙酰转移酶重组兔单抗-bsm-54807R

产品应用

应用已检合格种属预测种属推荐稀释比例
WBMouse, Rat1:1000-2000
IHC-PMouse, Rat1:200-1000
IHC-FMouse, Rat1:200-1000
IFMouse, Rat1:100-500

交叉反应

交叉反应: Mouse, Rat

相关产品

暂无相关产品

靶标

基因名
CHAT
蛋白名
Choline O-acetyltransferase
亚细胞定位
Cytosol; Nucleus
疾病
Defects in CHAT are the cause of congenital myasthenic syndrome with episodic apnea (CMSEA) [MIM:254210]; formerly known as familial infantile myasthenia gravis 2 (FIMG2). CMSEA is an autosomal recessive congenital myasthenic syndrome. Patients have myasthenic symptoms since birth or early infancy, negative tests for anti-AChR antibodies, and abrupt episodic crises with increased weakness, bulbar paralysis, and apnea precipitated by undue exertion, fever, or excitement.
相似性
Belongs to the carnitine/choline acetyltransferase family.
功能
Catalyzes the reversible synthesis of acetylcholine (ACh) from acetyl CoA and choline at cholinergic synapses.

同靶标产品

相关文献

提示: 发表研究结果有使用 bsm-54807R 时请让我们知道,以便我们可以引用参考文章。作为回馈,资料提供者将获得我们送上的小礼品。

常见问题