Transcription factor that plays an important role in cellular development and cell survival. Regulates the expression of numerous target genes, including EPO. Plays an essential role for development of the urogenital system. Recognizes and binds to the DNA sequence 5'-CGCCCCCGC-3'. It has a tumor suppressor as well as an oncogenic role in tumor formation. Function may be isoform-specific: isoforms lacking the KTS motif may act as transcription factors. Isoforms containing the KTS motif may bind mRNA and play a role in mRNA metabolism or splicing. Isoform 1 has lower affinity for DNA, and can bind RNA.








| 应用 | 已检合格种属 | 预测种属 | 推荐稀释比例 |
|---|---|---|---|
| WB | Human, Mouse | 1:500-2000 | |
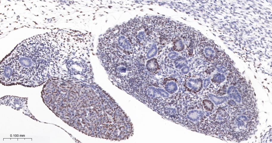
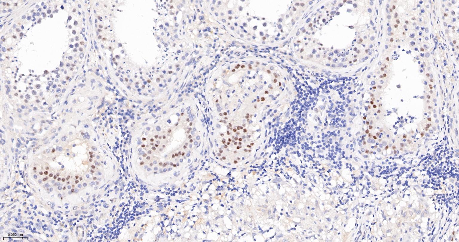
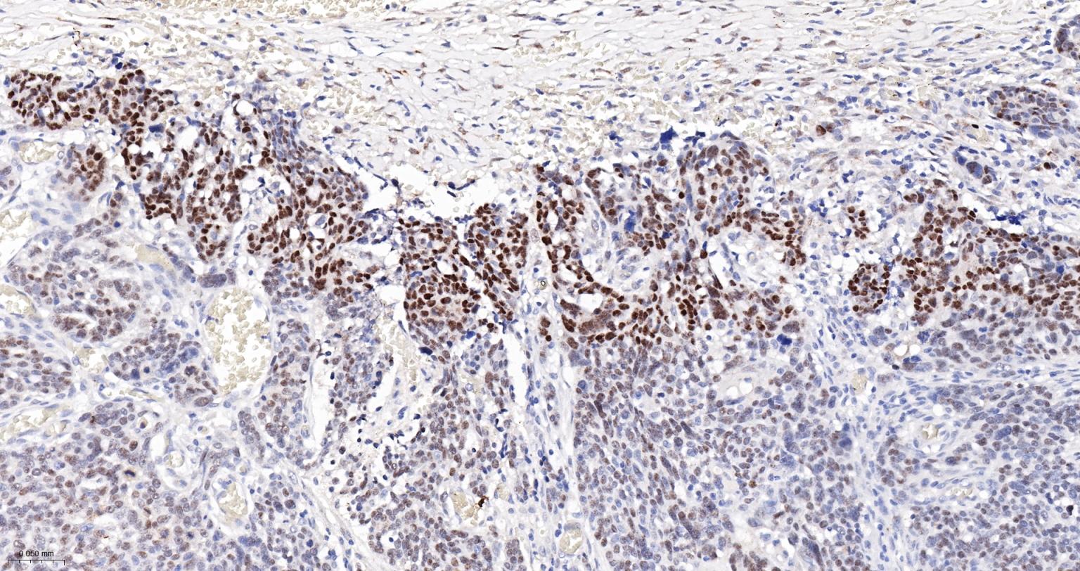
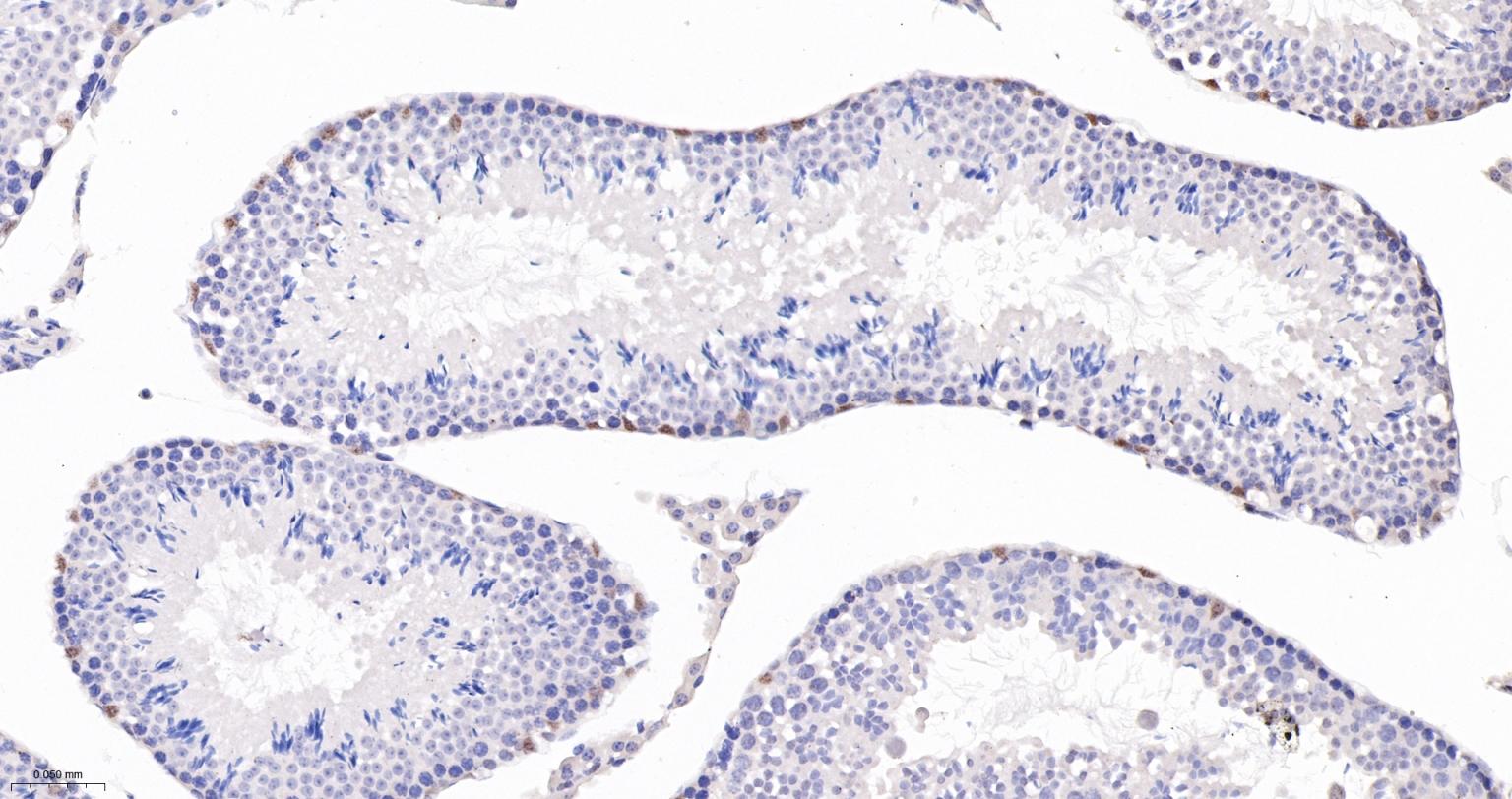
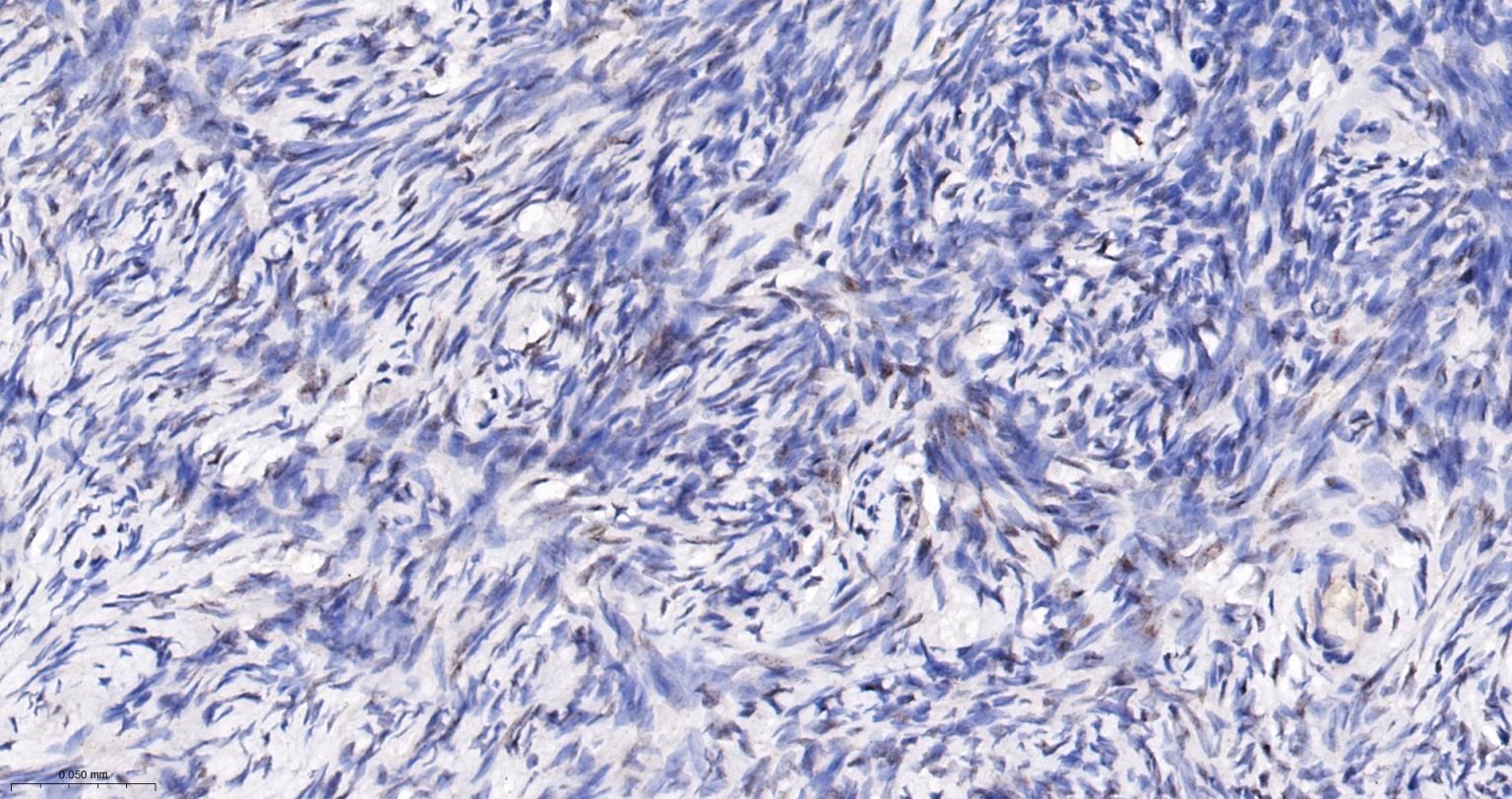
| IHC-P | Human, Mouse | 1:500-1000 | |
| IHC-F | Human, Mouse | 1:500-1000 | |
| IF | Human, Mouse | 1:500-1000 |
交叉反应: Human, Mouse
暂无相关产品
暂无标记数据
暂无同靶标产品
暂无相关文献
暂无常见问题