磷酸化干扰素诱导的双链RNA活化蛋白激酶重组兔单抗

Rrmab?兔单抗
2026-03-02~2026-04-30,KXJ26032026-03-02~2026-04-30,促销赠品
磷酸化干扰素诱导的双链RNA活化蛋白激酶重组兔单抗
货号:bsm-52189R
产品详情
相关标记
相关产品
相关文献
常见问题

概述

产品编号
bsm-52189R
产品类型
磷酸化抗体、重组兔单抗
英文名称
phospho-PKR (Thr446) Recombinant Rabbit mAb
中文名称
磷酸化干扰素诱导的双链RNA活化蛋白激酶重组兔单抗
英文别名
EIF2AK2 | PKR (phospho-T446); p-PKR; phospho-PKR; p-EIF2AK2; EIF2AK2 | PKR (phospho-Thr446); DYT33; EIF2AK1; LEUDEN; PKR; PPP1R83; PRKR; E2AK2_HUMAN; EIF2AK2; Eukaryotic translation initiation factor 2-alpha kinase 2 (eIF-2A protein kinase 2); Interferon-inducible RNA-dependent protein kinase; P1/eIF-2A protein kinase; Protein kinase RNA-activated (PKR | Protein kinase R); Tyrosine-protein kinase EIF2AK2; p68 kinase; 2.7.11.1;
抗体来源
Rabbit
免疫原
A synthesized peptide derived from human eIF2A K2 around the phosphorylation site of T446: KR-pT-RS
亚型
IgG
性状
Liquid
纯化方法
affinity purified by Protein A
克隆类型
Recombinant
克隆号
10A1
理论分子量
62 kDa
浓度
1mg/ml
储存液
0.01M TBS (pH7.4) with 1% BSA, 0.02% Proclin300 and 50% Glycerol.
SWISS
Gene ID
保存条件
Shipped at 4℃. Store at -20℃ for one year. Avoid repeated freeze/thaw cycles.
注意事项
This product as supplied is intended for research use only, not for use in human, therapeutic or diagnostic applications.
产品介绍
蛋白激酶R/双链RNA依赖蛋白激酶(PKR)是一种干扰素诱导的、双链RNA激活的丝氨酸/苏氨酸激酶, PKR在信号转导、细胞生长、分化和凋亡的控制中起重要作用.也有人认为:PKR是一个重要的凋亡效应物,是许多不同刺激物诱导凋亡的一个转导物。
背景资料
PKR is an interferon-inducible serine/threonine specific protein kinase. It is widely expressed in eukaryotic organisms and activated by double stranded RNA. Activation of PKR by dsRNAs leads to autophosphorylation at multiple sites. Phosphorylation of Thr446 and Thr451 in the PKR activation loop is required in vivo and in vitro for high level kinase activity. PKR phosphorylates its natural substrate, the alpha subunit of eukaryotic protein synthesis initiation factor 2 (EIF2 alpha), leading to the inhibition of protein synthesis. PKR is also involved in TLR signaling and mediates apoptosis in fibroblasts in response to viral infection and inflammatory cytokines, and also activates IKK and NFKB, thereby suppressing apoptosis. Recently, it has been reported that PKR also phosphorylates human p53 on serine 392. PKR might play a role in ER stress-induced apoptosis and in Alzheimer's disease. Alzheimer cases show prominent PKR activation in association with neuritic plaques and pyramidal neurons in the hippocampus and neocortex.
磷酸化干扰素诱导的双链RNA活化蛋白激酶重组兔单抗磷酸化干扰素诱导的双链RNA活化蛋白激酶重组兔单抗磷酸化干扰素诱导的双链RNA活化蛋白激酶重组兔单抗磷酸化干扰素诱导的双链RNA活化蛋白激酶重组兔单抗磷酸化干扰素诱导的双链RNA活化蛋白激酶重组兔单抗

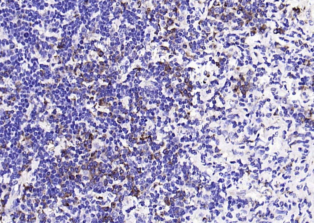
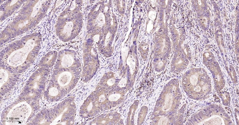
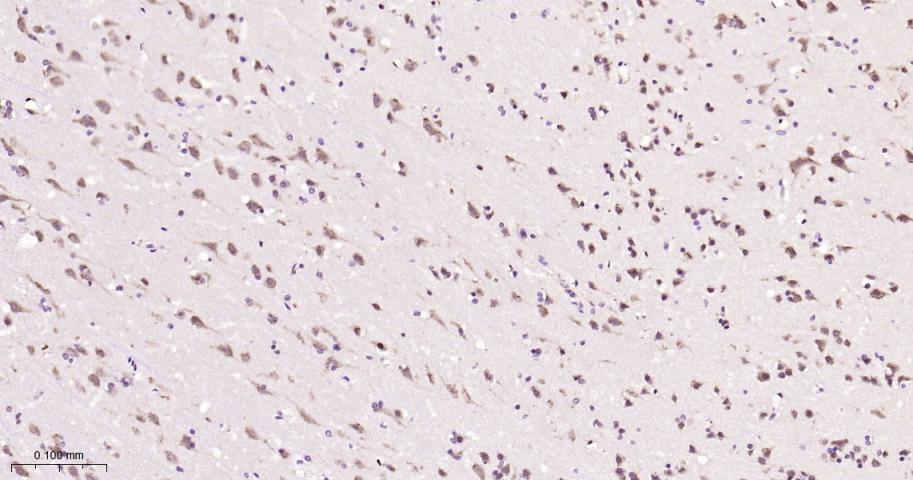
产品应用

应用已检合格种属预测种属推荐稀释比例
WBHuman1:500-1000
IHC-PHuman1:50-200
IHC-FHuman1:50-200
IFHuman1:50-200

交叉反应

交叉反应: Human

相关产品

暂无相关产品

靶标

基因名
EIF2AK2
蛋白名
Interferon-induced, double-stranded RNA-activated protein kinase
亚基
Homodimer. Interacts with STRBP. Interacts with DNAJC3. Inhibited by direct interaction with viral proteins such as HCV E2, HCV NS5A and influenza A NS1. Activated by the interaction with HIV-1 Tat. Forms a complex with FANCA, FANCC, FANCG and HSP70.
翻译后修饰
Autophosphorylated on several Ser and Thr residues. Autophosphorylation of Thr-451 is dependent on Thr-446 and is stimulated by dsRNA binding and dimerization. Autophosphorylation apparently leads to the activation of the kinase.
相似性
Belongs to the protein kinase superfamily. Ser/Thr protein kinase family. GCN2 subfamily.
Contains 2 DRBM (double-stranded RNA-binding) domains.
Contains 1 protein kinase domain.
功能
Following activation by double-stranded RNA in the presence of ATP, the kinase becomes autophosphorylated and can catalyze the phosphorylation of the translation initiation factor EIF2S1, which leads to an inhibition of the initiation of protein synthesis. Double-stranded RNA is generated during the course of a viral infection.

标记抗体

暂无标记数据

同靶标产品

暂无同靶标产品

相关文献

提示: 发表研究结果有使用 bsm-52189R 时请让我们知道,以便我们可以引用参考文章。作为回馈,资料提供者将获得我们送上的小礼品。

暂无相关文献

常见问题

暂无常见问题