CD33 Recombinant Rabbit mAb (一抗) - WB,IHC-P,IHC-F,IF | Bioss

Rrmab?兔单抗
2026-03-02~2026-04-30,KXJ26032026-03-02~2026-04-30,促销赠品
CD33 Recombinant Rabbit mAb (一抗) - WB,IHC-P,IHC-F,IF | Bioss
货号:bsm-60920R
产品详情
相关标记
相关产品
相关文献
常见问题

概述

产品编号
bsm-60920R
产品类型
重组兔单抗
英文名称
CD33 Recombinant Rabbit mAb
中文名称
CD33重组兔单抗
英文别名
CD33rSiglec; SIGLEC-3; SIGLEC3; p67; gp67; CD33_HUMAN; CD33; Sialic acid-binding Ig-like lectin 3 (Siglec-3); CD33_MOUSE;
抗体来源
Rabbit
免疫原
A synthesized peptide derived from human CD33: 1-70/364
亚型
IgG
性状
Liquid
纯化方法
affinity purified by Protein A
克隆类型
Recombinant
克隆号
14H11
理论分子量
37 kDa
检测分子量
60 kDa
浓度
1mg/ml
储存液
0.01M TBS(pH7.4) with 1% BSA, 0.02% Proclin300 and 50% Glycerol.
SWISS
Gene ID
保存条件
Shipped at 4℃. Store at -20 °C for one year. Avoid repeated freeze/thaw cycles.
注意事项
This product as supplied is intended for research use only, not for use in human, therapeutic or diagnostic applications.
产品介绍
CD33(Siglec-3)也是急性淋巴细胞白血病抗原,细胞表面跨膜糖蛋白.CD33表达于早期B淋巴细胞,某些粒性白细胞,骨髓基质细胞,部分上皮组织及其起源的肿瘤细胞中也有表达.主要应用于某些恶性淋巴瘤和白血病的分型.
背景资料
Enables protein phosphatase binding activity and sialic acid binding activity. Involved in several processes, including negative regulation of cytokine production; negative regulation of monocyte activation; and positive regulation of protein tyrosine phosphatase activity. Located in several cellular components, including Golgi apparatus; external side of plasma membrane; and peroxisome. [provided by Alliance of Genome Resources, Apr 2022]
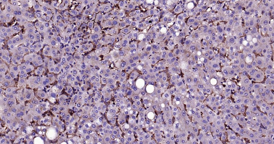
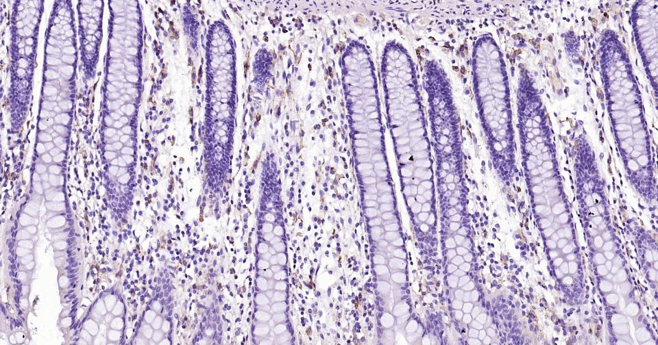
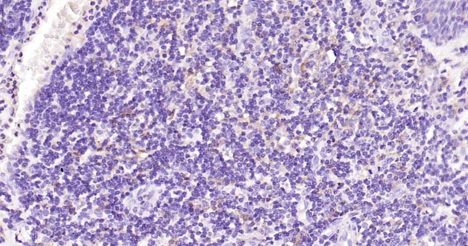
CD33重组兔单抗-bsm-60920RCD33重组兔单抗-bsm-60920RCD33重组兔单抗-bsm-60920RCD33重组兔单抗-bsm-60920R

产品应用

应用已检合格种属预测种属推荐稀释比例
WBHuman1:500-2000
IHC-PHuman1:100-500
IHC-FHuman1:100-500
IFHuman1:100-500

交叉反应

交叉反应: Human

相关产品

暂无相关产品

靶标

基因名
CD33
蛋白名
Myeloid cell surface antigen CD33
亚基
Interacts with PTPN6/SHP-1 and PTPN11/SHP-2 upon phosphorylation.
亚细胞定位
Cell membrane; Single-pass type I membrane protein.
组织特异性
Monocytic/myeloid lineage cells.
翻译后修饰
Phosphorylation of Tyr-340 is involved in binding to PTPN6 and PTPN11.
Phosphorylation of Tyr-358 is involved in binding to PTPN6.
相似性
Belongs to the immunoglobulin superfamily. SIGLEC (sialic acid binding Ig-like lectin) family.
Contains 1 Ig-like C2-type (immunoglobulin-like) domain.
Contains 1 Ig-like V-type (immunoglobulin-like) domain.
功能
Putative adhesion molecule of myelomonocytic-derived cells that mediates sialic-acid dependent binding to cells. Preferentially binds to alpha-2,6-linked sialic acid. The sialic acid recognition site may be masked by cis interactions with sialic acids on the same cell surface. In the immune response, may act as an inhibitory receptor upon ligand induced tyrosine phosphorylation by recruiting cytoplasmic phosphatase(s) via their SH2 domain(s) that block signal transduction through dephosphorylation of signaling molecules. Induces apoptosis in acute myeloid leukemia (in vitro).

同靶标产品

相关文献

提示: 发表研究结果有使用 bsm-60920R 时请让我们知道,以便我们可以引用参考文章。作为回馈,资料提供者将获得我们送上的小礼品。

常见问题