Cancer > Invasion/microenvironment > ECM > Cell adhesion > Cadherins
Cardiovascular > Atherosclerosis > Vascular Inflammation > Leukocyte recruitment
Epigenetics and Nuclear Signaling > ChIP assays > ChIP antibodies
Neuroscience > Neurology process > Neurogenesis
Signal Transduction > Antibodies > beta catenin
Signal Transduction > Cytoskeleton / ECM > Cell Adhesion > Cadherins
Signal Transduction > Cytoskeleton / ECM > Cytoskeleton > Microfilaments > Actin etc > Catenins
















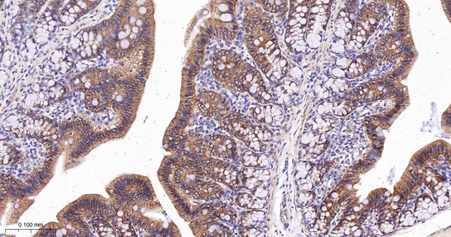
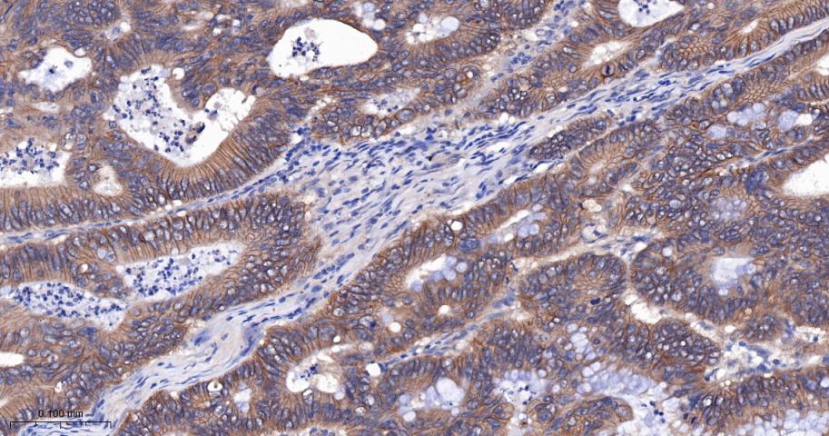
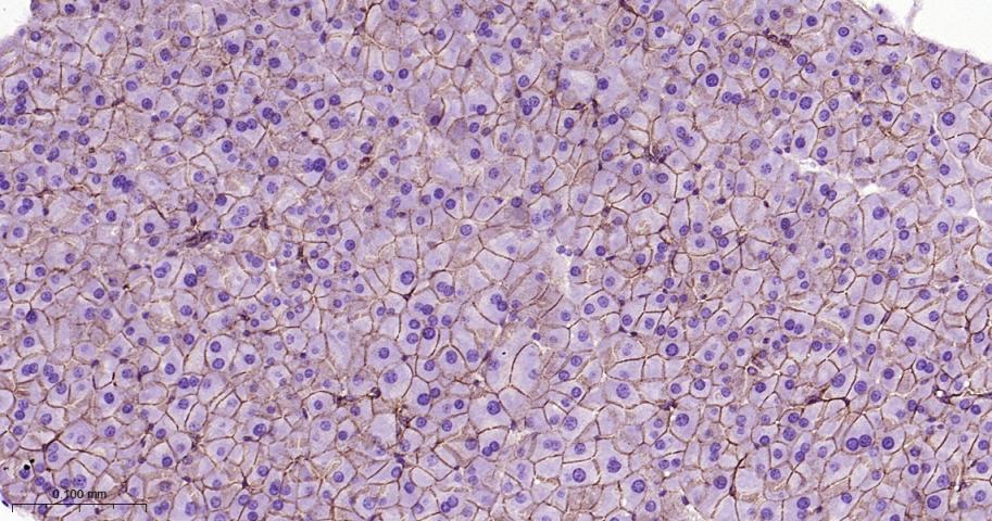
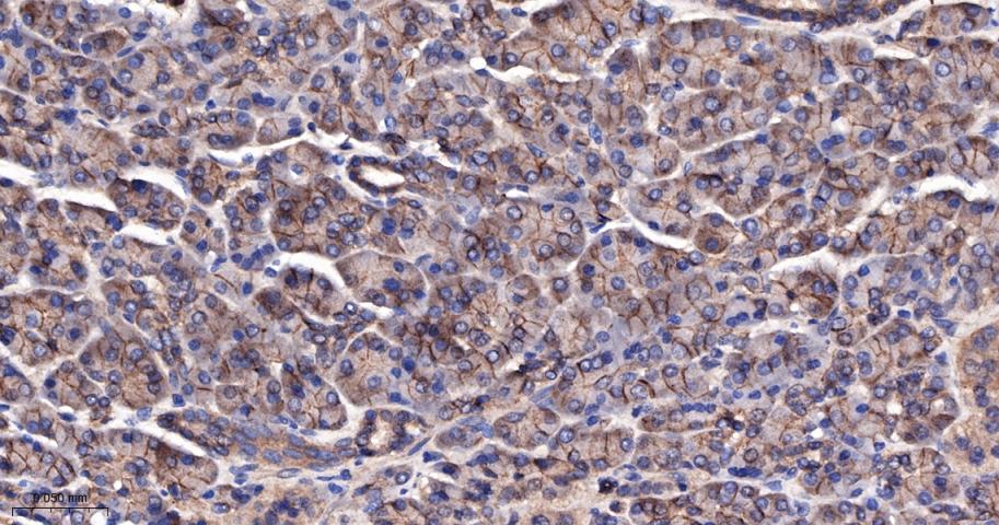
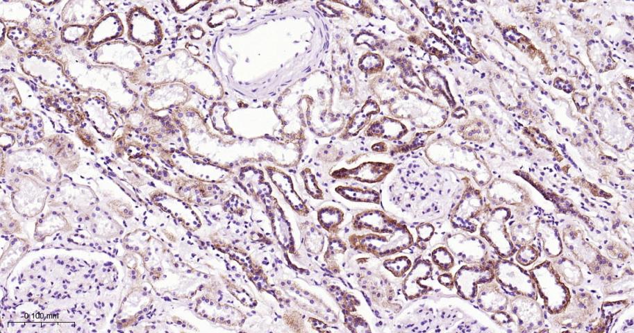
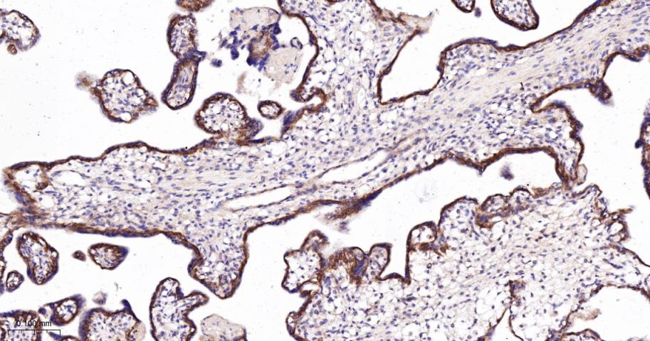
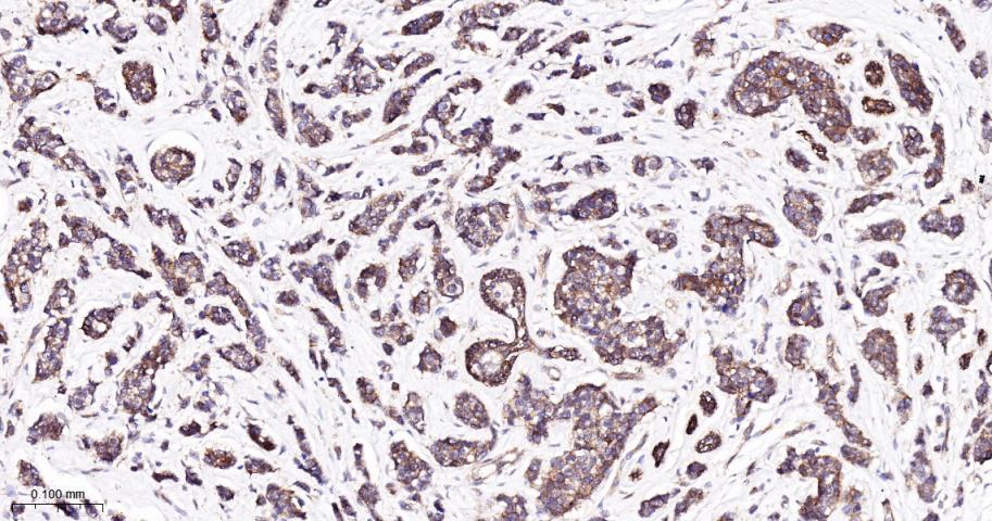
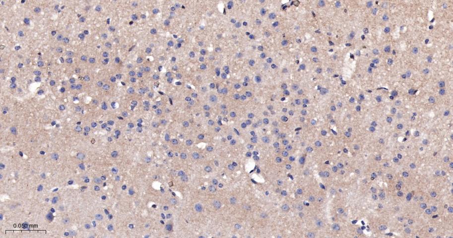
| 应用 | 已检合格种属 | 预测种属 | 推荐稀释比例 |
|---|---|---|---|
| WB | Human, Mouse | Rat | 1:1000-5000 |
| IHC-P | Human, Mouse, Rat | 1:200-800 | |
| IHC-F | Human, Mouse, Rat | 1:200-800 | |
| IF | Human, Mouse, Rat | 1:200-800 |
交叉反应: Human, Mouse, Rat
暂无相关产品
暂无标记数据
暂无同靶标产品
暂无相关文献
暂无常见问题