Cancer > Cancer Metabolism > Response to hypoxia
Cell Biology > Proteolysis / Ubiquitin > Proteolytic enzymes > Serine protease > DPPs
Immunology > Adaptive Immunity > B Cells > CD
Immunology > Adaptive Immunity > T Cells > CD
Immunology > Cell Type Markers > CD > Adhesion
Immunology > Cell Type Markers > CD > Non-lineage
Immunology > Immune System Diseases > Antiviral Signaling > HIV-related
Metabolism > Pathways and Processes > Metabolism processes > Hypoxia
Microbiology > Organism > Virus > RNA Virus > ssRNA positive strand virus > SARS Coronavirus
Stem Cells > Hematopoietic Progenitors > Lymphoid > B Lymphocytic Lineage
Stem Cells > Hematopoietic Progenitors > Lymphoid > T Lymphocytic Lineage






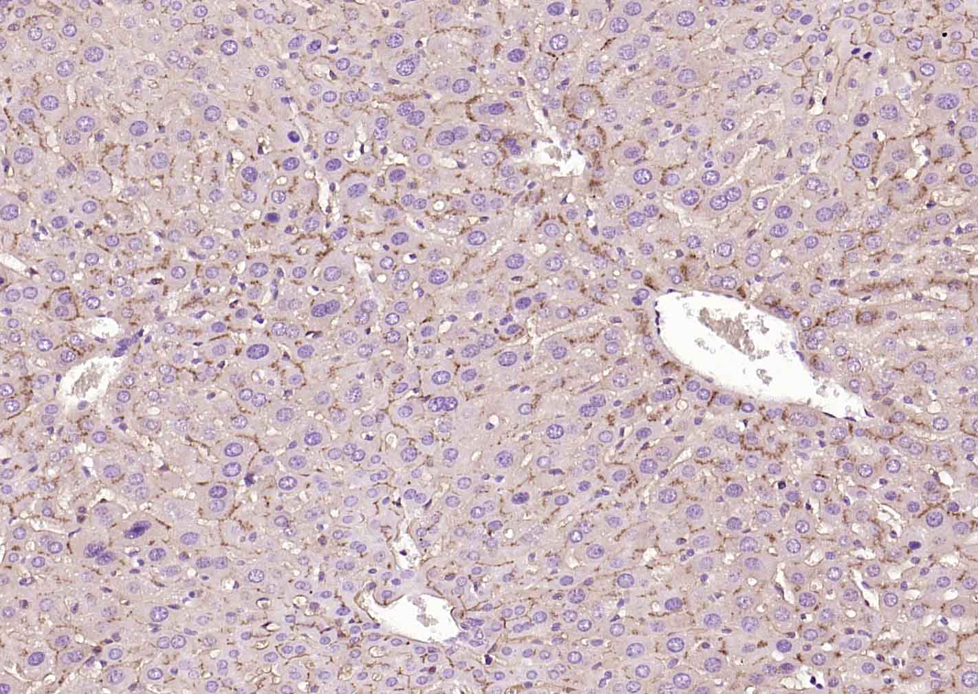
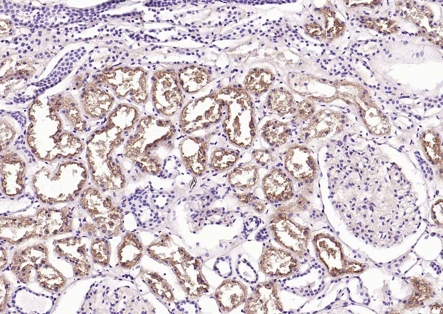
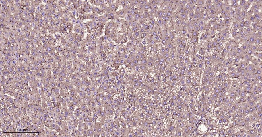
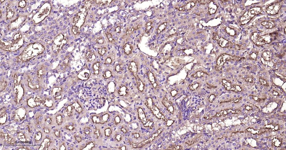
| 应用 | 已检合格种属 | 预测种属 | 推荐稀释比例 |
|---|---|---|---|
| WB | Human, Rat | Mouse | 1:500-2000 |
| IHC-P | Human, Mouse, Rat | 1:100-500 | |
| IHC-F | Human, Mouse, Rat | 1:100-500 |
交叉反应: Human, Mouse, Rat
暂无相关产品
暂无标记数据
暂无同靶标产品
暂无相关文献
暂无常见问题