磷酸化叉头蛋白3A重组兔单抗

Rrmab?兔单抗
2026-03-02~2026-04-30,KXJ26032026-03-02~2026-04-30,促销赠品
磷酸化叉头蛋白3A重组兔单抗
货号:bsm-52156R
产品详情
相关标记
相关产品
相关文献
常见问题

概述

产品编号
bsm-52156R
产品类型
磷酸化抗体、重组兔单抗
英文名称
phospho-FoxO3a (Ser253) Recombinant Rabbit mAb
中文名称
磷酸化叉头蛋白3A重组兔单抗
英文别名
FOXO3 | FoxO3A (phospho-S253); p-FoxO3A; phospho-FoxO3A; p-FOXO3; FOXO3 | FoxO3A (phospho-Ser253); AF6q21; FKHRL1; FKHRL1P2; FOXO2; FOXO3A; 1110048B16Rik; 2010203A17Rik; Fkhr2; FOXO3_HUMAN; FOXO3; AF6q21 protein; Forkhead in rhabdomyosarcoma-like 1; FOXO3_MOUSE;
抗体来源
Rabbit
免疫原
A synthesized peptide derived from human FOXO3A around the phosphorylation site of S253: AV-pS-MD
亚型
IgG
性状
Liquid
纯化方法
affinity purified by Protein A
克隆类型
Recombinant
克隆号
25B3
理论分子量
71 kDa
浓度
1mg/ml
储存液
0.01M TBS (pH7.4) with 1% BSA, 0.02% Proclin300 and 50% Glycerol.
SWISS
Gene ID
保存条件
Shipped at 4℃. Store at -20℃ for one year. Avoid repeated freeze/thaw cycles.
注意事项
This product as supplied is intended for research use only, not for use in human, therapeutic or diagnostic applications.
产品介绍
FOXO3a是FOX(forkhead box)蛋白家族的一个重要成员,与细胞转化、肿瘤的发生发展及其血管生成有关,是一种已知的控制细胞循环和细胞死亡的蛋白质。
背景资料
This gene belongs to the forkhead family of transcription factors which are characterized by a distinct forkhead domain. This gene likely functions as a trigger for apoptosis through expression of genes necessary for cell death. Translocation of this gene with the MLL gene is associated with secondary acute leukemia. Alternatively spliced transcript variants encoding the same protein have been observed. [provided by RefSeq, Jul 2008]
磷酸化叉头蛋白3A重组兔单抗磷酸化叉头蛋白3A重组兔单抗磷酸化叉头蛋白3A重组兔单抗磷酸化叉头蛋白3A重组兔单抗磷酸化叉头蛋白3A重组兔单抗磷酸化叉头蛋白3A重组兔单抗磷酸化叉头蛋白3A重组兔单抗

产品应用

应用已检合格种属预测种属推荐稀释比例
WBHuman, Mouse, Rat1:500-2000
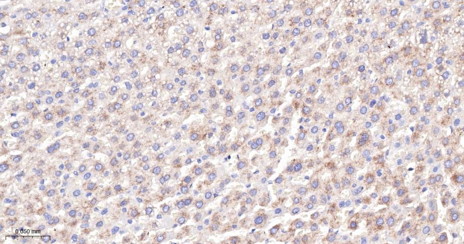
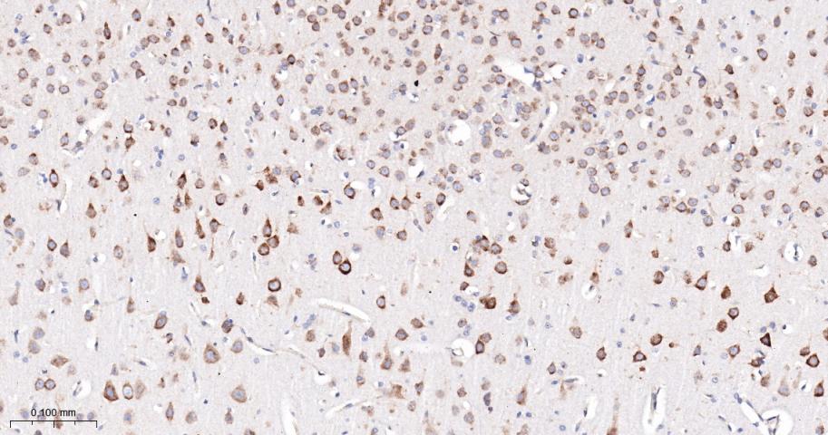
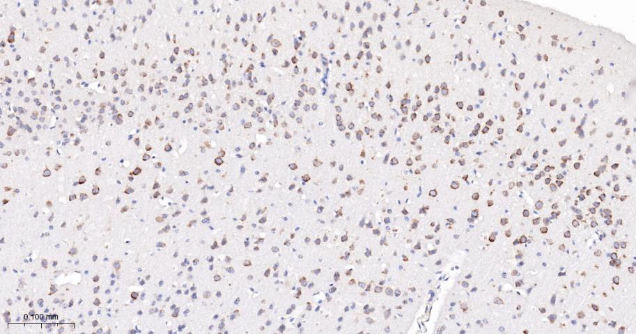
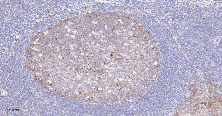
IHC-PHuman, Mouse, Rat1:50-200
IHC-FHuman, Mouse, Rat1:50-200
IFHuman, Mouse, Rat1:50-200

交叉反应

交叉反应: Human, Mouse, Rat

相关产品

暂无相关产品

靶标

基因名
FOXO3
蛋白名
Forkhead box protein O3
亚基
Interacts with YWHAB/14-3-3-beta and YWHAZ/14-3-3-zeta, which are required for cytosolic sequestration. Upon oxidative stress, interacts with STK4/MST1, which disrupts interaction with YWHAB/14-3-3-beta and leads to nuclear translocation. Interacts with PIM1.
亚细胞定位
Cytoplasm, cytosol. Nucleus. Note=Translocates to the nucleus upon oxidative stress and in the absence of survival factors. Tissue Specificity : Ubiquitous.
组织特异性
Ubiquitous.
翻译后修饰
In the presence of survival factors such as IGF-1, phosphorylated on Thr-32 and Ser-253 by AKT1/PKB. This phosphorylated form then interacts with 14-3-3 proteins and is retained in the cytoplasm. Survival factor withdrawal induces dephosphorylation and promotes translocation to the nucleus where the dephosphorylated protein induces transcription of target genes and triggers apoptosis. Although AKT1/PKB doesn't appear to phosphorylate Ser-315 directly, it may activate other kinases that trigger phosphorylation at this residue. Phosphorylated by STK4/MST1 on Ser-209 upon oxidative stress, which leads to dissociation from YWHAB/14-3-3-beta and nuclear translocation. Phosphorylated by PIM1. Phosphorylation by AMPK leads to the activation of transcriptional activity without affecting subcellular localization. Phosphorylation by MAPKAPK5 promotes nuclear localization and DNA-binding, leading to induction of miR-34b and miR-34c expression, 2 post-transcriptional regulators of MYC that bind to the 3'UTR of MYC transcript and prevent its translation.
疾病
Note=A chromosomal aberration involving FOXO3 is found in secondary acute leukemias. Translocation t(6;11)(q21;q23) with MLL/HRX.
相似性
Contains 1 fork-head DNA-binding domain.
功能
Transcriptional activator which triggers apoptosis in the absence of survival factors, including neuronal cell death upon oxidative stress. Recognizes and binds to the DNA sequence 5'-[AG]TAAA[TC]A-3'. Participates in post-transcriptional regulation of MYC: following phosphorylation by MAPKAPK5, promotes induction of miR-34b and miR-34c expression, 2 post-transcriptional regulators of MYC that bind to the 3'UTR of MYC transcript and prevent its translation.

标记抗体

暂无标记数据

同靶标产品

暂无同靶标产品

相关文献

提示: 发表研究结果有使用 bsm-52156R 时请让我们知道,以便我们可以引用参考文章。作为回馈,资料提供者将获得我们送上的小礼品。
具体参考文献:bsm-52156R 被引用于1文献中

暂无相关文献

常见问题

暂无常见问题