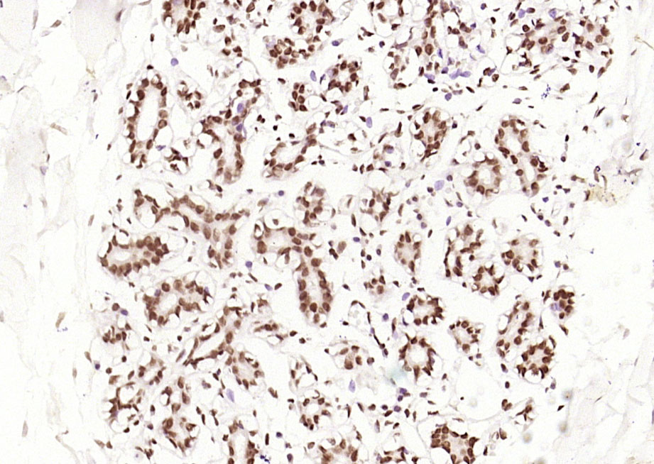
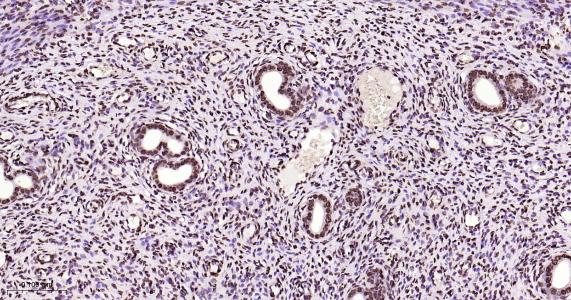
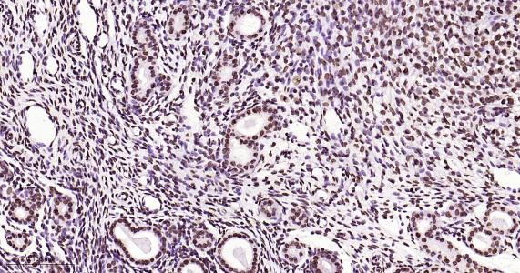
Cancer > Signal transduction > Nuclear signaling > Nuclear hormone receptors > Estrogen
Epigenetics and Nuclear Signaling > ChIP assays > ChIP antibodies
Epigenetics and Nuclear Signaling > Nuclear Signaling Pathways > Nuclear Receptors > Estrogen
Neuroscience > Endocrine system > Gonadotrophic axis
Signal Transduction > Signaling Pathway > Nuclear Signaling > Nuclear Hormone Receptors > Estrogen











| 应用 | 已检合格种属 | 预测种属 | 推荐稀释比例 |
|---|---|---|---|
| IHC-P | Human, Mouse, Rat | 1:100-500 | |
| IHC-F | Human, Mouse, Rat | 1:100-500 | |
| IF | Human, Mouse, Rat | 1:100-500 | |
| Flow-Cyt | Human | Mouse, Rat | 2ug/Test |
| ICC/IF | Human | Mouse, Rat | 1:50-200 |
交叉反应: Human, Mouse, Rat
暂无相关产品
暂无标记数据
暂无同靶标产品
暂无相关文献
暂无常见问题