MAP2 Rabbit pAb (一抗) - IHC-P,IHC-F,IF | Bioss

2026-05-01~2026-06-30,AB2605
MAP2 Rabbit pAb (一抗) - IHC-P,IHC-F,IF | Bioss
货号:bs-34252R
产品详情
相关标记
相关产品
相关文献
常见问题

概述

产品编号
bs-34252R
英文名称
MAP2 Rabbit pAb
中文名称
微管相关蛋白2抗体
英文别名
MAP-2; MAP2A; MAP2B; MAP2C; G1-397-34; Mtap-2; Mtap2; repro4; MAP2R; MTAP2_HUMAN; MAP2; MTAP2_MOUSE; MTAP2_RAT; microtubule associated protein 2
抗体来源
Rabbit
免疫原
KLH conjugated synthetic peptide derived from human MAP2
亚型
IgG
性状
Liquid
纯化方法
affinity purified by Protein A
克隆类型
Polyclonal
理论分子量
199 kDa
浓度
1mg/ml
储存液
0.01M TBS(pH7.4) with 1% BSA, 0.02% Proclin300 and 50% Glycerol.
SWISS
Gene ID
保存条件
Shipped at 4℃. Store at -20 °C for one year. Avoid repeated freeze/thaw cycles.
注意事项
This product as supplied is intended for research use only, not for use in human, therapeutic or diagnostic applications.
产品介绍
微管相关蛋白 2(MAP-2)是一种磷蛋白质,在正常脑组织中,主要存在于神经元的胞体、树突和树突棘,是脑内最丰富的蛋白之一。MAP-2在其调节微管的聚合作用和微管的稳定性以及对神经元轴突和树突的发生、延长、稳定和突触可塑性调节具有重要作用。
背景资料
MAP2 is the major microtubule associated protein of brain tissue. There are three forms of MAP2; two are similarily sized with apparent molecular weights of 280 kDa (MAP2a and MAP2b) and the third with a lower molecular weight of 70 kDa (MAP2c). In the newborn rat brain, MAP2b and MAP2c are present, while MAP2a is absent. Between postnatal days 10 and 20, MAP2a appears. At the same time, the level of MAP2c drops by 10-fold. This change happens during the period when dendrite growth is completed and when neurons have reached their mature morphology. MAP2 is degraded by a Cathepsin D-like protease in the brain of aged rats. There is some indication that MAP2 is expressed at higher levels in some types of neurons than in other types. MAP2 is known to promote microtubule assembly and to form side-arms on microtubules. It also interacts with neurofilaments, actin, and other elements of the cytoskeleton.
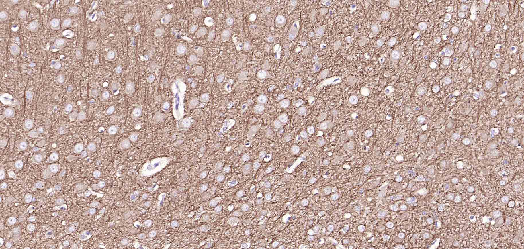
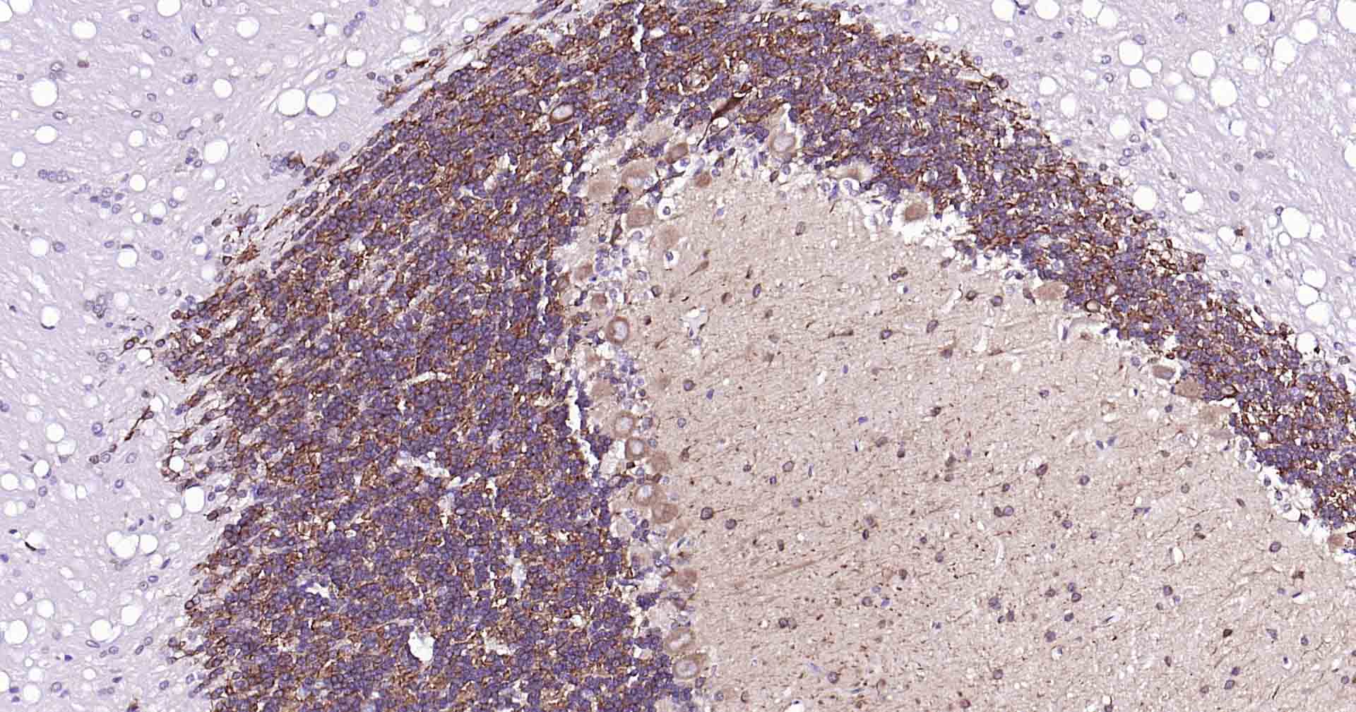
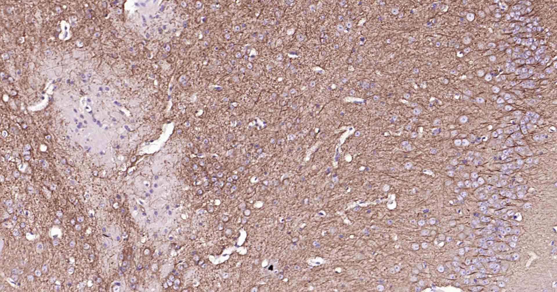
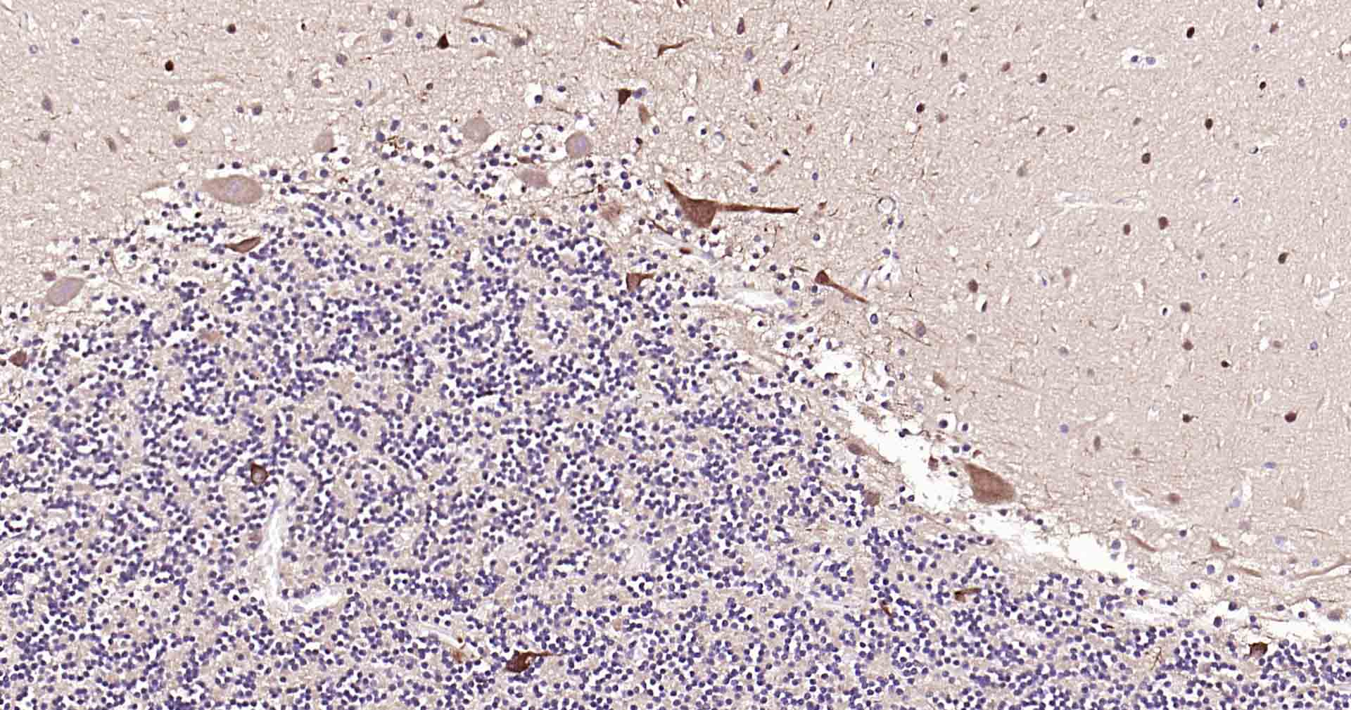
微管相关蛋白2抗体-bs-34252R微管相关蛋白2抗体-bs-34252R微管相关蛋白2抗体-bs-34252R微管相关蛋白2抗体-bs-34252R微管相关蛋白2抗体-bs-34252R

产品应用

应用已检合格种属预测种属推荐稀释比例
IHC-PHuman, Mouse, Rat1:300-1500
IHC-FHuman, Mouse, Rat1:300-1500
IFHuman, Mouse, Rat1:300-1500

交叉反应

交叉反应: Human, Mouse, Rat

相关产品

暂无相关产品

靶标

基因名
MAP2
蛋白名
Microtubule-associated protein 2
亚细胞定位
Cytoplasm, cytoskeleton (Probable).
翻译后修饰
Phosphorylated at serine residues in K-X-G-S motifs by MAP/microtubule affinity-regulating kinase (MARK1 or MARK2), causing detachment from microtubules, and their disassembly (By similarity). MAP2A/c is phosphorylated. Isoform MAP2c is phosphorylated by FYN at Tyr-67.
相似性
Contains 3 Tau/MAP repeats.
功能
The exact function of MAP2 is unknown but MAPs may stabilize the microtubules against depolymerization. They also seem to have a stiffening effect on microtubules.

同靶标产品

相关文献

提示: 发表研究结果有使用 bs-34252R 时请让我们知道,以便我们可以引用参考文章。作为回馈,资料提供者将获得我们送上的小礼品。

常见问题