Cancer > Cancer Metabolism > Cellular metabolic process
Cardiovascular > Vasculature > Vasculature Markers > Arterial
Cardiovascular > Vasculature > Vasculature Markers > Pulmonary
Immunology > Innate Immunity > Macrophage / Inflamm.
Kits/ Lysates/ Other > Kits > ELISA Kits > ELISA Kits > Cancer proteins ELISA kits
Kits/ Lysates/ Other > Kits > ELISA Kits > ELISA Kits > Cardiovascular ELISA kits
Metabolism > Pathways and Processes > Redox metabolism > Antioxidants




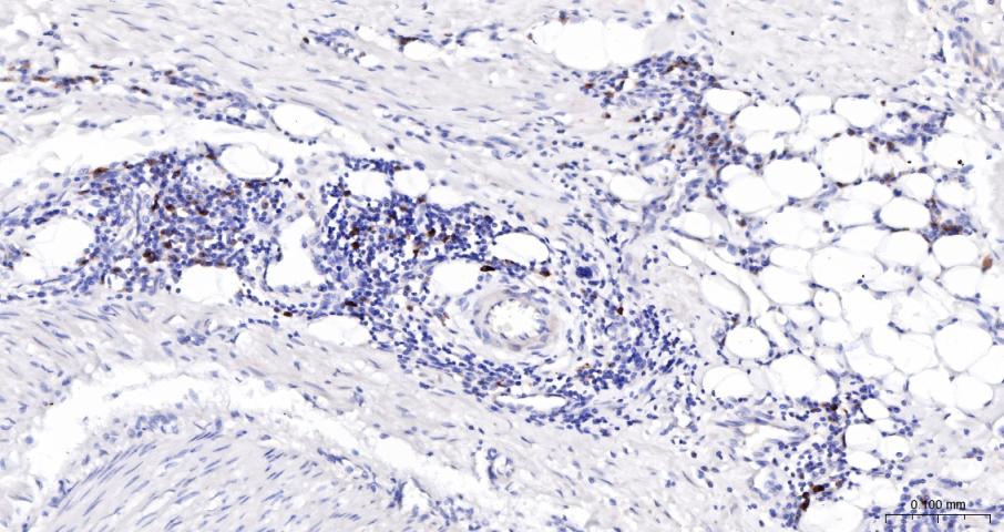
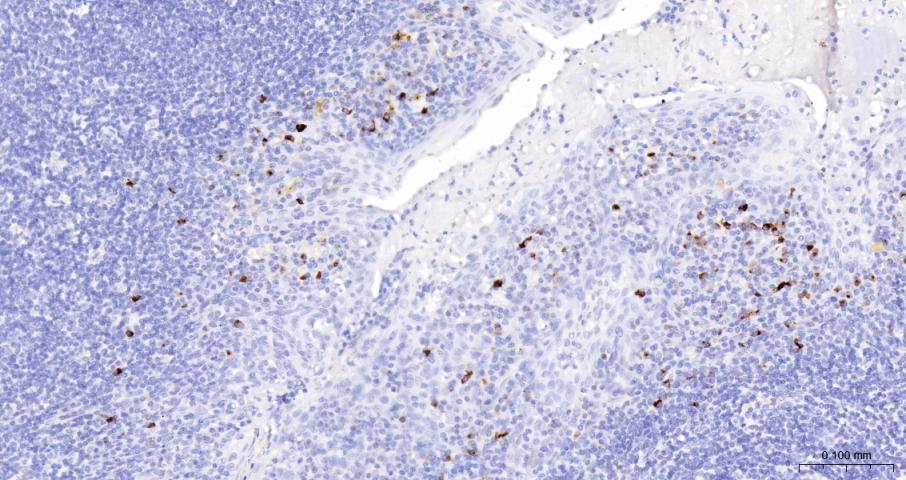
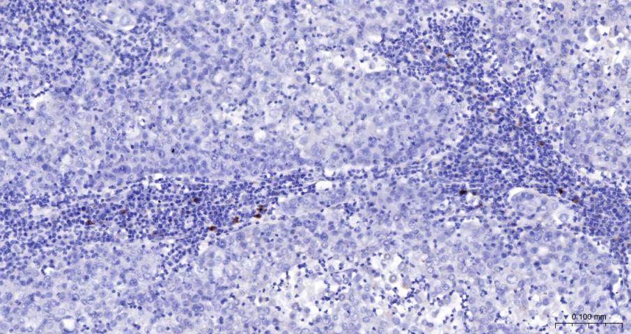
| 应用 | 已检合格种属 | 预测种属 | 推荐稀释比例 |
|---|---|---|---|
| WB | Human | 1:500-2000 | |
| IHC-P | Human | 1:100-500 | |
| IHC-F | Human | 1:100-500 | |
| IF | Human | 1:100-500 | |
| ELISA | Human | 1:5000-10000 |
交叉反应: Human
暂无相关产品