Cancer > Cancer Metabolism > Metabolic signaling pathway > Metabolism of lipids and lipoproteins
Cancer > Invasion/microenvironment > ECM > Extracellular matrix
Metabolism > Pathways and Processes > Metabolic signaling pathways > Lipid and lipoprotein metabolism > Lipid metabolism
Metabolism > Types of disease > Cancer
Neuroscience > Cell Adhesion Proteins > ECM Proteins
Neuroscience > Cell Adhesion Proteins > Membrane Proteins
Neuroscience > Cell Type Marker > Neuron marker > Synapse marker
Neuroscience > Neurology process > Neurogenesis
Signal Transduction > Cytoskeleton / ECM > Extracellular Matrix > ECM Proteins > Glucosaminoglycans
Signal Transduction > Cytoskeleton / ECM > HSPGs
Stem Cells > Hematopoietic Progenitors > Lymphoid > B Lymphocytic Lineage










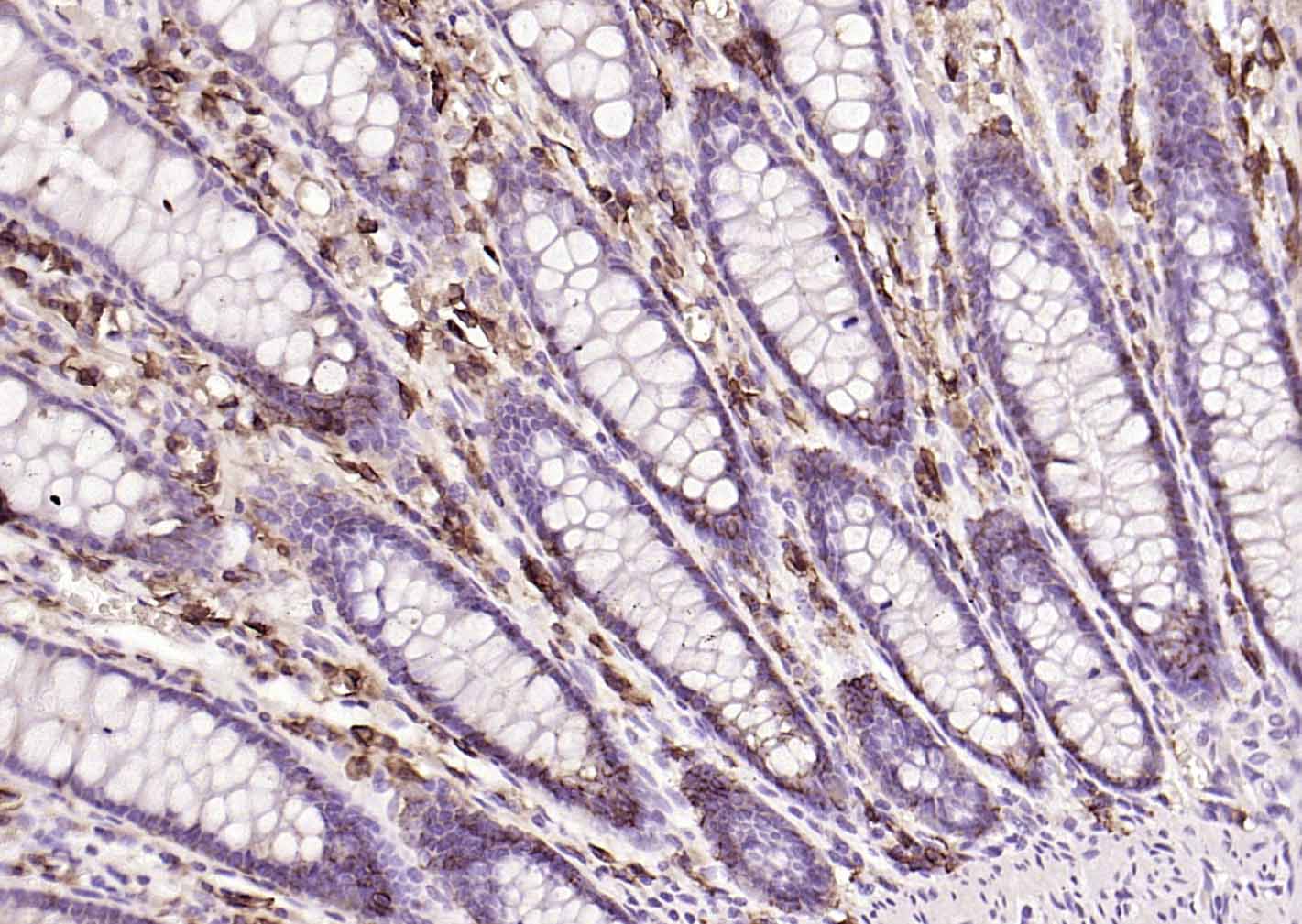
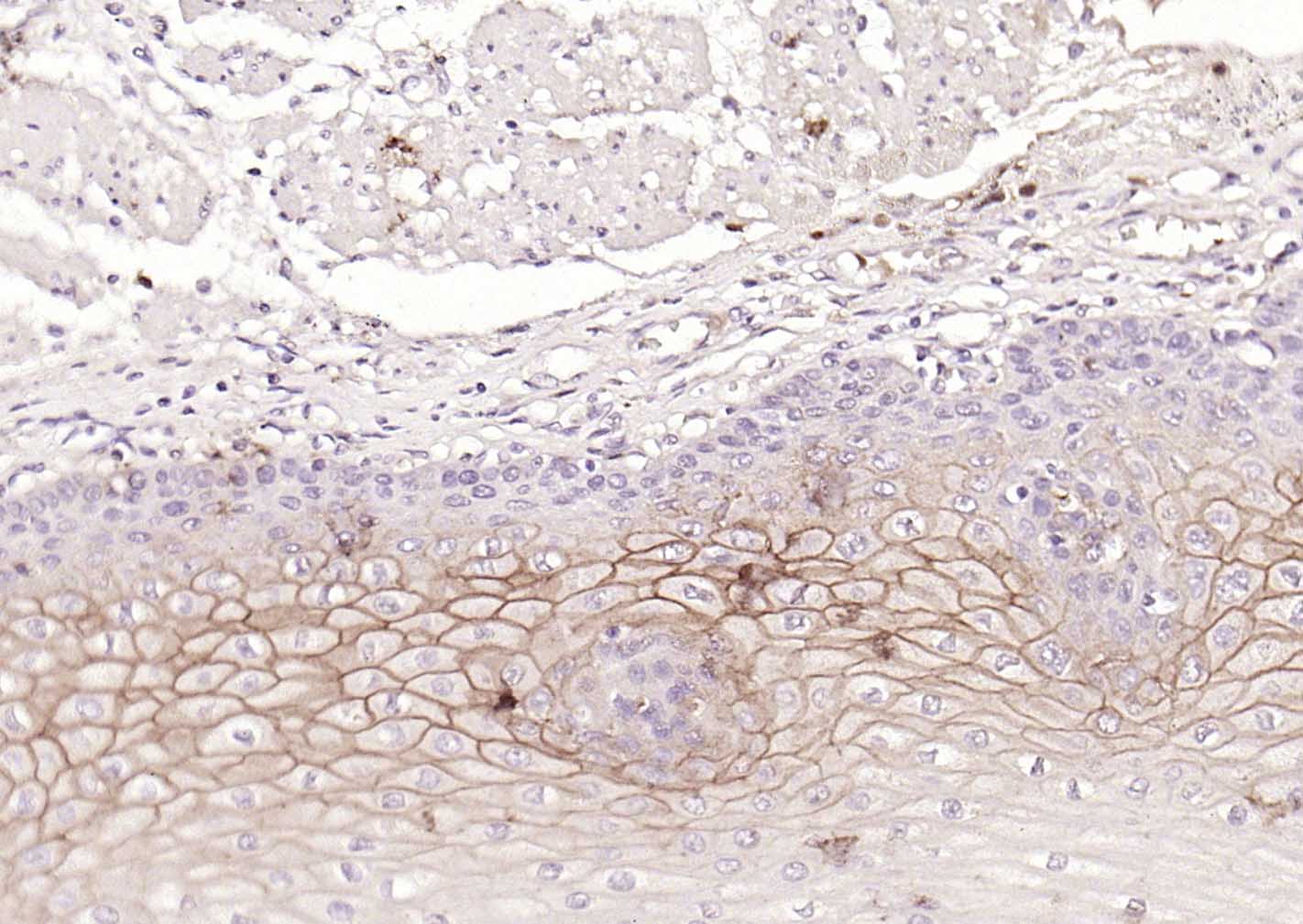
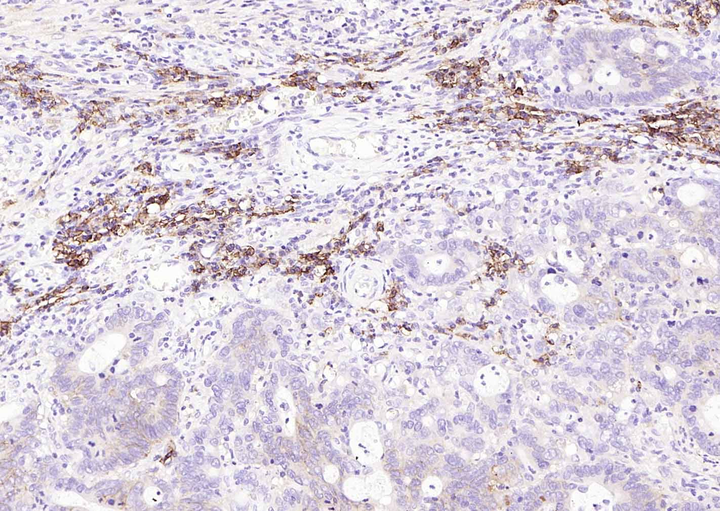
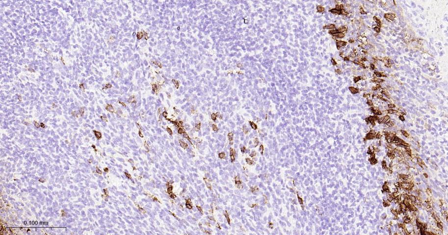
| 应用 | 已检合格种属 | 预测种属 | 推荐稀释比例 |
|---|---|---|---|
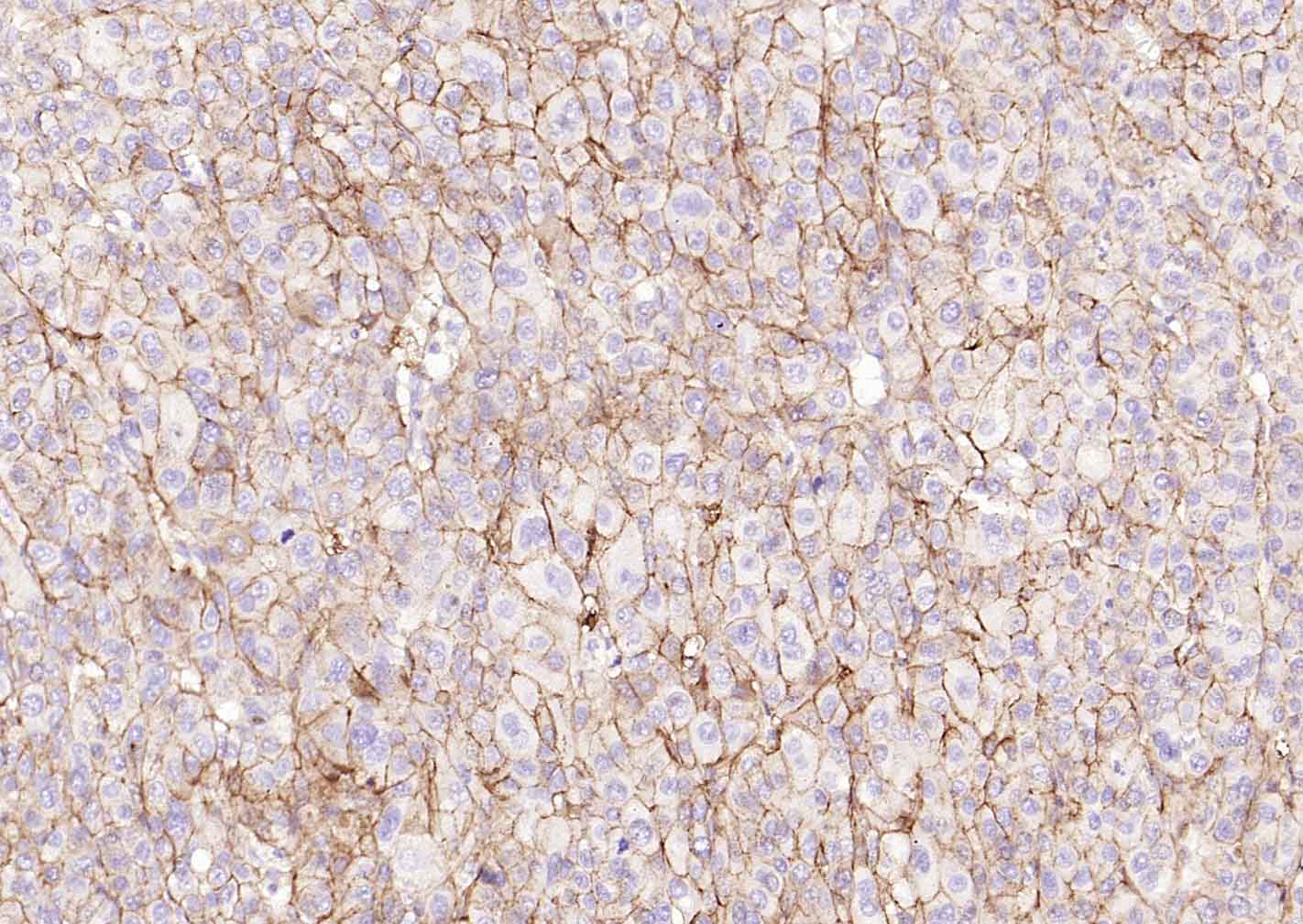
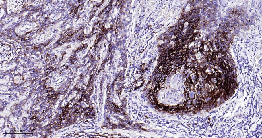
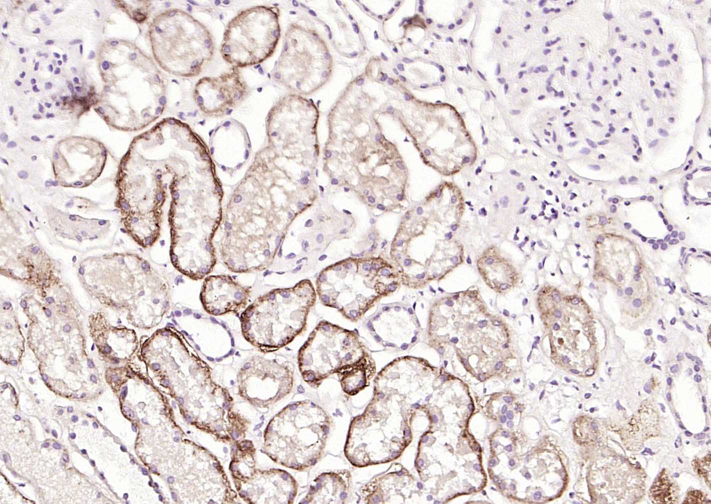
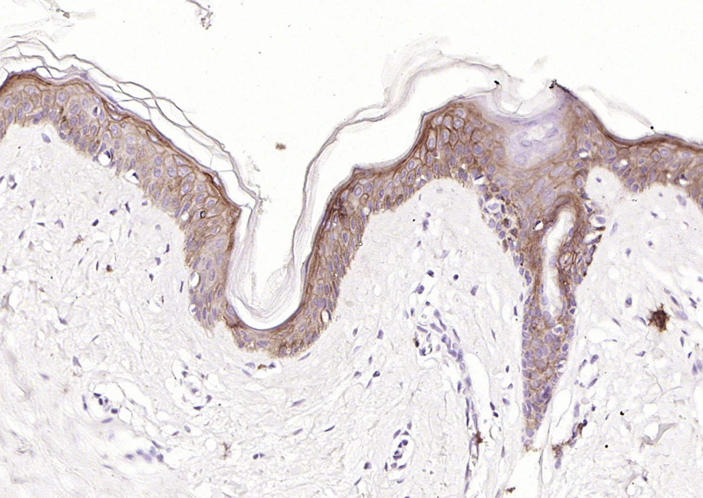
| IHC-P | Human | 1:100-500 | |
| IHC-F | Human | 1:100-500 | |
| IF | Human | 1:100-500 |
交叉反应: Human
暂无相关产品
暂无标记数据
暂无同靶标产品
暂无相关文献
暂无常见问题