CD19 Recombinant Rabbit mAb (一抗) - WB,IHC-P,IHC-F,IF,Flow-Cyt,ICC/IF | Bioss

Rrmab?兔单抗
2026-03-02~2026-04-30,KXJ26032026-03-02~2026-04-30,促销赠品
CD19 Recombinant Rabbit mAb (一抗) - WB,IHC-P,IHC-F,IF,Flow-Cyt,ICC/IF | Bioss
货号:bsm-60900R
产品详情
相关标记
相关产品
相关文献
常见问题

概述

产品编号
bsm-60900R
产品类型
重组兔单抗、mIHC精品抗体
英文名称
CD19 Recombinant Rabbit mAb
中文名称
CD19重组兔单抗
英文别名
B4; CVID3; CD19_HUMAN; CD19; B-lymphocyte surface antigen B4; Differentiation antigen CD19; T-cell surface antigen Leu-12; CD19_MOUSE;
抗体来源
Rabbit
免疫原
A synthesized peptide derived from human CD19: 300-556
亚型
IgG
性状
Liquid
纯化方法
affinity purified by Protein A
克隆类型
Recombinant
克隆号
7A6
理论分子量
59 kDa
检测分子量
75 kDa
浓度
1mg/ml
储存液
0.01M TBS(pH7.4) with 1% BSA, 0.02% Proclin300 and 50% Glycerol.
SWISS
Gene ID
保存条件
Shipped at 4℃. Store at -20 °C for one year. Avoid repeated freeze/thaw cycles.
注意事项
This product as supplied is intended for research use only, not for use in human, therapeutic or diagnostic applications.
产品介绍
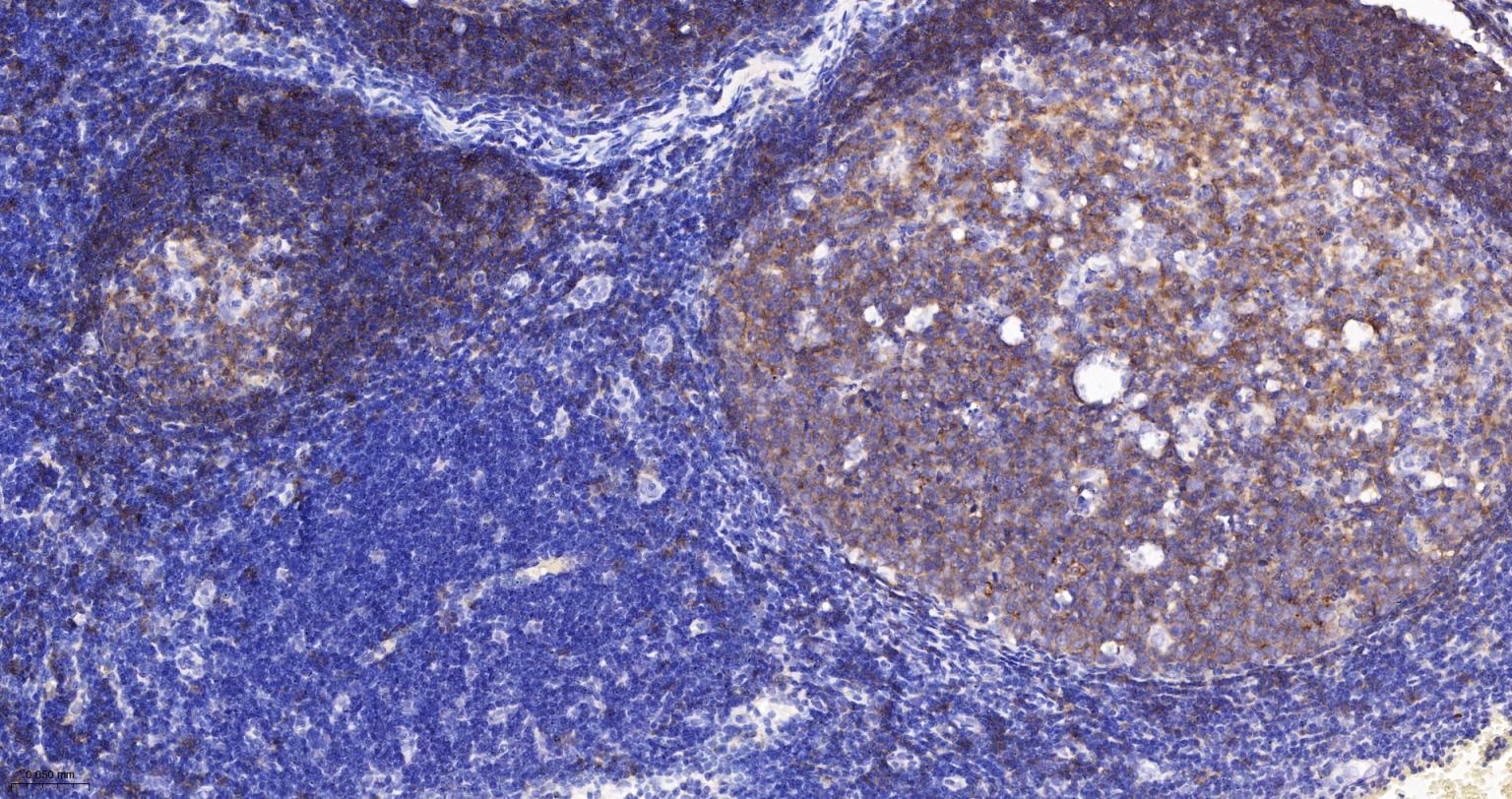
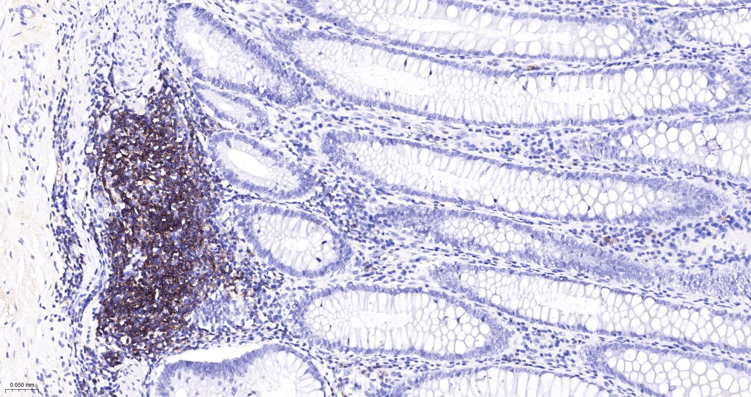
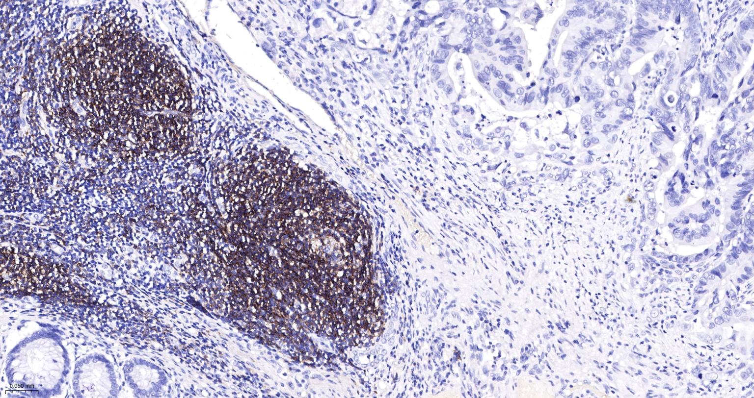
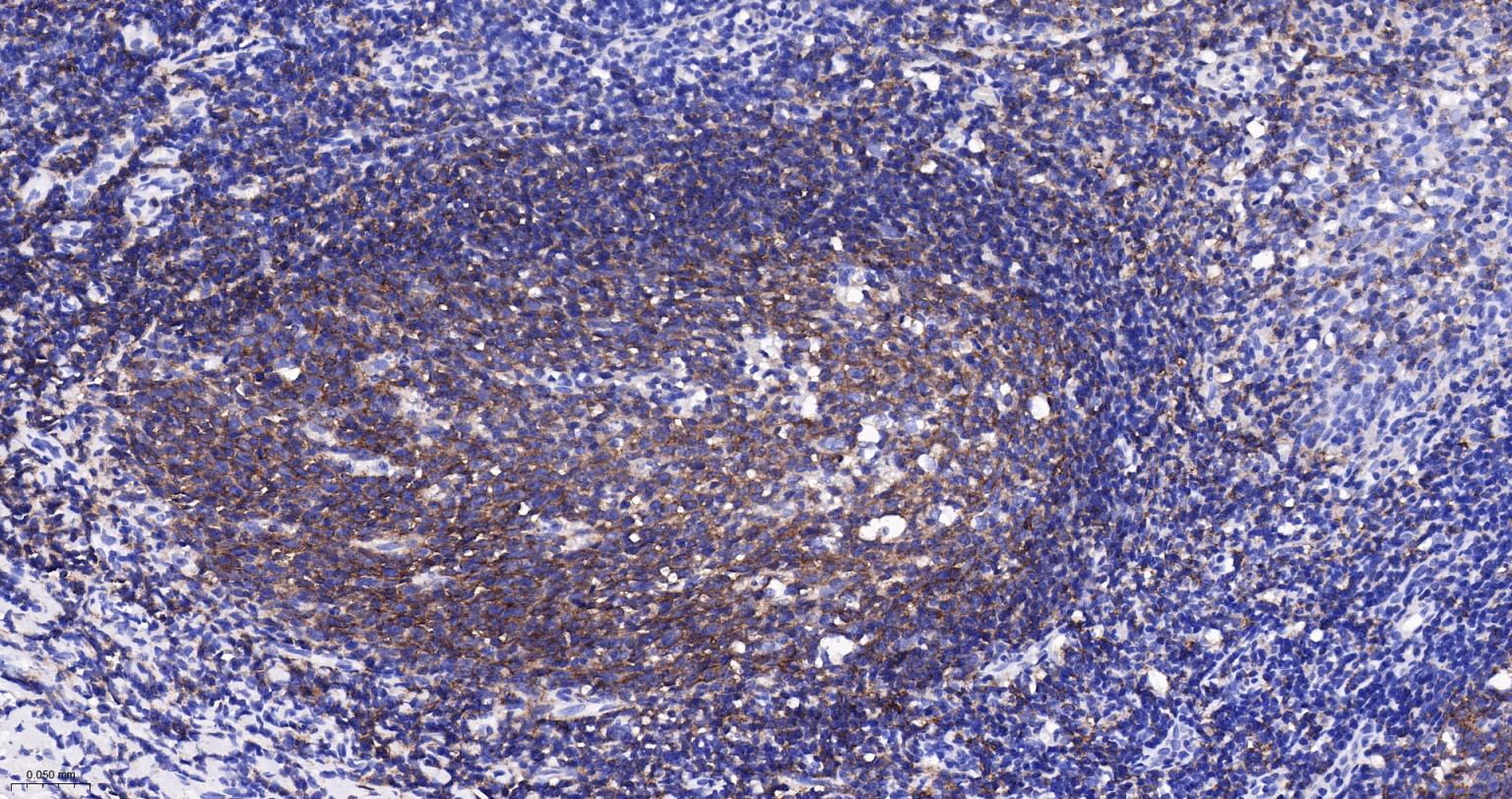
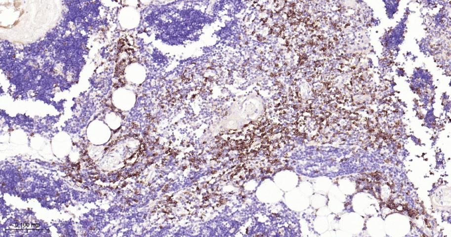
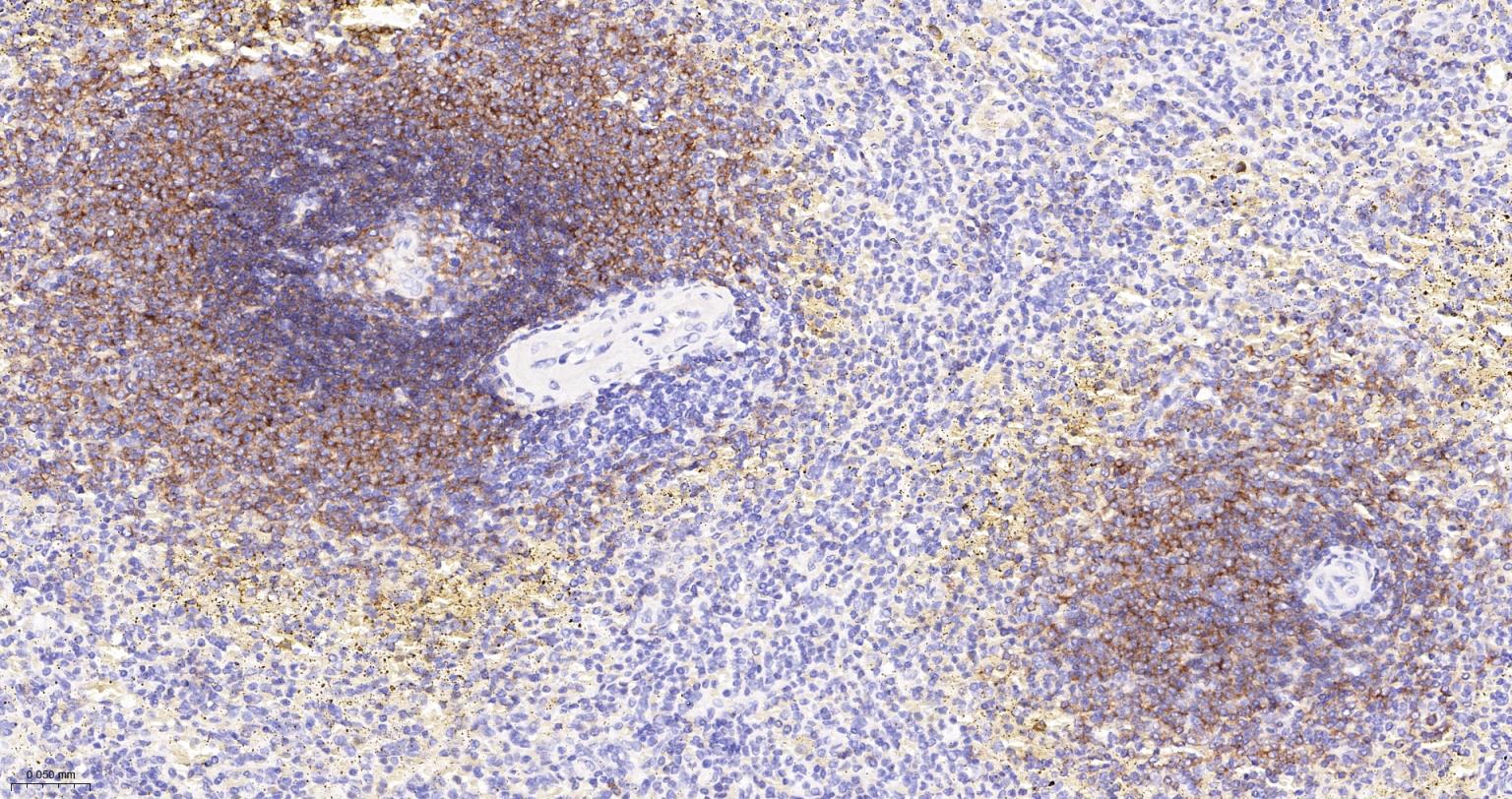
CD19是一种质膜蛋白质,参与信号传导作用。表达与前B细胞和成熟的B细胞膜表面,与B细胞的活化调节和发育调节相关,在T细胞和正常粒细胞上无表达。此抗体可以特异性识别CD19,主要用于标记正常B细胞及肿瘤性B细胞。
背景资料
This gene encodes a member of the immunoglobulin gene superfamily. Expression of this cell surface protein is restricted to B cell lymphocytes. This protein is a reliable marker for pre-B cells but its expression diminishes during terminal B cell differentiation in antibody secreting plasma cells. The protein has two N-terminal extracellular Ig-like domains separated by a non-Ig-like domain, a hydrophobic transmembrane domain, and a large C-terminal cytoplasmic domain. This protein forms a complex with several membrane proteins including complement receptor type 2 (CD21) and tetraspanin (CD81) and this complex reduces the threshold for antigen-initiated B cell activation. Activation of this B-cell antigen receptor complex activates the phosphatidylinositol 3-kinase signalling pathway and the subsequent release of intracellular stores of calcium ions. This protein is a target of chimeric antigen receptor (CAR) T-cells used in the treatment of lymphoblastic leukemia. Mutations in this gene are associated with the disease common variable immunodeficiency 3 (CVID3) which results in a failure of B-cell differentiation and impaired secretion of immunoglobulins. CVID3 is characterized by hypogammaglobulinemia, an inability to mount an antibody response to antigen, and recurrent bacterial infections. Alternative splicing results in multiple transcript variants encoding distinct isoforms. [provided by RefSeq, Jul 2020]
CD19重组兔单抗-bsm-60900RCD19重组兔单抗-bsm-60900RCD19重组兔单抗-bsm-60900RCD19重组兔单抗-bsm-60900RCD19重组兔单抗-bsm-60900RCD19重组兔单抗-bsm-60900RCD19重组兔单抗-bsm-60900RCD19重组兔单抗-bsm-60900RCD19重组兔单抗-bsm-60900R

产品应用

应用已检合格种属预测种属推荐稀释比例
WBHuman1:1000-5000
IHC-PHuman1:200-500
IHC-FHuman1:200-500
IFHuman1:200-500
Flow-CytHuman1:50-100
ICC/IFHuman1:50-200

交叉反应

交叉反应: Human

相关产品

暂无相关产品

靶标

基因名
CD19
蛋白名
B-lymphocyte antigen CD19
亚基
Forms a complex with CD21, CD81 and CD225 in the membrane of mature B-cells. Interacts with VAV. Interacts with GRB2 and SOS when phosphorylated on Tyr-348 and/or Tyr-378. Interacts with PLCG2 when phosphorylated on Tyr-409. Interacts with LYN.
亚细胞定位
Membrane; Single-pass type I membrane protein.
翻译后修饰
Phosphorylated on serine and threonine upon DNA damage, probably by ATM or ATR. Phosphorylated on tyrosine following B-cell activation. Phosphorylated on tyrosine residues by LYN.
疾病
Defects in CD19 are the cause of immunodeficiency common variable type 3 (CVID3) [MIM:613493]; also called antibody deficiency due to CD19 defect. CVID3 is a primary immunodeficiency characterized by antibody deficiency, hypogammaglobulinemia, recurrent bacterial infections and an inability to mount an antibody response to antigen. The defect results from a failure of B-cell differentiation and impaired secretion of immunoglobulins; the numbers of circulating B-cells is usually in the normal range, but can be low.
相似性
Belongs to the selectin/LECAM family.
Contains 2 Ig-like C2-type (immunoglobulin-like) domains.
功能
Assembles with the antigen receptor of B-lymphocytes in order to decrease the threshold for antigen receptor-dependent stimulation.

同靶标产品

相关文献

提示: 发表研究结果有使用 bsm-60900R 时请让我们知道,以便我们可以引用参考文章。作为回馈,资料提供者将获得我们送上的小礼品。

常见问题