Cardiovascular > Angiogenesis > Endothelial Cell Markers
Cardiovascular > Atherosclerosis > Vascular Inflammation > Leukocyte recruitment > Cell adhesion molecules
Immunology > Adaptive Immunity > Regulatory T Cells
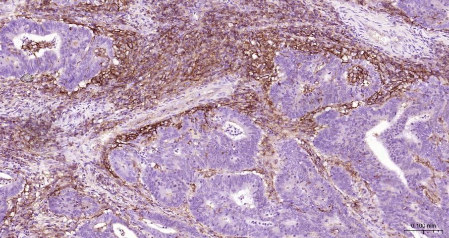
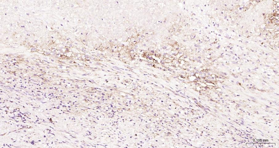
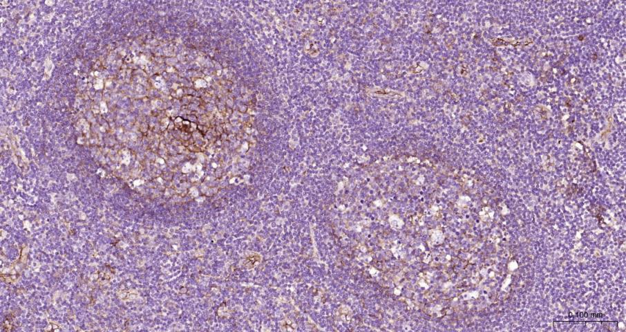
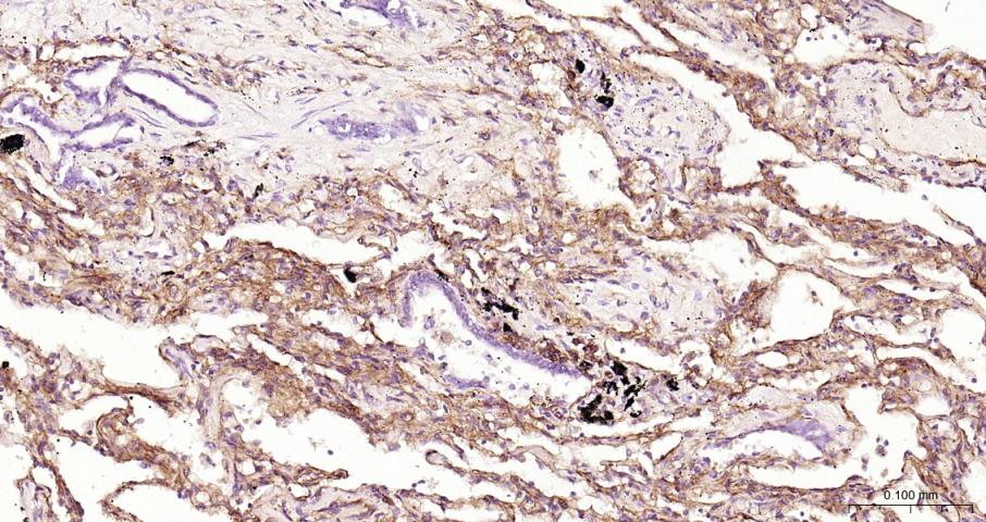
Immunology > Cell Type Markers > CD > Adhesion
Microbiology > Organism > Virus > RNA Virus > ssRNA positive strand virus > SARS Coronavirus
Stem Cells > Hematopoietic Progenitors > Lymphoid > B Lymphocytic Lineage
Stem Cells > Hematopoietic Progenitors > Lymphoid > T Lymphocytic Lineage








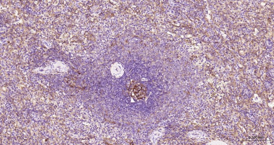
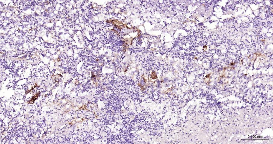
| 应用 | 已检合格种属 | 预测种属 | 推荐稀释比例 |
|---|---|---|---|
| WB | Human | 1:500-2000 | |
| IHC-P | Human | 1:100-500 | |
| IHC-F | Human | 1:100-500 | |
| IF | Human | 1:100-500 |
交叉反应: Human
暂无相关产品