CD30重组兔单抗

Rrmab?兔单抗
2026-03-02~2026-04-30,KXJ26032026-03-02~2026-04-30,促销赠品
CD30重组兔单抗
货号:bsm-54798R
产品详情
相关标记
相关产品
相关文献
常见问题

概述

产品编号
bsm-54798R
产品类型
重组兔单抗
英文名称
CD30 Recombinant Rabbit mAb
中文名称
CD30重组兔单抗
英文别名
TNR8_HUMAN; TNFRSF8; CD30L receptor; Ki-1 antigen; Lymphocyte activation antigen CD30; CD30; D1S166E;
抗体来源
Rabbit
免疫原
A synthesized peptide derived from human CD30: 570-595/595 <Cytoplasmic>
亚型
IgG
性状
Liquid
纯化方法
affinity purified by Protein A
克隆类型
Recombinant
克隆号
3A20
理论分子量
62 kDa
浓度
1mg/ml
储存液
0.01M TBS(pH7.4) with 1% BSA, 0.02% Proclin300 and 50% Glycerol.
SWISS
Gene ID
保存条件
Shipped at 4℃. Store at -20 °C for one year. Avoid repeated freeze/thaw cycles.
注意事项
This product as supplied is intended for research use only, not for use in human, therapeutic or diagnostic applications.
产品介绍
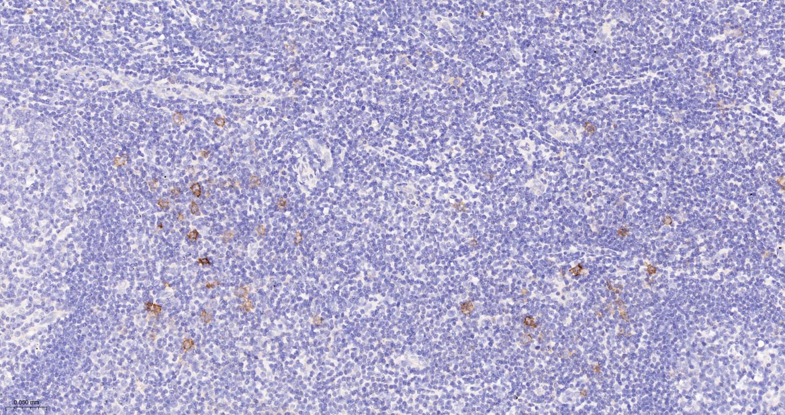
CD30是一种单链糖蛋白,标记活化T和B淋巴细胞,R-S细胞和部分淋巴滤泡间区免疫母细胞。CD30是霍奇金淋巴瘤的一个特异性标记,也是大细胞间变型淋巴瘤的诊断型标志。
背景资料
The protein encoded by this gene is a member of the TNF-receptor superfamily. This receptor is expressed by activated, but not by resting, T and B cells. TRAF2 and TRAF5 can interact with this receptor, and mediate the signal transduction that leads to the activation of NF-kappaB. This receptor is a positive regulator of apoptosis, and also has been shown to limit the proliferative potential of autoreactive CD8 effector T cells and protect the body against autoimmunity. Two alternatively spliced transcript variants of this gene encoding distinct isoforms have been reported. [provided by RefSeq, Jul 2008]
CD30重组兔单抗CD30重组兔单抗

产品应用

应用已检合格种属预测种属推荐稀释比例
WBHuman1:1000-5000
IHC-PHuman1:100-500
IHC-FHuman1:100-500
IFHuman1:100-500

交叉反应

交叉反应: Human

相关产品

暂无相关产品

靶标

基因名
TNFRSF8
蛋白名
Tumor necrosis factor receptor superfamily member 8
亚基
Interacts with TRAF1, TRAF2, TRAF3 and TRAF5.
亚细胞定位
Isoform Long: Cell membrane; Single-pass type I membrane protein.
Isoform Short: Cytoplasm.
组织特异性
Detected in thymus and in activated splenocytes.
翻译后修饰
Phosphorylated on serine and tyrosine residues.
相似性
Contains 6 TNFR-Cys repeats
功能
Receptor for TNFSF8/CD30L. May play a role in the regulation of cellular growth and transformation of activated lymphoblasts. Regulates gene expression through activation of NF-kappa-B.

标记抗体

暂无标记数据

同靶标产品

暂无同靶标产品

相关文献

提示: 发表研究结果有使用 bsm-54798R 时请让我们知道,以便我们可以引用参考文章。作为回馈,资料提供者将获得我们送上的小礼品。

暂无相关文献

常见问题

暂无常见问题