胶质细胞谷氨酸运载蛋白1重组兔单抗

Rrmab?兔单抗
2026-03-02~2026-04-30,KXJ26032026-03-02~2026-04-30,促销赠品
胶质细胞谷氨酸运载蛋白1重组兔单抗
货号:bsm-60880R
产品详情
相关标记
相关产品
相关文献
常见问题

概述

产品编号
bsm-60880R
产品类型
重组兔单抗、mIHC精品抗体
英文名称
EAAT1 Recombinant Rabbit mAb
中文名称
胶质细胞谷氨酸运载蛋白1重组兔单抗
英文别名
EAA1_HUMAN; SLC1A3; Sodium-dependent glutamate/aspartate transporter 1 (GLAST-1); Solute carrier family 1 member 3; EAAT1; GLAST; GLAST1; EAA1_MOUSE; Glial high affinity glutamate transporter; High-affinity neuronal glutamate transporter (GluT-1); Gmt1; EAA1_RAT; Glial glutamate transporter; Sodium-dependent glutamate/aspartate transporter 1 (GLAST | GLAST-1);
抗体来源
Rabbit
免疫原
A synthesized peptide derived from human EAAT1: 170-222
亚型
IgG
性状
Liquid
纯化方法
affinity purified by Protein A
克隆类型
Recombinant
克隆号
15B20
理论分子量
60 kDa
浓度
1mg/ml
储存液
0.01M TBS(pH7.4) with 1% BSA, 0.02% Proclin300 and 50% Glycerol.
SWISS
Gene ID
保存条件
Shipped at 4℃. Store at -20 °C for one year. Avoid repeated freeze/thaw cycles.
注意事项
This product as supplied is intended for research use only, not for use in human, therapeutic or diagnostic applications.
产品介绍
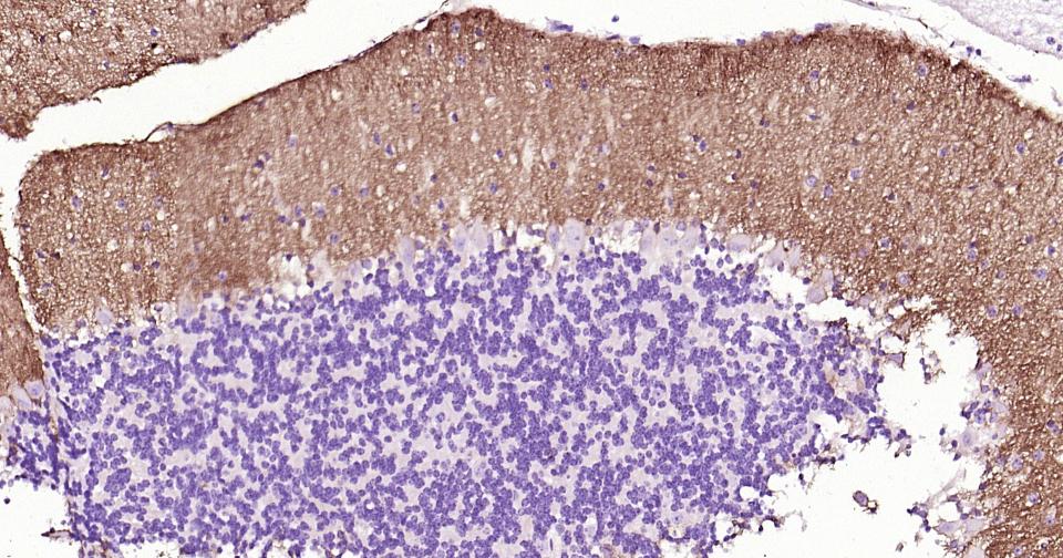
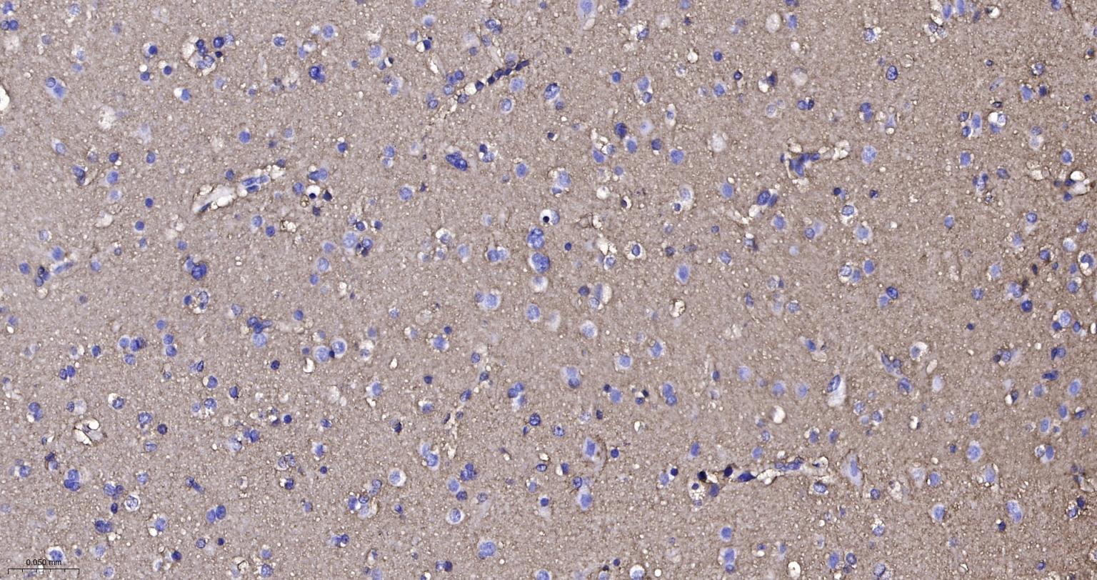
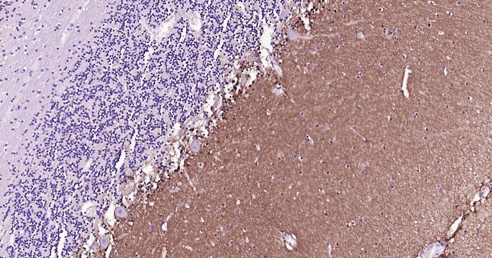
EAAT-1主要用于神经胶质细胞的损伤及退变方面的研究.
背景资料
This gene encodes a member of a member of a high affinity glutamate transporter family. This gene functions in the termination of excitatory neurotransmission in central nervous system. Mutations are associated with episodic ataxia, Type 6. Alternative splicing results in multiple transcript variants.[provided by RefSeq, Feb 2014]
胶质细胞谷氨酸运载蛋白1重组兔单抗胶质细胞谷氨酸运载蛋白1重组兔单抗胶质细胞谷氨酸运载蛋白1重组兔单抗胶质细胞谷氨酸运载蛋白1重组兔单抗胶质细胞谷氨酸运载蛋白1重组兔单抗胶质细胞谷氨酸运载蛋白1重组兔单抗胶质细胞谷氨酸运载蛋白1重组兔单抗胶质细胞谷氨酸运载蛋白1重组兔单抗胶质细胞谷氨酸运载蛋白1重组兔单抗胶质细胞谷氨酸运载蛋白1重组兔单抗

产品应用

应用已检合格种属预测种属推荐稀释比例
WBHuman, Mouse, Rat1:1000-2000
IHC-PHuman, Mouse, Rat1:200-800
IHC-FHuman, Mouse, Rat1:200-800
IFHuman, Mouse, Rat1:200-800

交叉反应

交叉反应: Human, Mouse, Rat

相关产品

暂无相关产品

靶标

基因名
SLC1A3
蛋白名
Excitatory amino acid transporter 1
亚细胞定位
Membrane; Multi-pass membrane protein
组织特异性
Highly expressed in cerebellum, but also found in frontal cortex, hippocampus and basal ganglia.
翻译后修饰
Glycosylated.
疾病
Defects in SLC1A3 are the cause of episodic ataxia type 6 (EA6) [MIM:612656]. EA6 is characterized by episodic ataxia, seizures, migraine and alternating hemiplegia.
相似性
Belongs to the sodium:dicarboxylate (SDF) symporter (TC 2.A.23) family. SLC1A3 subfamily.
功能
Transports L-glutamate and also L- and D-aspartate. Essential for terminating the postsynaptic action of glutamate by rapidly removing released glutamate from the synaptic cleft. Acts as a symport by cotransporting sodium.

标记抗体

暂无标记数据

同靶标产品

暂无同靶标产品

相关文献

提示: 发表研究结果有使用 bsm-60880R 时请让我们知道,以便我们可以引用参考文章。作为回馈,资料提供者将获得我们送上的小礼品。

暂无相关文献

常见问题

暂无常见问题