IV型胶原蛋白重组兔单抗

Rrmab?兔单抗
2026-03-02~2026-04-30,KXJ26032026-03-02~2026-04-30,促销赠品
IV型胶原蛋白重组兔单抗
货号:bsm-56208R
产品详情
相关标记
相关产品
相关文献
常见问题

概述

产品编号
bsm-56208R
产品类型
重组兔单抗、mIHC精品抗体
英文名称
Collagen IV Recombinant Rabbit mAb
中文名称
IV型胶原蛋白重组兔单抗
英文别名
BSVD; BSVD1; COL4A1s; PADMAL; RATOR; CO4A1_HUMAN; COL4A1;
抗体来源
Rabbit
免疫原
KLH conjugated synthetic peptide derived from human Collagen IV
亚型
IgG
性状
Liquid
纯化方法
affinity purified by Protein A
克隆类型
Recombinant
克隆号
9E4
理论分子量
161 kDa
浓度
1mg/ml
储存液
PBS (pH7.2) with 40% Glycerol, 0.05% BSA and 0.02% Proclin300.
SWISS
Gene ID
保存条件
Shipped at 4℃. Store at -20℃ for one year. Avoid repeated freeze/thaw cycles.
注意事项
This product as supplied is intended for research use only, not for use in human, therapeutic or diagnostic applications.
产品介绍
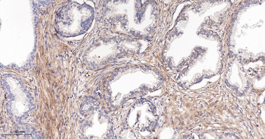
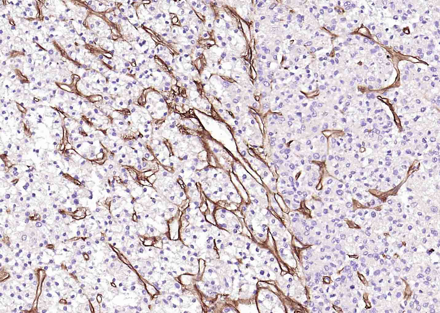
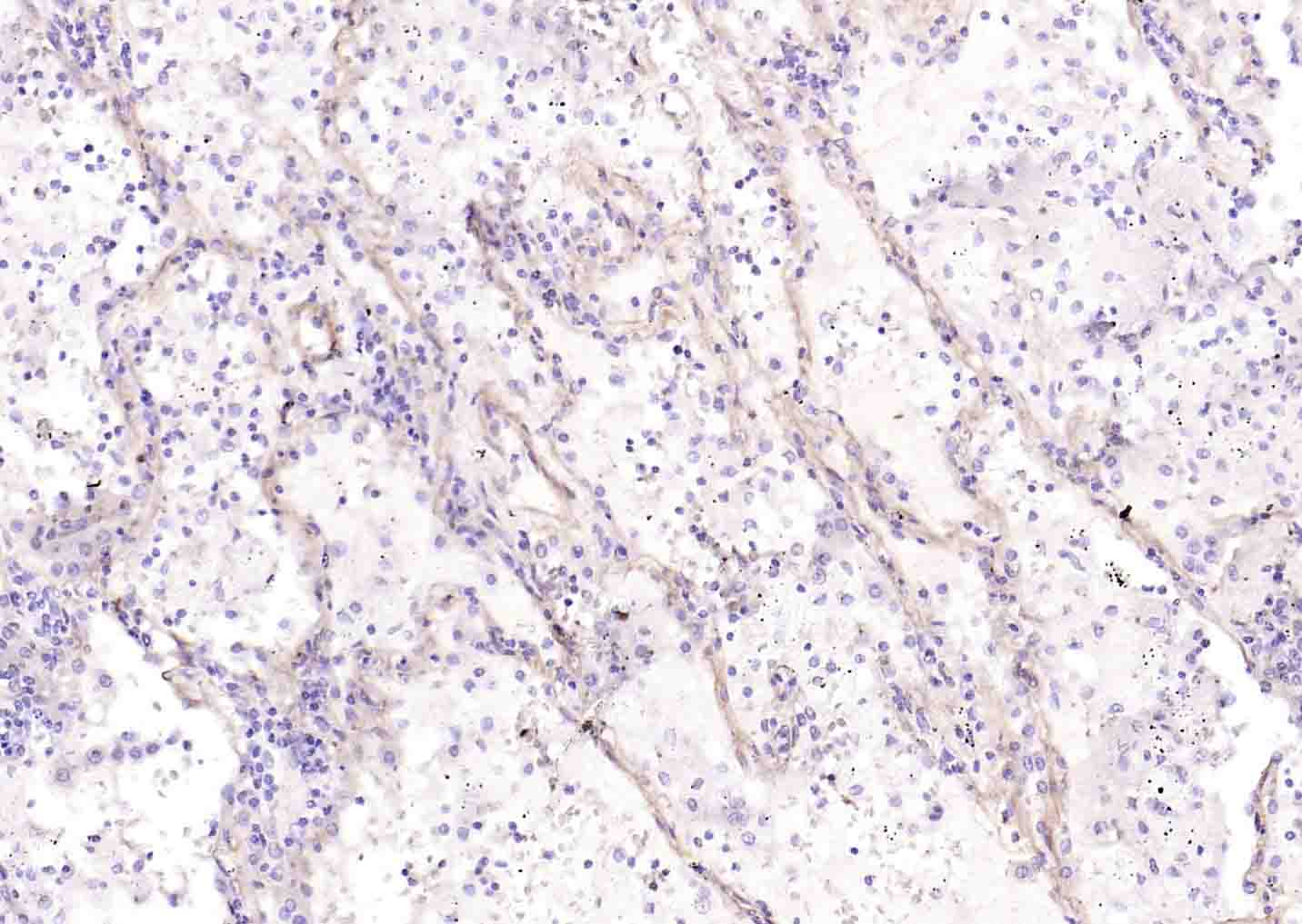
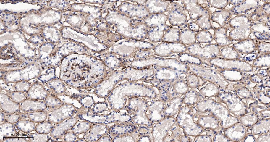
IV型胶原为基底膜的主要成分,主要用于各种良恶性组织(乳腺癌、胃肠道癌等)中基底膜分布情况的研究.IV型胶原是构成基底膜的主要成分。该抗体可特异性识别人的IV型胶原,与人类皮肤、肾、肌肉、脾、淋巴结、胎盘和肺的基底膜呈阳性反应,主要用于各种组织癌症中基底膜情况的研究。
背景资料
This gene encodes the major type IV alpha collagen chain of basement membranes. Like the other members of the type IV collagen gene family, this gene is organized in a head-to-head conformation with another type IV collagen gene so that each gene pair shares a common promoter. [provided by RefSeq, Jul 2008]
IV型胶原蛋白重组兔单抗IV型胶原蛋白重组兔单抗IV型胶原蛋白重组兔单抗IV型胶原蛋白重组兔单抗IV型胶原蛋白重组兔单抗

产品应用

应用已检合格种属预测种属推荐稀释比例
IHC-PHuman1:200-1000
IHC-FHuman1:200-1000
IFHuman1:200-1000

交叉反应

交叉反应: Human

相关产品

暂无相关产品

靶标

基因名
COL4A1
蛋白名
Collagen alpha-1(IV) chain
亚基
There are six type IV collagen isoforms, alpha 1(IV)-alpha 6(IV), each of which can form a triple helix structure with 2 other chains to generate type IV collagen network.
亚细胞定位
Secreted, extracellular space, extracellular matrix, basement membrane.
组织特异性
Highly expressed in placenta.
翻译后修饰
Lysines at the third position of the tripeptide repeating unit (G-X-Y) are hydroxylated in all cases and bind carbohydrates.
Prolines at the third position of the tripeptide repeating unit (G-X-Y) are hydroxylated in some or all of the chains.
Type IV collagens contain numerous cysteine residues which are involved in inter- and intramolecular disulfide bonding. 12 of these, located in the NC1 domain, are conserved in all known type IV collagens.
The trimeric structure of the NC1 domains is stabilized by covalent bonds between Lys and Met residues.
Proteolytic processing produces the C-terminal NC1 peptide, arresten.
疾病
Defects in COL4A1 are a cause of brain small vessel disease with hemorrhage (BSVDH) [MIM:607595]. Brain small vessel diseases underlie 20 to 30 percent of ischemic strokes and a larger proportion of intracerebral hemorrhages. Inheritance is autosomal dominant.
Defects in COL4A1 are the cause of hereditary angiopathy with nephropathy aneurysms and muscle cramps (HANAC) [MIM:611773]. The clinical renal manifestations include hematuria and bilateral large cysts. Histologic analysis revealed complex basement membrane defects in kidney and skin. The systemic angiopathy appears to affect both small vessels and large arteries.
Defects in COL4A1 are a cause of familial porencephaly (POREN1) [MIM:175780]. Porencephaly is a term used for any cavitation or cerebrospinal fluid-filled cyst in the brain. Porencephaly type 1 is usually unilateral and results from focal destructive lesions such as fetal vascular occlusion or birth trauma. Type 2, or schizencephalic porencephaly, is usually symmetric and represents a primary defect or arrest in the development of the cerebral ventricles.
相似性
Contains 1 FAD-binding FR-type domain.
Contains 1 ferric oxidoreductase domain.
功能
Type IV collagen is the major structural component of glomerular basement membranes (GBM), forming a 'chicken-wire' meshwork together with laminins, proteoglycans and entactin/nidogen.
Arresten, comprising the C-terminal NC1 domain, inhibits angiogenesis and tumor formation. The C-terminal half is found to possess the anti-angiogenic activity. Specifically inhibits endothelial cell proliferation, migration and tube formation. Inhibits expression of hypoxia-inducible factor 1alpha and ERK1/2 and p38 MAPK activation. Ligand for alpha1/beta1 integrin.

标记抗体

暂无标记数据

同靶标产品

暂无同靶标产品

相关文献

提示: 发表研究结果有使用 bsm-56208R 时请让我们知道,以便我们可以引用参考文章。作为回馈,资料提供者将获得我们送上的小礼品。
具体参考文献:bsm-56208R 被引用于1文献中

暂无相关文献

常见问题

暂无常见问题