肌细胞生成素重组兔单抗

Rrmab?兔单抗
2026-03-02~2026-04-30,KXJ26032026-03-02~2026-04-30,促销赠品
肌细胞生成素重组兔单抗
货号:bsm-56206R
产品详情
相关标记
相关产品
相关文献
常见问题

概述

产品编号
bsm-56206R
产品类型
重组兔单抗、mIHC精品抗体
英文名称
Myogenin Recombinant Rabbit mAb
中文名称
肌细胞生成素重组兔单抗
英文别名
MYF4; bHLHc3; myf-4; myo; MYOG_HUMAN; MYOG; Class C basic helix-loop-helix protein 3 (bHLHc3); Myogenic factor 4 (Myf-4); MYOG_MOUSE; MYOD1-related protein; MYOG_PIG; MYOG_RAT;
抗体来源
Rabbit
免疫原
A synthesized peptide derived from human Myogenin: 1-48
亚型
IgG
性状
Liquid
纯化方法
affinity purified by Protein A
克隆类型
Recombinant
克隆号
2B16
理论分子量
25 kDa
浓度
1mg/ml
储存液
0.01M TBS (pH7.4) with 1% BSA, 0.02% Proclin300 and 50% Glycerol.
SWISS
Gene ID
保存条件
Shipped at 4℃. Store at -20℃ for one year. Avoid repeated freeze/thaw cycles.
注意事项
This product as supplied is intended for research use only, not for use in human, therapeutic or diagnostic applications.
产品介绍
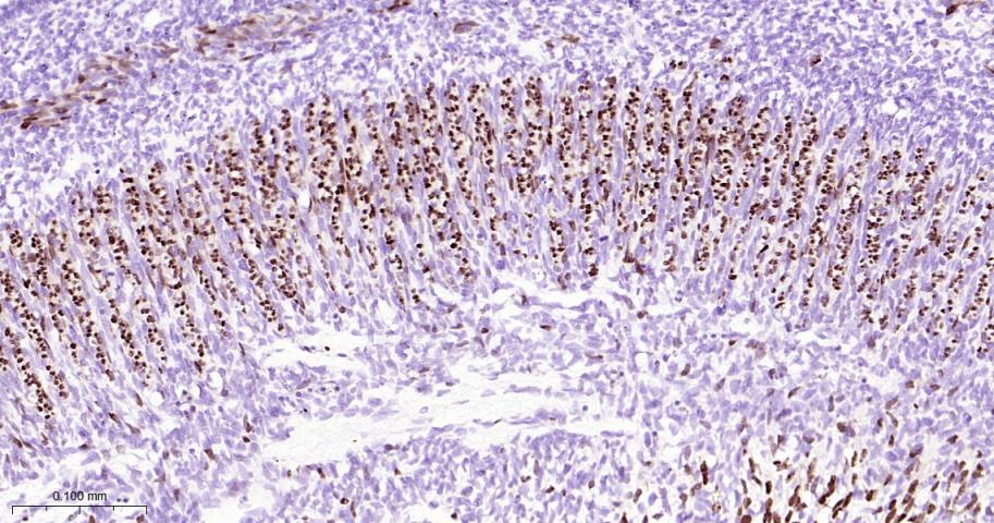
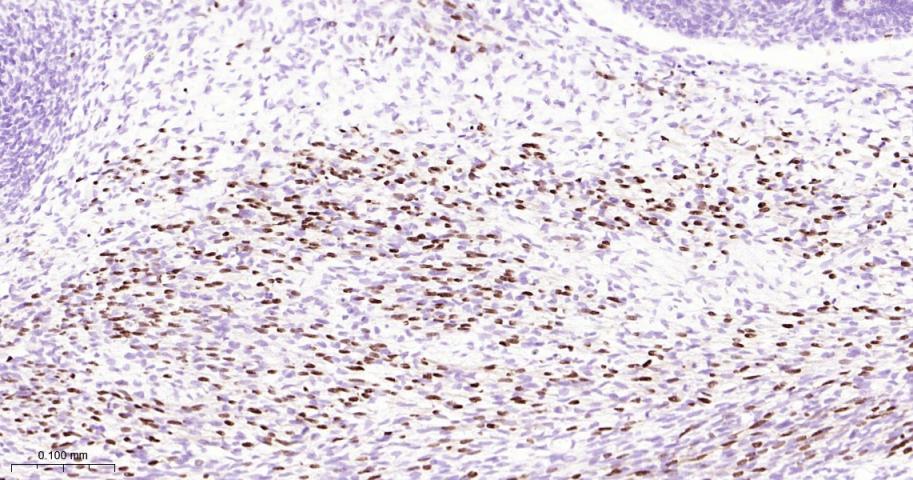
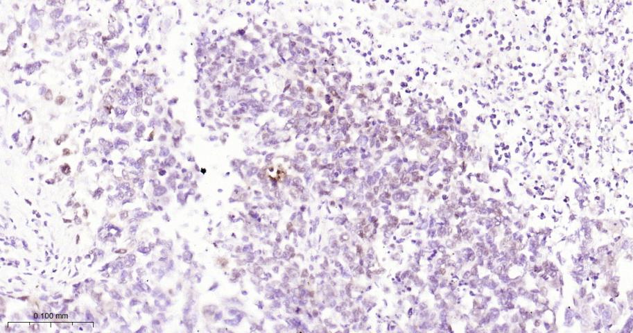
MYOG是肌肉中运载氧的蛋白质,由153个氨基酸残基组成,一种小分子蛋白质,含有血红素,和血红蛋白同源,与氧的结合能力介于血红蛋白和细胞色素氧化酶之间,可帮助肌细胞将氧转运到线粒体。 肌细胞生成素在成肌分化过程中起着决定性的作用。在人体骨骼肌的胚胎发育过程中 ,肌细胞生成素伴随成肌过程而呈高水平表达。MYOG主要由肾脏代谢并排泄,当心肌或横纹肌有损伤时,肌红蛋白便释放入血中,血清中的肌红蛋白即可明显升高。
背景资料
Myogenin is a member of a family of myogenic regulatory genes, which includes MyoD, myf5 and MRF4. These genes encode a set of transcription factors, which are essential for muscle development. Transfection of myogenin into multipotential mesodermal cells have been shown to convert the mesodermal cells to myoblasts. Expression of myogenin is restricted to cells of skeletal muscle origin. It is therefore a useful marker for tumors of the muscle lineage, being strongly expressed in alveolar rhabdomyosarcomas.
肌细胞生成素重组兔单抗肌细胞生成素重组兔单抗肌细胞生成素重组兔单抗肌细胞生成素重组兔单抗

产品应用

应用已检合格种属预测种属推荐稀释比例
WBHumanMouse, Rat1:500-2000
IHC-PHuman, Mouse, Rat1:50-200
IHC-FHuman, Mouse, Rat1:50-200
IFHuman, Mouse, Rat1:50-200
Flow-CytHuman, Mouse, Rat1:50-100

交叉反应

交叉反应: Human, Mouse, Rat

相关产品

暂无相关产品

靶标

基因名
MYOG
蛋白名
Myogenin
亚基
Homodimer and heterodimer with E12; heterodimerization enhances MYOG DNA-binding and transcriptional activities. Interacts with SMARCA4/BRG1/BAF190A. Interacts (via C-terminus region) with SSRP1 and SUPT16H; the interaction is indicative of an interaction with the FACT complex.
亚细胞定位
Nucleus. Note=Recruited to late myogenic gene promoter regulatory sequences with SMARCA4/BRG1/BAF190A and SWI/SNF chromatin-remodeling enzymes to promote chromatin-remodeling and transcription initiation in developing embryos.
翻译后修饰
Phosphorylated by CAMK2G on threonine and serine amino acids in a muscle activity-dependent manner. Phosphorylation of Thr-87 impairs both DNA-binding and trans-activation functions in contracting muscles.
相似性
Contains 1 bHLH (basic helix-loop-helix) domain.
功能
Acts as a transcriptional activator that promotes transcription of muscle-specific target genes and plays a role in muscle differentiation, cell cycle exit and muscle atrophy. Essential for the development of functional embryonic skeletal fiber muscle differentiation. However is dispensable for postnatal skeletal muscle growth; phosphorylation by CAMK2G inhibits its transcriptional activity in respons to muscle activity. Required for the recruitment of the FACT complex to muscle-specific promoter regions, thus promoting gene expression initiation. During terminal myoblast differentiation, plays a role as a strong activator of transcription at loci with an open chromatin structure previously initiated by MYOD1. Together with MYF5 and MYOD1, co-occupies muscle-specific gene promoter core regions during myogenesis. Cooperates also with myocyte-specific enhancer factor MEF2D and BRG1-dependent recruitment of SWI/SNF chromatin-remodeling enzymes to alter chromatin structure at myogenic late gene promoters. Facilitates cell cycle exit during terminal muscle differentiation through the up-regulation of miR-20a expression, which in turn represses genes involved in cell cycle progression. Binds to the E-box containing (E1) promoter region of the miR-20a gene. Plays also a role in preventing reversal of muscle cell differentiation. Contributes to the atrophy-related gene expression in adult denervated muscles. Induces fibroblasts to differentiate into myoblasts.

标记抗体

暂无标记数据

同靶标产品

暂无同靶标产品

相关文献

提示: 发表研究结果有使用 bsm-56206R 时请让我们知道,以便我们可以引用参考文章。作为回馈,资料提供者将获得我们送上的小礼品。

暂无相关文献

常见问题

暂无常见问题