肉毒碱棕榈酰基转移酶2重组兔单抗

Rrmab?兔单抗
2026-03-02~2026-04-30,KXJ26032026-03-02~2026-04-30,促销赠品
肉毒碱棕榈酰基转移酶2重组兔单抗
货号:bsm-52621R
产品详情
相关标记
相关产品
相关文献
常见问题

概述

产品编号
bsm-52621R
产品类型
重组兔单抗、mIHC精品抗体
英文名称
CPT2 Recombinant Rabbit mAb
中文名称
肉毒碱棕榈酰基转移酶2重组兔单抗
英文别名
CPT1; CPTASE; IIAE4; CPTII; CPT2_HUMAN; CPT2; Carnitine palmitoyltransferase II (CPT II); 2.3.1.21; CPT2_MOUSE; Cpt-2; CPT2_RAT;
抗体来源
Rabbit
免疫原
A synthesized peptide derived from human CPT2: 600-658
亚型
IgG
性状
Liquid
纯化方法
affinity purified by Protein A
克隆类型
Recombinant
克隆号
3B10
理论分子量
71 kDa
浓度
1mg/ml
储存液
0.01M TBS (pH7.4) with 1% BSA, 0.02% Proclin300 and 50% Glycerol.
SWISS
Gene ID
保存条件
Shipped at 4℃. Store at -20℃ for one year. Avoid repeated freeze/thaw cycles.
注意事项
This product as supplied is intended for research use only, not for use in human, therapeutic or diagnostic applications.
背景资料
The protein encoded by this gene is a nuclear protein which is transported to the mitochondrial inner membrane. Together with carnitine palmitoyltransferase I, the encoded protein oxidizes long-chain fatty acids in the mitochondria. Defects in this gene are associated with mitochondrial long-chain fatty-acid (LCFA) oxidation disorders. [provided by RefSeq, Jul 2008].
肉毒碱棕榈酰基转移酶2重组兔单抗肉毒碱棕榈酰基转移酶2重组兔单抗肉毒碱棕榈酰基转移酶2重组兔单抗肉毒碱棕榈酰基转移酶2重组兔单抗肉毒碱棕榈酰基转移酶2重组兔单抗肉毒碱棕榈酰基转移酶2重组兔单抗肉毒碱棕榈酰基转移酶2重组兔单抗肉毒碱棕榈酰基转移酶2重组兔单抗肉毒碱棕榈酰基转移酶2重组兔单抗肉毒碱棕榈酰基转移酶2重组兔单抗肉毒碱棕榈酰基转移酶2重组兔单抗

产品应用

应用已检合格种属预测种属推荐稀释比例
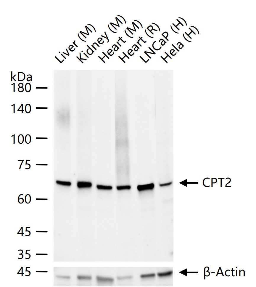
WBHuman, Mouse, Rat1:500-2000
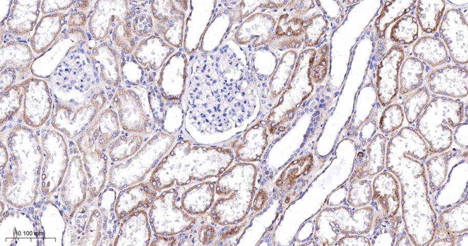
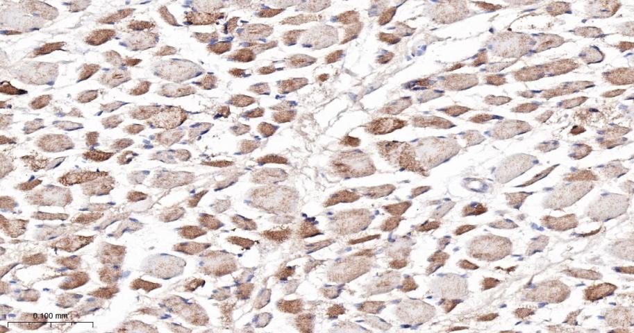
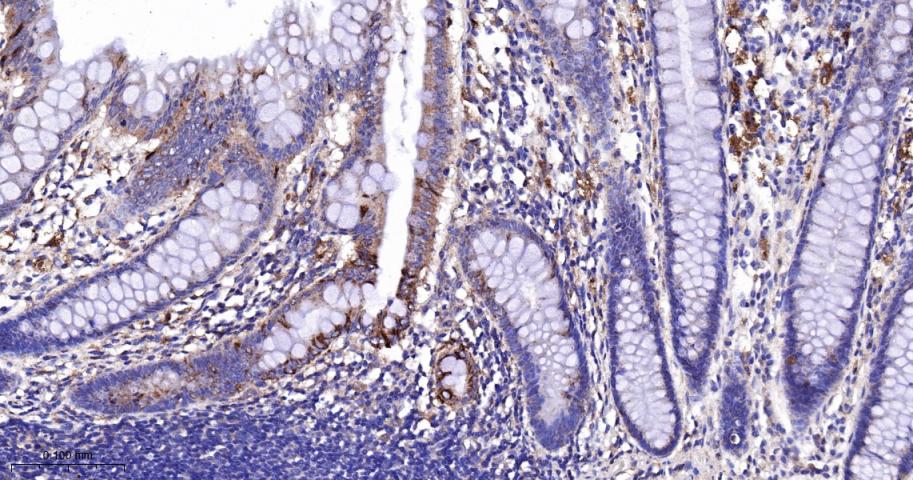
IHC-PHuman, MouseRat1:50-200
IHC-FHuman, MouseRat1:50-200
IFHuman, MouseRat1:50-200
ICC/IFHuman, Mouse, Rat1:50-200

交叉反应

交叉反应: Human, Mouse, Rat

相关产品

暂无相关产品

靶标

基因名
CPT2
蛋白名
Carnitine O-palmitoyltransferase 2, mitochondrial
亚细胞定位
Mitochondrion inner membrane; Peripheral membrane protein; Matrix side.
疾病
Carnitine palmitoyltransferase 2 deficiency late-onset (CPT2D) [MIM:255110]: Autosomal recessive disorder characterized by recurrent myoglobinuria, episodes of muscle pain, stiffness, and rhabdomyolysis. These symptoms are triggered by prolonged exercise, fasting or viral infection and patients are usually young adults. In addition to this classical, late-onset, muscular type, a hepatic or hepatocardiomuscular form has been reported in infants. Clinical pictures in these children or neonates include hypoketotic hypoglycemia, liver dysfunction, cardiomyopathy and sudden death. Note=The disease is caused by mutations affecting the gene represented in this entry.
Carnitine palmitoyltransferase 2 deficiency infantile (CPT2DI) [MIM:600649]: A disorder of mitochondrial long-chain fatty acid oxidation characterized by hepatic or hepato-cardio-muscular manifestations with onset in infancy. Clinical features include hypoketotic hypoglycemia, lethargy, seizures, hepatomegaly, liver dysfunction, cardiomegaly and dilated cardiomyopathy. Note=The disease is caused by mutations affecting the gene represented in this entry.
Carnitine palmitoyltransferase 2 deficiency lethal neonatal (CPT2D-LN) [MIM:608836]: Lethal neonatal form of CPT2D. This rarely presentation is antenatal with cerebral periventricular cysts and cystic dysplastic kidneys. The clinical variability of the disease is likely attributed to the variable residual enzymatic activity. Note=The disease is caused by mutations affecting the gene represented in this entry.
Encephalopathy, acute, infection-induced, 4 (IIAE4) [MIM:614212]: A severe neurologic complication of an infection. It manifests within days in otherwise healthy children after common viral infections, without evidence of viral infection of the brain or inflammatory cell infiltration. In affected children, high-grade fever is accompanied within 12 to 48 hours by febrile convulsions, often leading to coma, multiple-organ failure, brain edema, and high morbidity and mortality. The infections are usually viral, particularly influenza, although other viruses and even mycoplasma have been found to cause the disorder. Note=Disease susceptibility is associated with variations affecting the gene represented in this entry. CPT2 polymorphic variants do not cause classical carnitine palmitoyltransferase 2 deficiency, and patients harboring any of them are asymptomatic most of the time. However, they are prone to viral infection (high fever)-related encephalopathy (PubMed:21697855).
相似性
Belongs to the carnitine/choline acetyltransferase family.

标记抗体

暂无标记数据

同靶标产品

暂无同靶标产品

相关文献

提示: 发表研究结果有使用 bsm-52621R 时请让我们知道,以便我们可以引用参考文章。作为回馈,资料提供者将获得我们送上的小礼品。

暂无相关文献

常见问题

暂无常见问题