ZO-1/TJP1 Recombinant Rabbit mAb (一抗) - IHC-P,IHC-F,IF,Flow-Cyt,ICC/IF | Bioss

Rrmab?兔单抗
2026-05-01~2026-06-30,AB2605
ZO-1/TJP1 Recombinant Rabbit mAb (一抗) - IHC-P,IHC-F,IF,Flow-Cyt,ICC/IF | Bioss
货号:bsm-42209R
产品详情
相关标记
相关产品
相关文献
常见问题

概述

产品编号
bsm-42209R
产品类型
重组兔单抗
英文名称
ZO-1/TJP1 Recombinant Rabbit mAb
中文名称
胞质紧密粘连蛋白1/闭锁小带蛋白1重组兔单抗
英文别名
ZO-1; ZO1; ZO1_HUMAN; TJP1; Tight junction protein ZO-1; Zona occludens protein 1; Zonula occludens protein 1; ZO1_MOUSE; tight junction protein 1; zona occludens 1
抗体来源
Rabbit
免疫原
Recombinant human ZO-1 protein: 24-245/1748
亚型
IgG
性状
Liquid
纯化方法
affinity purified by Protein A
克隆类型
Recombinant
克隆号
9E12
理论分子量
191 kDa
浓度
1mg/ml
储存液
0.01M TBS (pH7.4) with 1% BSA, 0.02% Proclin300 and 50% Glycerol.
SWISS
Gene ID
保存条件
Shipped at 4℃. Store at -20℃ for one year. Avoid repeated freeze/thaw cycles.
注意事项
This product as supplied is intended for research use only, not for use in human, therapeutic or diagnostic applications.
产品介绍
胞质紧密粘连蛋白1(ZO-1)是多结构域蛋白家族膜结合鸟苷酸激酶的家族成员,在紧密连接蛋白的组成成分中起到对组织分化和器官形成方面起较重要的作用。ZO-1在包括肾、胎盘、血脑屏障等许多组织都有不同的表达,可与紧密连接上的很多跨膜蛋白相互作用。也有学者认为:ZO-1的改变与细胞通透性的增加有关。
背景资料
This gene encodes a member of the membrane-associated guanylate kinase (MAGUK) family of proteins, and acts as a tight junction adaptor protein that also regulates adherens junctions. Tight junctions regulate the movement of ions and macromolecules between endothelial and epithelial cells. The multidomain structure of this scaffold protein, including a postsynaptic density 95/disc-large/zona occludens (PDZ) domain, a Src homology (SH3) domain, a guanylate kinase (GuK) domain and unique (U) motifs all help to co-ordinate binding of transmembrane proteins, cytosolic proteins, and F-actin, which are required for tight junction function. Alternative splicing results in multiple transcript variants encoding different isoforms. [provided by RefSeq, Aug 2017]
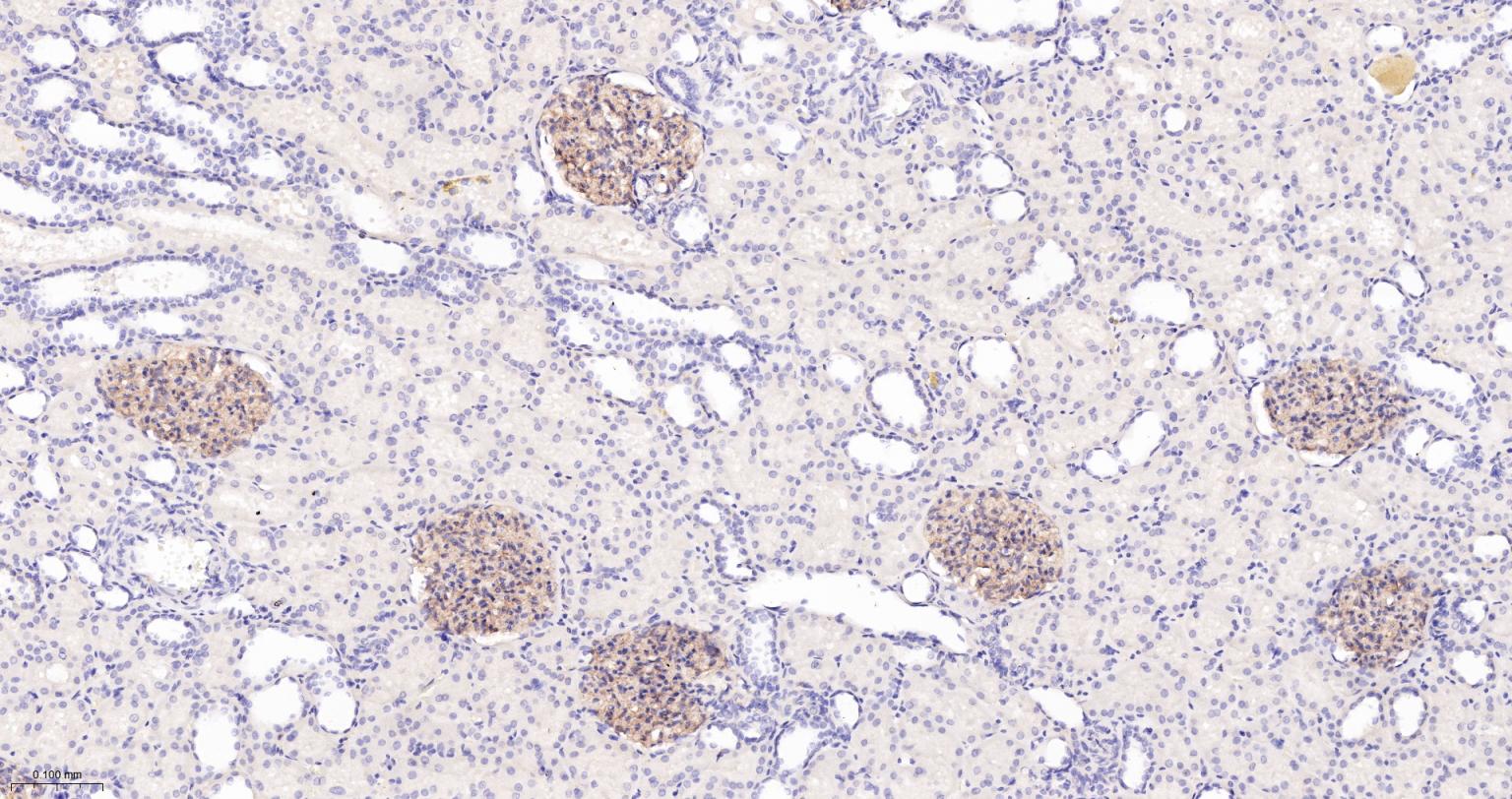
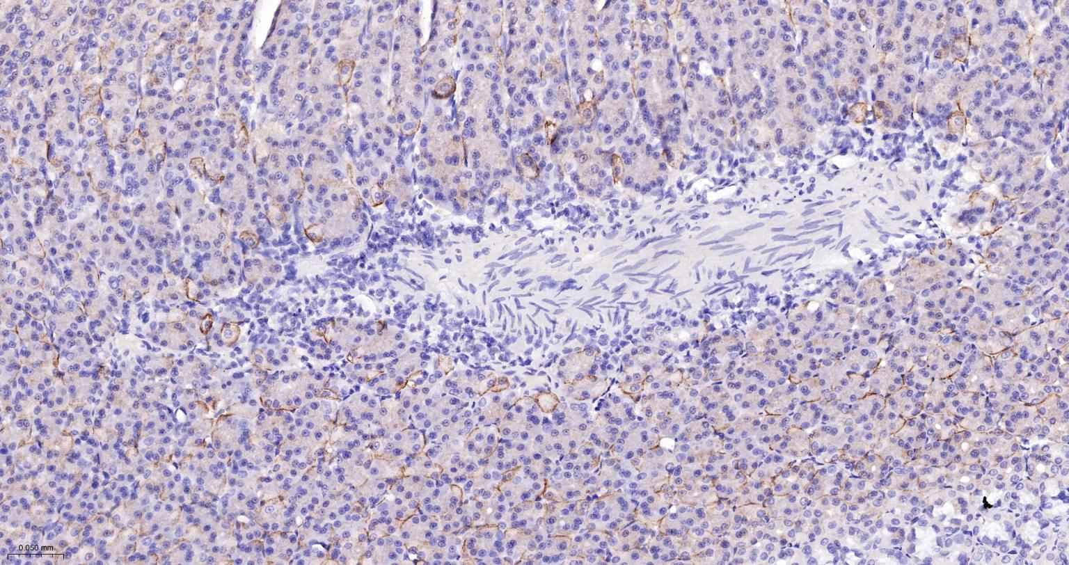
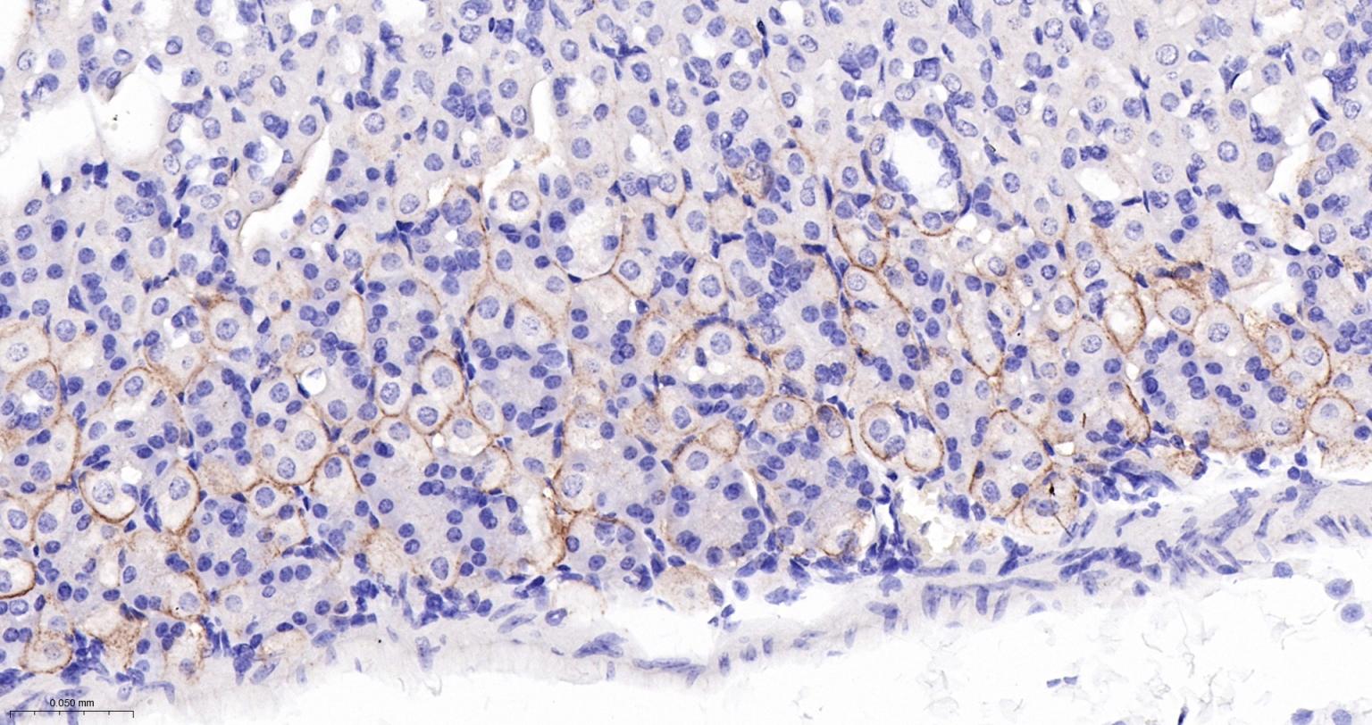
胞质紧密粘连蛋白1/闭锁小带蛋白1重组兔单抗-bsm-42209R胞质紧密粘连蛋白1/闭锁小带蛋白1重组兔单抗-bsm-42209R胞质紧密粘连蛋白1/闭锁小带蛋白1重组兔单抗-bsm-42209R胞质紧密粘连蛋白1/闭锁小带蛋白1重组兔单抗-bsm-42209R胞质紧密粘连蛋白1/闭锁小带蛋白1重组兔单抗-bsm-42209R胞质紧密粘连蛋白1/闭锁小带蛋白1重组兔单抗-bsm-42209R胞质紧密粘连蛋白1/闭锁小带蛋白1重组兔单抗-bsm-42209R胞质紧密粘连蛋白1/闭锁小带蛋白1重组兔单抗-bsm-42209R胞质紧密粘连蛋白1/闭锁小带蛋白1重组兔单抗-bsm-42209R胞质紧密粘连蛋白1/闭锁小带蛋白1重组兔单抗-bsm-42209R胞质紧密粘连蛋白1/闭锁小带蛋白1重组兔单抗-bsm-42209R胞质紧密粘连蛋白1/闭锁小带蛋白1重组兔单抗-bsm-42209R

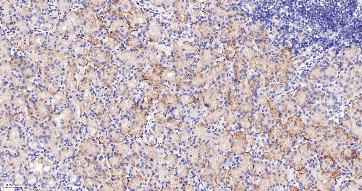
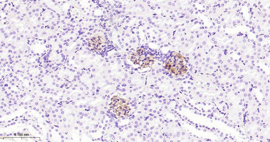
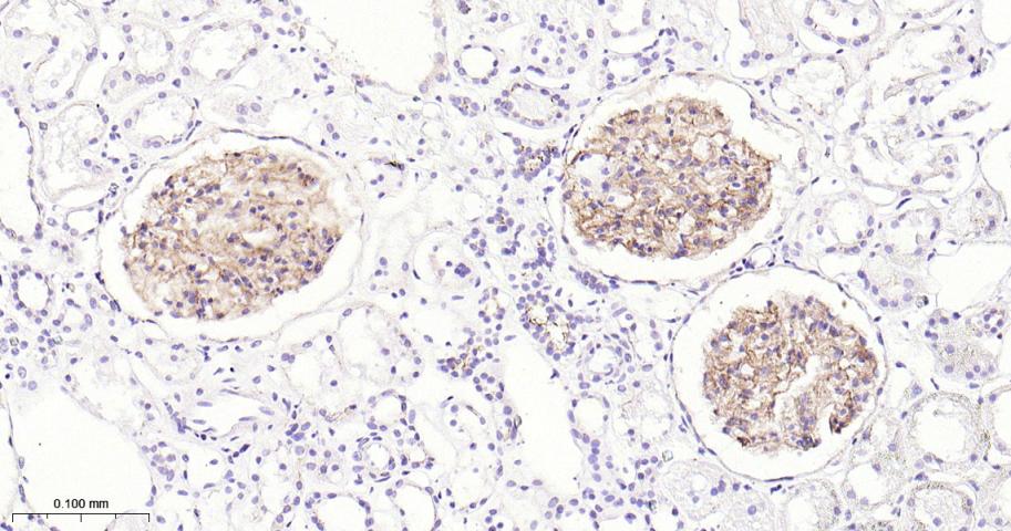
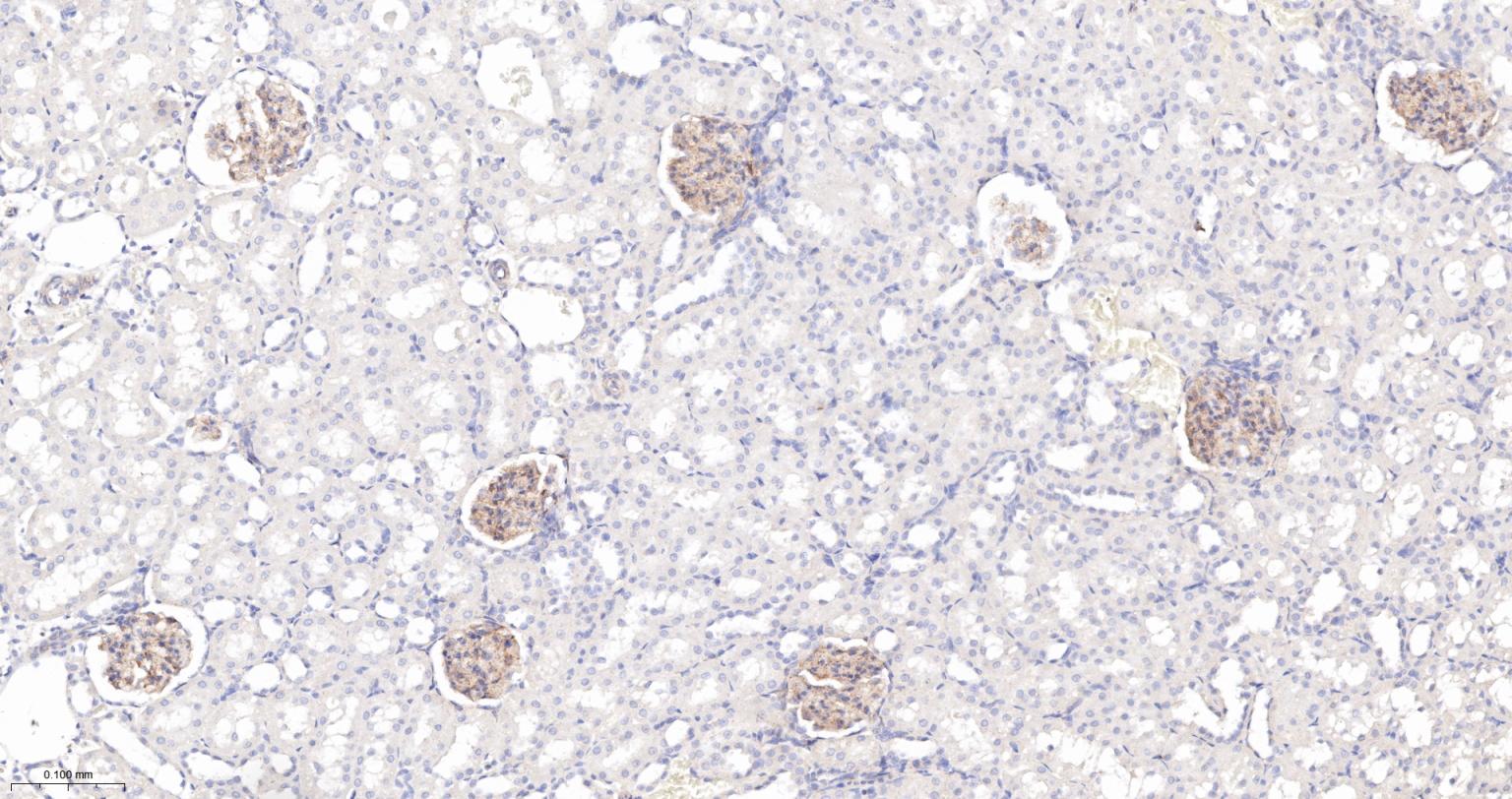
产品应用

应用已检合格种属预测种属推荐稀释比例
IHC-PHuman, Mouse, Rat1:200-500
IHC-FHuman, Mouse, Rat1:200-500
IFHuman, Mouse, Rat1:200-500
Flow-CytHumanMouse, Rat1ug/Test
ICC/IFHumanMouse, Rat1:100-200

交叉反应

交叉反应: Human, Mouse, Rat

相关产品

暂无相关产品

靶标

基因名
TJP1
蛋白名
Tight junction protein ZO-1
亚基
Interacts with BVES (via the C-terminus cytoplasmic tail). Interacts with HSPA4 and KIRREL1. Homodimer, and heterodimer with TJP2/ZO-2 and TJP3/ZO-3. Interacts with OCLN, CALM, claudins, CGN/cingulin, CXADR, GJA12, GJD3 and UBN1. Interacts (via ZU5 domain) with CDC42BPB and MYZAP. Interacts (via PDZ domain) with GJA1.
亚细胞定位
Cell membrane; Peripheral membrane protein; Cytoplasmic side. Cell junction, tight junction. Cell junction. Cell junction, gap junction. Note=Moves from the cytoplasm to the cell membrane concurrently with cell-cell contact. Detected at the leading edge of migrating and wounded cells.
组织特异性
The alpha-containing isoform is found in most epithelial cell junctions. The short isoform is found both in endothelial cells and the highly specialized epithelial junctions of renal glomeruli and Sertoli cells of the seminiferous tubules.
翻译后修饰
Phosphorylated. Dephosphorylated by PTPRJ.
相似性
Belongs to the MAGUK family.
Contains 1 guanylate kinase-like domain.
Contains 3 PDZ (DHR) domains.
Contains 1 SH3 domain.
Contains 1 ZU5 domain.
功能
The N-terminal may be involved in transducing a signal required for tight junction assembly, while the C-terminal may have specific properties of tight junctions. The alpha domain might be involved in stabilizing junctions. Plays a role in the regulation of cell migration by targeting CDC42BPB to the leading edge of migrating cells.

同靶标产品

相关文献

提示: 发表研究结果有使用 bsm-42209R 时请让我们知道,以便我们可以引用参考文章。作为回馈,资料提供者将获得我们送上的小礼品。
具体参考文献:bsm-42209R 被引用于1文献中

常见问题