Cancer > Cancer Metabolism > Metabolic signaling pathway > Hormone biosynthesis
Cardiovascular > Lipids / Lipoproteins > Fatty Acids > Binding proteins
Developmental Biology > Lineage specification > Endoderm
Metabolism > Pathways and Processes > Endocrine metabolism > Hormone biosynthesis
Metabolism > Pathways and Processes > Metabolic signaling pathways > Lipid and lipoprotein metabolism > Fatty acids
Metabolism > Pathways and Processes > Redox metabolism > Fatty acid oxidation
Metabolism > Types of disease > Cancer
Metabolism > Types of disease > Obesity
Stem Cells > Lineage Markers > Endoderm
Stem Cells > Signaling Pathways > Hedgehog > Surface Molecules











| 应用 | 已检合格种属 | 预测种属 | 推荐稀释比例 |
|---|---|---|---|
| WB | Mouse | Human, Rat | 1:500-2000 |
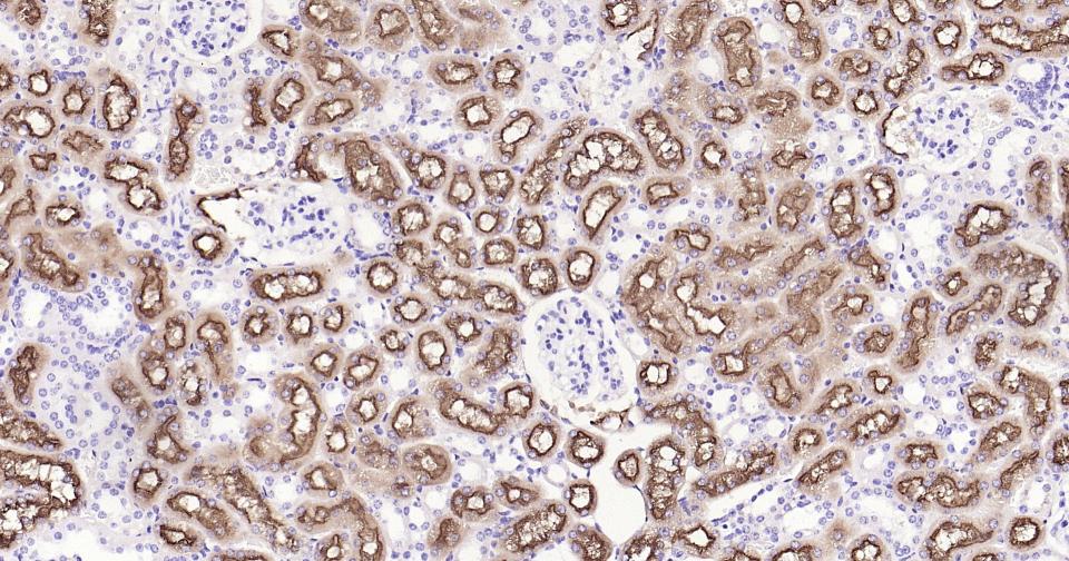
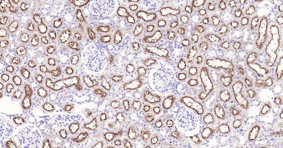
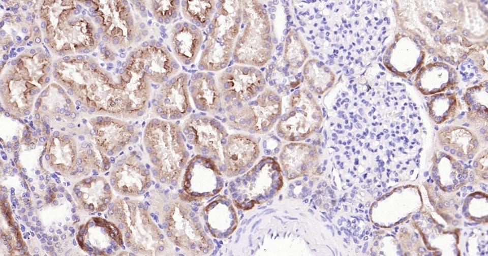
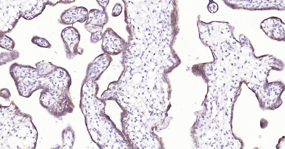
| IHC-P | Human, Mouse, Rat | 1:100-500 | |
| IHC-F | Human, Mouse, Rat | 1:100-500 | |
| IF | Human, Mouse, Rat | 1:100-500 | |
| ICC/IF | Human, Mouse, Rat | 1:50-200 |
交叉反应: Human, Mouse, Rat
暂无相关产品
暂无标记数据
暂无同靶标产品
暂无相关文献
暂无常见问题