Cancer > Cell Death > Apoptosis > Metabolism
Cancer > Cell Death > Apoptosis > Nucleus > Chromatin condensation
Cancer > Invasion/microenvironment > Apoptosis > Chromatin condensation
Cell Biology > Apoptosis > Nucleus > Chromatin Condensation
Epigenetics and Nuclear Signaling > Cell cycle > Apoptosis > Nuclear
Metabolism > Pathways and Processes > Metabolism processes > Apoptosis
Metabolism > Pathways and Processes > Redox metabolism > Oxidative stress













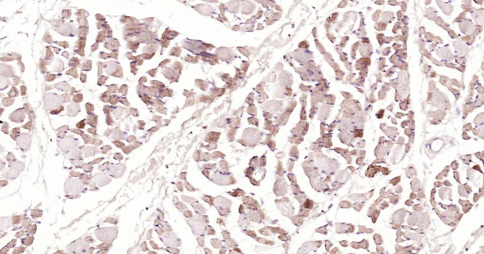
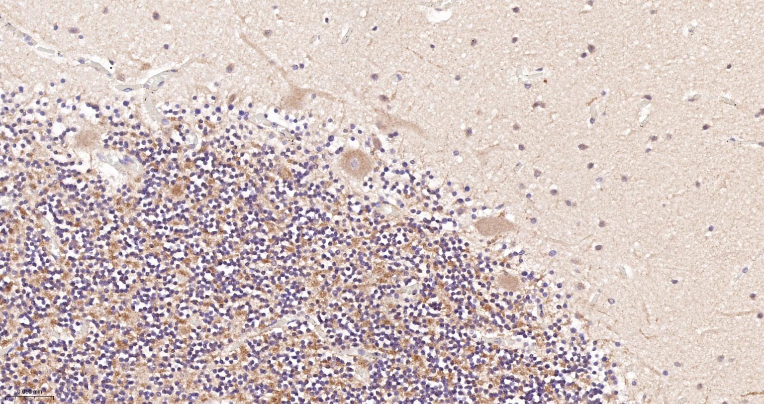
| 应用 | 已检合格种属 | 预测种属 | 推荐稀释比例 |
|---|---|---|---|
| WB | Human, Mouse, Rat | 1:1000-5000 | |
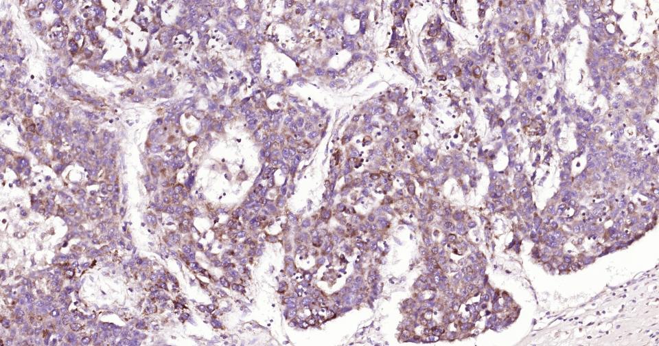
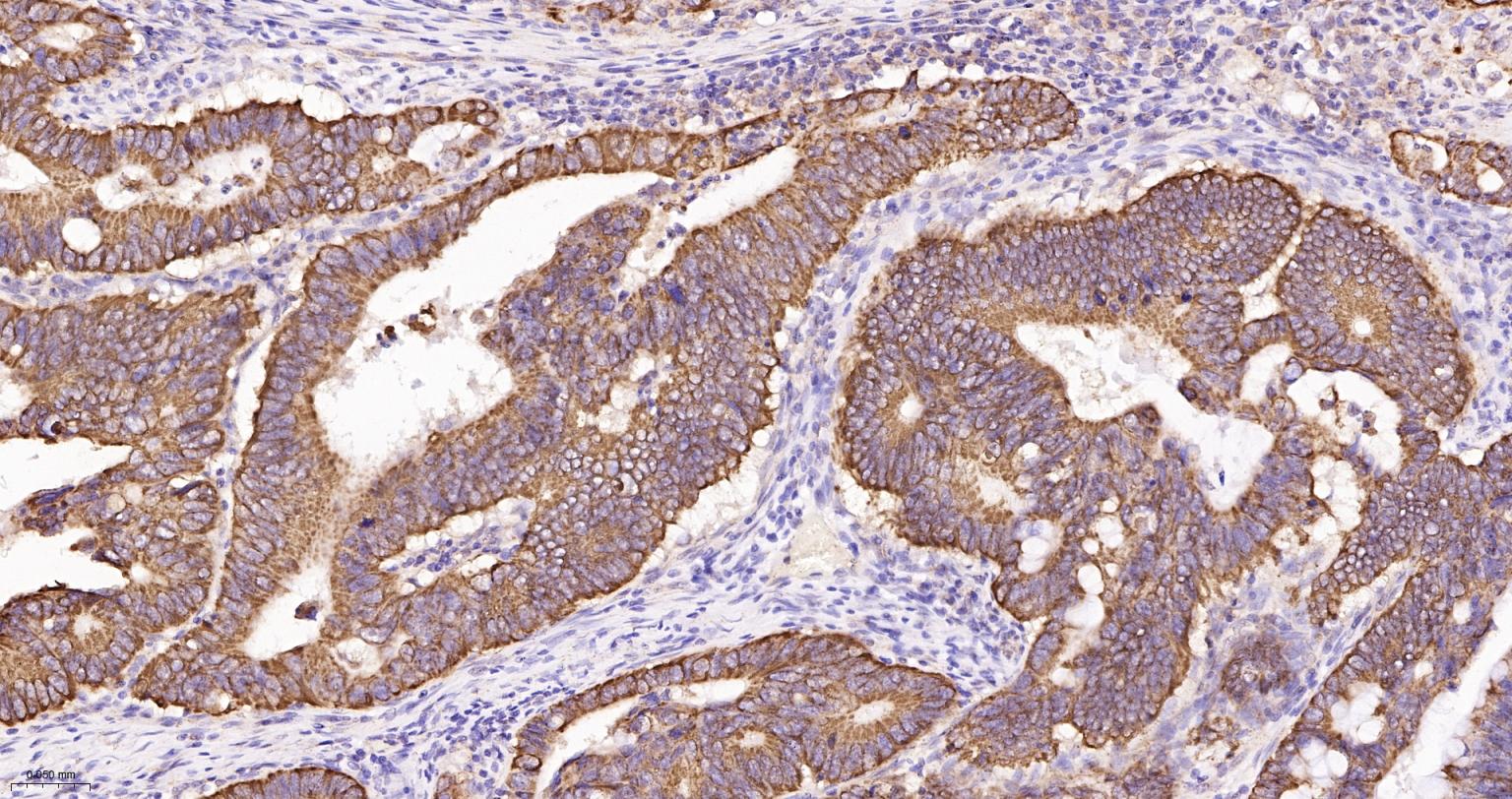
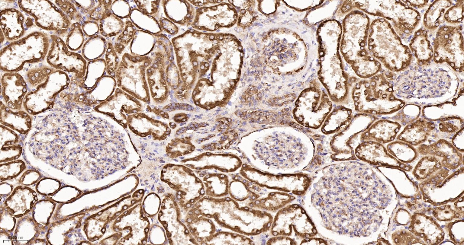
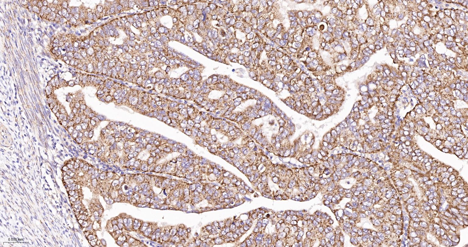
| IHC-P | Human | Mouse, Rat | 1:200-800 |
| IHC-F | Human | Mouse, Rat | 1:200-800 |
| IF | Human | Mouse, Rat | 1:200-800 |
| Flow-Cyt | Human | Mouse, Rat | 1:50-100 |
| ICC/IF | Human | Mouse, Rat | 1:50-200 |
交叉反应: Human, Mouse, Rat
暂无相关产品
暂无标记数据
暂无同靶标产品
暂无相关文献
暂无常见问题