Cancer > Cell Death > Autophagy > Signal Transduction
Cancer > Oncoproteins/suppressors > Tumor suppressors
Cancer > Signal transduction > Autophagy
Epigenetics and Nuclear Signaling > Transcription > Cancer susceptibility > Tumor Suppressors
Metabolism > Pathways and Processes > Metabolism processes > Autophagy and mitophagy
Microbiology > Interspecies Interaction > Host Immune Response

















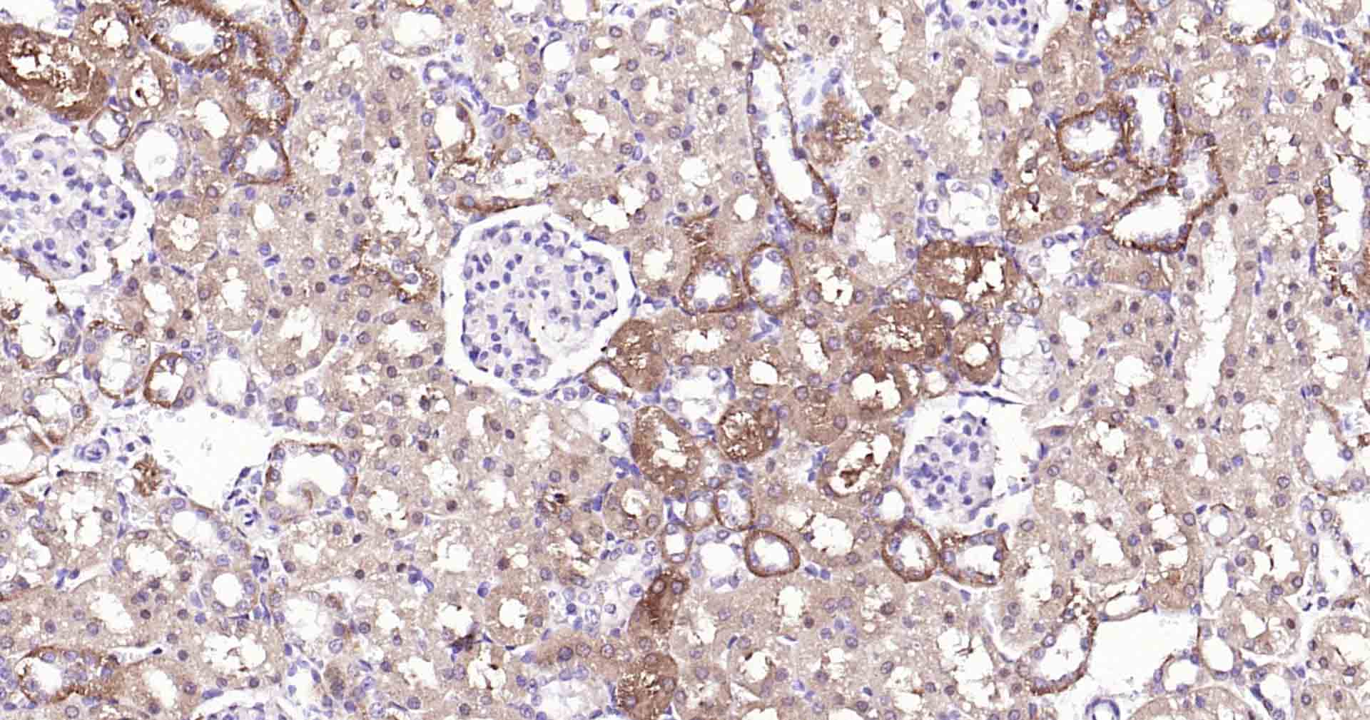
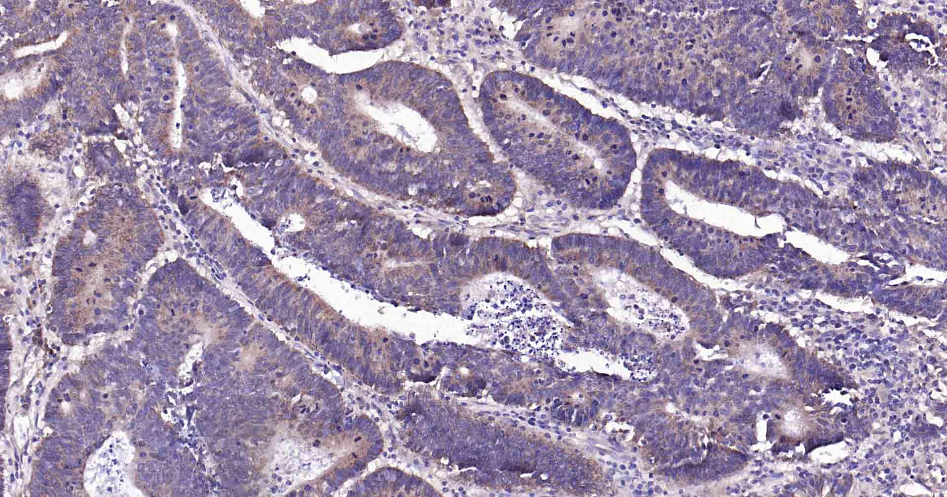
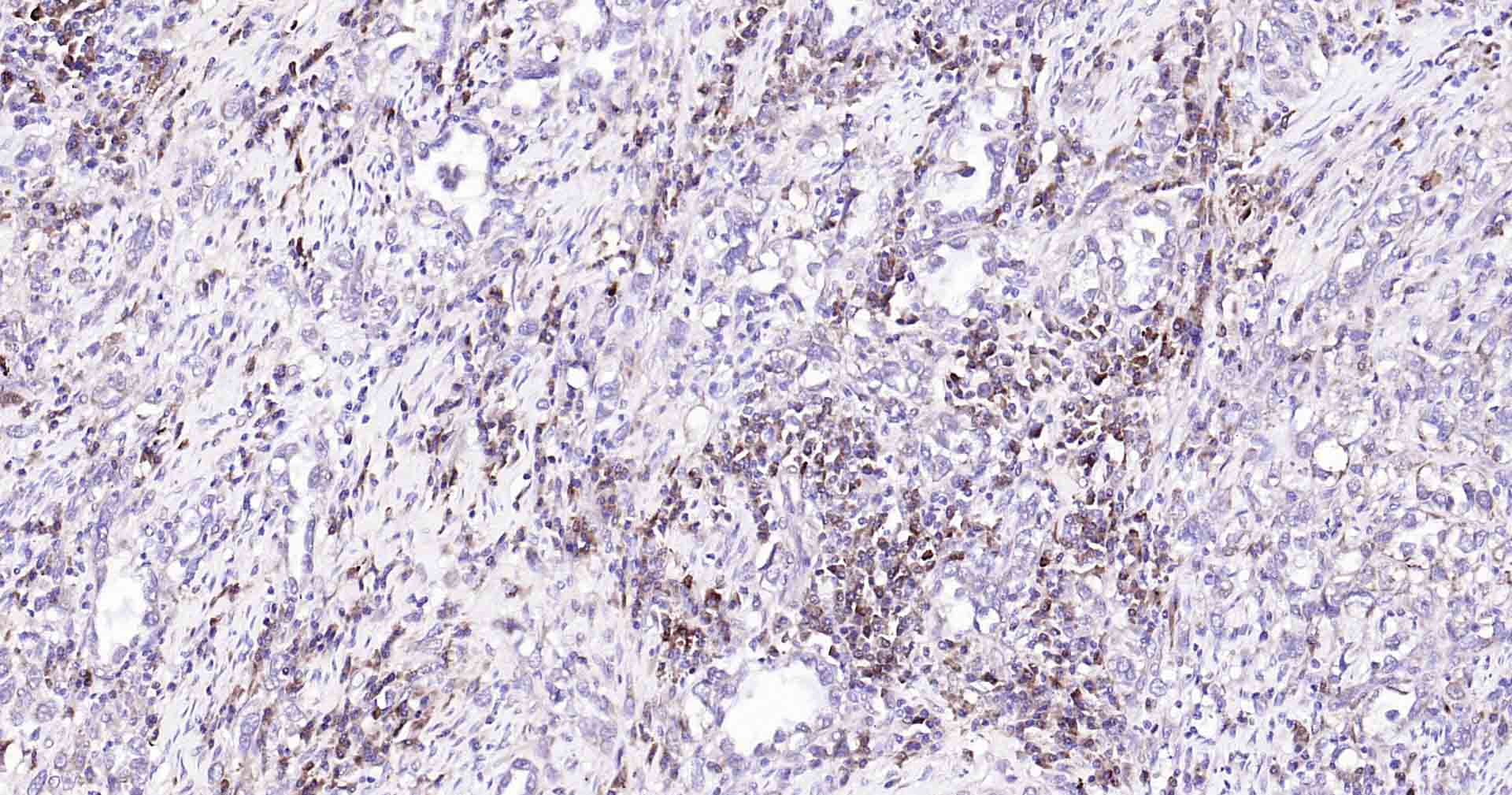
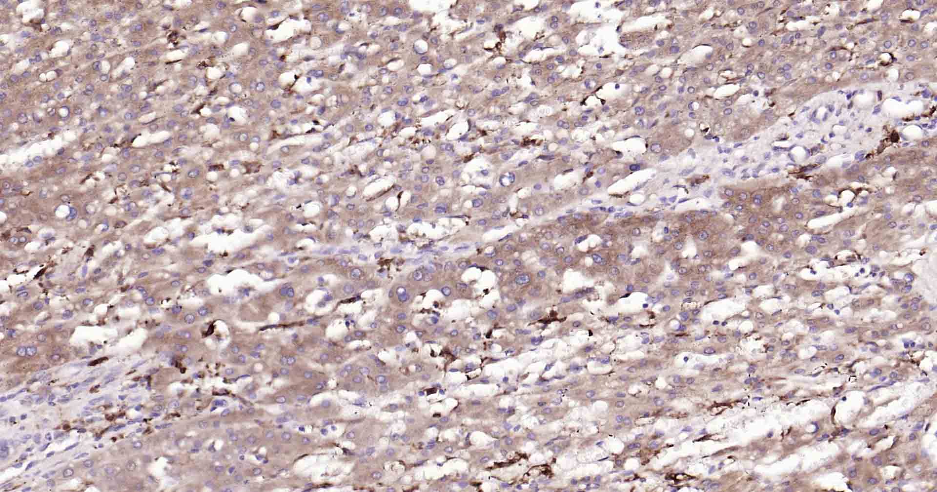
| 应用 | 已检合格种属 | 预测种属 | 推荐稀释比例 |
|---|---|---|---|
| WB | Human | Mouse, Rat | 1:200-1000 |
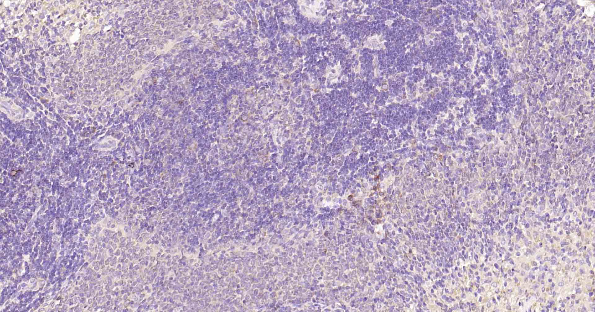
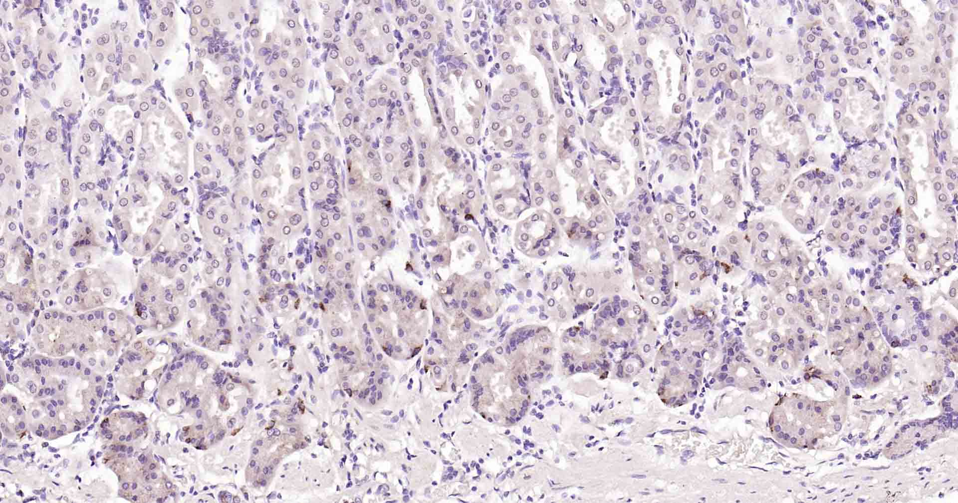
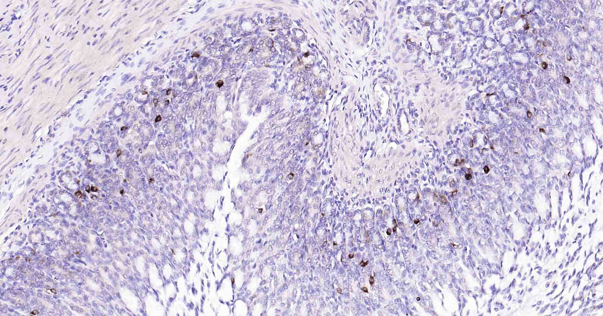
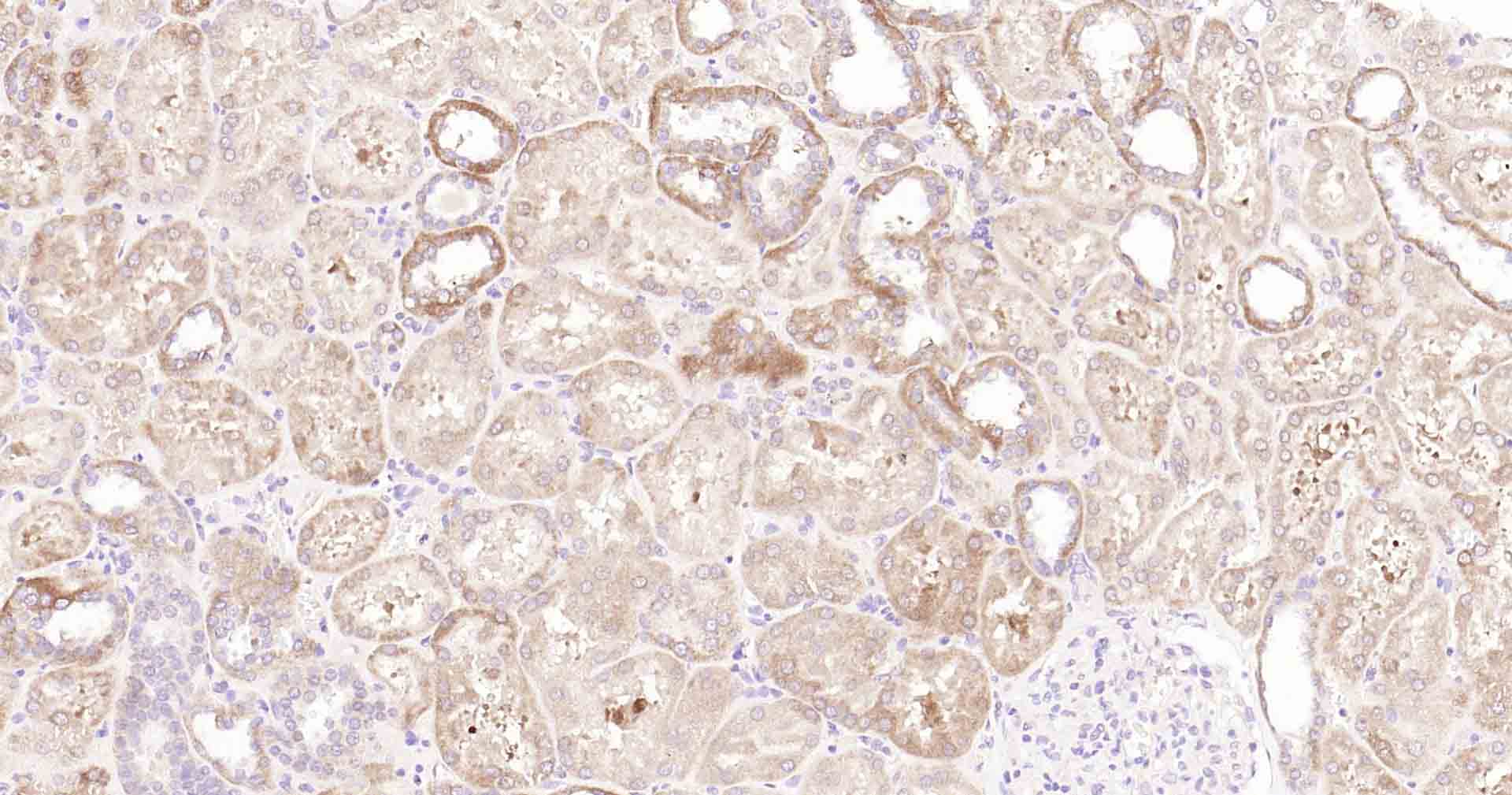
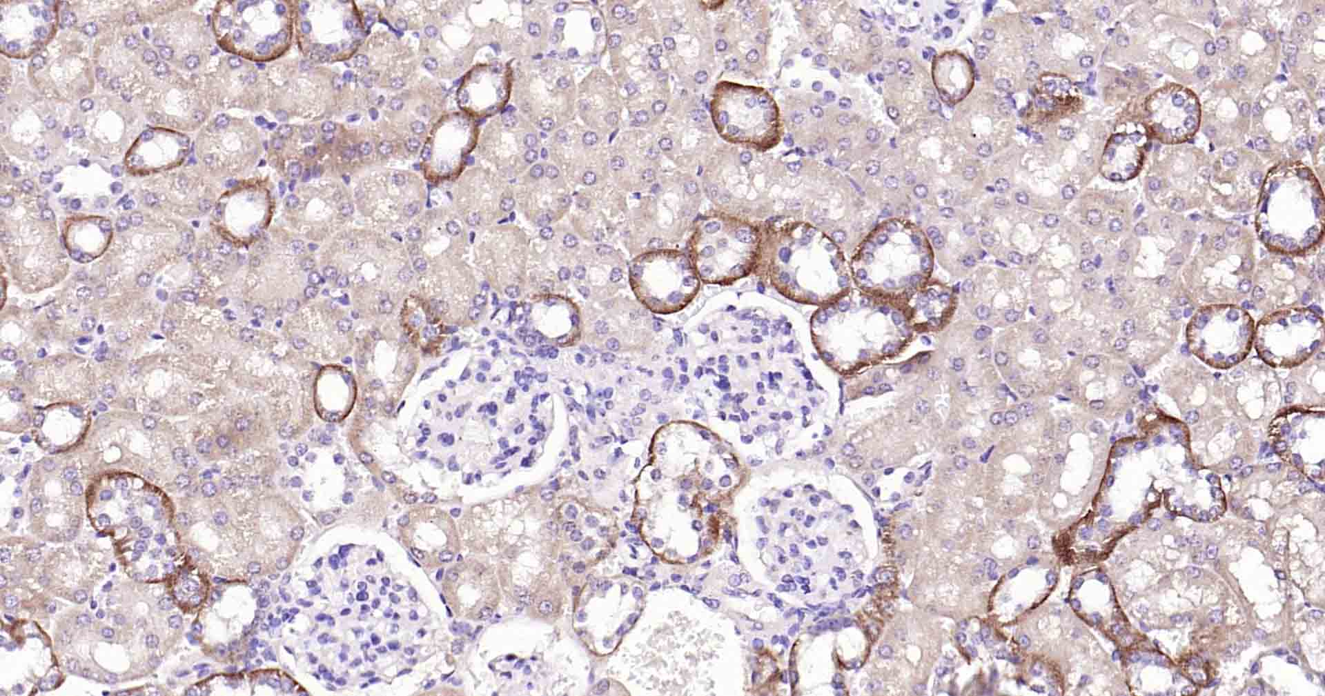
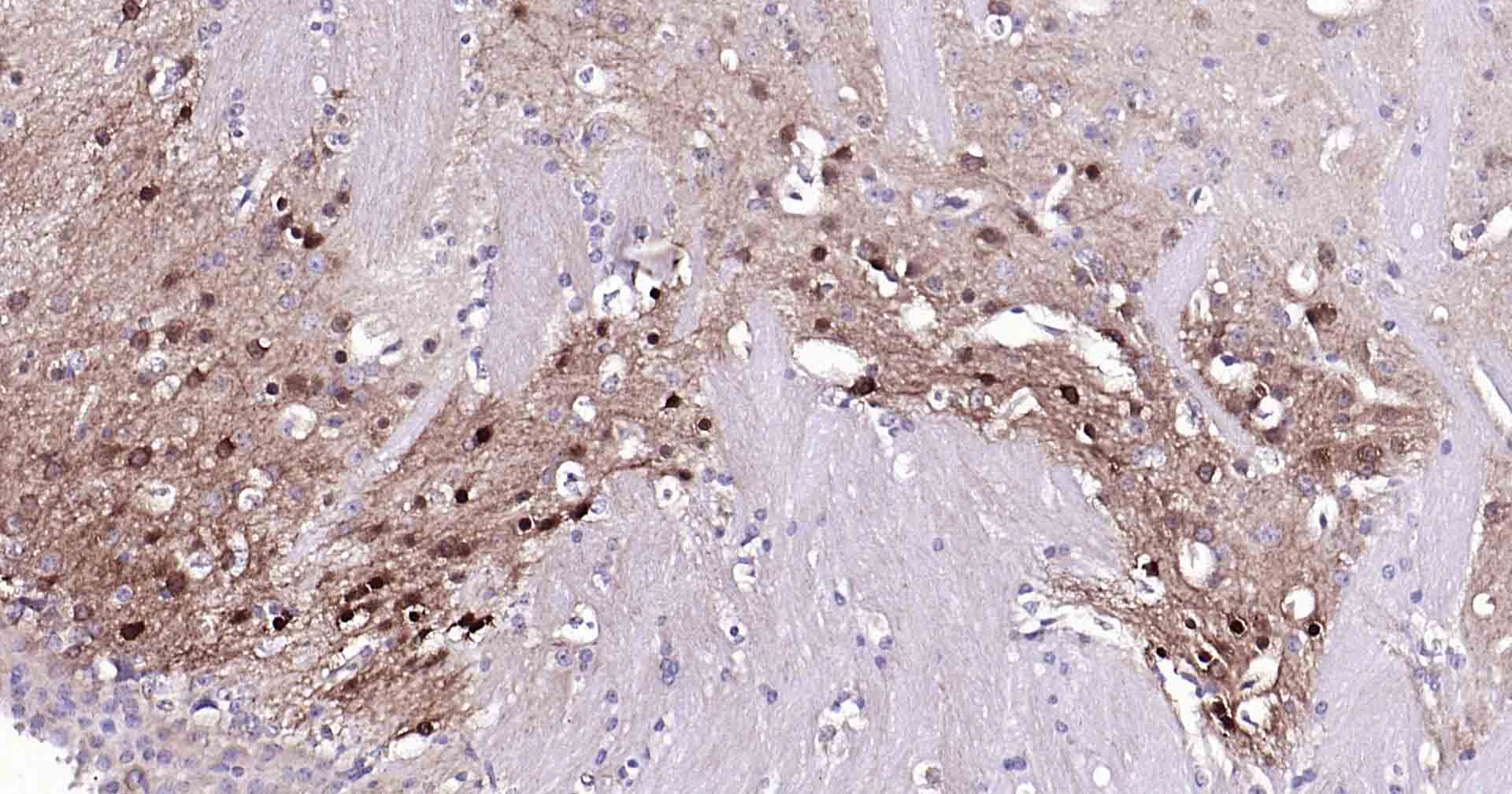
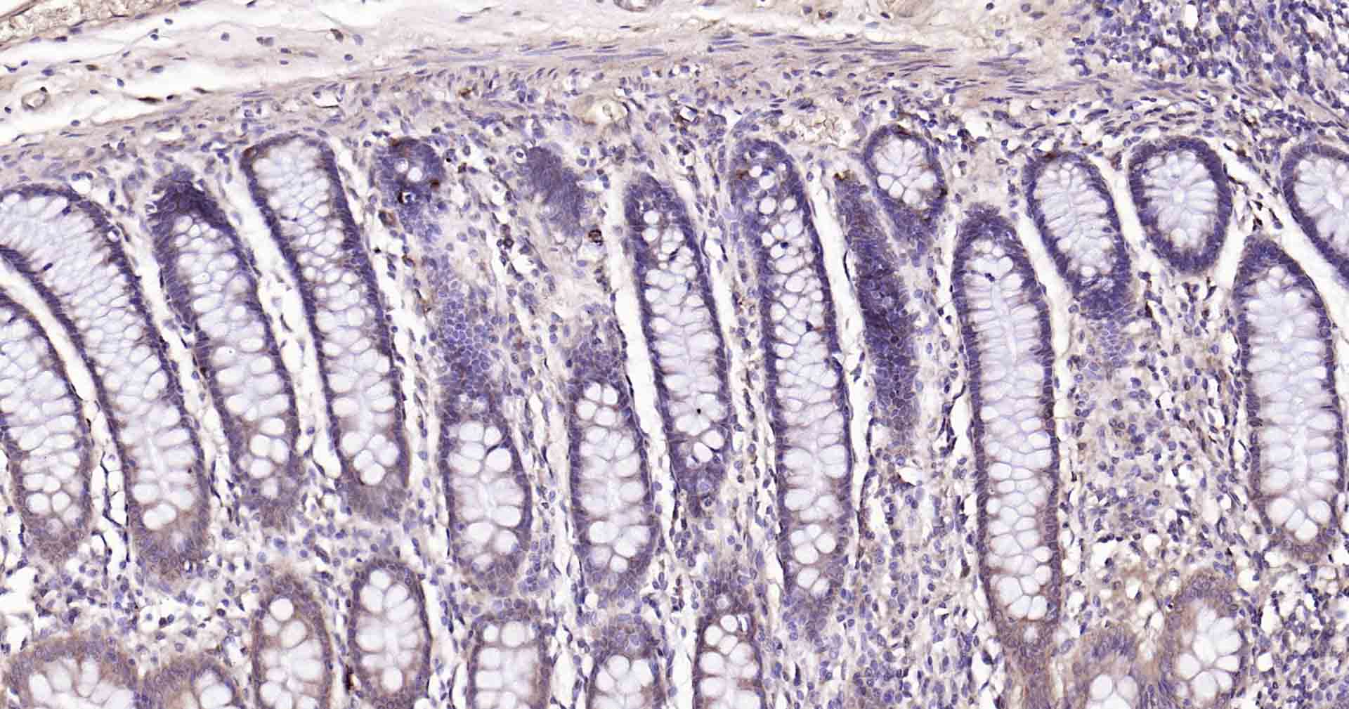
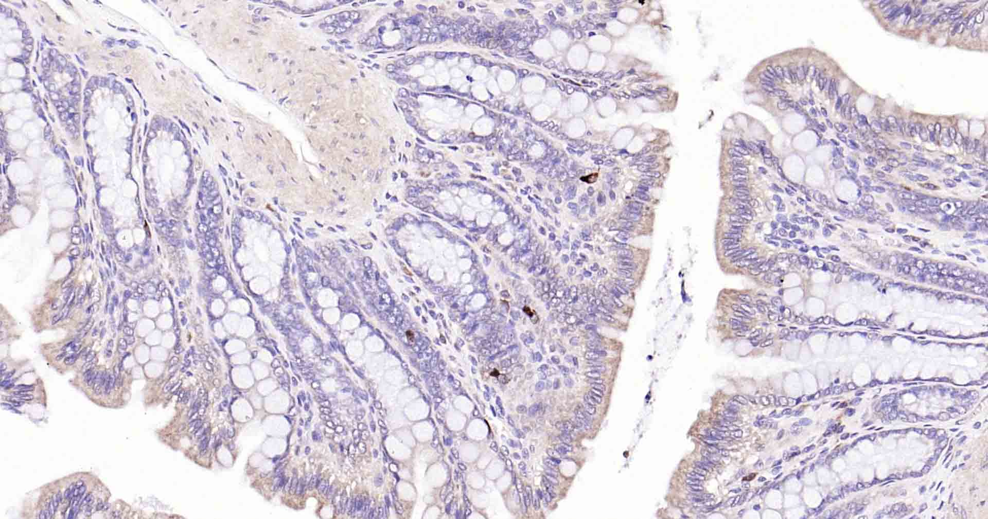
| IHC-P | Human, Mouse, Rat | 1:50-200 | |
| IHC-F | Human, Mouse, Rat | 1:50-200 | |
| IF | Human, Mouse, Rat | 1:50-200 |
交叉反应: Human, Mouse, Rat
暂无相关产品
暂无标记数据
暂无同靶标产品
暂无相关文献
暂无常见问题