Cancer > Cancer Metabolism > Metabolic signaling pathway > Integration of energy metabolism
Cancer > Cancer Metabolism > Metabolic signaling pathway > Metabolism of lipids and lipoproteins
Cardiovascular > Lipids / Lipoproteins > Fatty Acids > Synthesis
Metabolism > Pathways and Processes > Metabolic signaling pathways > Energy transfer pathways > Integration of energy
Metabolism > Pathways and Processes > Metabolic signaling pathways > Lipid and lipoprotein metabolism > Lipid metabolism
Metabolism > Pathways and Processes > Mitochondrial Metabolism > Mitochondrial markers
Metabolism > Pathways and Processes > Redox metabolism > Fatty acid oxidation



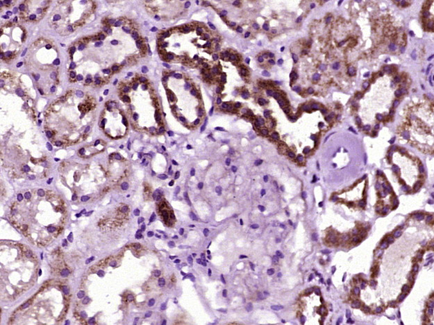
| 应用 | 已检合格种属 | 预测种属 | 推荐稀释比例 |
|---|---|---|---|
| IHC-P | Human, Mouse | Rat, Cow, Monkey | 1:100-500 |
| IHC-F | Human, Mouse | Rat, Cow, Monkey | 1:100-500 |
| IF | Human, Mouse | Rat, Cow, Monkey | 1:100-500 |
| ICC/IF | Mouse | Human, Rat, Cow, Monkey | 1:100-500 |
交叉反应: Human, Mouse (predicted: Rat, Cow, Monkey)
暂无相关产品