HP1 gamma Mouse mAb (一抗) - WB,IHC-P,IHC-F,IF | Bioss

2026-03-02~2026-04-30,KXJ26032026-03-02~2026-04-30,促销赠品
HP1 gamma Mouse mAb (一抗) - WB,IHC-P,IHC-F,IF | Bioss
货号:bsm-33376M
产品详情
相关标记
相关产品
相关文献
常见问题

概述

产品编号
bsm-33376M
英文名称
HP1 gamma Mouse mAb
中文名称
异染色质蛋白1-γ/HP-1γ单克隆抗体
英文别名
HECH; HP1-GAMMA; HP1Hs-gamma; HP1gamma; HP1g; M32; CBX3_HUMAN; CBX3; Heterochromatin protein 1 homolog gamma (HP1 gamma); Modifier 2 protein; CBX3_MOUSE;
抗体来源
Mouse
免疫原
Recombinant human HP1 gamma Protein: full length
性状
Size : 50ul/100ul/200ul
Liquid

Size : 200ug (PBS only)
Lyophilized
Note: Centrifuge tubes before opening. Reconstitute the lyophilized product in distilled water. Optimal concentration should be determined by the end user.
纯化方法
affinity purified by Protein G
克隆类型
Monoclonal
克隆号
6F4
理论分子量
21 kDa
检测分子量
21 kDa
浓度
1mg/ml
储存液
Size : 50ul/100ul/200ul
0.01M TBS (pH7.4) with 1% BSA, 0.02% Proclin300 and 50% Glycerol.
Size : 200ug (PBS only)
0.01M PBS
SWISS
Gene ID
保存条件
Shipped at 4℃. Store at -20℃ for one year. Avoid repeated freeze/thaw cycles.
注意事项
This product as supplied is intended for research use only, not for use in human, therapeutic or diagnostic applications.
背景资料
HP1 gamma appears to be involved in transcriptional silencing in heterochromatin-like complexes. It recognizes and binds histone H3 tails methylated at 'Lys-9', leading to epigenetic repression. HP1 gamma may contribute to the association of the heterochromatin with the inner nuclear membrane through its interaction with lamin B receptor (LBR) and involved in the formation of functional kinetochore through interaction with MIS12 complex proteins.
异染色质蛋白1-γ/HP-1γ单克隆抗体-bsm-33376M异染色质蛋白1-γ/HP-1γ单克隆抗体-bsm-33376M异染色质蛋白1-γ/HP-1γ单克隆抗体-bsm-33376M异染色质蛋白1-γ/HP-1γ单克隆抗体-bsm-33376M异染色质蛋白1-γ/HP-1γ单克隆抗体-bsm-33376M异染色质蛋白1-γ/HP-1γ单克隆抗体-bsm-33376M异染色质蛋白1-γ/HP-1γ单克隆抗体-bsm-33376M异染色质蛋白1-γ/HP-1γ单克隆抗体-bsm-33376M异染色质蛋白1-γ/HP-1γ单克隆抗体-bsm-33376M异染色质蛋白1-γ/HP-1γ单克隆抗体-bsm-33376M异染色质蛋白1-γ/HP-1γ单克隆抗体-bsm-33376M异染色质蛋白1-γ/HP-1γ单克隆抗体-bsm-33376M异染色质蛋白1-γ/HP-1γ单克隆抗体-bsm-33376M异染色质蛋白1-γ/HP-1γ单克隆抗体-bsm-33376M异染色质蛋白1-γ/HP-1γ单克隆抗体-bsm-33376M异染色质蛋白1-γ/HP-1γ单克隆抗体-bsm-33376M异染色质蛋白1-γ/HP-1γ单克隆抗体-bsm-33376M

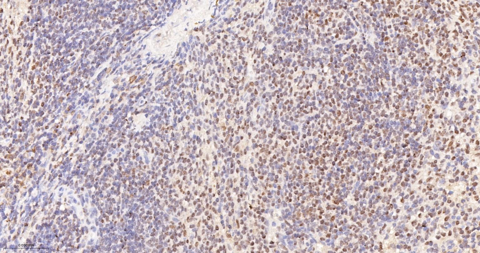
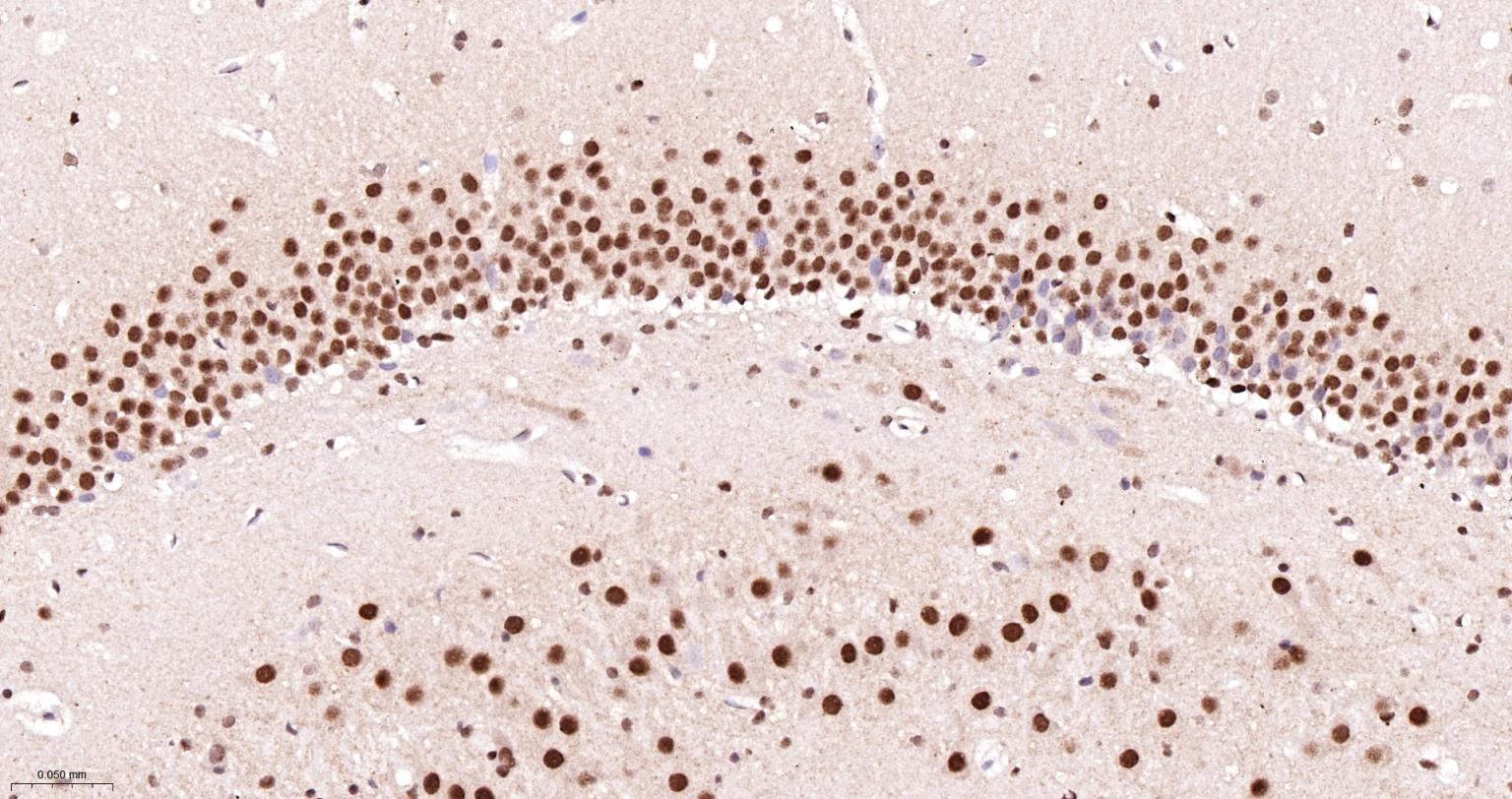
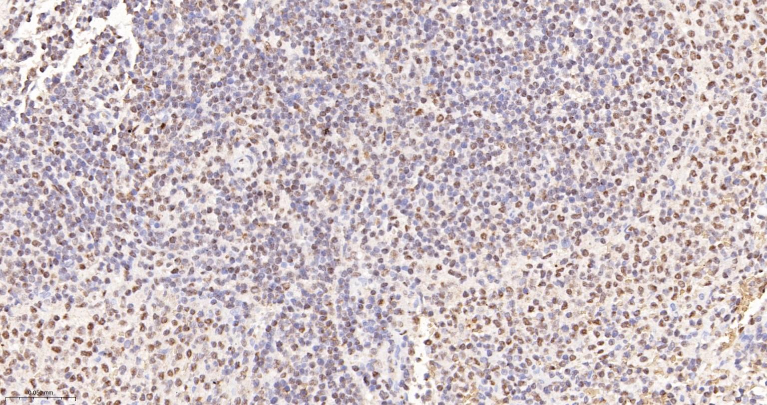
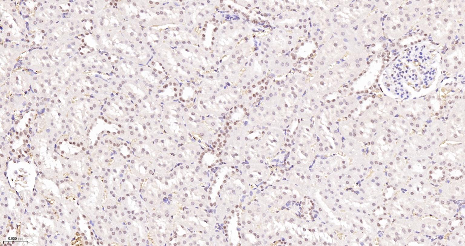
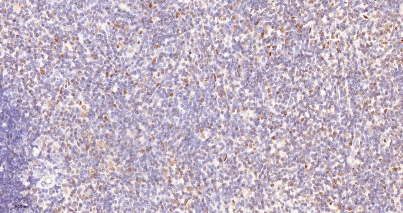
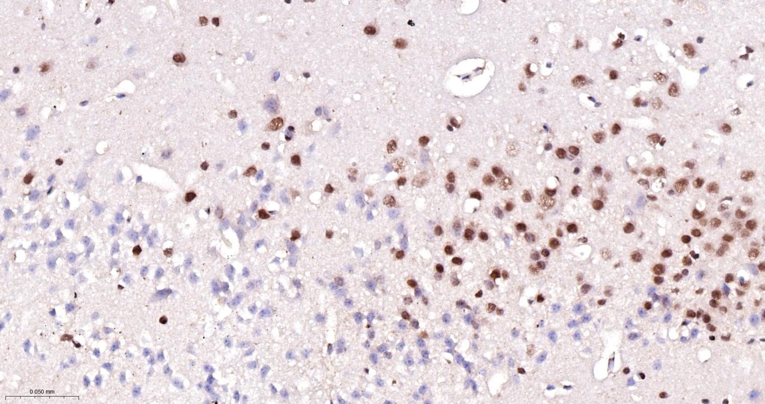
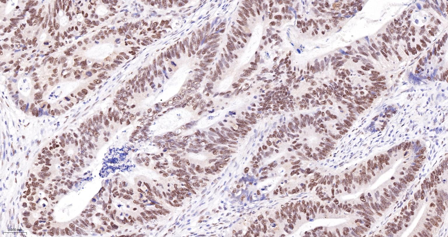
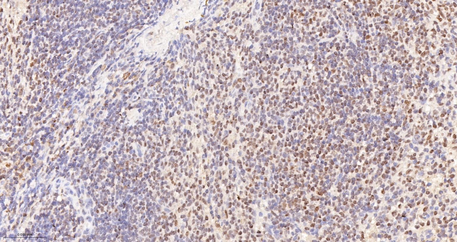
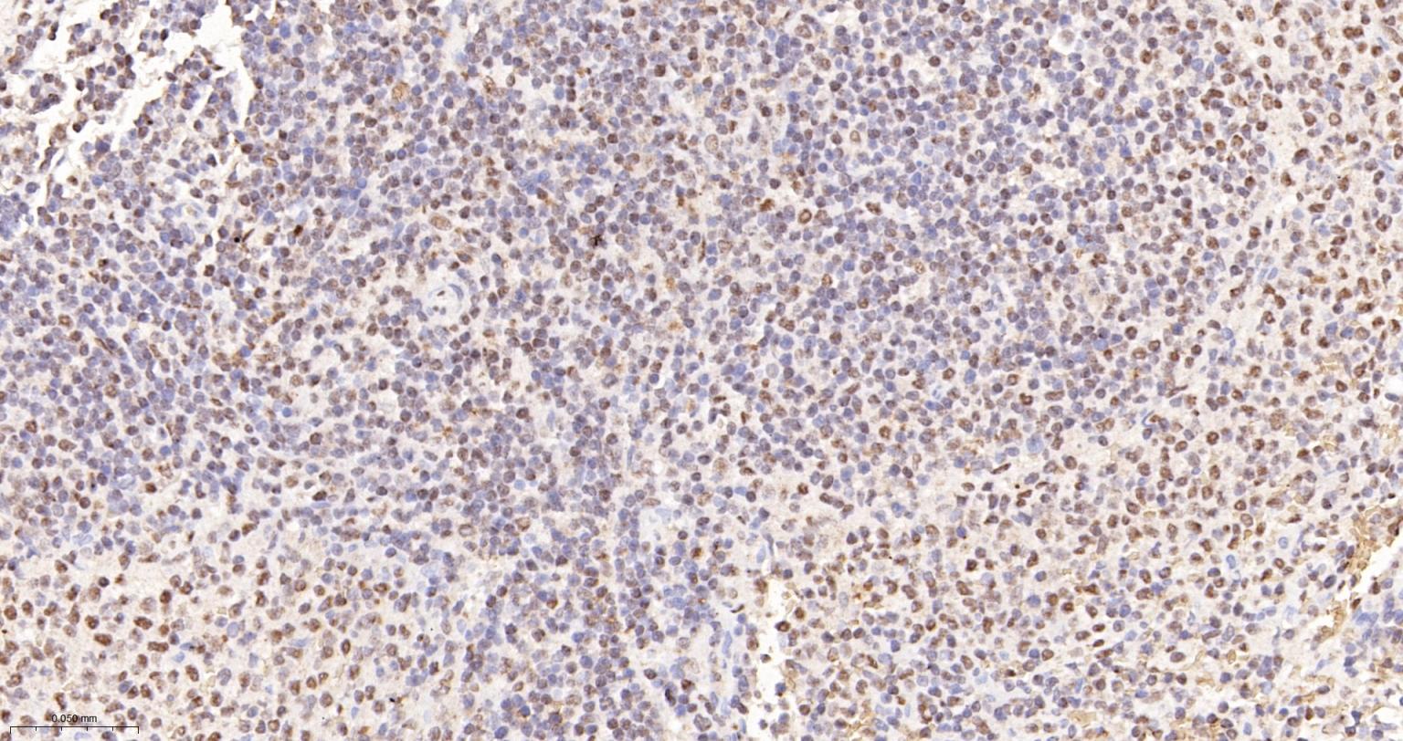
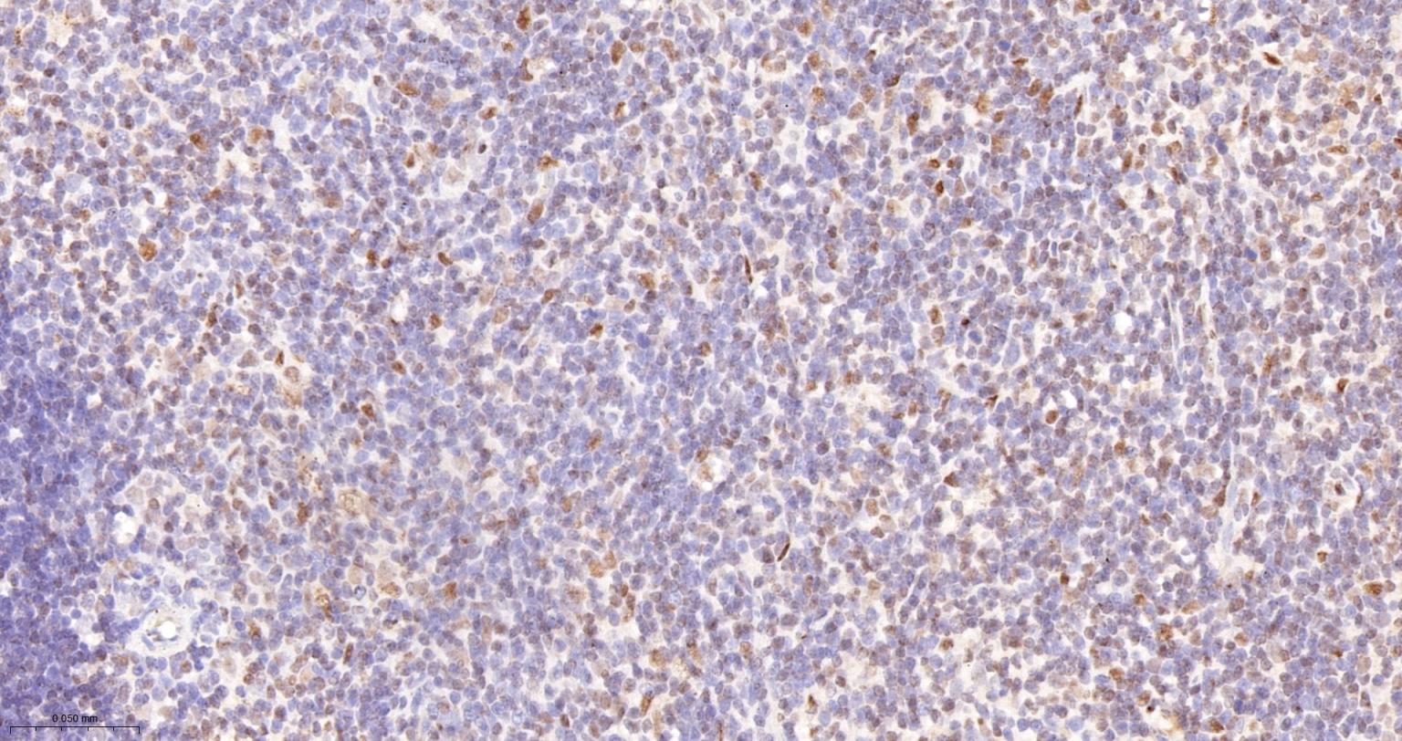
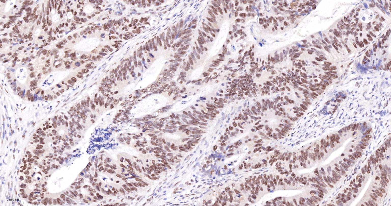
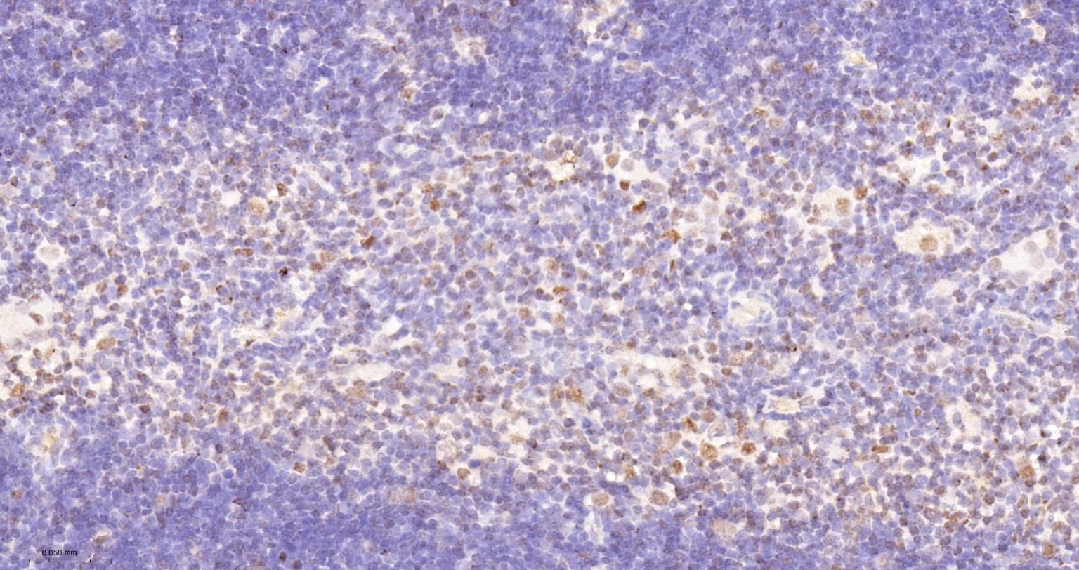
产品应用

应用已检合格种属预测种属推荐稀释比例
WBHuman, Mouse, Rat1:1000-5000
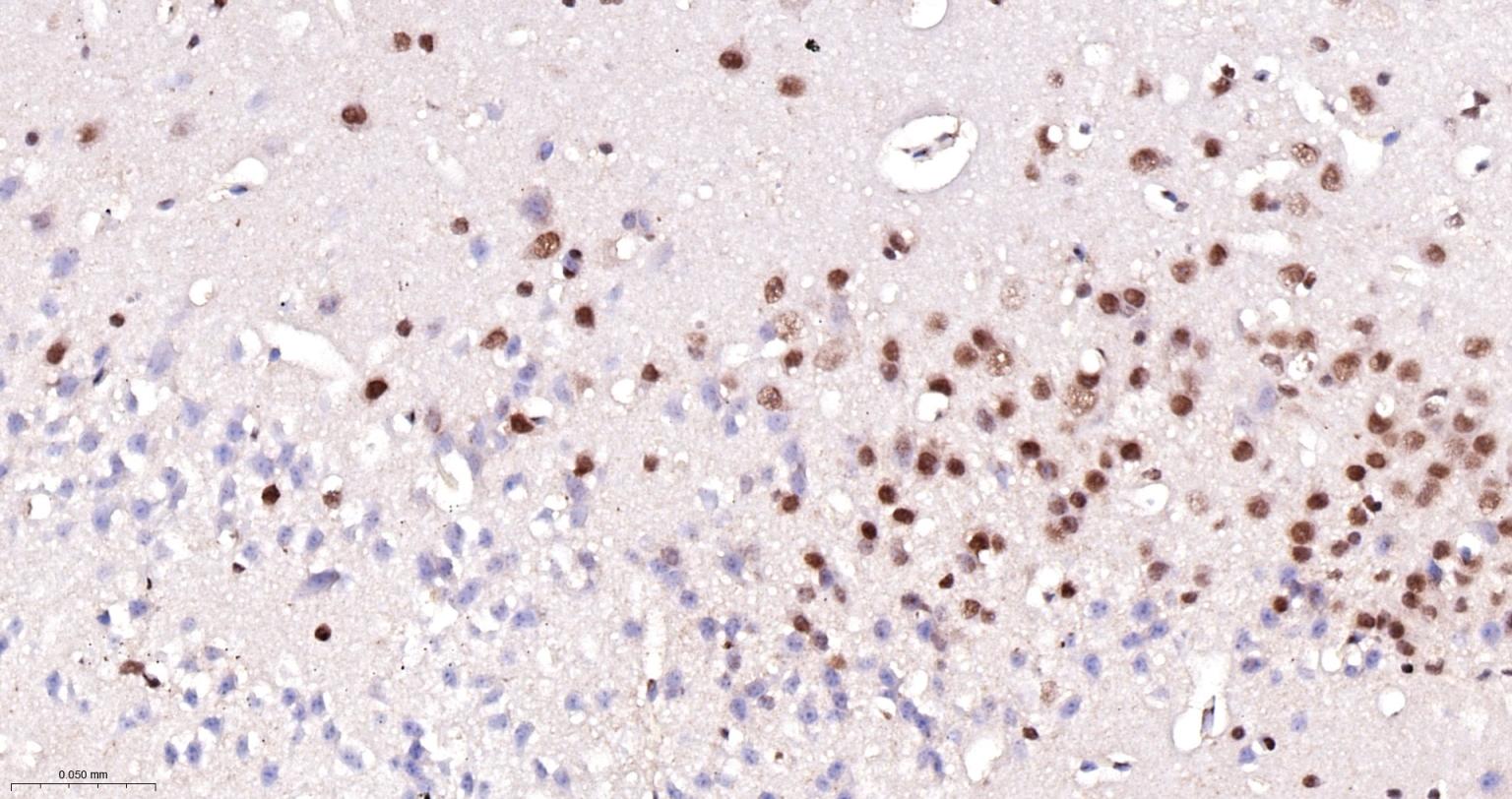
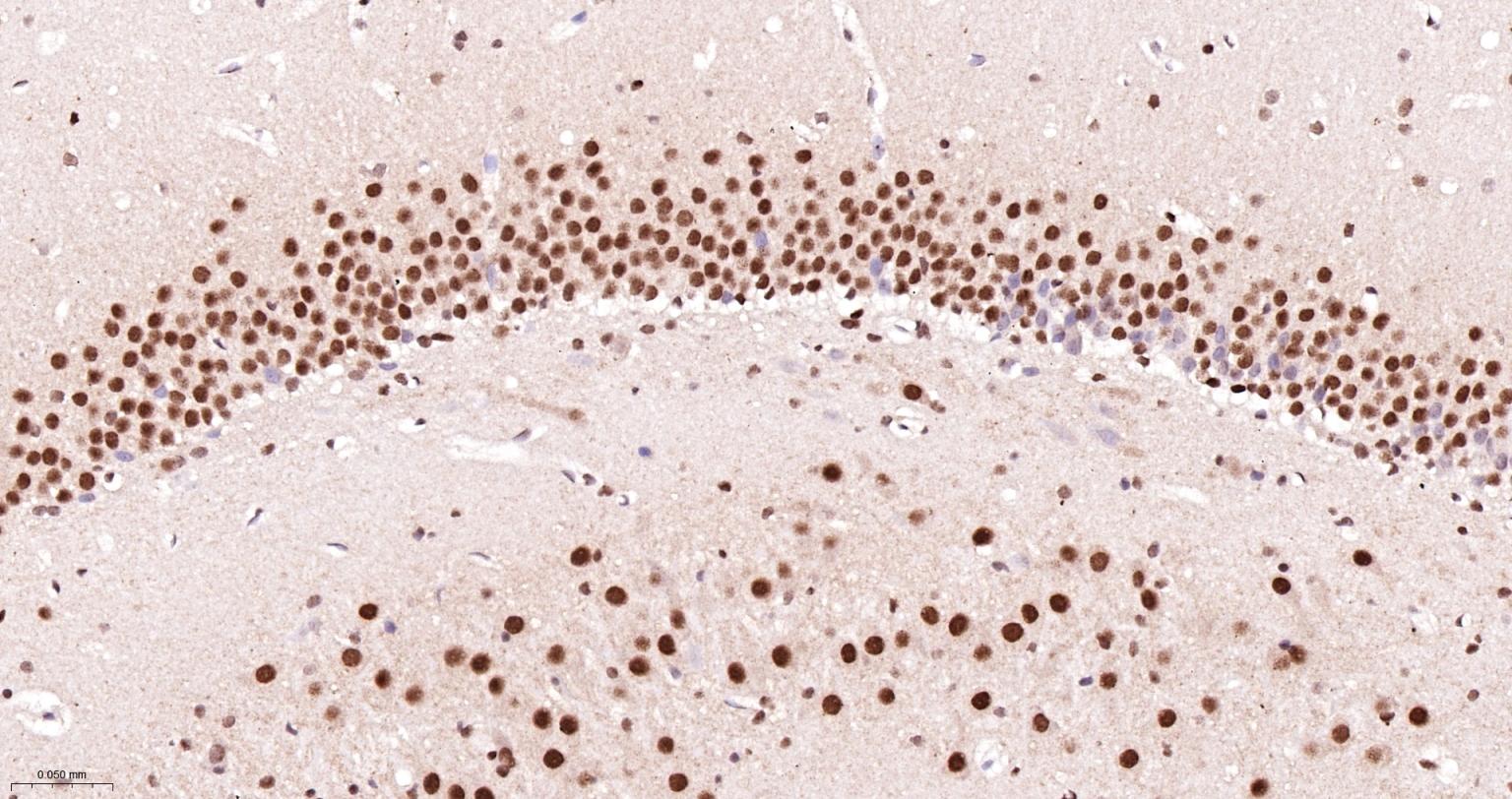
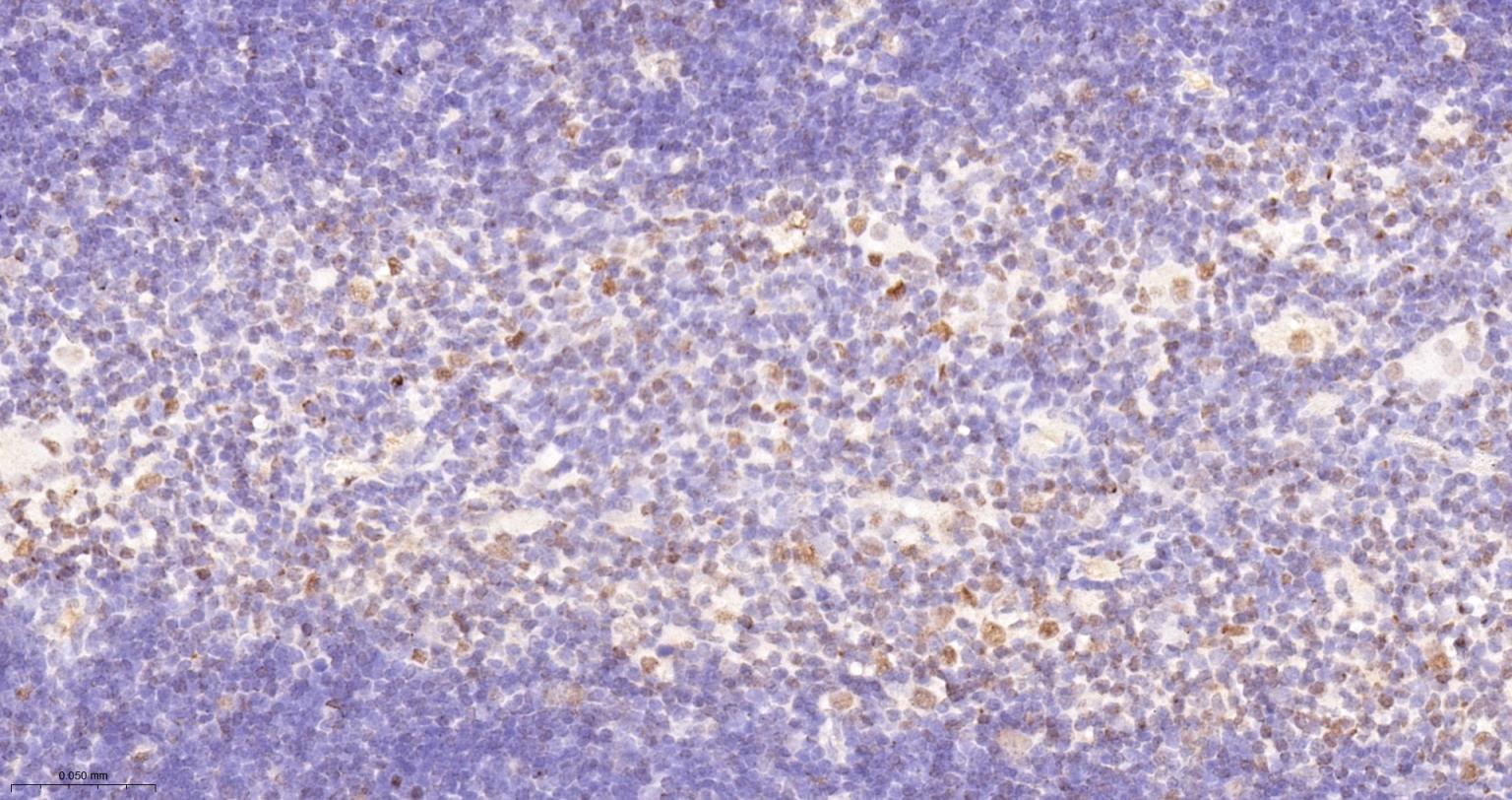
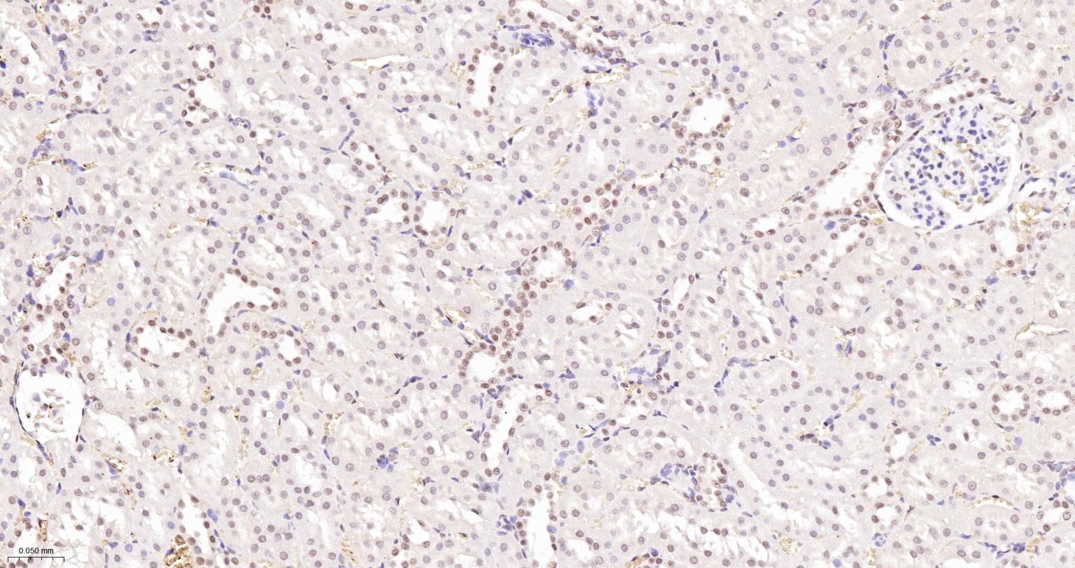
IHC-PHuman, Mouse, Rat1:200-1000
IHC-FHuman, Mouse, Rat1:200-1000
IFHuman, Mouse, Rat1:200-1000

交叉反应

交叉反应: Human, Mouse, Rat

相关产品

暂无相关产品

靶标

基因名
CBX3
蛋白名
Chromobox protein homolog 3
亚基
Binds directly to CHAF1A. Interacts with histone H3 methylated at 'Lys-9'. Part of the E2F6.com-1 complex in G0 phase composed of E2F6, MGA, MAX, TFDP1, CBX3, BAT8, EUHMTASE1, RING1, RNF2, MBLR, L3MBTL2 and YAF2. Interacts with LBR, INCENP, TRIM28/TIF1B, SUV420H1, SUV420H2 and SP100. Interacts with TIF1A. Interacts with MIS12 and DSN1. Can interact directly with CBX5 via the chromoshadow domain. Interacts with POGZ. Interacts with CHAMP1. Interacts with ASXL1.
亚细胞定位
Nucleus (Potential). Note=Associates with euchromatin and is largely excluded from constitutive heterochromatin. May be associated with microtubules and mitotic poles during mitosis (Potential).
翻译后修饰
Phosphorylated by PIM1. Phosphorylated during interphase and possibly hyper-phosphorylated during mitosis.
相似性
Contains 2 chromo domains.
功能
Seems to be involved in transcriptional silencing in heterochromatin-like complexes. Recognizes and binds histone H3 tails methylated at 'Lys-9', leading to epigenetic repression. May contribute to the association of the heterochromatin with the inner nuclear membrane through its interaction with lamin B receptor (LBR). Involved in the formation of functional kinetochore through interaction with MIS12 complex proteins.

同靶标产品

相关文献

提示: 发表研究结果有使用 bsm-33376M 时请让我们知道,以便我们可以引用参考文章。作为回馈,资料提供者将获得我们送上的小礼品。

常见问题