Cardiovascular > Angiogenesis > Adhesion / ECM > Integrins
Cardiovascular > Atherosclerosis > Vascular Inflammation > Leukocyte recruitment > Integrins
Cardiovascular > Blood > Platelets
Microbiology > Interspecies Interaction > Host Virus Interaction
Stem Cells > Hematopoietic Progenitors > Lymphoid > T Lymphocytic Lineage




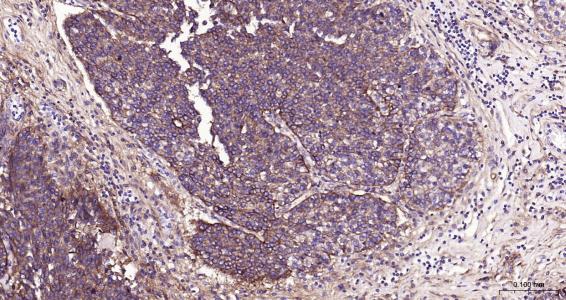
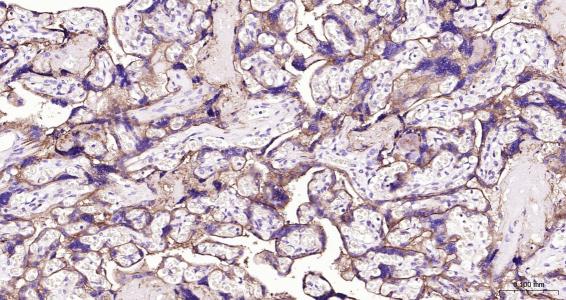
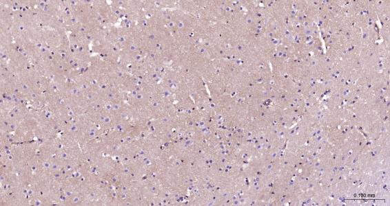
| 应用 | 已检合格种属 | 预测种属 | 推荐稀释比例 |
|---|---|---|---|
| WB | Human, Mouse, Rat | 1:500-2000 | |
| IHC-P | Human | Mouse, Rat | 1:100-500 |
| IHC-F | Human | Mouse, Rat | 1:100-500 |
| IF | Human | Mouse, Rat | 1:100-500 |
| IP | Human, Mouse, Rat | 1:20-50 |
交叉反应: Human, Mouse, Rat
暂无相关产品