Cancer > Cancer Metabolism > Metabolic signaling pathway > Metabolism of lipids and lipoproteins
Cancer > Invasion/microenvironment > ECM > Extracellular matrix
Metabolism > Pathways and Processes > Metabolic signaling pathways > Lipid and lipoprotein metabolism > Lipid metabolism
Metabolism > Types of disease > Cancer
Neuroscience > Cell Adhesion Proteins > ECM Proteins
Neuroscience > Cell Adhesion Proteins > Membrane Proteins
Neuroscience > Cell Type Marker > Neuron marker > Synapse marker
Neuroscience > Neurology process > Neurogenesis
Signal Transduction > Cytoskeleton / ECM > Extracellular Matrix > ECM Proteins > Glucosaminoglycans
Signal Transduction > Cytoskeleton / ECM > HSPGs
Stem Cells > Hematopoietic Progenitors > Lymphoid > B Lymphocytic Lineage




| 应用 | 已检合格种属 | 预测种属 | 推荐稀释比例 |
|---|---|---|---|
| WB | Human, Mouse | Rat, Rabbit, Pig, Cow, Chicken, Dog, Horse | 1:500-2000 |
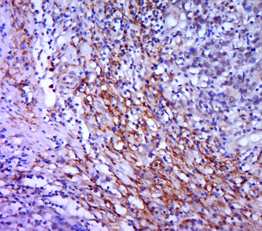
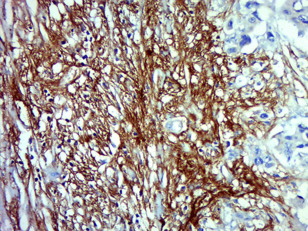
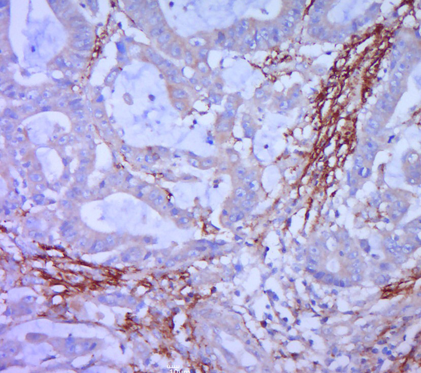
| IHC-P | Human | Mouse, Rat, Rabbit, Pig, Cow, Chicken, Dog, Horse | 1:100-500 |
| IHC-F | Human | Mouse, Rat, Rabbit, Pig, Cow, Chicken, Dog, Horse | 1:100-500 |
| IF | Human | Mouse, Rat, Rabbit, Pig, Cow, Chicken, Dog, Horse | 1:100-500 |
交叉反应: Human, Mouse (predicted: Rat, Rabbit, Pig, Cow, Chicken, Dog, Horse)
暂无相关产品