Calreticulin Rabbit pAb (一抗) - WB,IHC-P,IHC-F,IF,ELISA | Bioss

2026-03-02~2026-04-30,KXJ26032026-03-02~2026-04-30,促销赠品
Calreticulin Rabbit pAb (一抗) - WB,IHC-P,IHC-F,IF,ELISA | Bioss
货号:bs-5913R
产品详情
相关标记
相关产品
相关文献
常见问题

概述

产品编号
bs-5913R
产品类型
mIHC精品抗体
英文名称
Calreticulin Rabbit pAb
中文名称
钙网蛋白抗体
英文别名
CALR1; CRT; HEL-S-99n; RO; SSA; cC1qR; Calregulin; CALR_HUMAN; CALR; CRP55; Endoplasmic reticulum resident protein 60 (ERp60); HACBP; grp60; CRTC; CALR_MOUSE; CALR_RAT; CALBP; Calcium-binding protein 3 (CABP3);
抗体来源
Rabbit
免疫原
KLH conjugated synthetic peptide derived from human Calreticulin: 101-200/417
亚型
IgG
性状
Liquid
纯化方法
affinity purified by Protein A
克隆类型
Polyclonal
理论分子量
44 kDa
检测分子量
52 kDa
浓度
1mg/ml
储存液
0.01M TBS (pH7.4) with 1% BSA, 0.02% Proclin300 and 50% Glycerol.
SWISS
Gene ID
保存条件
Shipped at 4℃. Store at -20℃ for one year. Avoid repeated freeze/thaw cycles.
注意事项
This product as supplied is intended for research use only, not for use in human, therapeutic or diagnostic applications.
背景资料
Calreticulin is a highly conserved chaperone protein which resides primarily in the endoplasmic reticulum, and is involved in a variety of cellular processes, among them, cell adhesion. Additionally, it functions in protein folding quality control and calcium homeostasis. Calreticulin is also found in the nucleus, suggesting that it may have a role in transcription regulation. Systemic lupus erythematosus is associated with increased autoantibody titers against calreticulin. Recurrent mutations in calreticulin have been linked to various neoplasms, including the myeloproliferative type.[provided by RefSeq, May 2020]
钙网蛋白抗体-bs-5913R钙网蛋白抗体-bs-5913R钙网蛋白抗体-bs-5913R钙网蛋白抗体-bs-5913R钙网蛋白抗体-bs-5913R钙网蛋白抗体-bs-5913R

产品应用

应用已检合格种属预测种属推荐稀释比例
WBHuman1:500-2000
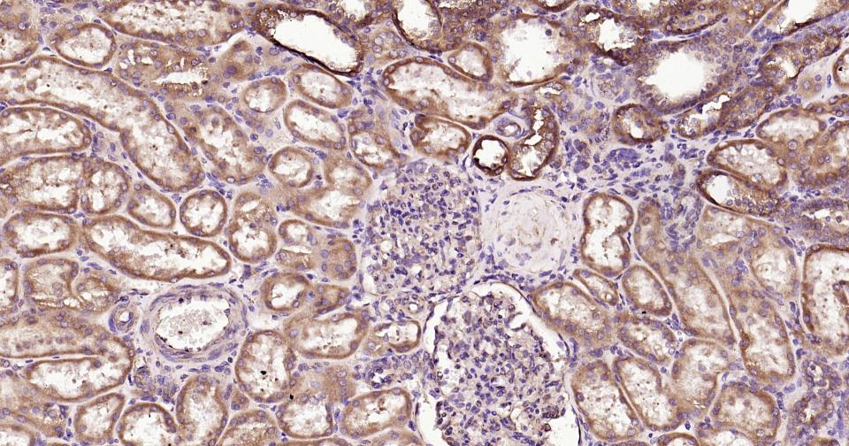
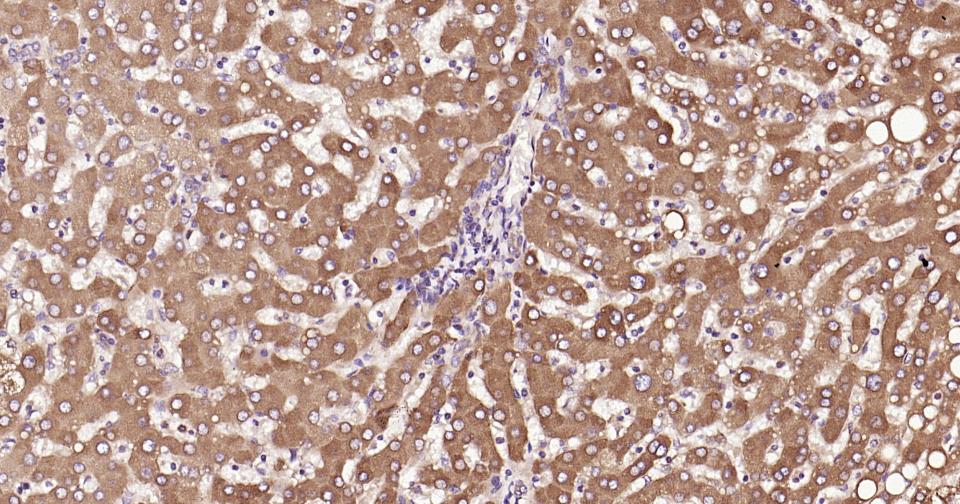
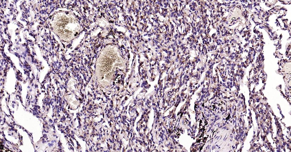
IHC-PHuman1:100-500
IHC-FHuman1:100-500
IFHuman1:100-500
ELISAHuman1:5000-10000

交叉反应

交叉反应: Human

相关产品

暂无相关产品

靶标

基因名
CALR
蛋白名
Calreticulin
亚基
Monomer. Component of an EIF2 complex at least composed of CELF1/CUGBP1, CALR, CALR3, EIF2S1, EIF2S2, HSP90B1 and HSPA5. Interacts with PDIA3/ERp57 (By similarity). Interacts with NR3C1 and TRIM21. Interacts with GABARAP.
亚细胞定位
Endoplasmic reticulum lumen. Cytoplasm, cytosol. Secreted, extracellular space, extracellular matrix. Cell surface.
相似性
Belongs to the calreticulin family.

同靶标产品

相关文献

提示: 发表研究结果有使用 bs-5913R 时请让我们知道,以便我们可以引用参考文章。作为回馈,资料提供者将获得我们送上的小礼品。
具体参考文献:bs-5913R 被引用于58文献中

常见问题