CENPA Rabbit pAb (一抗) - IHC-P,IHC-F,IF,ELISA | Bioss

2026-03-02~2026-04-30,KXJ26032026-03-02~2026-04-30,促销赠品
CENPA Rabbit pAb (一抗) - IHC-P,IHC-F,IF,ELISA | Bioss
货号:bs-2753R
产品详情
相关标记
相关产品
相关文献
常见问题

概述

产品编号
bs-2753R
英文名称
CENPA Rabbit pAb
中文名称
着丝粒蛋白A
英文别名
CENP-A; CenH3; CENPA_HUMAN; CENPA; Centromere autoantigen A; Centromere protein A (CENP-A);
抗体来源
Rabbit
免疫原
KLH conjugated synthetic peptide derived from human CENPA: 65-140/140
亚型
IgG
性状
Liquid
纯化方法
affinity purified by Protein A
克隆类型
Polyclonal
理论分子量
15 kDa
浓度
1mg/ml
储存液
0.01M TBS (pH7.4) with 1% BSA, 0.02% Proclin300 and 50% Glycerol.
SWISS
Gene ID
保存条件
Shipped at 4℃. Store at -20℃ for one year. Avoid repeated freeze/thaw cycles.
注意事项
This product as supplied is intended for research use only, not for use in human, therapeutic or diagnostic applications.
产品介绍
CENP-A可将着丝粒变成一个DNA和蛋白的复合物,而且确保着丝粒在细胞分裂中完好无损。
CENP-A的存在确保了人体有几乎完全相同的染色体组。
CENP-A功能失常将导致细胞分裂过程中发生染色体分离异常。
CENP-A对于染色体着丝粒的位置起决定作用,因而被认为是重要的表观遗传学标记蛋白。
CENP-A改变了核小体的性状,使得它变得更加坚硬。核小体是由DNA与组合蛋白八聚体构成的真核染色体的一种重复结构,核小体的组织对于基因调控极为重要。不同于染色质上的其他区域。
CENP-A取代组蛋白H3形成核小体,CENP-A核小体重复拷贝形成一个特异的表观遗传区域。
背景资料
Centromeres are the differentiated chromosomal domains that specify the mitotic behavior of chromosomes. CENPA encodes a centromere protein which contains a histone H3 related histone fold domain that is required for targeting to the centromere. CENPA is proposed to be a component of a modified nucleosome or nucleosome-like structure in which it replaces 1 or both copies of conventional histone H3 in the (H3-H4)2 tetrameric core of the nucleosome particle. Alternative splicing results in multiple transcript variants encoding distinct isoforms. [provided by RefSeq].
着丝粒蛋白A-bs-2753R着丝粒蛋白A-bs-2753R着丝粒蛋白A-bs-2753R着丝粒蛋白A-bs-2753R着丝粒蛋白A-bs-2753R着丝粒蛋白A-bs-2753R着丝粒蛋白A-bs-2753R着丝粒蛋白A-bs-2753R

产品应用

应用已检合格种属预测种属推荐稀释比例
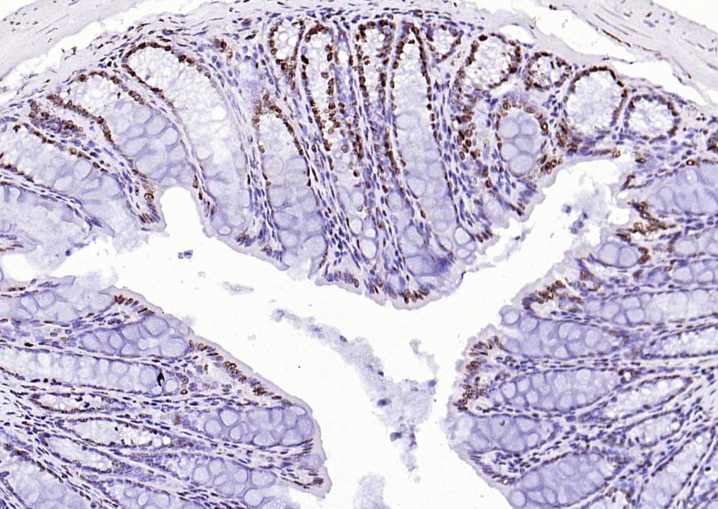
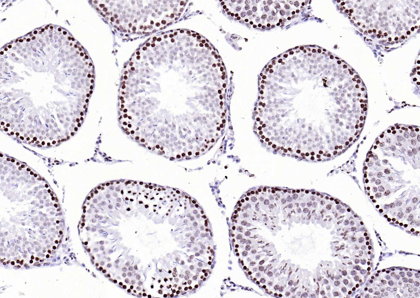
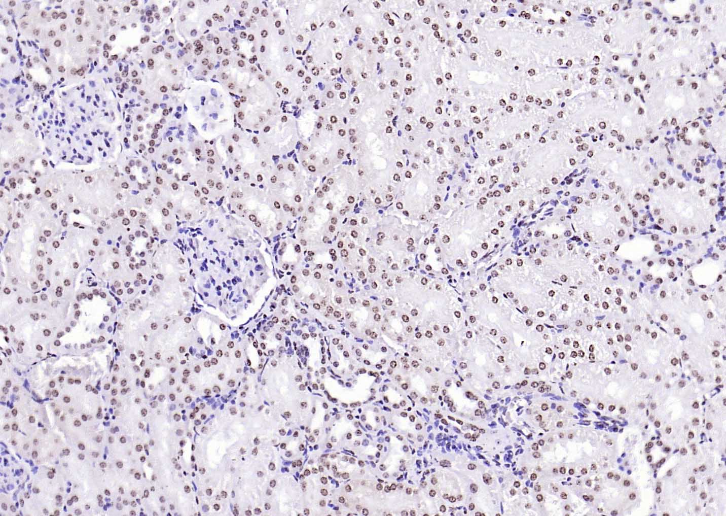
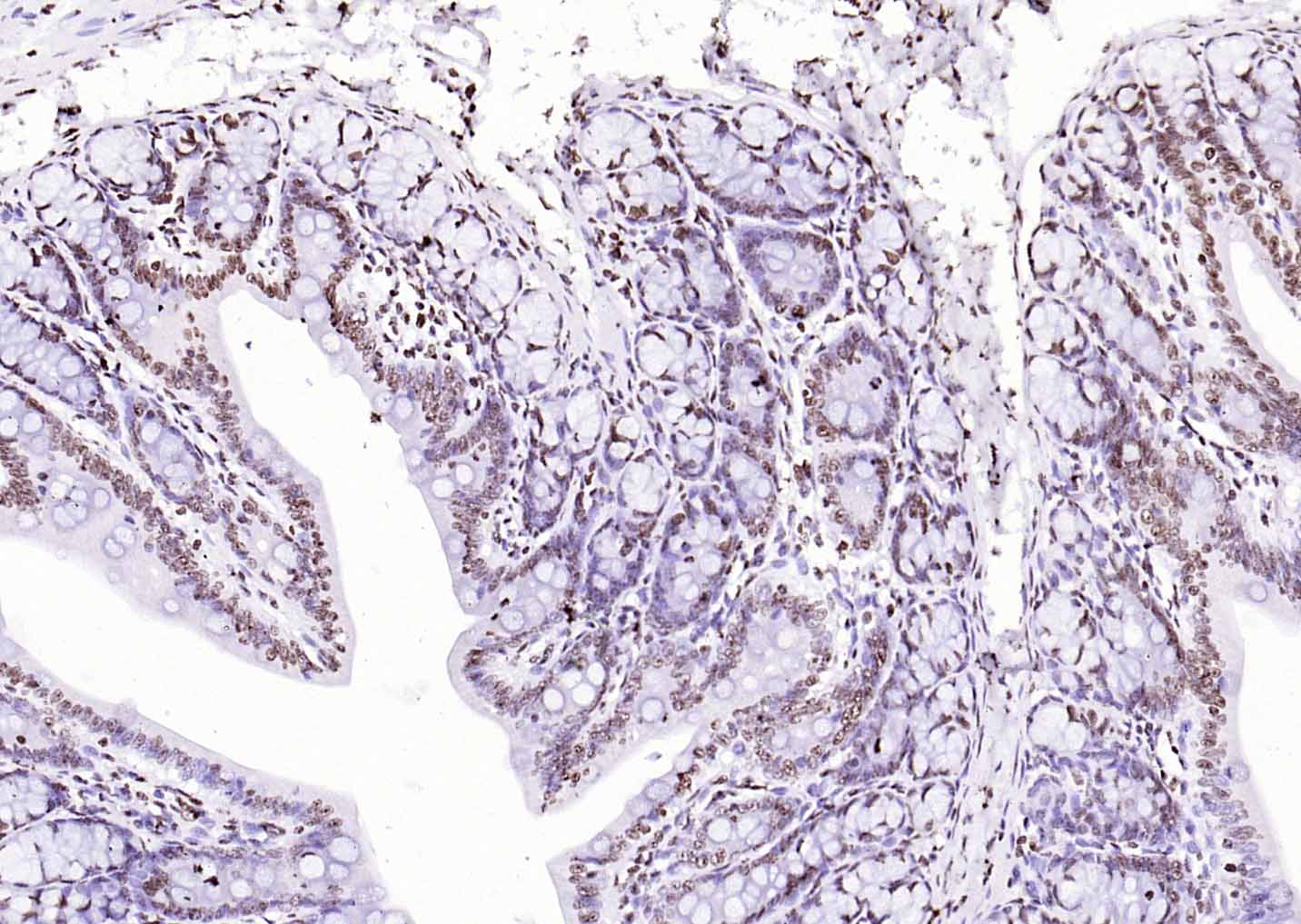
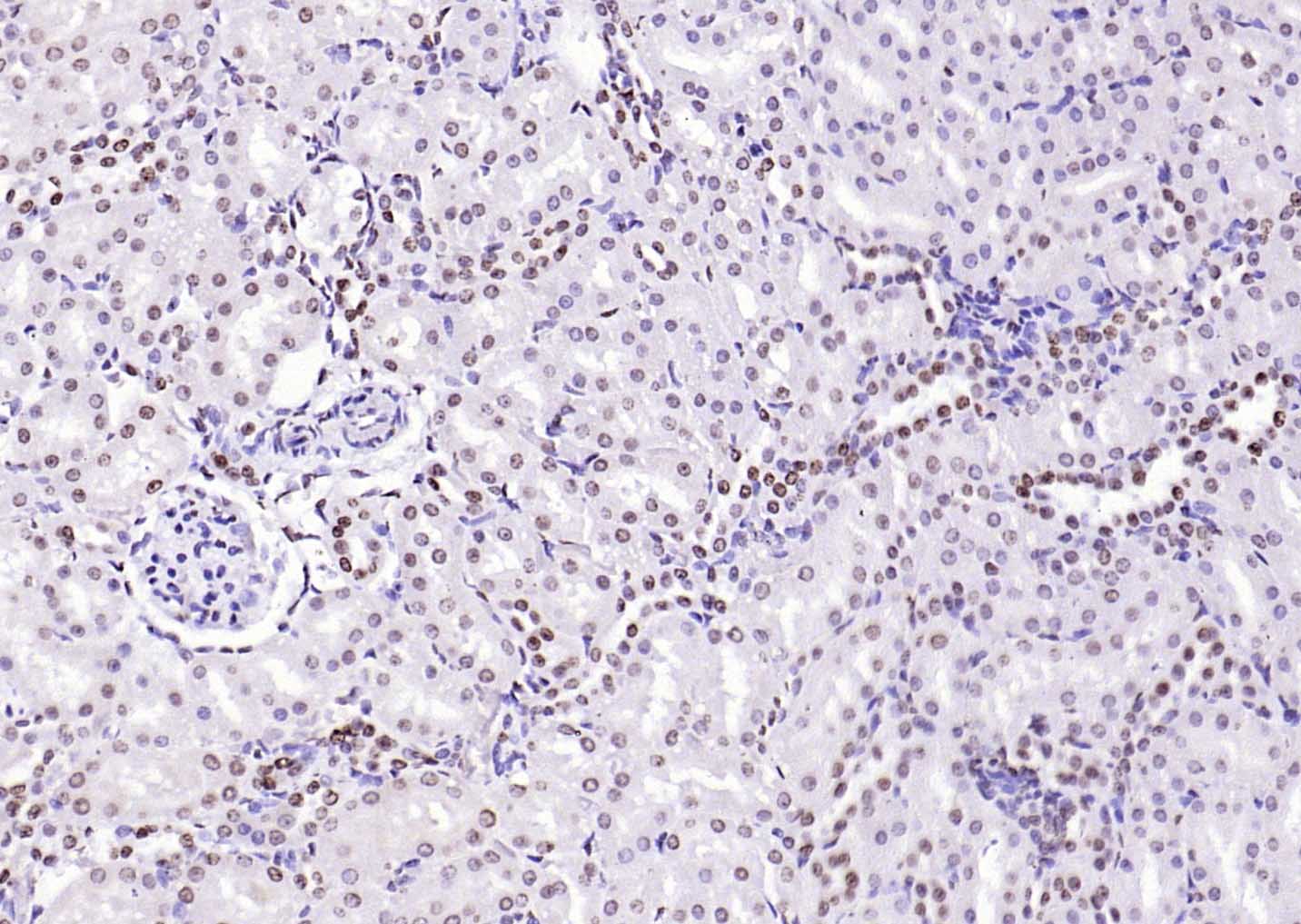
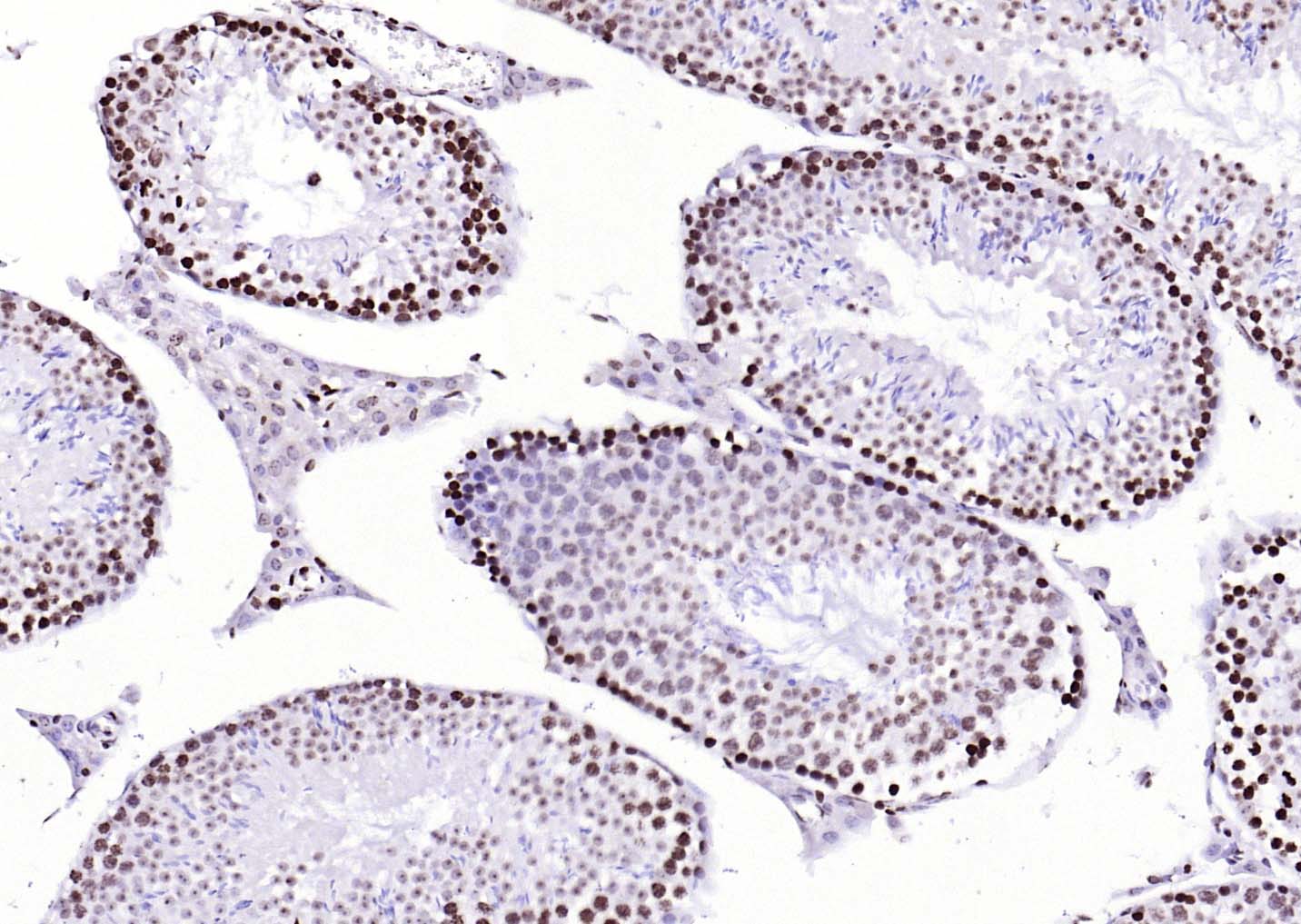
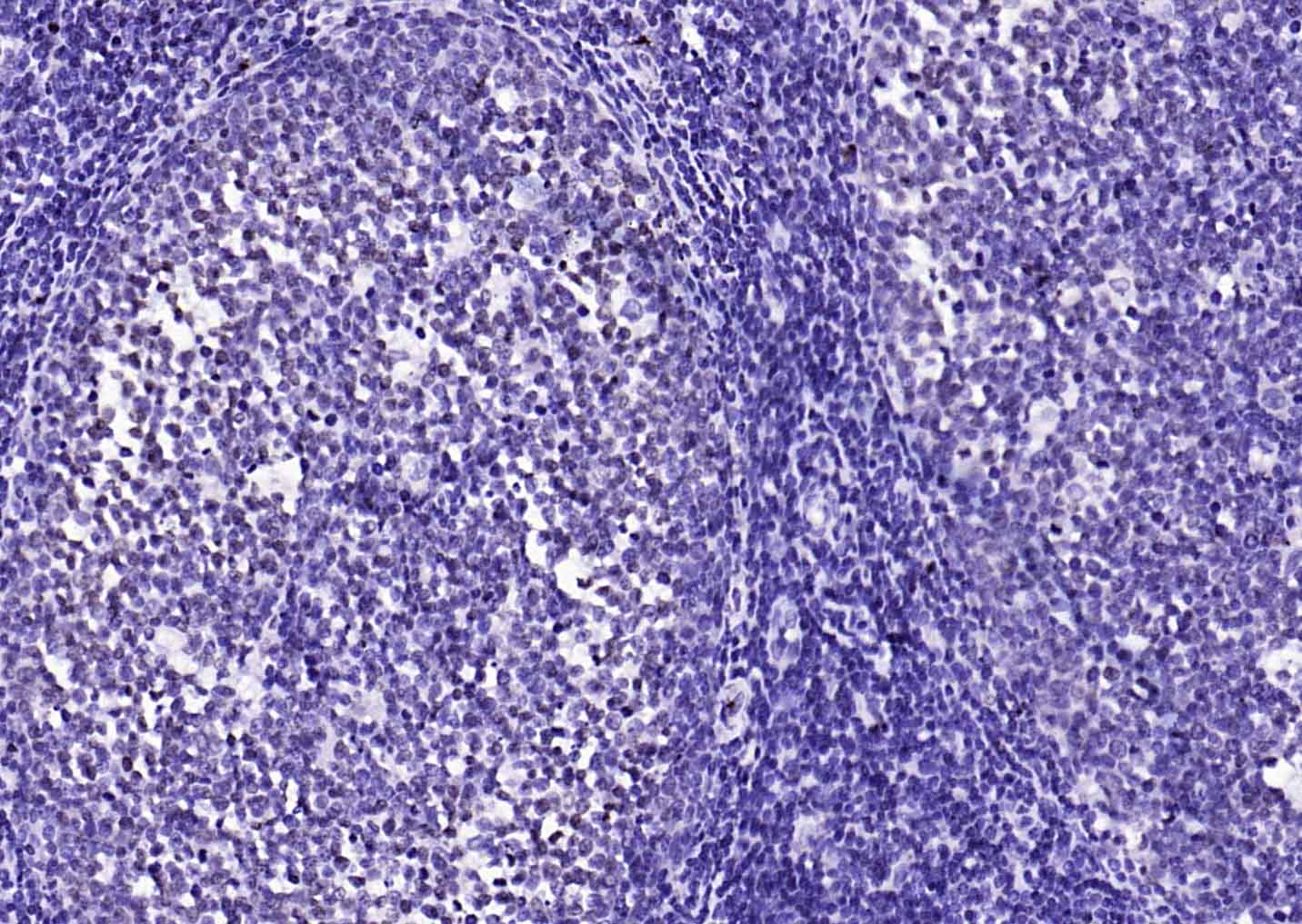
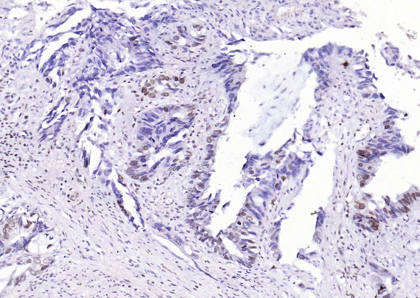
IHC-PHuman, Mouse1:100-500
IHC-FHuman, Mouse1:100-500
IFHuman, Mouse1:100-500
ELISAHuman, Mouse1:5000-10000

交叉反应

交叉反应: Human, Mouse

相关产品

暂无相关产品

靶标

基因名
CENPA
蛋白名
Histone H3-like centromeric protein A
亚基
Forms a nucleosome-like histone octamer containing two molecules each of H2A, H2B, CENPA and H4 assembled in one CENPA-H4 heterotetramer and two H2A-H2B heterodimers. Nucleosomes containing CENPA also contain histone H2A variants such as macroH2A H2AFY and H2A.Z/H2AFZ. The CENPA-H4 heterotetramer is more compact and structurally more rigid than corresponding H3-H4 heterotetramers. Heterotrimer composed of HJURP, CENPA and histone H4, where HJURP interacts with the dimer formed by CENPA and histone H4 and prevents tetramerization of CENPA and H4. Component of the CENPA-NAC complex, at least composed of CENPA, CENPC, CENPH, CENPM, CENPN, CENPT and MLF1IP/CENPU. Interacts (via CATD domain) with HJURP; the interaction is direct and is required for its localization to centromeres. Interacts with CENPC, CENPN and CENPT; interaction is direct. Interacts directly with herpes virus HSV-1 ICP0 protein. Part of a centromere complex consisting of CENPA, CENPT and CENPW.
亚细胞定位
Nucleus. Chromosome, centromere, kinetochore. Note=Localizes exclusively in the kinetochore domain of centromeres. Occupies a compact domain at the inner kinetochore plate stretching across 2 thirds of the length of the constriction but encompassing only one third of the constriction width and height.
组织特异性
Ubiquitinated (Probable). Interaction with herpes virus HSV-1 ICP0 protein, leads to its degradation by the proteasome pathway.
Phosphorylation of Ser-7 by AURKA and AURKB during prophase is required for localization of AURKA and AURKB at inner centromere and is essential for kinetochore function. Initial phosphorylation during prophase is mediated by AURKA and is maintained by AURKB.
Poly-ADP-ribosylated by PARP1.
相似性
Belongs to the histone H3 family.
功能
Histone H3-like variant which exclusively replaces conventional H3 in the nucleosome core of centromeric chromatin at the inner plate of the kinetochore. Required for recruitment and assembly of kinetochore proteins, mitotic progression and chromosome segregation. May serve as an epigenetic mark that propagates centromere identity through replication and cell division. The CENPA-H4 heterotetramer can bind DNA by itself (in vitro).

同靶标产品

相关文献

提示: 发表研究结果有使用 bs-2753R 时请让我们知道,以便我们可以引用参考文章。作为回馈,资料提供者将获得我们送上的小礼品。
具体参考文献:bs-2753R 被引用于1文献中

常见问题