Cancer > Cell Death > Autophagy > APG gene products
Cancer > Cell Death > Autophagy > Signal Transduction
Cancer > Signal transduction > Autophagy
Cardiovascular > Heart > Autophagy > APG gene products
Metabolism > Pathways and Processes > Metabolism processes > Autophagy and mitophagy
Metabolism > Pathways and Processes > Metabolism processes > Autophagy and mitophagy > APG gene products
Neuroscience > Neurology process > Neurogenesis
Signal Transduction > Cytoskeleton / ECM > Cytoskeleton > Microtubules > MT Associated Proteins > MAP











| 应用 | 已检合格种属 | 预测种属 | 推荐稀释比例 |
|---|---|---|---|
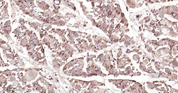
| WB | Mouse, Rat | Human | 1:1000-2000 |
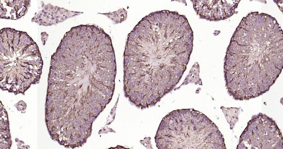
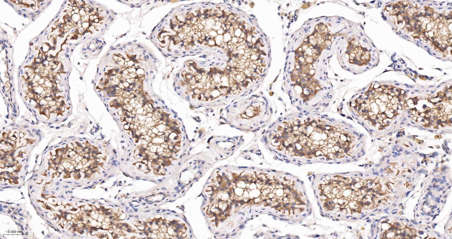
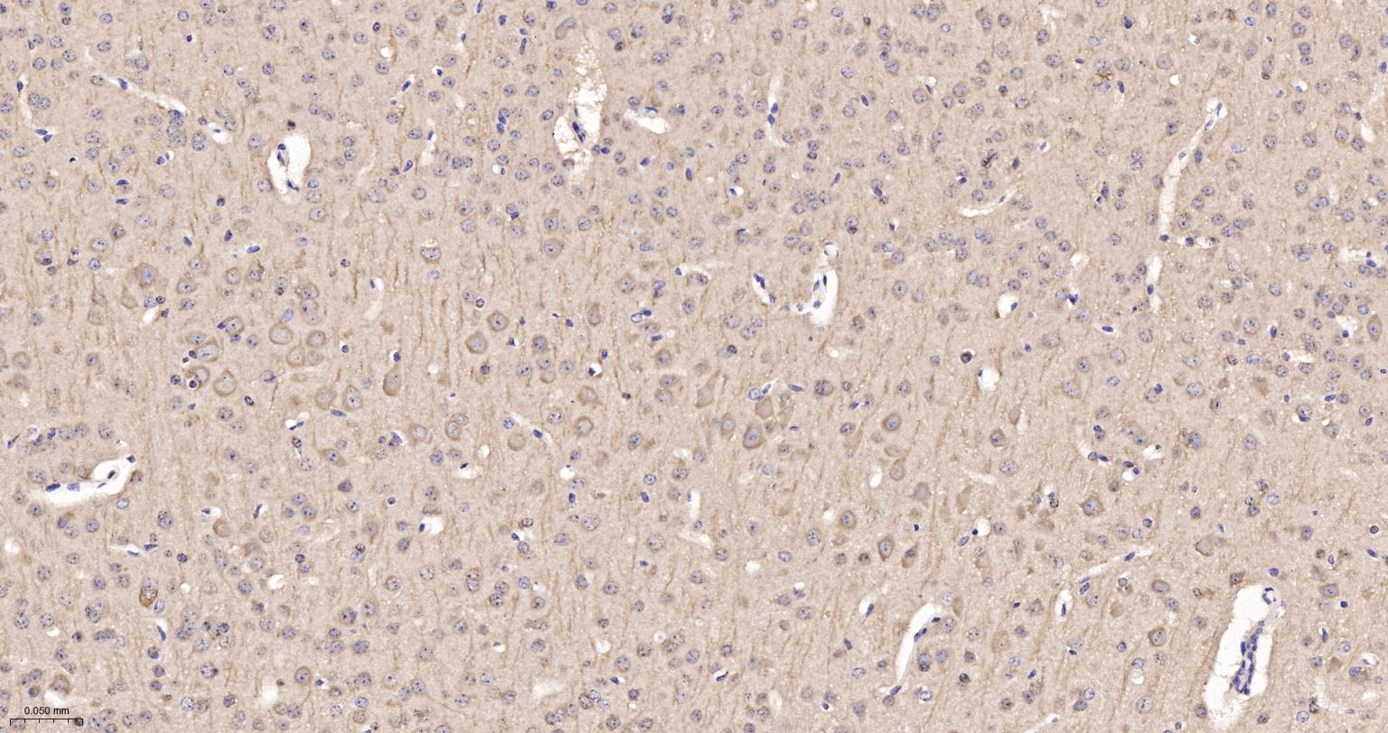
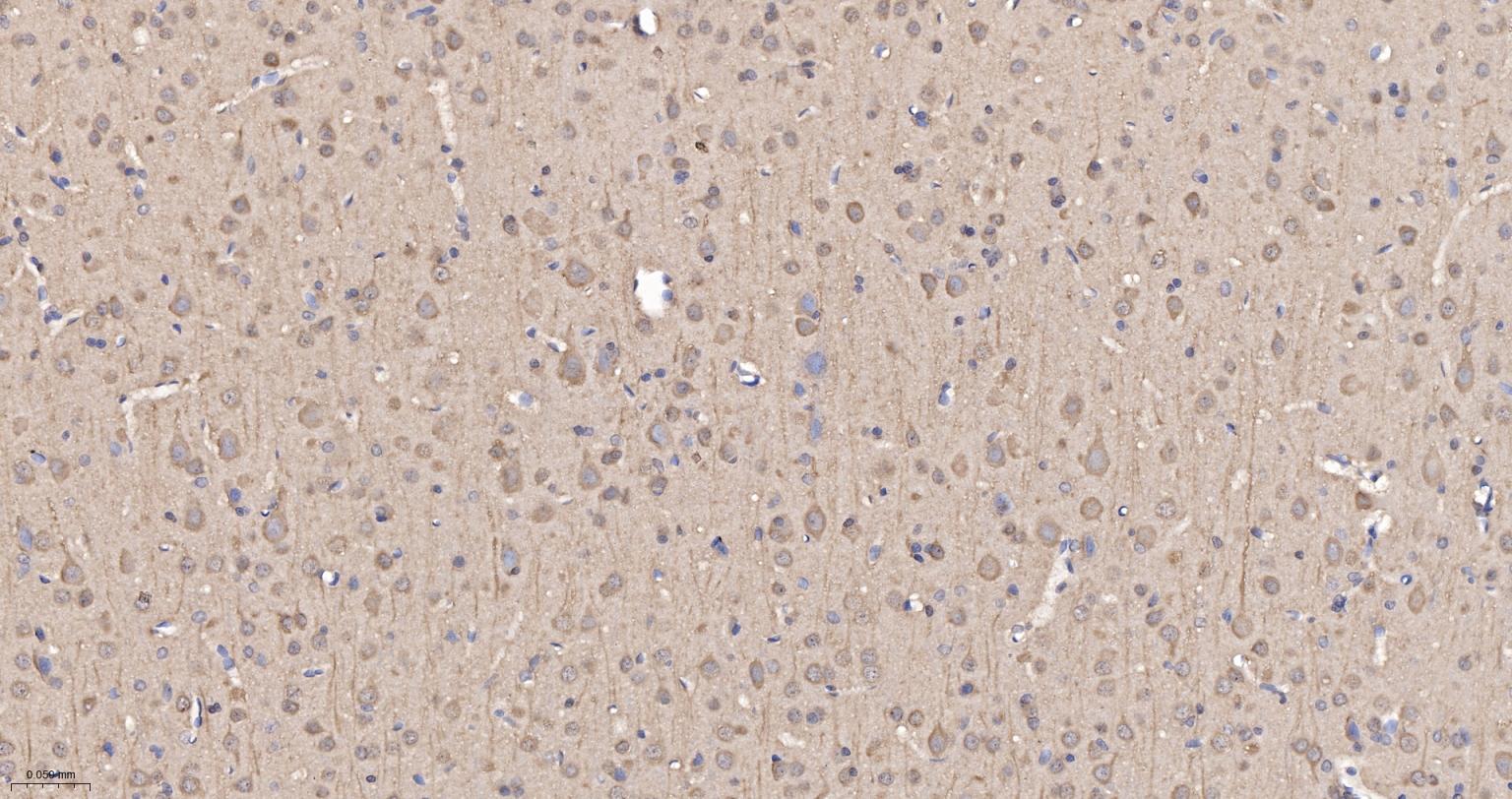
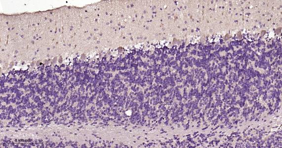
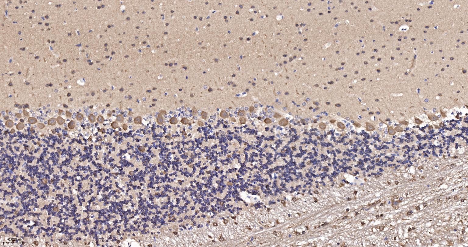
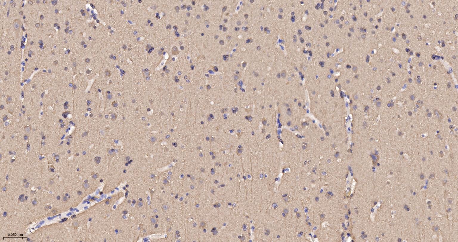
| IHC-P | Human, Mouse, Rat | 1:100-500 | |
| IHC-F | Human, Mouse, Rat | 1:100-500 | |
| IF | Human, Mouse, Rat | 1:100-500 |
交叉反应: Human, Mouse, Rat
暂无相关产品
暂无标记数据
暂无同靶标产品
暂无相关文献
暂无常见问题