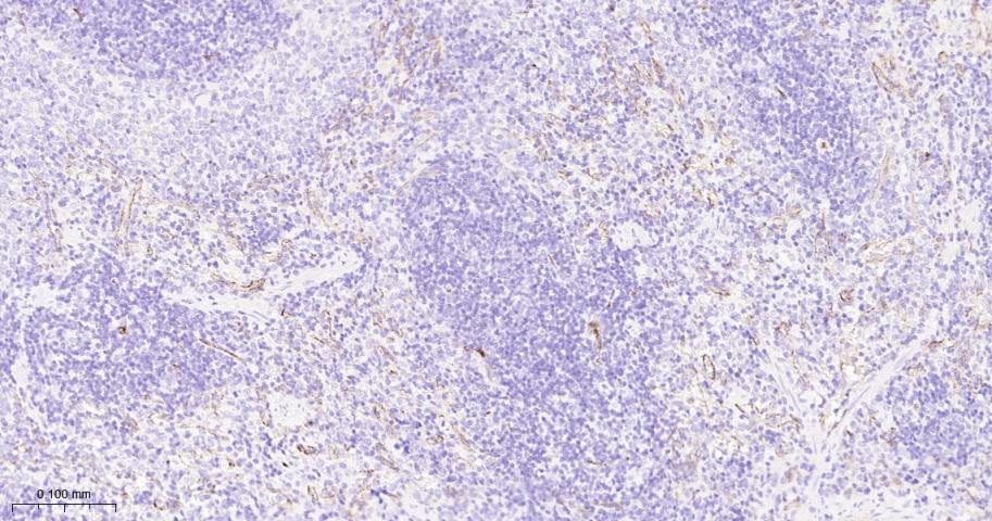
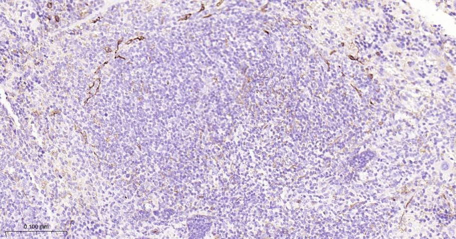
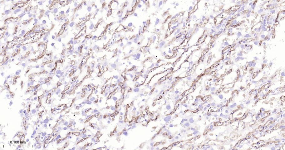
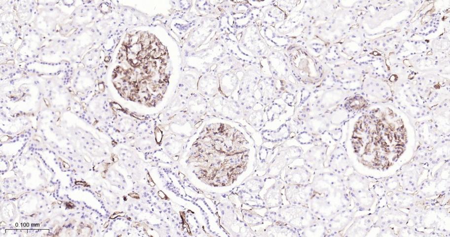
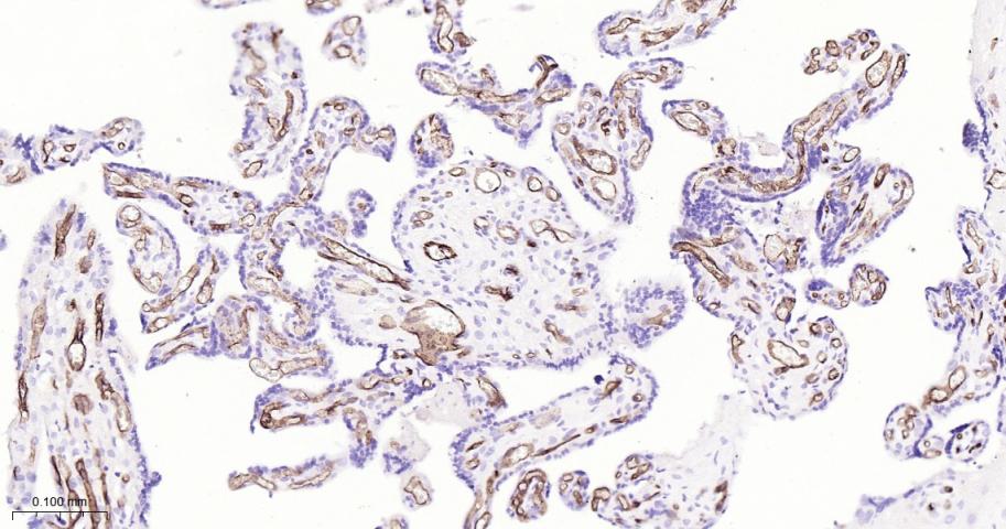
Cardiovascular > Angiogenesis > Endothelial Cell Markers
Cardiovascular > Heart > Cardiogenesis > Stem cells
Developmental Biology > Lineage specification > Mesoderm
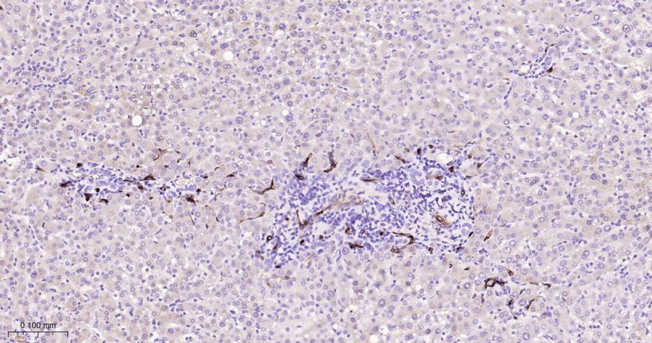
Immunology > Cell Type Markers > CD > Myeloid Cells
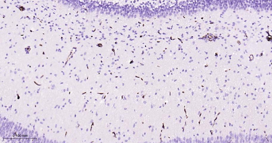
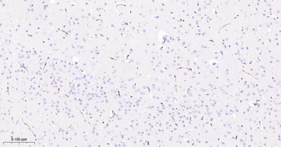
Neuroscience > Cell Type Marker > Neuron marker > Soma marker
Stem Cells > Endothelial Progenitors > Endothelial Markers
Stem Cells > Hematopoietic Progenitors > Hematopoietic Stem Cells > HSC markers
Stem Cells > Hematopoietic Progenitors > Surface Molecules





















| 应用 | 已检合格种属 | 预测种属 | 推荐稀释比例 |
|---|---|---|---|
| WB | Human | Mouse, Rat | 1:1000-5000 |
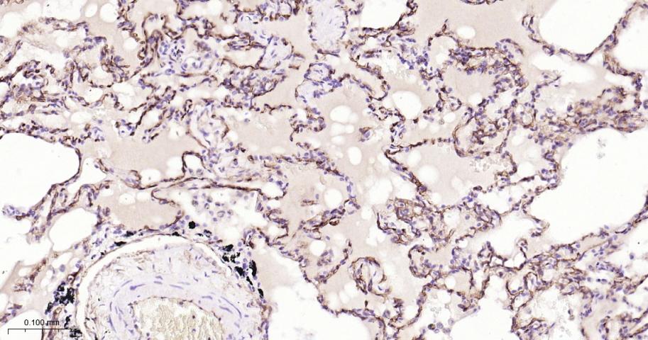
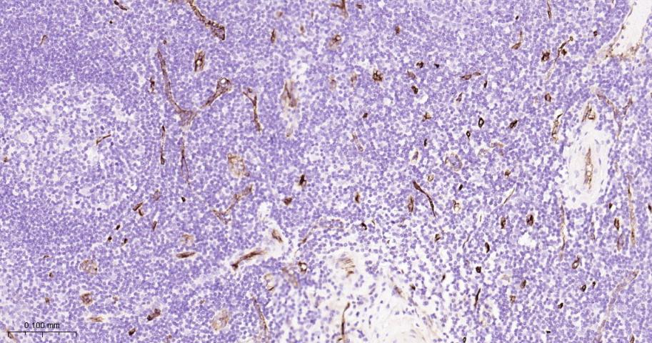
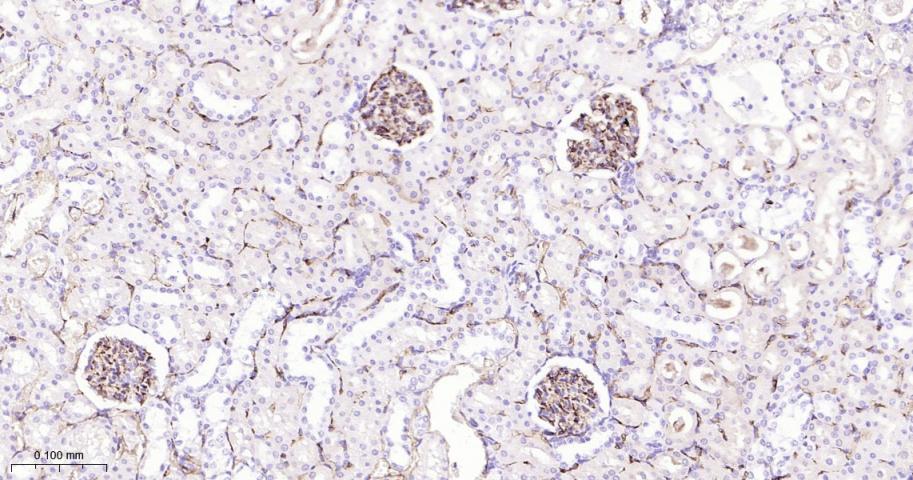
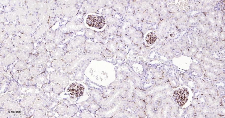
| IHC-P | Human, Mouse, Rat | 1:200-1000 | |
| IHC-F | Human, Mouse, Rat | 1:200-1000 | |
| IF | Mouse, Rat | Human | 1:200-1000 |
| IP | Human, Mouse, Rat | 1:20-100 |
交叉反应: Human, Mouse, Rat
暂无相关产品
暂无标记数据
暂无同靶标产品
暂无相关文献
暂无常见问题