前列腺酸性磷酸酶重组兔单抗

Rrmab?兔单抗
2026-03-02~2026-04-30,KXJ26032026-03-02~2026-04-30,促销赠品
前列腺酸性磷酸酶重组兔单抗
货号:bsm-60820R
产品详情
相关标记
相关产品
相关文献
常见问题

概述

产品编号
bsm-60820R
产品类型
重组兔单抗
英文名称
PAP Recombinant Rabbit mAb
中文名称
前列腺酸性磷酸酶重组兔单抗
英文别名
ACPP; 5'-NT; ACP-3; TM-PAP; A030005E02Rik; FRAP; Lap; PAP; Ppal; Acpp11; RNACPP11; PPAP_BOVIN; ACP3; Protein tyrosine phosphatase ACP3; 3.1.3.2; PPAP_HUMAN; 5'-nucleotidase (5'-NT); Acid phosphatase 3; Ecto-5'-nucleotidase; Thiamine monophosphatase (TMPase); PPAP_MOUSE; Fluoride-resistant acid phosphatase (FRAP); PPAP_RAT;
抗体来源
Rabbit
免疫原
KLH conjugated synthetic peptide derived from human Prostatic Acid Phosphatase
亚型
IgG
性状
Liquid
纯化方法
affinity purified by Protein A
克隆类型
Recombinant
克隆号
10G17
理论分子量
41 kDa
浓度
1mg/ml
储存液
PBS, Glycerol, BSA.
SWISS
Gene ID
保存条件
Shipped at 4℃. Store at -20℃ for one year. Avoid repeated freeze/thaw cycles.
注意事项
This product as supplied is intended for research use only, not for use in human, therapeutic or diagnostic applications.
背景资料
Prostatic Acid Phosphatase is Belongs to the histidine acid phosphatase family.Cellular localization;Secreted and Lysosome membrane. Predominantly localized in the plasma membrane but also detected in intracellular vesicles.
前列腺酸性磷酸酶重组兔单抗

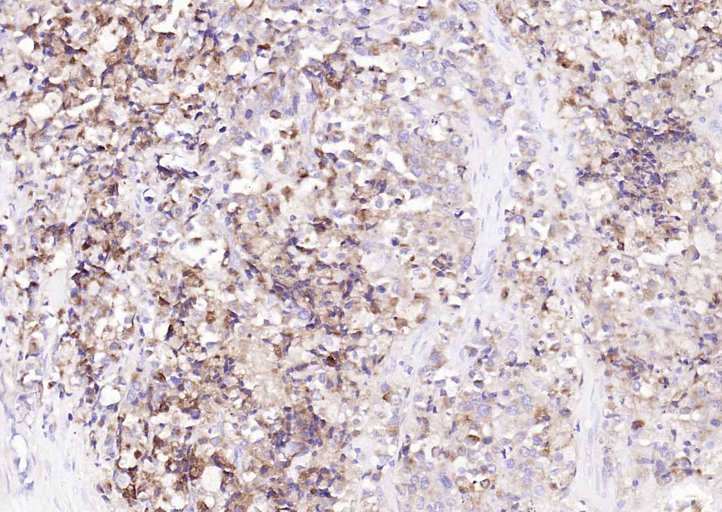
产品应用

应用已检合格种属预测种属推荐稀释比例
IHC-PHuman1:100-500
IHC-FHuman1:100-500
IFHuman1:100-500

交叉反应

交叉反应: Human

相关产品

暂无相关产品

靶标

基因名
ACP3
蛋白名
Prostatic acid phosphatase
亚基
Homodimer; dimer formation is required for phosphatase activity.
亚细胞定位
Isoform 1: Secreted. Isoform 2: Cell membrane.
Isoform 2: the cellular form also has ecto-5'-nucleotidase activity in dorsal root ganglion (DRG) neurons. Generates adenosine from AMP which acts as a pain suppressor. Acts as a tumor suppressor of prostate cancer through dephosphorylation of ERBB2 and deactivation of MAPK-mediated signaling.
组织特异性
Highly expressed in the prostate, restricted to glandular and ductal epithelial cells.
翻译后修饰
N-glycosylated. High mannose content, partially sialylated and fucosylated biantennary complex. Also fucosylated with partially sialylated triantennary complex oligosaccharides.
Proteolytically cleaved in seminal fluid to produce several peptides. Peptide PAPf39, the most prominent, forms amyloid beta-sheet fibrils, SEVI (semen-derived enhancer of viral infection) which entrap HIV virions, attach them to target cells and enhance infection. SEVI amyloid fibrils are degraded by polyphenol epigallocatechin-3-gallate (EGCG), a constituent of green tea. Target cell attachment and enhancement of HIV infection is inhibited by surfen. Also similarly boosts XMRV (xenotropic murine leukemia virus-related virus) infection.
相似性
Belongs to the histidine acid phosphatase family.
功能
A non-specific tyrosine phosphatase that dephosphorylates a diverse number of substrates under acidic conditions (pH 4-6) including alkyl, aryl, and acyl orthophosphate monoesters and phosphorylated proteins. Has lipid phosphatase activity and inactivates lysophosphatidic acid in seminal plasma.

标记抗体

暂无标记数据

同靶标产品

暂无同靶标产品

相关文献

提示: 发表研究结果有使用 bsm-60820R 时请让我们知道,以便我们可以引用参考文章。作为回馈,资料提供者将获得我们送上的小礼品。

暂无相关文献

常见问题

暂无常见问题