Cancer > Invasion/microenvironment > ECM > Cell adhesion > Cadherins
Developmental Biology > Organogenesis > Excretory system development > Kidney development
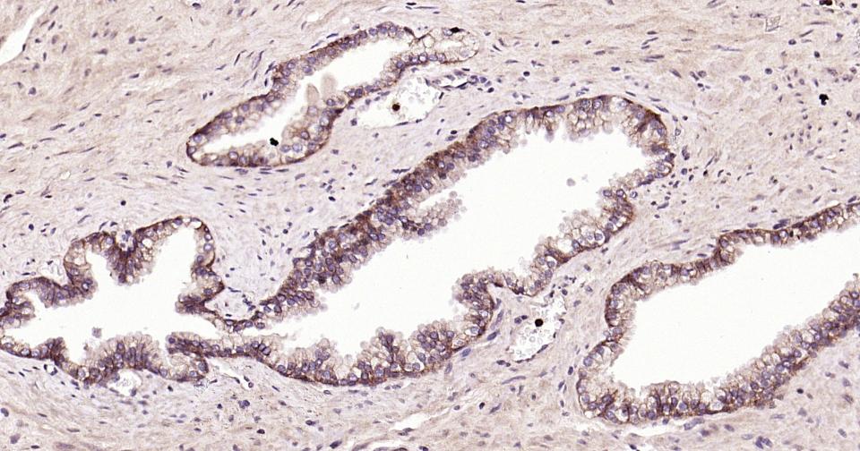
Signal Transduction > Antibodies > e cadherin
Signal Transduction > Cytoskeleton / ECM > Cell Adhesion > Cadherins
Signal Transduction > Signaling Pathway > Calcium Signaling > Calcium Binding Proteins









| 应用 | 已检合格种属 | 预测种属 | 推荐稀释比例 |
|---|---|---|---|
| WB | Human | 1:500-2000 | |
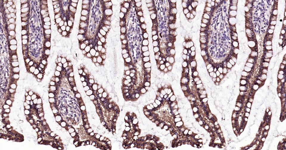
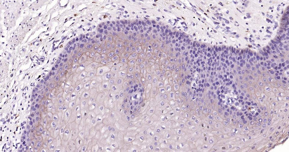
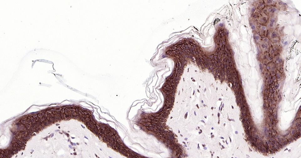
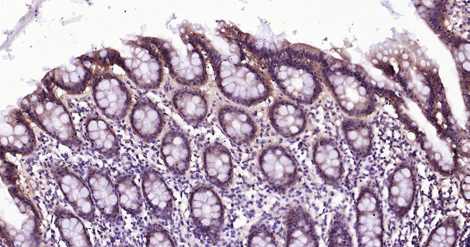
| IHC-P | Human | 1:100-500 | |
| IHC-F | Human | 1:100-500 | |
| IF | Human | 1:100-500 | |
| Flow-Cyt | Human | 1:50-100 | |
| ICC/IF | Human | 1:50-200 |
交叉反应: Human
暂无相关产品
暂无标记数据
暂无同靶标产品
暂无相关文献
暂无常见问题